运动会伤膝盖吗?什么样的运动不伤膝盖?

重量训练固然有很多好处,但百利总有一害,运动伤害是最常见也最恼人的副作用。身体各大关节中,膝盖是最常出状况的关节之一。有骨科名医说爬楼梯是最笨的运动,因为膝盖会承受体重四倍的重量。这句话反映出“膝盖是一种机械”的概念,越常或越用力使用它,都会使其磨损。
那么如果我们在健身房里做大重量的蹲举、硬举,会不会也造成膝盖软骨磨损而提早退化?
重训或其它运动会伤膝盖吗?要怎么做才不会提早到复健科报到?本篇将详尽介绍。
什么是膝盖退化性关节炎?
膝盖是由股骨(大腿骨)、髌骨(膝盖骨)、胫骨(小腿骨)三者组成的,骨头跟骨头之间又有一层软骨作为缓冲、降低摩擦之用。膝盖退化性关节炎的最大特点,就是这层软骨的流失(注1)。

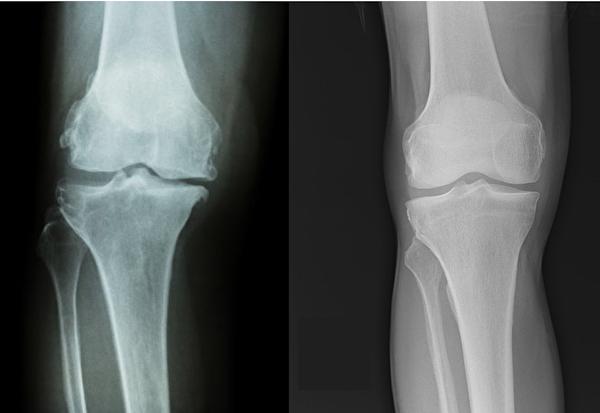
软骨磨损的膝关节(左)和正常的膝关节(右)。
上面右图是正常的膝关节,可以看到骨头与骨头之间有充足的空间,这层空间由软骨所占据。而左图的膝关节内侧的空间明显变窄了,这意味着软骨的厚度降低(注2)。
这个疾病一般发生在40岁以上,会造成患者疼痛、僵硬、行动不便。
退化性关节炎也是中老年人失能的重要原因之一,想像一下如果走路十分钟,膝盖就会肿起来痛到受不了,哪都不能去,这对生活品质的影响有多大?
(注1:软骨流失变薄虽然是退化性关节炎的重要特色,但磨损程度与疼痛的程度往往不吻合。有些病人软骨已经很薄了,却一点也不痛,而相反的情况也不少见。)
(注2:退化性关节炎并不是只有软骨流失,周边包括骨头、韧带、肌腱、肌肉、滑液膜等都会产生病理变化。)
退化性关节炎是怎么产生的?
名侦探柯南说:“真相永远只有一个”,但在医学的领域里,真相往往不只一个。
科学家目前并不完全知道退化性关节炎是怎么来的,以前的观念认为是机械性磨损造成软骨流失,这概念听来合理,但近来的研究发现真相其实复杂得多。
年龄、肥胖、职业(常常蹲下或跪着的工作)、旧伤、冲击性运动、遗传等都是退化性关节炎的危险因子。目前认为单纯的压力并不足以损害软骨,而是组织的修复能力下降(例如年纪大),加上关节结构问题(例如O型腿),与环境因素复杂交互作用,最后才引发膝盖退化。

