纽约州长说:「我们仍然没有我们所需的检测能力」,也就是纽约州的检测能力不足,纽约州还有更多的病例没有被检测确诊,那么——
为什么纽约州检测的能力不够?
检测新冠病毒到底有多难?
为什么外国检测新冠这么慢?
为什么中国检测速度这么快?
检测新冠的方法
3月3日,钟南山院士向欧洲呼吸学会介绍了中国抗击新冠疫情的经验,钟南山院士说,对疑似患者的诊断非常重要,目前有两种方法,一种是实时PCR(核酸检测),一种是测量lgM(免疫抗体检测,一般在感染病毒7天后出现,也就是发生症状后的3、4天),同时还要与流感区分开,所以中国开发了针对芯片的等温扩增分析仪,可以清楚地区分COVID 19和甲流乙流。

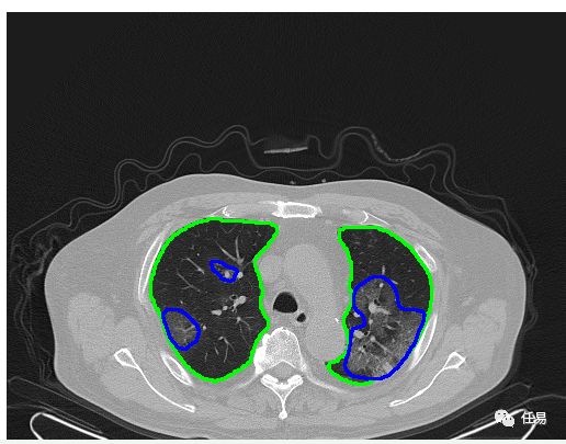
另外,钟南山院士还提到,在临床诊断上,超过85%患者出现胸部CT异常,毛玻璃样改变(GGO)或双侧浸润最为常见。但也有一些无症状患者,没有CT异常。钟院士团队收集了超过44000的病例,特别是危重患者中的病死率达到49%。
所以应书记到任后,要求把临床诊断病人(CT)也纳入方舱医院的治疗范畴,然后进一步进行抗体检测,真正做到了应收尽收,这就有效控制了疫情。
所以,根据钟院士的介绍,目前检测新冠病毒的方法主要有核酸检测、胶体金法抗体检测、CT补充监测、基于芯片的等温扩增分析仪。
在世界卫生组织的《WHO 2019新型冠状病毒指南》中,也推荐首选通过RT-PCR(逆转录-聚合酶链反应)方法进行新型冠状病毒检测,仅在无法使用RT-PCR时才建议使用血清学进行诊断。

对比下这些检测的原理和难度,大家就明白为什么美国检测得这么慢,而为什么我国确诊速度飞快,以及为什么会有核酸检测阴性的情况出现了。

图片来源:硕士论文《基于ARM的缓介导等温扩增及检测系统的研制》
检测手段的不断升级
零代:基因测序方法
早在1月11日,新冠病毒的全基因序列就已经发布了,新冠病毒是基因组序列最长的病毒之一,全基因组序列全长29847bp(bp:碱基对),所以最初检测新冠病毒的方法,就是RNA测序方法,用于检测临床诊断需要将患者样本与该病毒基因序列进行比对才能确定诊断结果,所以这就是疫情之初(12月底)很多基因检测实验室做的工作,耗时极长。
一代:PCR方法
在确定了新冠病毒的基因组之后,就可以用RT-PCR方法用试剂盒进行检测了。RT-PCR的全称是「反转录加实时聚合酶链式反应法」,就是通过扩增病原体的核酸 (RNA) ,同时通过荧光探针实时检测扩增产物。WHO网站上列出了中国、德国、香港、泰国、日本疾控中心所使用的检测方法和引物序列,基本都是针对病毒序列中高度保守(高度保守意味着基本不发生突变)的2、3个特征序列(如编码replicase「复制酶」或necleocapsid「核蛋白衣,核鞘」)的RNA序列进行检测。
PCR技术是1983年发明的,属于体外扩增核酸序列,任何分子生物学实验都会用到,根据新冠的保守特征序列,先将单链RNA逆转录成双链DNA,然后用变温的方式将双链打开、引物结合、延伸,经30个左右的温度循环,可使目的片段得到指数级的扩增,然后通过琼脂糖凝胶电泳验证,如果能检测到大量的新冠病毒保守特征序列目的片段,就说明这个病人样本已经感染了新冠病毒。但这种方式一是麻烦,二是时间长,三是开盖容易造成气溶胶污染,所以对检测实验室和人员要求很高。
我国在疫情初期为什么很多人说拿不到试剂盒?其实试剂盒产能增加很容易,难处在于检测实验室的硬件配置。新冠病毒检测所用的咽拭子可能具有高传染性,检测和离心过程中产生的气溶胶可能感染检测人员,所以对检测实验室在感染控制方面有很高要求。


