
1899年,瑞典的Henschen教授提出了“大心脏将在竞赛中取胜”的著名理论,并将这种运动员特有的大心脏称为“运动员心脏”(“Athlete’s Heart”)。“运动员心脏”作为运动员特有的高功能、高储备、大心脏,在竞技体育中起到非常重要的作用。
从运动生理学的角度分析,其主要的良好的适应表现在:运动性心动徐缓、运动性心脏肥大和心脏泵血功能改善。而其中的心脏肥大又在力量运动员和耐力运动员的心脏上呈现不同:室壁增厚和室腔变大。见图1。

图1 正常人和不同项目运动员心脏的区别
(运动生理学,人体社2019版)
然而,长期以来大量研究数据显示,“运动员心脏”所致的心脏结构、功能及电生理变化的预后意义并不明确。“运动员心脏”,究竟是祝福还是诅咒?
观点一:高强度耐力运动能够改善心血管功能

美国曼彻斯特医院 Aaron L. Baggish
“运动员心脏”一词最早用于反映和形容运动员的心脏出现了与疾病所致的心脏增大相似的表现,现在则被用于反映耐力运动员心脏的独特生理性适应即心脏大、肌肉发达且顺应性好,能快速泵出大量血液以适应较高的有氧代谢率。很显然,要想达到在奥运会上进行竞争的水平,年轻运动员需要持续进行长时间、高强度运动训练。目前,无流行病学数据显示,高级别竞技运动会导致过早死亡,相反还可预防过早死亡。
耐力运动显著增加条件生存率
对9个国家共计15 000位奥运奖牌得主获得首块奖牌后几十年的分析显示,与年龄及性别相匹配的一般人群对照者相比,其条件生存率可显著增加,尤以耐力运动员的增幅最显著。尽管上述结果存在很多可能的解释,涉及社会经济地位及健康生活方式等各个方面。一项对800名环法自行车赛法国参赛选手的研究显示,与法国不骑自行车的人群相比,其死亡率可显著降低40%,这再次证实精英耐力运动员的生存率不减反增。因此,尽管越来越多的证据表明,非凡耐力运动可导致心脏尤其是右室疲劳、细胞通透性生物标志物增高,但很少有证据表明“上述生理变化是病理性的”,在马拉松等长途耐力运动员中也未见猝死。
有证据显示,一级耐力运动员的心血管系统结构健康且有活力,功能也非常强大。例如,我们研究小组入选训练有素、至少训练达25年的、在马拉松、铁人三项或其他耐力运动中取得了很好的竞技成绩的非常具有竞争力的耐力运动员,对其开展有关心血管系统结构与性能的研究,采用无创方法创建心脏压力-容积曲线,并与经高度筛选的、与之年龄及性别相匹配的健康久坐不动老年人(平均年龄为70±3岁,女性占一半)及久坐不动年轻人(平均年龄为29±5岁)进行对比分析。结果显示,尽管身体非常健康,但与一级运动员相比,久坐不同的老年人心脏更小、硬度更高。更重要的是,运动员的心脏顺应性与年轻的健康人群并无区别。
运动员的大血管功能更健康
我们用一种能够量化主动脉生物学年龄的技术,对一级运动员及对照人群进行过研究。与预期的一样,健康但久坐不动的老年及年轻对照者主动脉的生物学年龄与其实际年龄几乎相同;而一级运动员主动脉的生物学年龄则要约比其实际年龄小30岁。这种心肌及血管顺应性的改善可使心室与动脉的耦联更好,左室充盈压增加所致的每搏输出量增幅可至少增加两倍,而心室与动脉耦联增强也是训练有素的年轻耐力运动员的一个特征性标志。
鉴于有研究提示,高强度马拉松训练可导致心脏纤维化,故对高强度训练对心脏的影响进行讨论就显得尤为重要。但是,一项对102例中年马拉松运动员的high-profile研究显示,与来自Heinz Nixdorf recall研究的对照者相比,这些运动员cMRI所示的正延迟增强发病率并无显著差异。尽管在既往就存在冠状动脉疾病的情况下进行高强度运动可导致缺血型心内膜下瘢痕形成,但其他多项研究均未证实马拉松运动员会发生延迟增强。实际上,既往研究显示,在存在缺血的情况下进行训练可导致长时间心肌顿抑及左室功能障碍,其发生机制可能与伴有未发现的冠状动脉疾病之运动员进行艰苦训练时会出现心肌损伤有关。我们对100余例以不同强度终生进行运动的受试者(其中包括21名一级运动员)的研究,并未发现存在增强延迟现象,仅一例进行休闲锻炼的人出现了非冠状动脉延迟增强。
关于运动训练所致的心脏结构变化
人们开展了一些评估运动训练所致的心脏结构变化的研究,其相关结果却难以解释。有些结果显示,运动可导致心肌纤维化。更重要的是,这种纤维化仅存在于右室游离壁,而不发生于左室。此外,没有任何证据表明这种纤维化会进行性加重。在训练4周、8周及16周后被安乐死的大鼠中,上述纤维化程度相当。鉴于纤维化并未随训练时间延长而进行性加重,故这种时间上的独立性表明,纤维化可能并非是一种对长期训练的反应,而是对甩尾的一种反应。
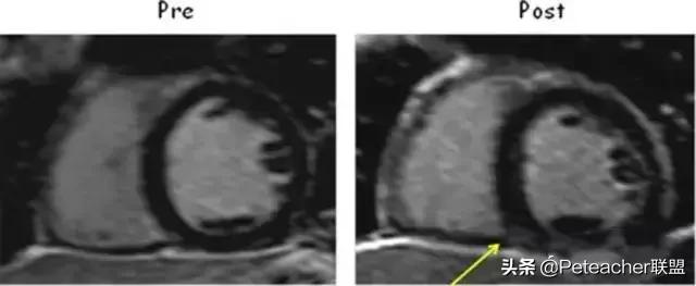
在运动期间,右室对过度的应力反应更敏感。在特殊超耐力运动员中,有一小部分会存在右室与左室交界处晚期钆增强(LGE)。但是,这种LGE并不一定代表着纤维化。例如,有一例世界最伟大超耐力运动员尽管发生了很多极端事件,但却并不存在LGE。但是,在一项全美比赛结束后,很多人的右室插入点即刻出现了LGE(图2)。因此,这种类型的LGE已被证实在ASD修复等很多情况下是可以逆转的,故其可能提示存在急性且持续时间较长的应力而非实际瘢痕。但是,携带右室心肌病桥粒突变的个体进行运动时则需谨慎,因为在这些患者中训练可导致右室功能的恶化并加速右室心肌病的表型变化。

