
这是 达医晓护的第2164篇文章

在我们医院的门急诊,常常会遇到主诉崴脚的病人,病人的病史或长或短。有的病人陈述崴脚以后,一两年内再出现多次崴脚(习惯性崴脚),病人均有踝关节肿胀、疼痛,经X线检查以后,均没有发现确切骨折,医生仔细检查后会让患者进行核磁检查,看看韧带是否有问题。很多患者非常不理解,就是一个小小的崴脚,为什么要做核磁检查?是不是医生小题大做了?骨头都没事,韧带就是有事也无碍大局。其实患者的这些观点都是错误的,崴脚并没有这么简单。

崴脚很常见
崴脚,是踝关节扭伤的俗称,指踝关节受到剧烈扭转,使关节周围的韧带、肌肉等出现损伤,为低能量损伤,不同于车祸、坠落伤等造成严重骨折脱位的高能量损伤。踝关节扭伤在日常生活中非常常见,是医院门急诊骨科最常见的损伤,占整个运动损伤的15%,其中85%为外侧韧带损伤。扭伤可发生于任何年龄,以年轻人群多见,据文献报道,在美国,每天有23000例踝关节韧带损伤。踝关节扭伤后大多数人可以康复,但15%-20%的运动损伤患者可能存在持续性疼痛,影响工作和生活。日常生活中发生踝关节扭伤的原因较多:如下楼梯落空、道路凹凸不平等;某些体育活动也常常发生崴脚,最容易发生于剧烈的体育运动包括:篮球、羽毛球、足球、网球等;穿高跟鞋的女士也易出现踝关节扭伤。

及时治疗很重要
踝关节扭伤后容易被忽视而延误治疗。其延误治疗的原因有很多,许多人(包括中小型医院的某些医生)认为,没有骨折的踝关节软组织挫伤是“小事一桩”而不被重视;患者的临床依从性不高,认为做核磁检查意义不大,就算是韧带损伤也没什么大事,易造成治疗不及时或治疗不当;一些运动员,因为踝关节的轻、中度扭伤,没有及时治疗和康复,从而影响运动成绩而退役;普通人因为扭伤治疗不当,导致踝关节肌力不足、运动能力下降、运动区域降低、不稳定(10-30%),容易反复扭伤,造成踝关节功能障碍,长期被疼痛和肿胀困扰。
了解一下踝关节
踝关节是人体重要的承重关节,可进行背伸、跖屈、内旋、外旋等多种多样的复杂活动,是足部主要的活动枢纽。其解剖结构就像人骑在马上,马是距骨,支撑着上面的人,也就是小腿,人的两只脚是内踝和外踝,周围的韧带则是马镫及马鞍,骑马者的稳定性取决于马镫及马鞍的牢固程度,所以踝关节的稳定性取决于这些韧带。

踝关节稳定由三套韧带构成:内侧韧带(又称三角韧带)复合体(胫舟韧带、胫跟韧带、胫距前韧带、胫距后韧带)、外侧韧带复合体(距腓前韧带、跟腓韧带、距腓后韧带)、下胫腓韧带复合体(下胫腓前韧带、下胫腓横韧带、下胫腓后韧带、骨间韧带)。外踝比内踝低,两者相差约1.5cm,内翻幅度约35°-41°,外翻幅度约22°-25°。
崴脚伤到的那些韧带
踝关节扭伤分为内翻位、外翻位损伤,以跖屈内翻位损伤最多见。跖屈内翻位扭伤多造成外侧副韧带损伤,其中距腓前韧带较薄,在跖屈内翻的情况下,被拉的最长,遭受张力最大,最容易损伤;跟腓韧带为唯一的踝关节囊外韧带,内翻力过大时也会发生损伤,距腓后韧带在三根韧带中是最强的,其走行与水平面平行,损伤最少见。外翻位扭伤多损伤内侧韧带复合体,它起自内踝,呈扇形向下,止于舟骨、距骨和跟骨,为踝关节最坚强的韧带,不易断裂,而是常常发生内踝的撕脱骨折。下胫腓韧带复合体损伤则为高位踝扭伤所致。
崴脚得查核磁的原因
患者扭伤后到医院就诊,X线平片为首选检查方法,观察有无骨折脱位,但是对于韧带损伤无法显示。核磁共振对软组织损伤有高分辨率、多序列、多平面成像、无辐射、评价快速等优点,成为骨关节系统韧带及软组织损伤的重要检查方法。根据损伤程度,韧带损伤可分为I-IV度损伤:I、II度损伤较轻,为韧带纤维轻度撕裂伤,可以保守治疗,III度损伤为韧带纤维大部分断裂,IV度损伤为韧带完全断裂,III、IV度损伤会造成关节失稳,经保守治疗效果不明显的,应该考虑手术治疗。
也就是说,崴脚了即使骨头没事,有可能要手术!!
临床有时患者会问,您从这核磁片子上能看出来啥?

