老年、长距离游泳、冷水和女性性别是风险因素之一。医生警告说,这种情况经常发生在那些身体健康的人身上。肺部积液,或正式称为肺水肿,是一种相对鲜为人知的与公开水域游泳有关的危险,医生在治疗了一名患有这种疾病的妇女后在《BMJ病例报告》杂志上警告说。

肺水肿是一种医疗状况,肺部充满了液体,使得呼吸困难。这种液体积聚在肺部的空气空间和小血管中,引起炎症并降低肺部交换氧气和二氧化碳的能力。它可以由多种因素引起,包括心力衰竭、高海拔、肺部损伤和某些药物。肺水肿的症状包括呼吸急促、胸闷、咳出粉红色泡沫状液体、呼吸急促和意识模糊、疲劳,以及因缺氧而皮肤发青。肺水肿是一种严重的情况,需要及时就医,因为它可能导致呼吸衰竭和死亡。
高龄、长距离游泳、冷水和女性性别是风险因素之一,高血压和已有的心脏病也是如此。但作者强调,它经常发生在那些身体健康的人身上。
公开水域游泳已经变得非常流行,仅在2021年英国就有超过300万的爱好者。但越来越多的证据表明,这项活动与一种叫做"游泳引起的肺水肿"(简称SIPE)的疾病之间存在联系。
SIPE首次报告于1989年,它使游泳者挣扎着吸气,耗尽他们血液中的重要氧气。作者说,估计有1-2%的公开水域游泳者受此影响,但病例可能被低估。
案例妇女50多岁,是一名热衷于竞争的长距离游泳运动员和铁人三项运动员。她在晚上穿着潜水衣在17°C(63°F)左右的水温中参加了一次公开水域游泳活动后,呼吸困难并咳血。她的症状是在游了300米后开始的。她没有任何病史,但在两星期前的一次公开水域游泳中经历了呼吸困难,这迫使她放弃了比赛,并在之后的几天里感到呼吸困难。
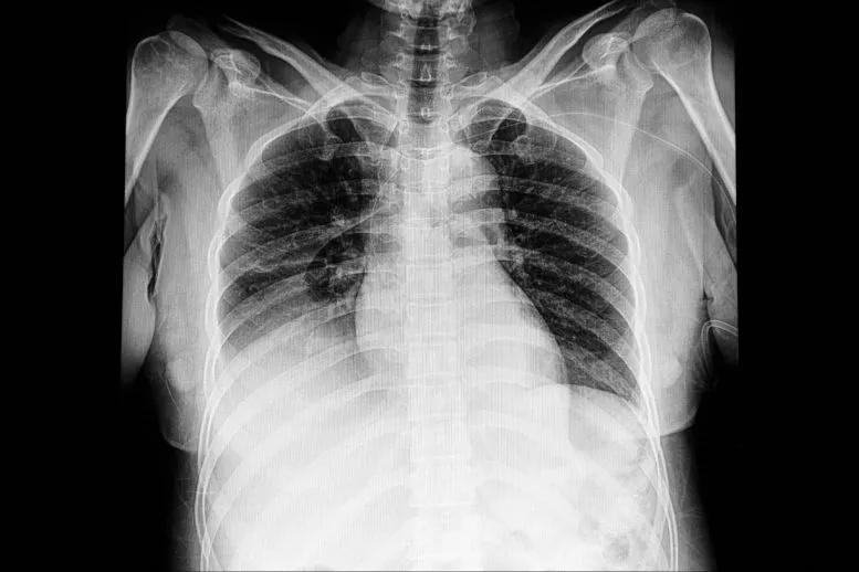
到达医院时,她的心跳很快,胸部X光检查显示肺水肿。进一步的扫描显示,液体已经浸润了心肌,这是一种被称为心肌水肿的紧张迹象。但她没有结构性心脏病。
她的症状在到达医院后的2小时内得到缓解。经过仔细监测,她于次日上午出院。
目前还不清楚导致SIPE的确切原因。但它可能涉及肺部动脉压力的增加,这是由于在寒冷的环境中血量集中,再加上这些血管因寒冷和体力消耗时血流增加而夸张地收缩。
作者说,复发是很常见的,已经有13%-22%的水肺潜水员和游泳者被报告,这表明有这种情况的易感性。他们建议以较慢的速度游泳,在较温暖的水中游泳,不穿紧身潜水衣,下水前避免使用非甾体类消炎药,如布洛芬,以尽量减少风险。
对于那些第一次出现症状的人,作者建议停止游泳,直接离开水面,然后坐直,如果需要的话,可以打电话寻求医疗援助。
作者强调,这只是一个案例,他们报告的目的是提高医生和游泳者对这种相对鲜为人知的疾病的认识。