图2 运动后右室插入点即刻出现LGE
此外,人们对年长马拉松选手动脉粥样硬化更严重的问题存有顾虑。但是,该项在存在延迟增强的相同的马拉松运动员中开展的研究显示,实际上与年龄相匹配的对照者相比,马拉松运动员的冠状动脉钙化(CAC)并无差异,很多马拉松选手的CAC评分为0。更重要的是,该研究中所有马拉松选手开始训练的年龄均较大,50%吸烟,因此其开始训练可能是为了逆转心血管危险因素的影响。另有证据表明,从生理上来说,精英级超耐力运动员的冠状动脉实际上是相当健康的。例如,对冠状动脉血管舒张能力的有创检查显示,与久坐不动的对照者相比,超耐力长跑者应用硝酸甘油后冠状动脉直接增加更显著。此外,在CAC评分>100的亚临床CAD个体中,较高强度的健身可使心血管事件发生风险显著降低75%。因此,尽管有些马拉松选手在跑步期间会在PTH水平增加的基础上会出现CAC加重,但是,只要运动强度的增加适度,从功能上来说,其冠状动脉的血管舒缩储备更好,且斑块破裂风险会降低。
综上所述,尽管认为超过一般水平的耐力训练绝不会有害非常愚蠢,但因担心会促进冠状动脉疾病或导致心肌病而不让愿意进行竞技性耐力训练的人进行马拉松、铁人三项等超耐力训练的做法也不恰当。高强度耐力运动在内的多种运动能够提供很多健康获益,这些获益可能远远超过了其可能导致心律失常等心血管时间的风险。
观点二:“运动员心脏”多应视为病理性重构

