
垂直医药领域“创意-发明-转化”的一站式服务平台
"古老的东方有一条龙,它的名字叫中国!"王力宏的一首歌,唱遍了神州大地,也代表了一些海外侨胞们的心声,那时候的他们为了更好的生存远离家乡,把华人的精神传遍全球各个角落。
最近林书豪签约北京首钢篮球俱乐部的消息炸遍各大媒体平台,林书豪可是在美国本土长大的华人,曾效力于NBA多家知名俱乐部,并获得了肯定,也是第三位获得NBA总冠军的华裔球员,其他两名则是巴特尔和孙悦。

(火箭时期的林书豪)

大巴和孙悦
为什么林书豪在篮球生涯的巅峰转投CBA呢?首先是发展,国内篮球的热度不比国外低,更何况林书豪的名气早就在国内人尽皆知,CBA肯定能让林书豪走向另一个巅峰。另外一个重要原因就是祖国的强大,让一些华人运动员诚心诚意的为祖国出征,这就是运动员的归化。
说一句题外话,林书豪和周杰伦可是好朋友呢,周董还要请林书豪出演自己的歌曲《土耳其冰淇淋》的MV,可见二人关系很铁呢。没准哪天的首钢主场你就能偶遇周董在观众席为林书豪"打Call"哦。

二人基情互动,连冰淇淋都融化了呢~
相信大家还记得前不久归化的滑雪运动员,自由式滑雪世界冠军谷爱凌。甜美的华人姑娘主动放弃美国国籍,正式转为中国国籍。
在新西兰公开赛代表中国首次夺得坡面障碍技巧冠军后,她又拿下了自由式滑雪U型场地女子冠军。在短短的12天内代表祖国出征并获得佳绩,我们能不为这样的有志国人点赞吗?!

首位中国归化运动员谷爱凌
同样的还有中超联赛,其实归化球员咱们并不陌生,小编记忆犹新的就是在韩日世界杯上日本国家队中就有一名来自巴西的归化球员桑托斯(三都主),小编还奇怪为啥日本还有黑人球员。
巴西出生的前锋艾克森成为了第一位没有中国血统的归化球员,会不会成为中国第进入世界杯的新王牌呢?
其实再此之前已经有8名归化球员入驻中超俱乐部为其效力,分别是李可、侯永永、德尔加多、阿兰、费尔南多、高拉特、布朗宁、阿洛伊西奥。

打勾的确定已经获得中国国籍,标记为问号的则还没有获得
无论是采用全本土阵容还是归化阵容,只要咱们的国足能在打进下一届世界杯,全中国都会为之沸腾。我们不想再看见输球又熟人的恶意犯规,也不想看见我们的球员在努力之下换来只有伤病和泪水。

2008年谭望嵩的那记"断子绝孙脚"
像篮球、足球、滑雪这样的运动都最在一定的安全隐患,在激烈的对抗或者做高难度的动作时,一不小心就会受到伤害,各种部位的骨折几乎可以算是家常便饭吧。

遭受激烈碰撞后,有点恐怖的骨折
胫骨、腓骨骨折在全身骨折中最为常见,在需要用腿击打的格斗类训练以及足球比赛中,运动员经常发生此类损伤,而普通生活中,咱们普通人最容易哪里受伤呢?
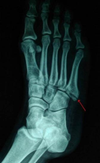
跖骨(足中间的骨)的骨折很常见,因行走过多或过度劳损造成,也可因突然、强大的*力暴**冲击所致。这种骨折易发生在老人和热爱运动的年轻人身上。

跖骨(足中间的骨)的骨折
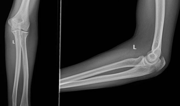
尺骨鹰嘴骨折,多发生在成年人。尺骨近端后方位于皮下的突起为鹰嘴。与前方的尺骨冠状突构成半月切迹。此切迹恰与肱骨滑车形成关节。尺肱关节只有屈伸活动,尺骨鹰嘴骨折,是波及到半月切迹的关节内骨折

