无论对球迷还是球员来说,最怕听到的就是“伤病”二字了。但职业足球乃至于职业运动员的运动强度又决定了,他们的职业生涯几乎不可能避免伤病。在足球比赛当中经常出现这样的画面,球员倒地不起,担架进场——这意味着球员的伤相对较重。这时候去到医院第一件事情,就是要先检查运动员伤到了哪,才好对症下药。

那么问题来了,什么医疗检查设备最适合检查自己的伤情呢?目前,用于职业球员检查伤病最多的三个设备分别是X光、CT和核磁共振。这三个医疗检查设备的名字普通民众也不陌生,但大多数人对它们的了解也仅仅局限于“名字”。X光、CT和核磁共振的工作原理是什么?他们有什么区别、检查的侧重点有何不同?让我们来一起了解一下。
【X光:将人体骨骼投射到同一个平面上进行成像】
世界科学发展历史有一个惯例,谁发现一个全新的“东西”,他自然而然就成为那个“东西”的命名者,后人也有直接用科学家的名字命名新发现的惯例。例如牛顿发现了“牛顿定律”,后人直接用他的名字命名这一定律。“X光”这个名字来源同样如此,它是发现者、德国物理学家W.K.伦琴发现并命名的,后人又把这一射线成为称为伦琴射线。
伦琴为什么主观上把这一射线命名为X射线?其中“X”的意思,和东野奎吾小说《嫌疑人X的献身》中X是一样的意思,就是“很神秘、无法了解、不为人知”的意思。物理学家伦琴就是因为自己发现的射线不为人知且神秘,因此有了这个命名灵感。

在《聊斋志异》中有一个神话,一个崂山道士拥有穿墙而过的本领。这其实和X光诊断人体疾病的原理一样。太阳照在我们身上,身后会有影子是因为阳光没法射穿人体;而X光由于它天生的物理特性,真的能够“穿墙而过”,自然而然,它也可以穿透人体。放射科的医生正是派X光这个特使,从这一端进那一端出,“看看”人体究竟发生了什么病变?
这个所谓的“看看”,又涉及到了X光的物理特性。医院当中X光检查的过程当中,主要用到了它的穿透作用、差别吸收、感光作用和荧光作用。其中,穿透作用和差别吸收主要用在检查这个环节,而感光作用和荧光作用主要用在检查结果的成像环节。
所谓“穿透作用”,就是X光能够穿人而过的本领。X光能够穿人而过,是因为它本身自带的能量很大,照在人体上时,仅有部分被人体吸收,大部分没被吸引就从人体的原子间隙穿过。“吸收差别”也是X光医学检查的重要因素,人体骨骼、肌肉在X光穿过时,对X光的吸收量有显著差别,这样当医疗设备射出的X光是衡量时,另一端感应器接收到的X光射线量就出现相对差别。

我们日常看到的X光片子,就是黑白一片。“一片黑白”当中隐藏的奥秘,正是来自于X光的感光作用和荧光作用。当X光照射到如磷、铂氰化钡、硫化锌镉等物质时,这些特定物质就会散发出荧光。荧光的强度与X光射线量成正比。医院中的X光检查设备用于感应检查结果的设置,正是用X光照到会发散荧光的特定物质做成。
这样一来,衡量的X光穿透过人体射线量已经出现差异,另一端结果感应器上的荧光强度也出现对应的差异。这种荧光强度的差异,再根据相关影像技术的转换,最终就呈现出片子上黑白颜色的差异。
骨骼对于X光射线量的吸收较大,所以片子当中骨骼的颜色几乎是白色,而肌肉的吸收量较小,所以呈现为黑色。
举两个例子说明一下医生怎么通过“黑白色差”判断病情:
一、比方说某患者小腿出现明显骨折,那他骨折处对X光的吸收量就与周边骨干呈现出明显对比,骨折处就会出现一条明显的黑色裂痕。再者,医生也会通过白色“画成”的骨干是否有异常变形做判断。

