
给孩子买玩具,
安全很重要!安全很重要!安全很重要!
最近一款号称“安全性好、可护眼、可健身、可增强亲子互动、可让孩子独立玩耍,无需陪护……”的玩具在网上热卖起来,并很快受到家长、孩子的热捧。
回弹软轴乒乓球
↓↓

但随之增多的,还有各地曝出的多起儿童相关意外伤害!
一、3岁娃锻炼视力,结果险失明……
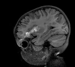
近日,福建3岁女童小美在家玩回弹软轴乒乓球时,玩具上的不锈钢软轴竟不慎插入了孩子的左眼上方!

入院一查,诊断结果吓坏了不少人:开放性颅脑损伤、颅内少量血肿、左眼眶上壁骨折伴左眼眶周围软组织挫裂伤。

医生说:“万幸不锈钢软轴只是从眼球边上擦过,没造成眼球破裂。但还是出现了玻璃体积血,孩子后期视力可能会受影响。”
福州一位购买过该玩具的宝妈江女士也表示自己买来玩具的第一天,随手打几下,玩具上的乒乓球就掉了,铁丝轴还在不停晃动,甚至从底板脱落开。
“还好当时我就在宝宝身边,要不然后果不堪设想”。

二、每3分钟就有一起儿童玩具伤害
这10类玩具要小心!
玩耍,就是孩子们的主要“工作”。玩具,更是他们的重要“工具”。
很多家长在给孩子选玩具的时候也会专门挑有趣、好玩、益智的,最好能“寓教于乐”,让孩子边玩边学。
但,玩具的安全性同样很重要,甚至应该是家长买玩具时首先考虑的要素!
一项来自美国全国儿童医院伤害研究与政策中心的研究发现:
- 从1990年至2011年,美国急诊科大概接诊了330万名因玩具相关伤害而入院的儿童;
-
在2011年,每3分钟就有1名儿童因玩具伤害入院;
-
大概一半以上的伤害发生在5岁以下的儿童中。
北京急救中心知名资深急救专家贾大成根据实际经验和一些资料,统计出10类危险系数比较大的玩具,家长最好不要给孩子玩儿,或者让孩子在自己的看护下玩儿。
1.弹射玩具
如有*弹子**的玩具枪,*伤杀**力很大。

内蒙古日报:2017年6月9日,包头一名9岁男孩在学校附近的便利店购买了牙签弩,玩耍时不慎触动了发射装置,不幸被射中左眼,造成了十级伤残。
2.带绳的玩具
比如,溜溜球。别小瞧这小小一颗球,有把孩子眼睛崩瞎的,有把孩子砸破相的,还有孩子的手指头被溜溜球的线缠得坏死了,不得不接受截指手术。

沈阳晚报:2015年1月20日,沈阳10岁男童玩溜溜球时,不慎把同学的门牙给崩碎了。
3.面具
有些面具玩具本身密不透风,在口和鼻子处没有留下呼吸的地方,长时间佩戴容易造成大脑缺氧,使孩子头晕、眼花。
还一些不合格的面具玩具是用有毒的塑料制作的,含有有毒化学物质,被孩子吸入体内可能造成伤害。

4.气球
五颜六色、造型各异的氢气球,小孩子看了都会很想要。但是氢气是一种易燃易爆的气体,如果氢气球接近火源,或者附近有人吸烟不慎靠近氢气球,都有可能导致爆炸。

新浪网:2017年12月,广东一名2岁女孩抱着氢气球玩,她7岁的哥哥在旁边玩打火机,气球瞬间爆炸,点燃女孩头发,造成面部和右手二度烧伤。
5.体积较小的玩具
如小积木、磁力珠等,特别容易误食,成为气道异物。
今年3月,复旦大学附属儿科医院接诊了一位误食磁珠的2岁男孩,分次食入的磁珠吸住了多处肠壁,形成4处肠穿孔。经过手术后,一共取出11颗磁力珠。

