钱江晚报·小时新闻 通讯员 王蕊 金丽娜

春暖花开,一切已经慢慢恢复正常。尽管如此,还是有人会因为担心害怕,在身体出现不适的时候,选择“再忍一忍、再等一等”而没有及时就诊。但健康面前,时间就是生命,重病急病千万不能拖。安吉的吴女士就深有体会。
疫情期间胃口变差
一查是个足球大小肿瘤
“哦呦,再次谢谢你们,谢谢浙一的专家!”在浙大一院肿瘤外科复查的52岁的吴女士(化名)拍着自己的胸脯,向我们说起那次让她仍然“惊魂未定”的经历。
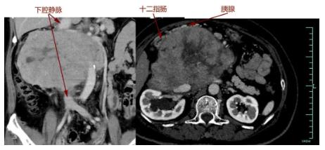
前段时间,吴女士偶尔觉得上腹部闷胀不适,本来以为是胃病,但配了胃药后症状丝毫没有缓解。随后,她感觉吃饭都受到影响了,胃口越来越小,从来没有过这种情况的吴女士,赶紧来到浙大一院安吉分院就诊,不想检查结果不仅让全家人恐惧,就连接诊的医生也皱起了眉——吴女士后腹膜区长了一个超20厘米的巨大肿瘤,将近有一个足球大小,压迫重要脏器和直连心脏的下腔静脉,复杂凶险的病情让当地医生犯了难。

“我平时都没生过什么大病,突然查出这种病,当时一下就哭了。”吴女士说,“医生建议我们去浙大一院看,可是当时疫情防控又很严,也不知道能不能顺利,我急得又哭了。”不过很快,医生带去了一个好消息:已经联系上浙大一院肿瘤外科主任滕理送教授进行远程会诊。
“我当时一看资料,就觉得这是个‘烫手山芋’。”滕教授回忆,尽管预料到治疗会很难,但团队还是接下来了,因为大家都知道,如果吴女士不尽快手术,只要肿瘤稍有进展,就会导致肠梗阻,并压迫多个脏器甚至引起衰竭,危及生命,“任何时候都是救命要紧。”
多学科协作,步步攻克
超高难度手术顺利完成
很快,吴女士转院至浙大一院肿瘤外科,完善各项术前检查后,滕教授发现情况远比最初判断严重:肿瘤与胰十二指肠、肾脏等多个脏器及主干血管关系不清,直接吞噬了腔静脉,双肾血管受累,已有轻度肾功能异常。
如果手术,要面临多脏器切除、血管重建等多个复杂、高风险操作的可能,且存在术中出现无法控制的大出血、肿瘤无法完全切除等可能。但如果不手术,等待吴女士的将是生命的凋谢。

“我们做过很多类似的手术,但像她这样与血管黏连这么牢的很少。”滕教授表示,随即组织了放射科、泌尿外科、血管外科、肛肠外科、麻醉科、输血科等进行会诊,制定严密的手术方案。针对术中血管与脏器保留或重建的关键问题,他与肛肠外科主任、小肠移植专家吴国生教授,血管外科主任张鸿坤进行了反复探讨,“肿瘤吞噬了腔静脉,这是人体最重要的血管,就像下水管一样,稍有不慎就会大出血,造成不可挽回的后果,而肿瘤如果侵犯肠系膜,可能还要做自体小肠移植。”

手术过程和预计的一样凶险,手术团队小心翼翼将肠道、肾脏血管从肿瘤成功分离。但真正的困难很快出现:肿瘤与胰腺头部黏连,下腔静脉也被侵犯,滕教授当机立断,切断十二指肠及胰头,游离肿瘤两端下腔静脉,最后分离切除大血管部分肿瘤。由于肿瘤向血管内生长,肿瘤切下的同时血液一涌而出,早有准备的团队立即阻断下腔静脉以控制出血,快速切除肿瘤,张鸿坤主任随即缝合修补下腔静脉。万幸的是,术中发现肿瘤与肠系膜血管黏连不严重,避免了自体小肠移植。
手术在步步紧逼、环环相扣下顺利结束,目前吴女士已经康复出院,并在医生指导下进行下一步治疗。“这个手术真的很难,能够成功也是医院整体能力的体现。”滕教授介绍。

浙大一院肿瘤外科主任滕理送
吴女士手术的那个时期,正是疫情最吃紧的时候,回想起那段时光,浙大一院的医护人员无论是在抗疫一线,还是在日常诊疗工作中,都坚守岗位,护佑群众健康,团结协作创造生命奇迹,冲破阴霾,拥抱阳光。
