2023年4月20日是第七个全民关注痛风日
借此契机
广州中医药大学第三附属医院
主任中医师梁祖建、主治医师吴玲普
来和大家聊聊
骨质被“啃食”,警惕这个石头
据吴玲普介绍,疫情开放以来,全国各地餐饮业复苏,出现了“报复性”吃喝游玩的现象,同时医生发现今年以来有一类疾病的发病更为频繁,在骨科门诊里时常接诊到这类患者,那就是痛风。
吴玲普指出,痛风发展到中后期往往出现关节痛风结石,对患者生活工作带来了极大不便。比如今日的故事主角就是饱受痛风石折磨的一位患者。
36岁的患者何先生(患者化名),何先生有7年痛风病史,反复多关节发病,近3周来出现右足背部红肿热痛,本以为像往常一样吃点消炎止痛药,过几天就不痛了,结果足背肿物逐步变大,一直未能消退,1周后出现溃破,有白色浑浊渗液排除,伤口一直不愈合。
为求进一步治疗,来广州中医药大学第三附属医院骨质疏松风湿科住院。住院期间患者右膝关节出现红肿热痛,于行左膝关节穿刺抽液治疗,抽出约20ml淡黄色关节积液,内见大量棉絮状痛风石。

图①患者术前足部正面观 图②患者术前足部侧面观 图③患者抽出的膝关节积液
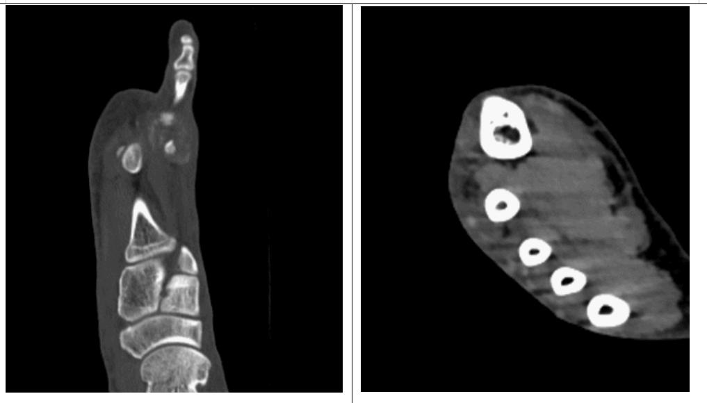
何先生的痛风石表面开起来不大,大约2cm×2cm×1cm,但是做了足部CT检查后发现其内却是“内藏玄机”。痛风石不仅存于足背皮肤表面,还存在第2、3跖骨头之间,同时还发现第2跖骨头已经出现了多处骨质囊状破坏,骨质表面已经被痛风石所“啃食”,令人不寒而栗。

图④患者足部CT检查的横截面观(左图)及矢状面观(右图)
为什么何先生会出现痛风石?小小痛风石为何有如此大的破坏力呢?痛石当道,我们如何迎风逆袭呢?让我们先来了解痛风石。
认识痛风石
痛风石是指血液中尿酸(嘌呤的代谢产物)过多,以结晶的形式沉积在关节、软组织等处,形成外观大小不一的、隆起的黄白色包块。它常发生于 耳朵、脚趾、手指、腕、肘及膝关节 等处。患处表面皮肤很薄,破溃后排出 白色粉末或糊状物 。若关节内大量沉积痛风石,可引起关节肿胀、压痛、畸形及关节功能障碍。
“痛风”一词最早出现在我国古代南北朝时期的医学典籍里,因其疼痛来得快如一阵风,故由此命名,古时又称为“痛痹”,明朝虞抟所著《医学正传》云:“夫古之所谓痛痹者,即今之痛风也。”诸方书又谓之“白虎历节风”,以其走痛与四肢骨节,如虎咬之状,而以其名名之耳。
西方医学之父希波克拉底称痛风为“不能步行的病”。“来去如风,疼痛难忍”来形容痛风急性发作期的症状再恰当不过。
痛风石的危害
吴玲普指出,痛风石是痛风的特征性改变。痛风石的形成与病程、血尿酸水平有关。病程越长,发生痛风石的概率就越大。高尿酸血症持续时间越长,越易发生痛风石。痛风石大小不一,小者如同米粒、针尖,大者如同鸡蛋黄大小。有的痛风石多为圆形,中心有较硬的结节,四周为还未结成坚硬如石的尿酸盐结晶。
痛风石逐渐增大后,其外表皮肤可能变薄溃破,形成瘘管,流出一些像石灰渣一样的干酪状物质,而且伤口很难愈合。由于尿酸有抑制细菌的作用,继发感染少见。发生在手足肌腱附近的结石,常州影响关节活动,有时需要手术治疗。
痛风石的危害是彻底性的,它会在关节附近的骨髓中侵入骨质,进而影响骨髓功能,造成骨髓畸形,或使骨质遭受损毁,以致影响日常生活。如足趾上尿酸结晶的不断沉积,则容易形成巨大的痛风石,造成不能穿鞋、行走困难等恶果。
三法带你赶走痛风石
方法一:做手术取出痛风石
因为痛风是一种自身免疫系统的疾病,目前尚无根治办法,所以对于痛风石,减轻痛苦的办法就是 做手术取出关节囊的石头 !通过手术使患者能穿衣服和戴手套,尽可能恢复功能和关节稳定,控制引流和感染,减轻疼痛,神经减压,容貌修复,代谢减少身体尿酸总量。
梁祖建指出,以下这5种情况建议手术治疗:
1.应切除较大且易切除的痛风石以减少体内尿酸的总量;
2.应切除正在增大的痛风石,以防止骨关节和软组织进一步破坏;
3.应切开正在膨大的痛风石,以免皮肤坏死;
4.对于手足痛风石应切除以矫正畸形;
5.当痛风石压迫神经时应手术减压。
据梁祖建介绍,在痛风结节破溃、伤口经久不愈以及诊断痛风石依据不足,需病理活检的时候,都应该适时有效的行手术治疗。手术方法的选择由痛风石的稳定性、关节受累程度决定。


