来源:广西国际壮医医院 米琨
后交叉韧带(PCL)起自胫骨平台中央的后下部,斜向前、上、内走行,止于髁间窝的前内侧面,长度约 3.8 cm,宽度约1.3 cm。PCL与前交叉韧带(ACL)是膝关节重要的稳定结构,两者共同维持膝关节的前后稳定。

PCL与ACL相比更加强而有力,损伤机会不多,在所有膝关节损伤中占3%-20%。PCL损伤需要强大的外力,多由交通事故等造成,平常的跌碰伤不容易造成其损伤,而且PCL很少单独受伤,多伴有ACL、侧副韧带等损伤,损伤后继发半月板和软骨损伤的机会较少,这些损伤特点也与ACL损伤明显不同,MRI阅片时需要注意这些特点。

了解PCL的损伤*力暴**对MRI阅片有很大的帮助,造成PCL损伤的*力暴**以车祸直接撞击胫骨上段的前方最为常见,乘坐在车内膝关节屈曲90度,车祸发生时仪表板与小腿上端自前向后的直接撞击、驾驶摩托车小腿上端与路边栏杆的撞击等等都可以发生PCL的断裂,所以在MRI上可以见到胫骨上端前方的髓内水肿,也就是仪表板征。

另一常见的原因是膝关节受伤跪地,胫骨结节部位着地,*力暴**以及身体重力的持续作用,导致PCL发生断裂,这种情况常常发生于比较剧烈的运动等,MRI上也经常见到胫骨上端前方的髓内水肿。

有一种情况与上述两种原因相反,站立时膝关节后上方也就是股骨髁的后方被撞击,小腿固定,股骨髁被外力撞向前方也可以造成PCL的断裂,MRI上可以见到股骨髁后方水肿。

另一种损伤*力暴**是膝关节过度伸展,例如踢球的凌空抽射、膝关节伸直状态下受到前方的撞击、行走踩在坑内足部固定而身体前倾等等都能导致膝关节过度伸展,股骨髁与胫骨平台前方相互撞击,可以造成后关节囊以及PCL的撕裂,MRI可见撞击双方髓内水肿。当然,膝关节过度伸展也是ACL损伤的常见*力暴**之一,不能简单认为过伸就是PCL损伤。

不论如何受伤,其结果都是造成胫骨相对于股骨的过伸、外旋和后移,只是三者轻重程度不一而已,当然,后移往往是最明显的!

PCL损伤后,撕裂部位大部分发生于PCL的中部,约占68%,而近端约占19% ,远端约占13% ,所以MRI阅片时要重点看PCL的中部,当然也不能忽视PCL的远近两端。

PCL损伤按照撕裂程度可以分为部分撕裂(占47% ±)、完全撕裂(占45% ±)和止点撕脱性骨折(占8% ±)。完全撕裂者MRI更加容易确诊,我们平常在DR及CT上经常见到的撕脱骨折其实发生率并不高,只是骨折更容易被医生看见而已。

四、正常PCL的MRI表现
1、各序列PCL均为低信号
PCL与ACL等其他韧带以及肌腱一样,在MRI上不管任何序列、任何截面均表现为低信号(黑色),信号的改变常常预示着PCL发生损伤。

2、矢状面表现
矢状面PCL呈轻度迂曲的、凸面向后的弓形低信号影,边界清晰,粗细较一致,内部纹理清楚。股骨端信号常可局限性轻度增高,可能因此处韧带组织分散且滑膜较多、抑或是局部粘液变性或者魔角效应导致,不一定是损伤。

矢状面上弓形的PCL形成一个135°左右的夹角,PCL损伤后此角度一般都有改变。

在矢状面的MRI上经常可见前后方截断PCL的半月板股骨韧带,前下方为Humphrey韧带,后上方为Wrisberg韧带。半月板股骨韧带是一个稳定的结构,对加强PCL的稳定有一定的作用,MRI阅片时不注意此韧带容易造成误诊,同时,如果MRI上发现此韧带损伤,它是PCL损伤的间接征象之一,常常预示着PCL的损伤。