美国明尼阿波利斯心脏研究所基金会
Barry J. Maron
正如网球选手会过度使用自己的肌腱,跑步运动员会发生应力性骨折一样,耐力运动员也可能会发生运动相关的心脏损伤。尽管锻炼是我们最古老和最有效的治疗方法,但人们尚未完全理解锻炼的整体剂量-反应关系。随着现代社会体力活动的广泛减少,人们开始关注运动太少对人体的危害。高强度的运动训练可导致心肌重构,又被称为“运动员心脏”,其所导致的心脏结构、功能及电生理变化的预后意义并不乐观。
高强度运动的定义
自菲迪皮德斯健康垮掉之后,其本身及后来数世纪社会媒体的炒作,使得人们对运动风险的猜测与谣言一直不断。在缺乏相关证据下,这种情况可能会一直存在。实际上,尚无随机对照试验评估长时间高强度运动对健康的影响,既无其对健康有害的明确证据,也无证实其具有良好安全性的明确证据。因此,我们试图采用队列研究、替代终点及临床前数据,通过强调提示高强度运动尤其是高强度耐力运动可增加不良心脏重构及心律失常的实质性证据来帮助我们正确看待这一存在广泛争议的问题。当然,我们肯定不会因极端运动的潜在危害而否定定期适度运动的益处。
这场辩论中一个非常重要问题就是高强度运动的定义。我们会经常强调随着运动诱导的心脏重构程度增加发生心律失常的潜在风险增加,因此,我们需要将高强度运动定义为能够显著增加“运动员心脏”表型的运动剂量。因此,虽然在每周锻炼≥3小时的人群中也可以看到心脏的改变,但今天的讨论主要还是有关通常每周训练达15~40小时的耐力运动员的。骑自行车、铁人三项、越野滑雪、划船及耐力跑均是运动能力最高、心脏重构最显著的高强度训练(图3)。

图3 心脏重构与运动能力相关性
病理性重构与生理性重构——并非泾渭分明
在对运动员进行评估时,我们在讨论其所存在的明显心脏重构的临床意义时常常需要确定其性质到底是病理性还是生理性,进行二分类分析。这种二分类式的分析方法提示,偏心性心肌肥厚要么归因于运动可刺激IGF1-PI3K(p110α)-Akt等信号通路进而导致细胞体积增加、收缩力改善及缺乏纤维化,要么归因于可诱导血管紧张素II、蛋白激酶C及钙调磷酸酶等能导致细胞凋亡及细胞外纤维化的信号通路的病理性血液动力学应激。这些截然不同的通路都在与常规运动相对比的主动脉缩窄小鼠模型中得到了验证。但是,尽管上述两种情况均可增加心脏质量,但其血液动力学负荷及心肌肥厚类型有所不同。此外,进行性的主动脉瓣或肺动脉瓣关闭不全能更好地反映有氧运动时的主要容量负荷情况。像运动时一样,患者中的IGF-1通路可出现生理性上调。我们认为,运动期间施加于心室上的室壁应力约等于一些可导致心律失常的疾病时的静息室壁应力。因此,经常频繁地进行高强度运动可能会引起一些与病理性疾病相似的、能够刺激心脏重构的血液动力学刺激。即使是扩张、肥厚及自主神经调节等生理性适应也可能会增加心律失常等随机过程的发生风险。
先天性原因与后天性改变——亦难以鉴别
近期在年轻运动员中开展的旨在预防心源性猝死(SCD)的研究证据表明,大多数SCD均是由心肌病、冠状动脉异常或离子通道病等先天性疾病所致。因此,运动被认为在易感个体中可触发心律失常并导致死亡。但是,有多达三分之一的年轻运动员之SCD在进行尸检后仍无法找到明确的原因。尽管现代影像学技术已经非常先进,但运动员心脏与肥厚型或致心律失常型心肌病的差异仍很难进行鉴别,甚至连尸检也无法对两者进行区分和鉴别。例如,右室纤维脂肪浸润并不像原来所认为的那样可特异诊断右室致心律失常型心肌病(ARVC),此外,肥厚型心肌病与运动员心脏在组织学上也难以区分。尽管现在已经很少评估尸检诊断的可重复性,但近期数据表明专家通常会对多达41%的病例的死亡原因进行重新分类。一个虚心的观察者可总结出“在一些运动员出身的SCD患者中,运动诱导的心脏重构可能被错误地归因于心肌病,很多不明原因的死亡也可能会被推定为归因于离子通道病。因此,运动员心脏存在致心律失常机制的可能性有可能会被忽视。
心脏从具有可塑性到致心律失常性重构
心脏结构与功能能够反映静息与运动期间血液动力学应激条件下代谢效率之间的平衡。在运动员中室性心律失常往往起源于右室,因此有假说认为“运动诱导的应激及重构可促进致心律失常基质的产生”。在静息条件下,左室需要做功更多以对抗全身循环所致的中等负荷进行泵血;但是,在运动期间,与全身循环相比,肺动脉压及右室负荷可不成比例地增加。因此,右室壁应力会超过左室,导致右室更易在耐力运动期间发生急性损伤。这样长期下去,耐力运动员的右室就会发生慢性重构。因此,血液动力学应激、急性损伤及慢性重构更倾向于发生在右室。
高强度运动期间右室壁应力不成比例的显著更高,是运动所致的血液动力学应激导致后续发生右室致心律失常性重构的合理解释。Benito等人对“马拉松大鼠”的研究让幼鼠完成为期18周的跑步机跑步以模拟人类为期10年的耐力运动训练,获得了与人类研究非常相似的数据。结果显示,与久坐不动的对照大鼠相比,“马拉松大鼠”心房及右室的炎症及纤维化均增加,而左室未见上述变化。更重要的是,上述主要发生于右室的重构可增加室性心律失常的潜在风险(42% vs. 6%,P=0.05)。
观点三:跑步or久坐,都会改变心脏形状
众所周知,人类天生就是为耐力而生,因为我们具备能减震的关节和有弹性的肌腱。2019年9月17日,发表在《美国国家科学院院刊(PNAS)》上的一项中,来自美国哈佛医学院的研究团队发现,在演化过程中,人类的心脏也在耐力方面得到了优化。当然,能优化多大程度,取决于我们是跑步、种田还是赖在沙发上。
大多数哺乳动物相比,人类具有独特的身体活动模式和耐力能力。过去有研究显示,其他类人猿,即我们的进化*亲近**,如黑猩猩在不活动时,主要参与短时间的抵抗性身体活动,如攀爬或打斗,这会对心血管系统造成压力。相比之下,从最初的狩猎、采集到后来农场,工业化前人类的生存终生依赖中等强度的耐力体力活动(EPA),这会产生心血管容积压力。尽管已经记录了人类的肌肉骨骼和体温调节对EPA进化出适应性,但尚不清楚这种选择是否也对心脏也起到类似作用。
为了验证这一假设,研究团队使用了超声波成像技术对160多名成年男性的心脏进行了检测,参与者来自四个群体:耐力训练的长跑运动员、久坐不动的成年人、训练有素的美式足球运动员以及以跑步能力而闻名的美国土著农民塔拉乌马拉人(Tarahumara)。为了进行比较,他们还观察了43只成年雄性黑猩猩的心脏。
观察发现,左心室壁厚度、心室容积和心输出量的绝对标度测量方面,人类组之间存在明显的差异。耐力跑步者和土著农民的心室更大、更长并且心室壁更薄,这些特征有助于长时间泵入大量血液。训练强度高、时间短的美式足球运动员心室较短较宽、而且心室壁较厚。久坐不动的人也是如此。黑猩猩的主要活动是短时间的高强度运动,如战斗或攀登,它们的心室最短,心室壁最厚。