二、部分患者并非因为骨折去拍片,而是因为骨头里进了异物。要想通过手术取出来,首先得准确判断异物在骨干精确到毫米的位置。医生怎么判断呢?异物在骨头内对X光的吸收量不同,那个点就会与周边骨干呈现出明显色差,一般是白色的骨干当中出现明显的黑点。通过这一异常医生就可以锁定异物位置。
万事万物都有它的两面性,X光有便于人类检查身体的物理特性,同样,它也有着可能对人体造成无法估量的损伤的物理特性。一提到X光检查,部分患者会下意识产生抵抗心理,随后可能脱口而出以下几个词:辐射、癌症。
长期接受X光的电离辐射,确实可能对人体造成自主神经功能紊乱、造血功能低下、晶状体浑浊、精子生成障碍、甚至诱发肿瘤等重大疾病,但是,万事万物都有一个量和度的问题。
进行一次普通的X光检查会给人造成多大的辐射?接受一次普通X光检查的辐射量不超过0.1豪西弗(衡量辐射量的单位);一个自然人在自己的生活环境当中,一年下来受到太阳、地球、手机等等的总辐射量约为2.4个豪西弗。
对比下来,一次X光检查根本不会对人体健康造成明显影响。
【CT:扫描更具立体感,分辨率更高】
在X光机被广泛用于医疗领域前,医生要想仔细洞察人体内的病变几乎只有一种方法——用手术刀切开人体。这种检查和治疗为一体的医疗方式,成本和风险都极高。X光机给医生检查多种疾病带来了便利,但很快新的困惑就到来:由于人体内有些器官对X线的吸收差别极小,因此X射线对那些前后重叠的组织的病变就难以发现。

CT正是在这样的医学背景下被研发。CT根本的检查和成像原理与X光相同,但二者最根本的区别在于,X光是将人体的一个或者多个器官投射到同一个平面上进行成像;CT是将人体的一个器官或者多个器官进行一层一层的扫描。
要解释这一点首先还是让我们从“CT”这个名称入手。“CT”的中文全称为“电子计算机断层扫描”。这个所谓的“断层扫描”可以这样理解,在人体的患病部位截取一个长方体,然后再把这个长方体依据不同的层厚与层距分为若干个小长方体进行分别扫描。
这项技术相比X光的突破在哪里呢?X光把前后重叠的肌肉、骨骼、器官全部投射到同一个平面上成像,这就涉及到相互遮挡等问题。这就像你要看一个人的背影,可只有一张正面的照片一样。所以X光的拍摄当中,有患者经常碰到医生要求从不同角度拍摄。

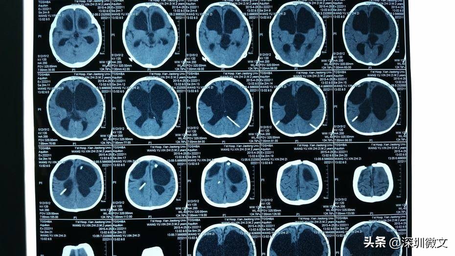
(图)脑部CT片
从X光到CT的突破和进步,我们可以广义的理解为:医生从一个长方形到从一个长方体看病变区域的突破。
除了维度的差别之外,CT另一个重要的进步和突破,在于对病变区域分辨率的差别。举例说明,人体相当的软组织对于X光的吸收量,与水对X光的吸收量很接近。成年人人体体重水占比高达70%,这样一来X光就很难在软组织和人体水分上最终呈现出“黑白色差”——软组织的病变就很容易被忽略。
摄影机要想发现狭小区域内更多的细节,通过什么手段解决呢?增加相机的像素。CT为了发现人体狭小区域的病变,也是增加了CT机器的“像素”。第一代CT机只有1-2个探测器,第二代30个探测器,第三代300-800个,*四代第**1000-2400个。这就像相机的像素越来越高一样,CT机的更新换代,意味着新一代CT机对于荧光细微的差别更加敏感,呈现效果更加清晰——狭小区域的病变细节也就更容易被看到。

由于CT的密度分辨率高,所以软组织、骨与关节都能显得很清楚。除了分辨率更高之外,CT机的又一项重大突破,是可以将各个部位对于X光吸收的差异直接量化。所谓的CT值就是对差异的量化,医生对于病变的判断因此更加准确。
但是,CT相比X光也有它的劣势。检查的过程由平面到立体,局部分辨率要求更高,这就要求患者接受机器扫描的时间更长,身体接受X射线的辐射量也就更大。一般的X光片检查只需要零点零几秒,CT扫描一般要经过5分钟左右,快的也要2分钟,人体曝光在X射线中的时间更长,电离辐射量也更大。一次普通胸部CT的辐射量大约为6.9豪西弗,这已经大大超过人一年的自然辐射量2.4豪西弗。短期内做多个位置、同一位置反复做CT辐射量更大。
【核磁共振:功能强悍,无辐射】
1946年,美国科学家珀赛尔和布洛赫同时独立地发现了核磁共振现象。因此,他们两人共同荣获了1952年诺贝尔物理学奖。这是核磁共振现象用于医疗领域的前提。