方法二:内服外治巧治痛风石
1.中药内服
急性期用药着重于清热利湿泻浊,常用黄柏、知母、苍术、牛膝、泽泻、地骨皮、土茯苓、虎杖、白术、木瓜、萆薢、山慈姑、忍冬藤;慢性期用药着重于健脾除湿、化痰祛瘀、补肾疏肝。临床常用海螵蛸、石菖蒲、白术、柴胡、当归、白芍、茯苓、薏苡仁、车前子、泽泻、郁金、威灵仙。临床随证加减。
2.中药外敷
医生比较推荐,痛风性关节炎急性期局部常见红肿热痛,可以用双柏散、四黄散等局部冷服。慢性期可外敷化痰除湿、活血通络的关节巴布剂。
3.针灸
对于风寒湿痹者宜针灸并施,而风湿热痹者宜针不宜灸,久痹正虚以灸为宜。急性期行泻法,恢复期用于平补平泻法。常用穴位:脾俞、血海、丘墟、太溪、三阴交、太冲、太白等。
4.推拿
医生主张痛风恢复期运用推拿疗法,可以采取推、拿、按、捻、搓、摇等手法,由轻到重进行。如点按合谷、大椎、风池、肾俞,揉拿手、足三阴经。
方法三:管住嘴、迈开腿
1.健康饮食
应减少高嘌呤食物的摄入:如动物内脏、骨髓、海鲜、肉汤等。大豆、肉类、豌豆、菠菜等也含有嘌呤,同样也要少吃。
不饮含糖饮料:因为含糖饮料富含果糖,有增加血尿酸的作用。
可选择含嘌呤低的食物及碱性食物:如米、面类制品、奶类、鸡蛋、蔬菜、水果。