6.金属制玩具
第一,某些金属玩具外面涂有釉漆,作为装饰。这些漆可能含有害重金属,如铅等。
第二,金属玩具如果没有打磨干净,有尖锐锋利的棱角,易割伤孩子皮肤,造成外伤。
2015年6月,江苏省质监局公布了当年各类儿童玩具的抽检报告,其中,有少数木制玩具重金属铅含量超标。
此外,一些劣质木制玩具表面的油漆、颜料等涂层也存在脱色等风险,涂饰中的油漆、颜料含有重金属、着色剂、残留溶剂等有害物质,儿童摄入后有慢性中毒的风险。尤其对抵抗力较弱的儿童来说,铅的毒性较大,伤害会更严重。
7.不光滑的玩具
1994年,美国一款飞天娃娃上市后,造成不少孩子牙齿损伤、致盲、脸部被割破。该公司先后收到100多封投诉,最后不得不召回所有玩具。

现在,这款玩具改头换面,变成孩子们最喜欢的小黄人,配有双层螺旋桨,通电后高速转动。

作为成年人,都必须小心翼翼地玩。难以想象毛手毛脚的孩子,玩起来……
8.儿童玩具车
随着儿童年龄的增长,涉及到“骑”的玩具如脚踏动力滑板车、三轮车等引发的意外伤害增多。
数据显示,美国5至17岁的儿童中,有42%因骑行而受伤。骑行类玩具的伤害发生率是其他玩具的3倍,常见伤害包括骨折或脱臼等。

某电动平衡车广告
据北京儿童医院顺义妇儿医院官网披露,2020年5月的一个晚上,该医院综合外科朱医生在值班期间接待了4位由于玩电动平衡车导致摔伤来急诊的孩子。
他们年龄最小的只有4岁,最大的也才10岁。都有一个共同的特点,就是骑行时没有佩戴任何护具。
前不久,中国消费者协会也发出消费警示:电动平衡车不是儿童玩具,不建议为年龄较小的孩子购买
9.劣质音乐玩具
噪音过大的玩具,会对孩子听觉系统造成损害。即使有些玩具音量不大,但如果孩子时常把玩具贴近耳边,同样容易损害听力。
如果噪音经常达到80分贝,孩子会产生头疼、头昏、耳鸣、烦躁、记忆力减退等症状。
10.毛绒玩具
首先,毛绒玩具超级容易积灰。孩子们搂着TA又抱又啃,容易导致呼吸道感染、支气管痉挛、咳嗽、哮喘等呼吸道问题,部分孩子还会出现湿疹、皮肤过敏。
如果孩子太喜欢毛绒玩具,那么家长一定要加强清洁和消毒,而且每个纽扣、配件都要缝牢固。
三、给孩子买玩具,这4步不能少!

来源央视新闻
参考文献:
1.腾讯新闻:火爆孩子圈的这款玩具,已致多名儿童颅脑损伤…你家里有吗?
2.Gary Smith, MD, DrPH et al. Toy-Related Injuries Among Children Treated in US Emergency Departments, 1990-2011. Clinical Pediatrics, November 2014
3.贾大成.急救,比医生快一步[M].天津:天津科学技术出版社,2019
4.人民日报:成都重拳治理校园周边乱象!这些危险玩具你家娃娃还在玩吗?
5.搜狐网:这些玩具都有毒!千万别给孩子玩
6.经济日报:中消协消费警示:电动平衡车不是儿童玩具 不建议为年龄较小的孩子购买
7.中国妇女报:劣质音乐玩具 易损伤婴幼儿听力
本文首发:医学界儿科频道
本文整理:火锅
界妈挑玩具指南
-
孩子的玩具怎么选?美国儿科医生给你10条建议!
-
17款软泥玩具16款有问题,这些危险玩具碰不得!
-
“夺命玩具”入侵校园,一定不能给孩子接触!
-
警惕这10类玩具……一个医生的警告!
版权申明
本文原创 欢迎转发朋友圈
- End -
