面部*疮痤**感染,意外导致股骨头坏死
今天故事的主人公是一位热爱踢足球的初中生——阿峰(患者化名)。
今年15岁的阿峰,在来到广州中医药大学第三附属医院何伟教授门诊之前,刚经历一场“生死之战”——2021年8月阿峰因为面部*疮痤**感染,引起左膝关节疼痛,前往医院就诊,确诊为脓毒血症、感染性膝关节炎,为此,阿峰在ICU住了1个月,才将感染控制住,也捡回了一条命。出院后阿峰便回归正常的校园生活,2021年10月体育课上跑步后出现左髋关节疼痛,有了上次的经验,家长也不敢掉以轻心,便赶忙带他去医院检查,通过X光片及磁共振确诊为左侧股骨头坏死,这让阿峰一家人再次陷入迷茫,无端端的怎么会出现股骨头坏死呢?
抱着对诊断的不相信,阿峰家人多方打听,了解到何伟教授是国内知名的股骨头坏死专家,便带着阿峰来到何伟教授的门诊。何伟教授从病史中了解到阿峰既往没有明显髋部外伤史,也没有服用激素史与酗酒史;查体发现阿峰行走跛行、下蹲困难、髋关节外展、内外旋活动受限,X光片显示左股骨头内密度不均、塌陷,磁共振(MR)提示左股骨头大范围坏死、左股骨近端骨髓水肿。根据病史、临床检查与影像资料,股骨头坏死的诊断已经明确,而且已经发展到3期(塌陷),保髋到了刻不容缓的时机,同时阿峰数月前曾发生过严重感染,髋关节有无合并感染,也需要尽快明确,于是何伟教授建议阿峰尽快办理入院。
磁共振检查结果提示:左股骨近端骨髓水肿

入院后,针对阿峰的情况,何伟教授与关节中心张庆文主任、柴生頲、陈雷雷副主任、李子祺主管医生等就阿峰的诊断与治疗方案进行讨论,确诊为左股骨头坏死3期、特发性,髋关节没有合并感染。考虑到阿峰年仅15岁,虽然股骨头已经塌陷,但塌陷时间尚不长(不超过半年),决定尽快手术保髋,手术方案采用何伟教授团队独创的经髋关节前入路、死骨清除、*压打**支撑植骨术。2021年12月31日,阿峰接受了手术,手术过程很顺利,术后病理结果也完全符合术前诊断。
阿峰出院后1.5个月、5个月、半年、9个月、13个月,均严格遵医嘱返院复诊,接受康复指导,术后半年即可恢复行走,术后13个月,阿峰的髋关节基本恢复正常,不仅疼痛消失,而且跑步、下蹲等正常活动都没有问题,复查完毕后,本已离开诊室的阿峰,又心怀忐忑委托母亲咨询何伟教授,能否继续参加踢足球、打篮球等运动,何伟教授给予了肯定的答复,阿峰听说后也露出了久违的笑容。