图片来源:CDC
新冠病毒要求至少三级生物安全水平(BSL level 3),埃博拉病毒(Ebola)要求四级生物安全水平( BSL level 4),必须考虑通风、气压、样本流向(指样本如何送达检验实验室,在实验室中的动线,废弃样本如何处理),检测人员也要接受特殊防护训练。
需要专业的PCR分区实验室,缓冲区、试剂准备区、样本制备区、扩增分析区;实验室需要具备负压或定向气流条件、隔离操作,要有生物安全柜,保证病毒不会扩散到实验室外;需要防止样本污染环境造成假阳性;实验室仪器需要有离心机、核酸提取仪器、实时聚合酶链式反应仪器等,所以早期不是每家医院都有条件做检测,但是基建狂魔的改造速度飞快,所以后期条件具备后,检测权就很快下放到各个医院了。

PCR 1.0版本效率太低,所以很快有了2.0版本,就是在反应体系中加入荧光物质,如果发现新冠病毒保守特征序列目的片段,就会发出荧光,这个片段越多,荧光就越强,然后只需要实时对荧光强度进行检测,也就可以定量计算样本中的病毒浓度了,也就是钟南山院士说的RT-PCR方法。

用RT-PCR的方法进行检测,一般2-3个小时就能看见结果,但是如果当地没有条件检测,那就要把样本送到有条件的检测中心,比如天津港那艘船上,采集的样本就用直升机送到检测中心的;比如加州那艘至尊公主号上的样本,就是送到亚特兰大的检测中心,这就需要2-3天的时间了。
人类的创造力是无穷的,很快就推出了PCR 3.0版本,也就是数字PCR技术,通过将一小管样本分割成10万个液滴,单一液滴为独立的反应单元,反应完成后读取每一单元的荧光强度,从而最终可实现新冠病毒保守特征序列目的片段的绝对定量检测,这玩意的速度就非常快了,一天可以检测1.8万个样本,设备也不贵,一台仪器不到100万。

二代:抗体检测
抗体检测的速度是最快的,因为是检测体液或者血液中有没有lg M或者lg G的抗体,基于抗原抗体的胶体金原理进行检测,直观来看就是直接用试纸条检测。
抗体就是人体免疫系统专门针对新冠病毒生成的特异性抗体,只此一家,别无分号。按钟南山院士的说明,IgM抗体产生早,一经感染,7天内就会快速产生,维持时间短,消失快,检测阳性可作为早期感染的指标。IgG抗体产生晚,维持时间长,消失慢,检测阳性可作为感染和既往感染的指标。
抗体检测的准确性和灵敏度是有限的,基本上无法检测潜伏期和感染初期的病人,所以不能作为确诊新冠病毒的依据。但是抗体检测胜在方便快捷,只要十几分钟,无需特殊仪器,只看试纸即可得到结论。

lg M和lg G的变化趋势
但也因为抗体检测很大可能不准,所以如果只用抗体检测,有可能出现假阳性或者假阴性的情况,如上图就能清晰看出来;所以需要结合lg M、lg G一起检测,比如只测一种lg M的话,在前10天或15天后,病人就会漏检了。
三代:CRISPR技术
这个其实也不新鲜了。大家还记不记得一手炮制了转基因婴儿的那个贺建奎,宣称基因免疫艾滋病的那个畜生。他当时就是用了这个技术,但是这个技术同样可以拿来检测新冠病毒。

HIV-1型病毒,感染的是T淋巴细胞(T lymphocyte)。T细胞上面有CD4蛋白,就是图中4个球的这种,HIV-1病毒寻找的就是有CD4蛋白的细胞,找到了以后就会沾上去,就如同《异形》里面的抱脸虫一样。
抱脸虫需要把长长的生殖器注入宿主喉中进行注孕,而HIV-1病毒需要通过CCR5这个蛋白作为通道进入T细胞内部,然后就能感染T细胞导致细胞凋亡。T细胞一死,我们人类的免疫系统自然失效了——这就是获得性免疫缺陷综合征AIDS。
有很多技术可以插入和敲除DN*片A**段,已经属于相对老掉牙(15-20年)的技术,也就是利用核酸酶来把DNA剪开,而核酸酶CAS就是一种用来定位特定的基因序列,并把这段基因序列切割的技术。
这项技术成熟到什么程度呢?不说英文文献了,仅仅在中国期刊网CNKI上就有2192篇文章,包括敲掉小白鼠的基因组、鸡的基因组、敲除斑马鱼的基因组、敲除胶质细胞瘤的基因组,还有菊花、番茄、大白菜、水稻、土豆、大葱的基因,换句话说,用CAS9这个玩法去敲除基因、编辑基因是个非常成熟的工作,只要有仪器,一个硕士生都能做!这些文章不少都是硕士生发的。