3、冠状面表现
冠状面PCL表现为较宽的带状均匀低信号影,边缘清晰,内部纹理清楚。

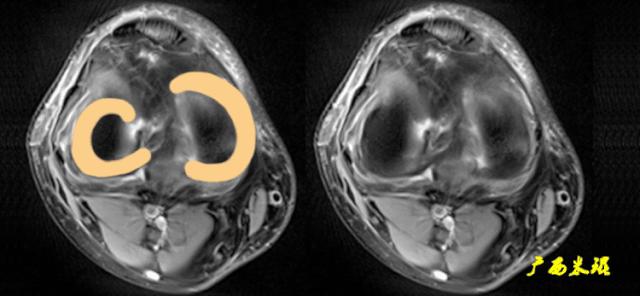
4、横断面表现
横断面PCL表现为扁平椭圆形、半圆形、类圆形或者扇形低信号影,边缘清晰,内部纹理清楚,位于髁间窝区域。

五、PCL损伤的MRI分级
PCL损伤的MRI分级与其他韧带相同,Grade1:韧带内损伤,无长度改变;Grade2:韧带内损伤并长度延长;Grade3:完全性韧带撕裂。不管1级、2级以及3级都是损伤,这与半月板损伤的分级是不同的。

六、PCL损伤的MRI表现
PCL损伤在MRI有很多表现,我们将这些表现归纳为直接征象和间接征象两大类,直接征象指PCL损伤本身的改变,一定发现肯定的直接征象就可以直接确诊PCL损伤;间接征象则指因PCL损伤继发的一系列改变,发现这些改变可以考虑有PCL损伤的可能,但不能完全确认,还需要结合其他的征象来确诊。

一、PCL损伤的直接征象
直接征象既然是指PCL损伤本身的改变,对于MRI而言,就是指PCL信号及形态的异常,只要在MRI上发现这些改变,PCL损伤是确认无疑的!

1、信号异常
(1)PCL上出现高信号
下面这张矢状面的膝关节MRI,我们就看到PCL中部出现高信号,而且PCL连续性中断,近端扭曲,周围水肿,胫骨上端前方骨内水肿。

下面这张冠状面的膝关节MRI,我们看到应该为较宽的带状均匀低信号影出现高信号,内部纹理中断,PCL损伤无疑,但半月板股骨韧带无损伤。

下面这张横断面的膝关节MRI,应该为类圆形、边缘清晰、低信号的PCL内部出现高信号,边缘不光整,这是PCL损伤的直接征象。而且周围软组织水肿,前方出现软组织水肿以及胫骨骨挫伤水肿。

(2)PCL上出现过低信号
正常的PCL为低信号,出现高信号肯定不对,但也不是信号越低越好,过低的信号常常是陈旧的PCL损伤,由于损伤后瘢痕的增生导致出现过低信号,但必须结合伴有PCL形态的改变等才能确诊,此病人出现过低信号,局部膨大,粗细不一致了。

2、形态异常
(1)PCL连续性中断
MRI上PCL连续性的中断是PCL损伤最常见的形态异常,下面这张矢状面的膝关节MRI,PCL中部出现高信号,且连续性中断,关节腔积液。

(2)PCL低垂
下面这张矢状面的膝关节MRI,PCL弓形的近端低垂,股骨端跌落至ACL的前方,局部出现高信号。

这张矢状面的膝关节MRI,PCL弓形的近端低垂,股骨端跌落至ACL的后方,局部出现高信号,ACL也断裂。

下面这张冠状面的膝关节MRI,PCL较宽的带状均匀低信号影低垂,走向异常,近股骨髁处空虚,毫无疑问PCL也是损伤。

(3)PCL异常增粗
正常的PCL矢状面呈凸面向后的弓形低信号影,边界清晰,粗细较一致,内部纹理清楚,下面这张MRI见PCL增粗,信号不均、纹理混乱,PCL也是必伤无疑,这种情况一般见于陈旧损伤。

(4)PCL异常变薄
PCL形态变粗不对,变薄也有问题,下面这张矢状面的膝关节MRI,PCL近端变粗,远端变薄,出现高信号,边缘不清晰,所以也是损伤。

(5)PCL扭曲
正常的PCL矢状面呈凸面向后的弓形低信号影,边界清晰,粗细较一致,下面这张MRI见PCL大部分扭曲,远端中断。

冠状面的膝关节MRI,PCL较宽的带状均匀低信号影出现纹理扭曲(扭转向下),而且局部出现高信号,这样的改变肯定可以诊断为PCL损伤。

(6)PCL胫骨附着部骨折
很多医生认为PCL胫骨附着部撕脱骨折(胫骨平台后方骨折)常见,因为简单的DR以及CT都可以看见,所以误认为发生率很高,其实是一个假象,PCL胫骨附着部骨折比韧带的断裂少得多,骨折后一般都向前上方移位,PCL一般都松弛,所以在MRI上属于形态改变的这一类。