尺骨鹰嘴骨折
股骨转子间骨折是老年人常见的损伤。股骨转子间骨折系指股骨颈基底至小转子水平以上部位所发生的骨折。

股骨转子间骨折
较为传统的骨折恢复方式
针对不同部位的骨折,市面上有着很多不同的恢复器材,在专利CN110123509A中,公开了一种新型的骨折固定装置,固定装置有三层,包括外层、气囊腔和内层,外层上设置有设置有粘毛,内层上设置有与粘毛配合的粘扣;气囊腔有两个腔室,分别为第一腔室和第二腔室,每个腔室上均设置有用于充气的气嘴和用于给气囊腔定型的连接片;内层上设置有用于放置夹板的夹板仓,夹板仓的两边设置有可封闭的通口,夹板仓的中间穿设有紧固绳;其中,气囊腔设置在外层和内层之间,粘毛远离气囊腔,粘钩远离气囊腔。该装置可代替现有的石膏绷带或者是骨科夹板来帮助骨折恢复,而且该固定装置的固定强度可调节,有利于关节旁边的骨折的恢复,可以避免关节僵硬的情况发生。

可以避免关节僵硬的固定器材
而在CN109984879A发明中,公开了一种用于骨折复位的无创骨折段连接装置,包括:连接板,其设有用于与骨折复位牵引装置固定连接的安装孔;变刚度夹持装置,其包括至少两个设置于所述连接板并可相对移动的变刚度夹持体;所述变刚度夹持体包括支撑件和变刚度部件;所述变刚度部件包括设置于支撑件上的气囊、填充于气囊内的颗粒物以及用于对气囊进行抽气的气泵;本装置既可以使骨折段与牵引装置实现牢靠连接,又保证连接的无创,解决目前骨折复位手术中骨折段与牵引装置连接方法存在的创伤或不可靠、跨关节牵引等问题。

骨折复位的无创骨折段连接装置
CN201510065992发明中,提出了一种促进骨折愈合的微孔仿生骨折固定装置,属于骨科医疗器械技术领域,用于达到更好的骨折复位固定效果。本发明在连接骨折部位两侧的内固定钉上分别设计了张力孔和密布的微孔,张力孔的轴向与张力骨小梁方向一致,在张力孔之间有密布的微孔,张力孔的直径为0.1-3mm,微孔的孔径为1-50um。这种结构可以允许骨小梁沿内固定钉上的张力孔及微孔长入,达到髓内外骨痂同时生长,缩短骨折愈合时间,减少骨折及手术的各种并发症。本发明利用了仿生内固定理论,采用更加符合骨骼解剖结构尤其是生物力学结构特性的仿生内固定物,使骨折恢复遵循骨折自身的传导和负荷特点,能够使骨折治疗达到满意的复位和愈合效果。

促进骨折愈合的微孔仿生骨折固定装置
3D打印技术运用于外科手术
3D打印技术的不断发展,如今也在外科上大显神威,做到打印身体各个部位的骨头从而帮助有着严重骨折的患者恢复修复骨骼,并且加快患者康复的速度,最终做到可以避免重复手术的过程甚至是需要截肢的危险治疗方式。

3D打印技术
CN110090100A,本发明涉及医疗器械领域,尤其是一种实现对患者骨折的前臂很好贴合,从而保证足够的固定力度,并使患者佩戴舒适的手臂骨折固定器及手臂骨折固定器的3D打印制作方法,包括如下步骤:a、对患者骨折的手臂进行数据采集,通过反求技术对患者骨折手臂进行数字模型的重构;b、在所述模型的基础上,利用3D打印制作方法进行手臂骨折固定器的构建;c、得到适合患者骨折手臂佩戴的手臂骨折固定器。通过反求技术对患者骨折手臂进行数字模型的重构,就可以得到与患者骨折手臂十分贴合的手臂骨折固定器,即通过个性化的设计能够提高固定器的贴合性,使患者佩戴舒适,从而更好的帮助患者的康复。本发明尤其适用于针对不同患者进行个性化康复的治疗之中。

戴舒适的手臂骨折固定器及手臂骨折固定器
骨折时常发生在我们身边,尤其事这个适合秋游爬山或者即将开学举办运动会的时期,如果老人和学生们偶遇突发的骨折事件,我们应该如何正确处理才能保证伤者的安全,小编建议在拨打急救电话后可以做以下的事情。
1. 止痛:骨折的疼痛会让伤者难以忍受,可以服下一些止疼的药物。
2. 处理伤口:如果出现流血现象,应立即用消毒纱布或干净布包扎伤口,以防伤口继续被污染。
3. 固定:正确地固定断肢,可减少伤员的疼痛及周围组织继续损伤,同时也便于伤员的搬运和转送。

责任编辑:Dr发明家服务平台
垂直医药领域“创意-发明-转化”的一站式服务平台