旧瓶可以装新酒。对于RNA病毒,2017年麻省理工的张锋团队就开发了基于CRISPR-Cas13的检测RNA的技术(这还有一起关于CRISPR专利权的世纪审判,有空再说),结合扩增技术,CRISPR也可以检测出新冠病毒保守特征序列目的片段,张锋团队已经公开了新冠病毒的CRISPR检测法(结合扩增技术和试纸条),我们华人,也是牛掰啊。
四代:等温扩增
因为PCR技术需要快速精准的升降温过程,对仪器要求很高,所以科学家和企业界又发明了等温扩增技术,也就是只使用一个温度,采用特殊的逆转录酶和RNA聚合酶实现。但是扩增的新冠病毒保守特征序列目的片段并不是任何区域都能设计出来,而且毕竟是在同一温度下反应,容易发生引物的非特异性结合,实际效果还需要反复测试,也就是容易造成假阳性。但是等温扩增技术可以拿来排除流感,钟南山院士就是这么说的。我国的科学家真牛掰,不得不服。
所以大家明白为什么某些病人的核酸检测会有阴性了吧。以生物学方式,准确、快速和廉价这三条,必须放弃一个才行,等温扩增快速廉价,还能大批量检测,那就得接受他检测不准。就跟皿煮和低效就是共生的一样,不可能又皿煮又高效。
五代:AI基因比对
有没有第五代技术呢?
——当当当当!真的有!而且还是我们互联网公司干的!而且还打破了准确和快速不兼容的魔咒。
请听题:最准的检测方法是什么?当然是全基因检测,因为其他方式都只能检测RN*片A**段或者抗体。
能不能加快全基因检测的速度呢?生物学不能,但是互联网技术可以啊!
除了传统的人工智能诊断CT,这个技术都不新鲜了,但是阿里达摩院把AI算法用在新冠病毒的基因检测上,这个创意是真的牛。浙江毕竟是阿里的大本营,达摩院与浙江疾控中心一起,搞了一个全基因组检测分析平台,利用AI和云计算的技术,对疑似病例的病毒样本进行全基因组序列对比,把原来需要几个小时的基因分析时间缩短到半小时,而且不可能漏检。
这个活是达摩院的人工智能算法专家顾斐博士搞的,作为IT人,首先快速学习,然后针对新冠病毒基因进行特征分析,并推出多个算法模型进行实验;通过分布式设计提高对比效率;在病毒序列拼接阶段,通过de Bruijn图算法,就能够精准检测变异病毒。
所以大家明白中国为什么检测得这么快了,因为在医护人员和子弟兵在一线抗疫的时候,后方的科学家和企业并没闲着,一直在不断迭代新的检测方法啊!而纽约州,估计还在用PCR 1.0版本检测呢,自然检测能力不足,比我们慢得多。谁说中国人没有创新的?这次新冠检测就能狠狠打脸。
五代基因检测技术,才真正彰显了科技向善的跨界实力。如果这项检测技术能够作为云服务交付,如果美国人民需要检测的话,只要上传样本的基因序列,然后用阿里达摩院的这套「新冠病毒全基因分析比对云服务」进行分析,一个人收你250美刀,是不是一点都不贵?是不是拯救世界?
昨天孙正义在推特上说要给日本人民提供300万套快速检测试剂,大概率就是一代检测技术PCR 2.0,或者是二代抗体检测技术,比较方便,但是孙正义竟然被日本网友喷得改变了想法——日本网友认为如果大规模检测确诊了新冠病人,轻症病人就会去医院就诊,挤兑医疗资源——这是什么神奇的脑回路……
互联网公司还能做什么
AI识别CT确诊
AI识别CT的原理,其实就是把图片进行切割,然后进行卷积,识别边缘,包括识别颜色,就是我们熟知的大白肺,所以只要有了足够的、经过标注的图像数据,我们就能用AI识别出来。
2月21日,阿里达摩院发布了AI诊断,在湖北、上海、广东、江苏等16个省市部署了26家医院,并对3万个临床疑似新冠肺炎病例CT影像进行了诊断,可以在20秒内完成评定准确率达到96%;
腾讯人工智能CT设备在武汉多家方舱医院部署,用腾讯觅影AI辅助诊断CT片子,可以在十秒完成AI评定,一分钟内给医生出具辅助诊断参考。