二、
PCL损伤的间接征象
1、骨挫伤
骨挫伤会出现髓内水肿,是关节损伤MRI诊断上的一个非常明显的征象,对于PCL损伤而言,骨挫伤的部位与损伤的*力暴**密切相关,所以也是诊断PCL损伤的重要间接征象。
(1)仪表板征
车祸直接撞击胫骨上段的前方以及膝关节跪地受伤最有可能会出现胫骨上端前方的髓内水肿,此征象也称为仪表板征或者挡板征,常常预示着PCL损伤,一旦发现仪表板征,一定要认真观看PCL的信号以及形态是否有改变。

(2)接吻征
接吻征涵盖的范围很大,就PCL损伤来说,膝关节过度伸展会导致股骨髁前下方及胫骨平台前上方发生撞击,MRI上经常会出现这两个地方的水肿,局部高信号,是诊断PCL损伤的重要间接征象,不过,千万不要忘记,这样的损伤*力暴**也可能造成ACL损伤。

(3)后方撞击征
后方撞击征仅是我个人命名的名字,站立时膝关节后上方被撞击这种*力暴**造成的PCL损伤并不多见,所以股骨髁后方髓内水肿这个PCL损伤的间接征象并不容易见到。

2、骨折
Segond骨折(胫骨平台前外侧撕脱骨折)等对于诊断ACL损伤极为重要,很多简单的膝关节骨折也与PCL损伤密切相关,临床上必须加以注意,千万不要认为是一个简单的骨折。
(1)胫骨平台内侧缘撕脱骨折
与ACL损伤中Segond骨折相对应的是胫骨平台内侧缘撕脱骨折,它是PCL损伤的一个重要的间接征象。

(2)胫骨平台内后侧撕脱骨折
胫骨平台内后侧撕脱骨折也是PCL损伤的间接征象,国外进行了相关的研究,主要是半膜肌的牵挂或股骨后髁与胫骨平台内侧缘撞击引起。

需要提醒的是,国外研究认为膝关节屈曲90°轴向载荷是导致胫骨平台后内侧骨折的一种创伤机制,因*力暴**的不同,既可导致PCL损伤,也可导致ACL损伤。

(3)胫骨平台前方骨折
来自前方的直接撞击以及膝关节过度伸展导致的股骨髁与胫骨上端前方的撞击都可以造成胫骨平台前方骨折,这类骨折的特点是局部髓内水肿较重,而骨折移位不重,甚至可能只是隐匿性骨折。

(4)胫骨前内侧平台塌陷骨折
胫骨前内侧平台塌陷骨折者要警惕PCL损伤,这样损伤的对角是后外侧,常常出现PCL损伤以及后外侧结构的损伤。下面膝关节MRI的横断面可以显示塌陷骨折的部位及其损伤的PCL以及后外侧结构。

下面这张膝关节MRI的冠状面可以显示塌陷的胫骨前内侧平台,也可以见到PCL出现高信号,后外侧结构撕裂水肿严重。

(5)腓骨头撕脱骨折
腓骨头是后外侧结构重要的附着点,后外侧结构的损伤可能是韧带结构的损伤,也可能是腓骨头的撕脱骨折,其损伤机理是一样的,也是PCL损伤的间接征象。

3、胫骨后移
PCL的主要功能是限制胫骨的后移,损伤的结果就会发生胫骨的向后移位,正常情况下,股骨髁后缘与胫骨平台后缘在同一条垂线上,一般后移大于2mm预示着PCL损伤。

4、后外复合体损伤
后外侧复合体主要包括腓侧副韧带、腘腓韧带、腘肌腱,还包括腘肌腱-半月板束、关节囊中1/3、股二头肌腱及髂胫束,一般所说的后外侧复合体损伤主要是说腓侧副韧带、腘腓韧带、腘肌腱的损伤。我们都知道ACL损伤常常伴有内侧副韧带损伤,而PCL损伤则常常伴有后外侧复合体损伤,上面我们看过的这张膝关节MRI冠状面就清楚的显示PCL损伤以及后外侧结构撕裂。