怎么通俗易懂的解释核磁共振现象呢?大家可以想象在一块场地上有若干个铁陀螺在旋转,它们旋转的方向、速度各不相同。并且这些陀螺可以准确设定旋转方向和速度,这两个因素可以保持恒定。这时候突然在场地两边加上一个磁场,铁陀螺原本恒定的旋转方向和速度,会因为磁场的强度和方向而改变。并且在改变旋转速度和方向的同时,铁陀螺会吸收和自己频率相同的电磁波,吸收的电磁波可以逐渐使每一个铁陀螺的能量相同,这时候所有的铁陀螺旋转的方向和速度就会呈现出一致性——这就是所谓的核磁共振现象。
但一旦取消给场地施加的磁场,场地上所有的铁陀螺又会恢复到他们被设置的旋转方向和速度,这个过程当中他们会将在磁场当中吸收的能量释放出来。
为什么我在解释核磁共振现象时,要设置“每一个铁陀螺自身的旋转速度、方向不同并且可以保持恒定”这个前提条件,因为我们人体就是由很多个这样的“陀螺”组成的:肺细胞的原子核有自己特定的旋转方向、速度(并且恒定),心脏细胞、肝脏细胞、肾脏细胞同样如此。

(图)核磁共振机机构图
成年人体体重水占比达到70%,这意味几乎每一个*体器人官**当中都有水这个元素。1个水分子由2个氢原子和1个氧原子组成——人体内含有大量的氢原子,每个氢原子都有自己的氢核。
上文所述的“小陀螺”,精确到人体内的就是氢核。心脏、肝脏、肾等等每一个器官内氢核的旋转速度、方向都不一样。把人体放置在均匀磁场内,这些氢核会吸收电磁波的能量,最终能量达到一致而发生共振——这就是人体内的核磁共振。
当均匀磁场撤离后,每一个器官释放出的能量各不相同,核磁共振的成像原理,正是通过感应器官释放出的能量不同而得出结果的。
医生怎么根据所谓“释放的能量不同”而诊断病变呢?

(图)膝盖核磁共振片子
健康的每一个相同器官,经过核磁共振后释放出的能量是相同的。每个器官都有一个核定健康的“能量值”。当患者完成核磁共振之后,医生正是通过比对患者的“能量值”与标准能量值的差异来判断病变与否。
还是举两个例子说明:
一、医学上有器官水肿或者器官积水这两种说法,怎样通过核磁共振判断是否水肿或者积水呢?一旦某个器官积水或者水肿,器官内的水分子肯定会增多。它共振时吸收的能量越多,释放并且被感知到的能量也越多——成像上可以通过能量异常,判断器官的水分子数量明显增多,从而确定该器官积水或者水肿。
二、器官发生病变一般意味着水分子周围环境状态和在整个器官结构当中的位置发生变化,这也会引起核磁发生共振所吸收的能量发生量变。这也是医生判断器官内部环境是否发生病变的标准之一。

(图)一张脑部核磁共振成像,它为医生提供了更多角度
“横看成岭侧成峰,远近高低各不同”,苏轼用来描写庐山的名句,其实很多时候也可以用来形容病变区域。对病变区域的观察,横看、侧看、上看、下看对结果都有着不同影响。医生要想全面、细致的了解病变区域的“全貌”,就要求检查手段能够提供不同方向的成像。
核磁共振的一个巨大技术突破,就是可以对人体进行横断面、矢状面、冠状面三维任意角度切层,这就保证了医生只要有需要,可以从任何角度观察病变区域。除此之外,没有电离辐射也是核磁共振的一大优势。
【检查侧重点不同,都各有优劣】
其实大多人更关心的问题是,我到底应该拍什么?事实上,三个检查设备的侧重点各有不同,也都各有优劣。
X光一般是初筛,对体内异物的直观诊断。对于有移位骨折、有骨质改变的骨病、关节部位骨性病变、不透光异物存留、心肺器质性疾病、消化系统梗阻等疾病有很好的诊断价值。X光的优点是对于骨干病变的诊断,但对于体内的软组织检查没有太多效果。
医院里一般都是这个程序,X光没拍出来的,医生会建议再拍CT。最适于CT检查的病是脑部疾病,其中对肿瘤、出血及梗塞等病检查效果最好,其次是腹部实质脏器的占位病变,如肝、脾、胰、肾、前列腺等部位的肿瘤,对乳腺、甲状腺等部位的肿块也能显示并做出诊断;再次则是对胸腔、肺、心腔内的肿块,脊柱、脊髓、盆腔、胆囊、子宫等部位的肿块检查。

(图)拜仁队医沃尔法特表示,通过核磁共振检查出来的结果一半都不准确,往往会夸大病情。
核磁共振检查的范围、准确率都比X光、CT强大,这也是为什么核磁共振很贵的原因。核磁共振在骨骼、肌肉和器官的检查上都有相当的价值,并且核磁共振的核心优势是对软组织的检查更准确——这也是足球运动员肌肉拉伤、韧带损伤等疾病都拍核磁共振的原因。此外,核磁共振对颅脑、脊柱和脊髓等的解剖和病变的显示,也比CT更好。
至于具体到什么病例适合拍什么,还得具体案例具体分析。说白了,还是老老实实听医生的话。