2.多饮水
多饮水有助于尿酸随尿液排出,尤其是在夏季多汗和服用排尿酸药物时。
3.戒烟、戒酒
饮酒可引起痛风发作,应避免;吸烟是痛风的危险因素外,还会增加心脑血管事件发生率,也应避免。
4.适当运动
运动量一般以中等量运动,少量出汗为宜。运动种类可选择散步、打乒乓球等。避免剧烈运动,如踢足球、快跑、滑冰、游泳、登山等。因为剧烈运动可使体内乳酸产生过多,使血尿酸增高。
5.规律作息
避免情绪紧张、劳累、受寒、感染等刺激因素,以免引起病情加重。
回到文章开头的那位患者何先生,最后还是经过手术治疗,切除右足背部的痛风石,伤口也愈合良好,足背部皮肤也恢复原来的平整,能够穿上鞋子正常生活了。
两位医生指出,每年的4月20日是“世界痛风日”,又称“全民关注痛风日”,设立的初衷和目标是每一个人通过科学健康管理,远离高尿酸和痛风对身体的侵害。让我们一起行动起来,痛风当道,迎风逆袭。
科室介绍
骨五科(骨质疏松科、风湿骨科)
广州中医药大学第三附属医院骨五科由骨质疏松科和风湿骨科组建而成。
骨质疏松科是在1998年广东省中医药局确定的广东省中医骨质疏松病医疗中心建设单位基础上发展起来的,是国家中医药管理局重点专科优势病种“骨质疏松症”全国协作组组长单位,全国首个中国健康促进基金会骨质疏松防治合作基地、广东省首批中医名科、广东省中医药学会骨质疏松专业委员会主任委员单位、广东省中医优势病种突破项目(骨质疏松症)牵头单位、粤港澳大湾区骨质疏松椎体骨折联盟单位,设有骨质疏松研究所、名中医传承工作室等。根据“肾主骨、脾肾相关、血瘀论”三个理论和“辨证观、整体观、平衡观”三个观点,认为骨质疏松病位主要在肾、脾、经络,提出了补肾壮骨、健脾益气、活血通络的治疗原则,研究出治疗骨质疏松症的系列药物“十味骨康口服液”等纯中药制剂。
风湿骨科围绕重点病种风湿痹病(痛风、类风湿性关节炎、风湿性关节炎、强直性脊柱炎、骨关节炎),系统梳理临床诊疗中的关键问题,明确中医药治疗优势环节,完善疗效评价体系。提出风湿骨病诊断不易,病机复杂,病程缠绵,病情顽固,治疗困难,其痛责之于风寒湿邪乘虚而入,治宜祛风除湿、清热解毒、和解表里。认为浊毒是风湿骨病的主病机,指出应重视以化浊解毒法治疗风湿骨病。强调风湿骨病的治疗应抓主证,辨兼证,析类证,临证应力求认识骨湿骨病证治规律、积极探究个体化用药特点、探索同病类证和同病类治,认为中医+微创治疗风湿骨病优势独特。
骨五科拥有医教研三位一体且经验丰富的骨代谢及风湿骨病临床科研团队。主持国家自然科学基金项目7项、省部级项目16项。荣获广东省科技进步奖二等奖2项、中华中医药学会科学技术奖二等1项、三等奖2项、中国中医药研究促进会科技进步奖二等奖1项、广州中医药大学科学技术奖一等奖、二等奖各1项、中国老年学学会骨质疏松“创新团队奖”等。
专家介绍

黄宏兴 广东省名中医、教授、主任医师、 博士生导师、博士后合作教授
擅长:中西医结合诊治骨伤科疾病,尤其骨质疏松症、痛风性关节炎、老年骨病、骨关节病、颈肩腰腿痛、跌打损伤等骨科疾病等。
出诊信息 :
总院:周一下午 名医诊区
骨伤科分院:周一上午、周三上午

张志海 主任中医师、博士、硕士研究生导师
擅长:采用中西医结合方法治疗各种骨折、脱位、筋伤、颈肩腰腿痛、关节炎、骨质疏松症,善于将传统中医疗法与手术相结合治疗各种疾病。现主攻方向:骨质疏松症、骨与关节损伤、骨关节退行性疾病等。
出诊信息:
总院:周二上午(骨科门诊5诊室)
骨伤科分院:周五上午(特诊二室)

梁祖建 广州中医药大学第三附属医院骨五科主任 主任中医师、博士、硕士生导师
广东省杰出青年医学人才、广东省中医临床优秀人才。
擅长:中西医结合治疗复杂骨折、疑难颈肩腰腿痛、顽固髋膝关节病、重度骨质疏松,对肢体矫形及肌肉骨骼系统疼痛的治疗有丰富的临床经验。主要研究领域为中西医结合治疗骨关节疾病及中药作用机理研究。目前主要立足骨发育生物学与骨生物力学进行骨衰老的相关研究。
出诊信息:
骨伤科分院:周一上午109室,周五上午特诊一室。

吴玲普 主治医师
擅长:中西医结合治疗骨质疏松症、骨关节炎、脊柱疾病及四肢骨折脱位。
出诊时间:
骨伤科分院:周三下午109室,周五上午109室
供稿:吴玲普 | 初审:梁祖建
排版编辑(实习生):林于琳
文字编辑:叶美琪 | 校对编辑:李龙浩
审核:王剑 | 审定发布:范琳燕