从诊断速度和效果来看,两家公司各有千秋;在快速基因检测上,我大鹅厂略居下风;反正双雄并立,有竞争才有进步嘛^_^
智能疫情机器人
我们大家都接到过居委会的调查电话,或者叫防控摸排,郑州那个毒王郭某鹏,不就是被大数据发现有国外旅行史,然后居委会和警察的电话就上门了?如果这个摸排电话是通过AI来打呢?是不是能极大程度加快调查效率,减少人力消耗?
目前阿里的智能疫情机器人已经在全国27个省落地,累计为57座城市拨打1250万通摸排电话,这个也是没办法,毕竟阿里做电商起家,呼叫中心的业务应用上经营更丰富,而我们大鹅厂有各种汇总打卡的小程序,等于是让大家自行填写,这算各占胜场。在这个时候,用互联网技术缓解了一线人力不足,这也是我们互联网公司的一大贡献,自豪。
数字防疫系统
腾讯给广东做了「粤省事」,阿里给浙江做了「浙里办」,都在抗疫中取得了极大作用。阿里的「浙里办」,帮助浙江做了一套数字防疫系统,打通了从居民、社区、医疗机构到政务管理的闭环,同样是阿里最喜欢的那套发源自电商的中台产品,实现所有数据的贯通。
腾讯在疫情省、市,基于腾讯的位置大数据,建立疫情人流监控态势感知系统,帮助广东防疫指挥部了解实时情况,并通过粤省事小程序进一步实现政府和居民的互动。

普天之下 举国同钉
为了远程办公,减少接触,我们有了企业微信、钉钉、腾讯会议,效率上甩开发达国家意大利不知道多少倍(意大利还有很多老人机),基本上满足了远程办公、停课不停学的需要,实现社会生产的有序恢复。最让我悲伤的是,我发现去年的很多会其实是可以不用开,也不用出差的,省下来在路上的时间,拿来看书和运动多好。
捐钱
我们互联网公司除了云计算、大数据、AI、社交网络等技术支持之外,还有钱啊!!!
回想汶川地震时,邵逸夫捐款1亿,李嘉诚捐款1.3亿;而2020年,腾讯阿里两家,捐助资金就已经超过26亿(腾讯15,阿里11),还提供了大量技术支持。自汶川震后12年,仅以庞大的民间捐款来看,就能感受到我国国泰民安,国富民强了吧。
而马老师这次捐的钱里,有一笔真的花在刀刃上了——中国工程院接受了2000万的捐款,用于加快病毒疫苗研发,钟南山院士也能用上这笔钱!

中国拯救世界
所以我一直认为,在这次疫情中,中国会拯救世界。其中最魔幻的是,当时为了满足抗疫需要,华大生物、广州万孚、上海之江、英诺特、三诺生物等一批企业,玩了命的生产检测试剂盒,就怕耽误事;国内的疫情控制住后,本以为抗疫任务结束最大,损失不损失的两说,万万没想到国外爆发了!
于是我国的医药企业如三诺生物、广州万孚等,本着拯救世界的美好目标,开始把检测试剂盒推向欧盟,并且获得了欧盟准入资格,这是上市公司公告的截图,我明天看看能不能买上5万块钱的股票,真的,是万万没想到啊。


拯救世界背后,还有国家药品监督管理局的功劳——应急审批新冠病毒检测产品。
2月22日,应急审批通过3家企业3个新型冠状病毒检测产品,包括2个胶体金法抗体检测试剂、1个恒温扩增芯片法核酸检测试剂。
3月1日,应急审批通过3家企业4个新型冠状病毒检测产品,包括2个化学发光法抗体检测试剂、2个荧光PCR法核酸检测试剂,截至目前,共批准新冠病毒核酸检测试剂10个,抗体检测试剂4个。
3月5日,应急审批通过厦门万泰凯瑞生物技术有限公司1个新型冠状病毒(2019-nCoV)抗体检测试剂盒(化学发光微粒子免疫检测法),该产品通过纳米顺磁颗粒与化学发光结合的免疫分析技术。采用双抗原夹心原理,配套全自动化学发光仪,通过检测化学发光反应信号,定性检测人血清或血浆中新型冠状病毒(2019-nCoV)抗体。
3月11日,应急审批通过广东和信健康科技有限公司新型冠状病毒(2019-nCoV)IgM抗体检测试剂盒(胶体金法)。该产品采用免疫层析技术,通过间接法定性检测人新型冠状病毒(2019-nCoV)IgM抗体。

最后一个问题,容我卖个关子:
我们为什么要向国外捐检测试剂?
大家关注我的头条号「任易」,然后发私信「检测」二字给我,就能得到答案啦^_^
跟理工男一起直指真相。感谢大家关注我的头条号「任易」,我是南开本科,清华硕士,12年工龄,在IBM做过销售,在地铁公司管过项目施工,在石油公司做过项目经理、售前顾问,现在在鹅厂做云计算,所以对销售、施工、人力、组织、项目、造价、IT都比较熟,所以对这些线索会非常敏感。