以上依次为距腓前韧带、跟腓韧带、距腓后韧带正常核磁表现

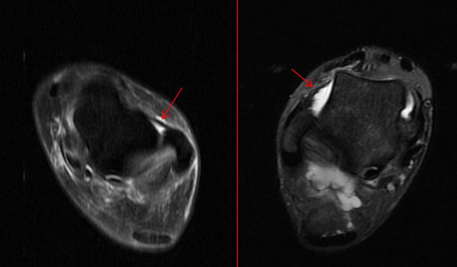
上图为距腓前韧带I度及II损伤

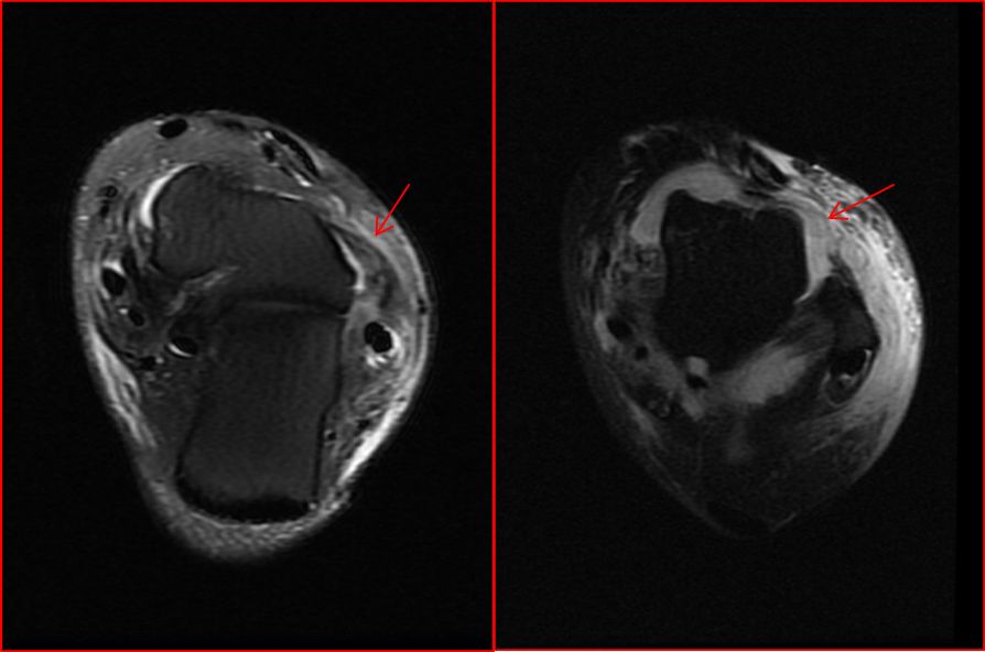
上图为距腓前韧带III度及IV度损伤
当今生活中越来越多的人群喜欢运动、旅游,增加了踝关节扭伤发生的频率。希望大家对踝关节扭伤加以重视,有针对性地及时治疗,避免韧带及软骨的损伤形成踝关节长期疼痛、肿胀,从而达到加速康复、提高生活质量和幸福指数的目的。
拥有健康足踝,生活更加美好!
作者简介
赵晖 主任医师
天津市天津医院天津大学天津医院放射一科
-
中华医学会天津市放射学会肌骨专业委员会委员
-
中国研究型医院学会肿瘤影像诊断学专业委员会骨骼软组织影像学组委员
-
中国中西医结合学会第四届骨伤科专业委员会委员
-
中国医药教育协会肩肘运动医学规范化培训冬季运动损伤分会委员
-
中华医学会天津市心身医学会风湿免疫学组委员
-
中华医学会影像技术分会第八届骨密度影像技术专业委员会QCT学组委员

部分图片摘自网络,如有侵权请告知,予以删除。
所有人名和地名均为化名,如有雷同,纯属巧合。