半月板损伤肯定有自我愈合的,但是自我愈合的几率比较低,要看患者的年龄,具体损伤的部位等很多因素,请大家仔细看一下下面这个图,今天我们结合这个图来跟大家好好聊一聊这个问题。

探讨半月板损伤的愈合,其实主要还是主要谈半月板三度损伤的愈合,因为半月板一度以及二度的损伤,半月板整体的形态是完整的,损伤部位主要是位于半月板的内部,这种情况不需要手术治疗休息适当的用药保守就可以了。
而三度撕裂说明半月板的形态已经完全丢失掉了,半月板不再是月牙状,而是有各种各样的损伤形状。曾经有一位运动医学界的大咖在讲课的时候说过,在书籍上将半月板分为瓣状列、放射裂、层裂等很多不同种类的撕裂,但是其实这不是特别科学的,因为没有任何一个患者的半月板撕裂是按照教科书上来的,有的时候由于患者损伤的时间比较长,或者是由于上的机制比较复杂,半月板破裂的千奇百怪,比如一个患者在刚受伤的时候是放射裂,但是如果没有及时的治疗,那么可能因为过度的使用,半月板的撕裂会变成一个非常严重的复合裂。
接下来我们就来好好探讨一下三度半月板撕裂的自我愈合问题。

聊愈合就必须聊血供,这在所有损伤愈合上都适合
血液可以说是最好的粘合剂,如果在损伤的部位没有血供,那么就几乎无法愈合。这种情况在半月板上特别的适合。
半月板的先天血供特点是,在半月板与关节囊相连的部位有少量的血供,这个位置我们通常称之为滑膜缘,基本上在半月板的1/3左右,我们从这个区域为红区。在半月板,最靠近关节腔内的1/3,我们称之为白区,这个区域几乎没有血供。这两个区域之间的是红白区。

红区的撕裂有可能愈合(是有可能愈合,几率本身就很低),白区的撕裂几乎无法愈合,而红白区的愈合几率不是没有,但是特别低。
半月板撕裂的愈合和患者的年龄也有直接的关系。
由于年轻人的半月板,血供的范围内相对来讲要大一些,而且年轻人的血液循环更加的活跃一些,一旦发生损伤愈合的几率是相对来讲比较大的。如果关注过谢医生文章的朋友,应该知道谢医生曾经保守治疗过多例半月板三度撕裂的患者,但是这些患者多数是年轻人。这样医生才有可能冒这个险去帮助患者尝试进行半月板的保守治疗。
而随着年龄的增长,半月板撕裂愈合的机会将会越来越低,一般超过50岁以上愈合的可能性就特别小了,这也是没有办法的事情,正常的衰老这是自然规律,谁也改变不了。
半月板撕裂是否能愈合,另外一个非常重要的因素就是半月板撕裂的形态,我们结合刚才聊的半月板的血供详细的分析一下。
现在协议上将文章开头那张图片再用一次,给大家讲解下半月板损伤的愈合:

●A层裂:为什么叫层裂呢?大家可以看到半月板损伤的位置,在于半月板的白区,而且有了明显的裂开,像分层了一样,如果分层的范围比较大,有可能会累积有血供的滑膜缘。这种情况在核磁上是这样子的。

如果是层裂,因为有很大一部分是位于白区,这里没有血供,自我愈合的可能性特别低,如果是年轻人在撕裂的滑膜缘有可能有部分的愈合,但是在白区几乎没有愈合的可能性。这种情况一般要进行关节镜下的手术治疗,将没有可能愈合的半月板内侧进行修整,有可能愈合的红白区和白区给予缝合,大家看下图就会明白A是半月板明显的层裂,经过修整以后,尝试给与其进行缝合,图D即为缝合之后的影像学资料。

●B放射裂:这种情况是以放射状的形式将半月板彻底撕开了,即使撕裂到了半月板的滑膜缘,由于撕裂方式的不同,这种情况几乎很难自我愈合,而且即使进行手术治疗也很难缝合。
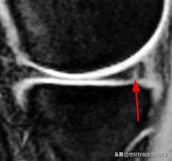
●C纵裂:这种情况由于损伤的位置,主要位于半月板的滑膜缘,这里是有血供的,这种撕裂往往有自我愈合的可能,这种情况在核磁上的表现是这个样子的

●D桶柄裂:大家仔细看这个撕裂的方式,是不是有点类似于我们在农村提的水桶的桶柄,所以我们称之为桶柄裂,也有人称之为提篮伤,核磁上是这样子的。大家细看红色的就是半月板,发生桶柄撕裂的两个部分,两个部分已经离家出走了,怎么可能自我愈合呢?和绿色的正常部分对比,大家就会发现巨大的区别。

这种损伤,几乎没有自我愈合的可能性,但是这种情况经过手术缝合是有愈合的可能的。如果是年轻人发生这种桶柄样的撕裂,必须要尝试给与其进行缝合。因为这种情况的撕裂,如果缝合以后,愈合了患者的功能会有最大的保留,否则就要进行大部分甚至是全切,这对年轻人的未来生活是有影响的,我们必须要尝试给与其进行缝合,必须努力过才不愧对患者和医生自己的内心。

●E瓣状裂:从图像上大家就会明白为什么有这样的称呼了,因为这种半月板的撕裂就形成了一个活瓣,也有人称之为鸟喙(鸟嘴)样的损伤。这种情况由于损伤已经累积了内侧1/3的白区,很难自我愈合。而且一般损伤范围比较广很难进行缝合,一般情况下是手术治疗会进行部分切除成形术。

大家看术中镜下的情况就会明白为什么不能缝合了,这种情况半月板损伤的范围是比较大的,而且涉及了白区。

总结
一旦谈及半月板三度撕裂的这个问题,很多人都考虑不想进行关节镜的手术治疗,往往都试图通过各种各样的办法来帮助自己尝试进行自我愈合,比较常见的这些办法,有长时间的烤电,各种各样的理疗,各种各样的药物,很多患者花了很多的钱,遭了很多的罪,也没有自我愈合。
由于耽误了最佳的治疗时间,导致半月板出现了严重的磨损,有些可以尝试进行半月板缝合的手术,最终也要逼得医生只能做了切除。比如像下图这样半月板已经磨损到如此的程度,谁能把它缝合上呢,这和一团棉花套是没有区别的。而能磨损到这样程度的情况,比比皆是。

要知道自我愈合和每一个人的年龄,每一个人半月板撕裂的具体形态和损伤的位置等非常多的因素是相关的,即使是非常年轻的小伙子,也有可能保守治疗无效。而如果在损伤的早期积极的进行相应的治疗,尝试在诉讼给予去进行缝合,往往会更好的加大半月板愈合的几率。所谓时间一去不回头,有的时候错过了最佳的时机,一切就都晚了。
以上就是半月板能否自我愈合的一点建议,如果您还有其他的疑惑可以在下方留言,大家共同探讨。
我是坚持用简单语言解释复杂疾病知识的谢新辉,码字不易,如果您赞同我的观点,请帮忙点个关注或点个赞吧,如果您或者是您的家人朋友也有半月板撕裂这方面的困扰,请把这篇文章转发给需要的他们吧,谢谢了!

#生命召集令超能团# #真相来了# #头条辟谣# @生命召集令 @头条健身 @头条养生 @健康真相官 @清风计划 @头条健康 @头条辟谣 @青云计划