#美国老人遭警察推倒后昏迷流血# #纽约老人被警察推倒流血#
美国警察把老人用力推倒后,美国老人后退几步后摔倒在地?后脑勺着地,当时后脑勺就流血了,看摔倒的视频,应该是头部外伤不清。怀疑颅内应该也出血了。

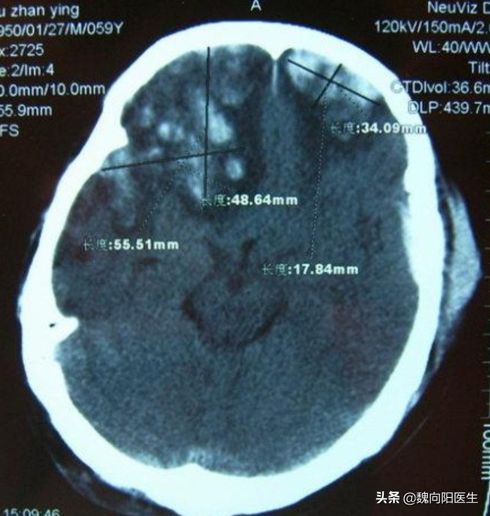
一般撞到头部后脑勺,很多脑出血是发生在前额或前颅底部位。这叫做对冲伤。
早期出现脑额颞叶挫裂伤
对冲伤(contre-coup injury):头部受外力作用时,于着力处的对侧部位的脑组织发生损伤,称为对冲伤。对冲伤多见于头颅撞击外界物体而致伤者,少见于受打击致伤者,即减速运动多见。

由于前颅底骨头表面不光滑,且神经组织众多,在后枕部受到撞击后,导致脑组织在不光滑颅骨表面滑动,从而导致脑挫裂伤、硬膜下血肿或蛛网膜下腔出血可能。
而由于枕部骨头比较坚硬,可能并不会骨折,同时起到保护枕部脑组织的作用。

后期眼睛凸起来
颈动脉海绵窦瘘(carotid cavernous fistula,CCF)属于动静脉瘘的一种。根据病因可以分为自发性和外伤性,根据的流速分为高流速和低流速,根据血管结构分为直接瘘(颈内动脉和海绵窦直接相通)和间接瘘(脑膜的供血动脉和海绵窦相通)。
当患者的一侧眼睛(很少是双侧眼睛出现),出现突起,视物模糊,眼球活动受限时可能考虑创伤性颈动脉海绵窦瘘,典型的表现是眼部血管杂音、眼球突出和眼球活动受限。多见于颅脑外伤之后发生,也有自发性发生。 眼球怎么出来了?(创伤性颈动脉海绵窦瘘) 「链接」

这是只能做脑血管造影检查,才能诊断明确。一定要及时治疗。否则突眼会越来越严重。
(此处已添加医疗卡片,请到*今条头日**客户端查看)
了解更多健康知识,关注*今条头日**魏向阳医生。
日拱一卒,健康一天。