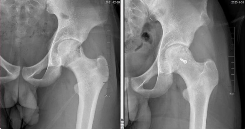
△术前术后X光图对比可见:左侧股骨头坏死修复,头臼匹配

及时保髋治疗,重圆少年足球梦
何伟指出,大部分引起青少年股骨头坏死的原因是长期大量使用激素,或外伤导致股骨颈骨折后并发股骨头坏死,像阿峰这样原因不明的坏死(特发性股骨头坏死)比较少见,由于处于生长发育的快速时期,股骨头坏死往往很快发生塌陷,因此当青少年髋部疼痛、活动受限、步态异常,家长需警惕是否发生股骨头坏死,及时带患者到股骨头坏死专科门诊接受检查。
针对青少年股骨头坏死早期塌陷,应该尽快接受保髋手术治疗,医院关节中心团队独创的经髋关节外科脱位、*压打**支撑植骨是最合适的保髋手术之一。何伟分析,阿峰之所以能够保髋成功,主要是由于及时采用保髋手术及术后中医药治疗,并积极配合康复治疗,不仅坏死修复、塌陷纠正,髋关节功能也完全恢复正常,从而继续踢足球的梦想得以实现。
科室介绍
骨一科(关节中心关节科)
广州中医药大学第三附属医院关节中心是国家级重点学科“中医骨伤科学”重要组成部分,是国家中医药管理局与广东省中医重点专科,是广州中医药大学髋关节研究中心、广东省中医骨伤研究院依托的临床科室,包含关节科和运动医学科两个专业,是国内开展关节手术数量最多、治疗手段最丰富的科室之一。 诊疗范围
成人及儿童骨坏死、骨关节先后天畸形、退行性骨关节炎、类风湿性关节炎与强直性脊柱炎累及四肢关节、骨关节感染、骨与软组织肿瘤、中青年股骨颈骨折、四肢各大关节(肩、肘、腕、髋、膝、踝)软骨、韧带、半月板、关节盂唇、肩袖等运动损伤等。
特*医色**疗优势
○ 以股骨头坏死为主的髋关节疾病保髋诊治。 关节中心拥有30余年、数万例的临床经验,形成了系统的、具有创新性的预防、早期和准确诊断、以中医药为主的综合保守治疗、保留自身髋关节的保髋手术治疗的综合防治体系,显著提高临床疗效,在保髋研究领域一直处于国内引领的地位,在国内外享有极高声誉,使年轻患者得以避免或大大延缓施行人工关节置换手术。
○ 膝关节骨性关节炎阶梯治疗。 针对膝关节骨性关节炎不同部位、不同程度的损害,关节中心阶梯式采用中医药为主的单纯药物治疗、综合保守治疗、关节镜微创手术治疗、改变关节负重力线(部位)的截骨手术治疗、部分关节置换手术到全膝关节表面置换手术治疗,为膝关节骨性关节炎提供了更加全面、精准的治疗手段,提高了临床疗效。
○ 是国内最早开展人工关节置换手术的单位之一。 近年来,关节中心开展关节置换手术量居省内前列。科室近年也积极推广应用快速康复外科理念,加强无痛病房建设,同时将中医“整体观念”与之结合,采用中西医结合方法,使患者在手术后局部与全身功能得以同步、快速康复,同时降低感染、深部静脉血栓形成等并发症的发生率。
○ 关节镜微创手术。 关节中心开展关节镜微创手术已十余年,广泛用于肩关节、髋关节、膝关节及踝关节等部位的运动损伤和疾病治疗,年均手术量逐年增长。关节中心已经广泛开展关节镜下膝关节多发韧带损伤一期重建、肩关节巨大肩袖损伤组织瓣移植修补、肩关节习惯性脱位Latjet手术、髋关节盂唇修补及骨赘清除等高难度手术。关节镜微创手术大大减少了手术创伤,局部更加美观,加快了术后的康复进程,疗效更加满意。
专家介绍

何伟 教授(二级),广州中医药大学第三附属医院主任中医师, 博士研究生导师、博士后合作导师、广东省名中医
2020年加入广州中医药大学第三附属医院,现任广东省中医骨伤研究院首席教授、广州中医药大学髋关节研究中心主任、国家重点学科(中医骨伤科学)带头人。
主要社会兼职:中国中西医结合学会骨伤科分会骨坏死专家委员会主任委员、国际骨循环硏究会(ARCO)中国区副主席、全国股骨头坏死保髋联盟理事长等。
从事骨科临床、科研、教学工作30余年,专注于股骨头坏死的基础和临床研究,创新提出股骨头坏死“围塌陷期”新概念、诊断标准,提高了股骨头坏死诊断水平,并在此基础上创立系列中西医结合保髋新技术,显著提高了股骨头坏死保髋疗效,达到国内领先、国际先进水平。开展人工髋关节置换数量居国内前列,尤其擅长复杂初次人工髋关节置换与髋关节翻修。
先后获得省部级以上科技进步奖6项,主持包括国家自然基金在内的省部级以上科研课题9项;
出诊信息
总院 : 周二下午
总院地址:广州市荔湾区龙溪大道261号
供稿:左国璟 | 初审:何伟
排版编辑(实习生):林于琳
文字编辑:叶美琪 | 校对编辑:李龙浩
审核:王剑 | 审定发布:范琳燕