造成膝盖退化的原因有很多,不能单一而论。
有学者最近提出了一个新的观点:肌肉是稳定关节与吸收冲击的重要功臣,因此肌肉的失能与无力才是膝盖退化的主因。
运动会不会造成退化性关节炎?
如果我们把人体关节想成是机械齿轮,那么保养膝盖的方法很简单:就是尽量少用,并且常常上油润滑它。换成人来说,就是尽量不要运动,什么深蹲、跑步、爬山,只要会让膝盖承重的动作最好都避免。
可以直接了当地告诉各位,这种想法是错误的。
如果上述的“机械观点”为真,所有运动的人膝盖应该都会提早退化,但这个推论早已被科学否定。
2017年“美国运动医学”期刊报导了一篇统合性研究,分析累积至今的文献,学者发现跑步者接受膝关节置换手术的机会,比不跑步者来得低。比较70岁的跑者与同年龄不运动的普通人,发现跑步并不会增加膝盖退化风险。不只是跑步,综合目前科学研究看来,中等强度的运动都不会引发退化性关节炎。
请注意这句话的重点:“中等强度”,因为有些运动确实会加速膝盖退化。
研究发现长跑、举重、足球等专项运动一旦达到了精英水准,例如你是国手,曾代表国家出国比赛,那么老来发生退化性关节炎的概率就会比较高。另外,接触性、具高冲击性的运动如格斗、曲棍球、美式足球、跳伞选手,年纪大了膝盖也普遍更糟糕。
那么职业、业余运动员,或是喜爱重量训练的读者们,该不该担心膝盖出问题?
健康的膝盖非常坚韧,可以吸收高强度的冲击力。但为什么职业运动,或是接触性运动特别容易膝盖退化呢?
● 接触性运动容易造成膝盖受伤:非接触性运动如蹲举(深蹲),是在一个受控制的环境里进行,选手们只要注意自己的姿势就好了。可是武术、美式足球这种运动,对手在场上乱窜,随时想要擒抱你扑倒你,根本就无法避免伤害。膝盖一旦受伤后,因为软骨、半月板的自我修复能力有限,又或者韧带受伤、肌肉失能,造成膝关节的进一步不稳定而加速磨损,所以接触性运动特别伤膝盖。
● 职业选手生来就是为了赢得比赛,因此体能表现往往是优先于健康考量。随着运动表现提升,所需的训练强度也得越高,训练强度高,风险也会增加。硬举300公斤的受伤风险远比硬举30公斤高,这点应该不难想像。但职业运动员即使受伤,也很少会就此停止训练。在受伤的情况下膝关节更不稳定,加上训练所承受的压力,膝盖当然提早退化。
● 在职业高水准赛事,选手常需要在肌肉疲劳的情况下持续承受关节冲击力。肌肉疲劳会使其吸收冲击、稳定关节的能力较差,也有可能造成膝关节磨损。
简单来说,膝盖受伤加上长期承受高压,或是在肌肉疲劳下持续运动,是职业与接触运动选手好发退化性关节炎的主因。
在没有受伤、不操过头的前提下,膝关节对于逐渐增加的压力有很好的耐受性。
举例来说,核磁共振研究发现职业马拉松的膝关节在赛后好端端的没有变化,但初学者完赛后膝盖却产生关节积液与各种构造异常。跑一样的距离,老鸟的关节没事,菜鸟却惨兮兮,这是因为职业选手的膝关节经长期训练,已经累积出足以承受马拉松的抗压性,但初学者的软骨还很“嫩”,突然跑一场全马对它而言不是训练,是摧残。

在未受伤、适量运动前提下,膝关节对逐渐增加的压力有很好的耐受性。
以重训的族群来说,循序渐进、保持姿势正确、注意身体复原、不要每次都操到力竭(注3),让膝盖的骨骼、肌肉、软组织有时间慢慢适应增强的压力。如果很幸运地一辈子都没有受伤,那么我个人猜测,重量训练不会让膝盖退化,还反而可能保护膝盖。
(注3:这点是我个人推测,既然力竭是绝对的肌肉疲劳,那么每一组蹲举都操到力竭对膝关节的稳定性应该有不良影响。我认为力竭不是不可以,但是要“省着点用”。)
退化性关节炎患者可不可以运动?
“膝盖退化患者可不可以运动?”这个问题的答案几乎没有争议:
“可以,而且建议要做。”
不管是水中有氧(用来减轻关节负重)、陆上有氧、重量训练、物理治疗、走路、股四头肌强化,都能够减轻疼痛、增进日常活动功能,而且这些疗效都有大量科学实证支持。即使是非常年长的老人,重量训练也都有其功效。
目前的科学研究不认为运动会加剧退化性关节炎的症状,而且非药物运动治疗,与药物的效果相当。
这又呼应到我们前面所提及的,如果退化性关节炎是单纯磨损所造成,那么运动应该只会加剧症状,而不该改善疼痛。
膝盖退化性关节炎患者的运动处方上,美国老人医学会建议一周:
● 每天都执行缓和伸展运动,以增进活动度。
● 每周2~3次重量训练,强度为40%~60% 1RM 8~10下。
● 每周2~5次有氧运动,每次20~30分钟,强度为最大心率(或摄氧量)的40%~60%。
实际执行还是建议经医师、物理治疗师、或是专长的体能教练指导下进行。
结语
目前科学认为,中等强度运动不会造成膝盖退化,这包括了重量训练在内。即使膝关节已经退化的患者,也不该就此停止运动。相反地,运动能减缓疼痛、增进功能,是治疗退化性关节炎重要的一环。
人体运作比机械复杂得多,组织会自我修复、关节作用会随着肌肉功能改变、疼痛由神经系统主宰。
我们应该要抛弃“所有压力都会造成关节退化”或是“关节退化就该多休息”的老旧思维。