图4 黑猩猩与人类的左室结构及功能比较
研究人员表示,因为高强度活动导致动脉血压在短时间内飙升,因此左心室较大心室壁较薄的结构对于人和黑猩猩都是有益的,以确保有足够的血液流向大脑以维持意识。但即使没有这些进化压力,沙发土豆的生活方式似乎也会导致心室壁增厚。
对耐力的适应可能帮助了我们早期的狩猎采集和农耕祖先。但它也会导致对高血压和心血管疾病等当今工业社会普遍存在问题的平行适应减少。因此,研究人员认为具有讽刺意味的是,早期的耐力适应可能使现代人更难以应对高血压性心脏病。
但久坐不动的读者不必为此感到难过。研究人员强调,心室壁的变化具有可塑性,配合长跑和游泳等耐力运动,或许可以改变它。

图5 耐力和力量训练对左室结构和功能改变的区别
临床决策需要具体的答案,而科学则需要平衡的视角。对高强度运动是否会损伤心脏时,我们试图和期待找到一个明确的是或否的答案。目前对现有数据的解释似乎只能得出以下信息:耐力运动最有可能增加长寿的机会,但也会增加某些心律失常的发生风险。不幸的是,在历经几个世纪的有关高强度运动获益及风险的研究后,我们并未得出一个明确的答案。
对于发生了明显心肌重构或心律失常的运动员而言,运动的风险获益仍存在争议,需要我们进一步了解其机制,从而进行有针对性的治疗,并更好地预防不良结局的发生。目前,无充分证据支持“与一般人群相比,运动员发生心律失常时的治疗需要有所区别”,但如果我们开始接受“运动可能会促进形成发生心律失常的基质”这一理念,则有必要进一步评估运动行为改变是否能够改变临床结局。
我们需要一些具备耐心、毅力及资源的虚心研究者开展具有足够效力的前瞻性研究,这项任务有些艰巨,但鉴于运动对身体健康至关重要,我们还是应该努力更好地了解运动与健康的完整剂量反应关系。