腘肌腱是后外复合体的重要组成部分,所以腘肌腱的损伤也常常与PCL损伤相关,腘肌腱在MRI上显示也是非常清楚的,下面的这张膝关节MRI矢状面除了清楚的显示仪表板征之外,可以见到后方的腘肌腱出现高信号,周围组织水肿,这些征象都应该考虑有PCL损伤的可能。

膝关节矢状面可以见到损伤的腘肌腱,不同的横断面也能够显示腘肌腱,下面的膝关节横断面显示腘肌腱损伤移位,肌腱内出现高信号,边缘不清晰,髁间窝还见到PCL连续性中断。

腘肌包括肌腱及肌腹两部分,上面的横断面我们看见了损伤的腘肌肌腱部分下面的这张横断面我们看到了胫骨后方的腘肌肌腹部分水肿,胫骨平台前内侧髓内水肿,局部皮质骨骨折,显然膝关节前方受到了撞击,后方的腘肌损伤,这样的损伤PCL损伤的机会极大。

下面的这张膝关节MRI冠状面我们就清楚的看到了腘肌肌腹的损伤水肿以及血肿形成,同时也清楚的看到了损伤的PCL。这些后外侧结构的损伤都是PCL损伤重要的间接征象。

5、ACL改变
我们先看一下这种膝关节前方受到撞击导致PCL损伤的动图,ACL与PCL关系密切,两者共同维持膝关节的前后稳定,PCL损伤必定会造成ACL形态的改变甚至发生断裂。

(1)ACL扭曲松弛
如果损伤*力暴**不足够强大,仅仅是造成PCL损伤而已,胫骨后移但程度不大,这种时候ACL是松弛扭曲的,这是PCL损伤的MRI以及关节镜中重要的征象,千万不要误认为是ACL损伤。

(2)ACL损伤
如果损伤*力暴**足够强大,不仅仅造成PCL的断裂,*力暴**的持续作用会导致ACL的断裂,ACL和PCL的同时断裂是膝关节的严重损伤,经常会出现膝关节脱位。

6、半月板股骨韧带损伤
半月板股骨韧带在解剖上与PCL关系密切,在作用上能够协助PCL起到一定的稳定作用。反过来,半月板股骨韧带也常常伴随PCL损伤而损伤,MRI阅片时一定要注意观察。下面的这张膝关节MRI冠状面就清楚的看到了损伤的半月板股骨韧带以及前方损伤的PCL。

膝关节MRI的冠状面可以看到半月板股骨韧带损伤,横断面也能够看到,下面的这张横断面我们在髁间窝处就看到了损伤的半月板股骨韧带以及损伤的PCL。

下面的这张膝关节横断面我们在半月板平面看到了损伤断裂的半月板股骨韧带,而PCL本身出现高信号,变粗,边缘不光整等损伤的直接征象。

7、膝关节后方损伤
PCL位于膝关节后方,其后方还有后关节囊等组织结构,PCL损伤后往往会波及这些组织,这些组织的损伤在MRI上也是能够清晰的显示出来的。下面的这张膝关节MRI矢状位就看到了损伤的PCL,而后方关节囊破裂,关节囊内外均水肿。

下面的这张膝关节MRI冠状位我们看到了损伤的PCL和ACL,而后方大片软组织损伤水肿,已经无法用一个单一的、局限的解剖结构来说明,这样膝关节后方软组织大片的损伤水肿也可以说是PCL损伤的一个间接征象。

尽管我们在这里说了这么多PCL损伤的MRI诊断征象,但是由于方方面面的原因,MRI诊断PCL损伤的准确率远远没有ACL损伤那么高。我们也知道,关节镜是诊断ACL以及半月板损伤的金标准,由于滑膜较多、PCL有一部分在胫骨平台的后下方以及半月板股骨韧带的存在等原因,关节镜观察PCL有一定的局限性,也不是诊断PCL损伤的金标准。

MRI和关节镜都不是诊断PCL损伤的金标准,那诊断PCL损伤的金标准是什么呢?是体格检查!其实不仅仅PCL损伤是这样,所以疾病的诊疗都是这样,所以,我们时刻都要记住:临床检查对医生而言比什么都重要!

以上只是我本人在PCL损伤MRI诊断方面的经验,一定有不恰当甚至不对之处,欢迎大家批评指正,谢谢大家。