
髌骨半脱位
最多见于十几岁的女孩和年轻妇女,发作性的膝关节打软,Q角增大(>15°)。髌骨恐惧试验阳性。轻度积液,中、重度积液说明有关节内血肿,提示髌骨脱位伴骨软骨骨折和出血。

胫骨结节骨骺炎
多见于十几岁的男孩(特别是正处于快速生长期的13、14岁男孩或10、11岁女孩),疼痛局限于胫骨结节,蹲、跪、上下楼梯或股四头肌强力收缩时疼痛加重,跳跃、跨栏等运动加重病情。胫骨结节局部肿胀、发热、压痛,抗主动伸膝运动或被动过屈膝关节时可引发疼痛,没有关节积液。X线摄片可阴性,或可见胫骨结节处钙化阴影,髌韧带增厚,胫骨结节前软组织肿胀。偶尔可见胫骨结节撕脱样改变 (须与撕脱骨折鉴别)。
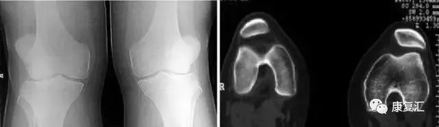
Sinding-Larsen-Johansson Disease
好发人群与胫骨结节骨骺炎一样,但病变和压痛部位在髌骨下极。X线侧位片正常或在髌骨与髌韧带结合部有斑点状的钙化阴影,钙化点融合后看上去像髌骨下极延长了。此现象多见于足球运动员。偶尔,此症也可发生于髌骨上极。
髌腱炎
多见于骨骼成熟后,髌骨下极腱-骨交界部。比较模糊的膝前痛,下楼或跑步等活动后疼痛加重,髌骨下极髌韧带压痛,但直腿抬高试验时压痛常常消失,说明病变部位位于髌韧带的深层,直腿抬高时髌韧带的浅层纤维紧张,保护了深层纤维,抗阻力伸膝活动时疼痛。没有关节积液。X线摄片阴性。
分裂 (二分)髌骨
常见于儿童,多双侧性。一般认为是正常骨化的变异,可在十几岁时融合。
症状:运动时疼痛或运动后疼痛,膝关节屈曲时疼痛、下跪时疼痛,上下楼梯时疼痛,行走时疼痛,受冷时疼痛。
分裂部扣击痛:可诱发有症状的分裂髌骨的疼痛,无症状者阴性。分裂骨片局部骨性隆起。 股四头肌萎缩, 髌骨摩擦音,大多无关节积液、跛行和关节活动度受限。有时需与骨折鉴别。

股骨头骨骺滑脱
膝关节的牵涉痛,儿童和十几岁的少年,膝关节疼痛的定位不清,没有膝关节外伤史,体重超重,受累髋关节轻度屈曲外旋,被动内旋和伸直受累髋关节可引发疼痛,膝关节检查正常,典型的X线表现为股骨头骨骺移位,临床表现典型但摄片阴性不能排除诊断,此时CT扫描有助于诊断。
剥脱性骨软骨炎
关节内的骨软骨病,病因不明,关节软骨和软骨下骨变性和再钙化,最常见于股骨内髁,模糊的、定位不清的膝关节疼痛,有晨僵,反复的关节内积液(轻度)。如有游离体,可发生交锁症状。股四头肌萎缩,受累股骨髁关节软骨面压痛。
X线平片显示骨软骨病损或关节内游离体。如怀疑剥脱性骨软骨炎,摄片应包括前后位、后前隧道位、侧位和髌股关节切线位。

髌股关节痛综合征
属于过度使用综合征,典型的病变是髌骨软骨软化,轻度到中度的膝关节痛,定位模糊,常在久坐后出现(剧院征)女性多见。可有轻度积液,膝关节活动时髌股关节摩擦音,挤压髌骨前方可引发疼痛。股四头肌抗阻力试验阳性,髌骨关节面可有压痛。X线摄片一般没有异常所见。早期退变的表现。
内侧滑膜皱襞综合征
容易漏诊,属于过度使用综合征,髌股关节内侧的滑膜皱襞由于膝关节过度活动发生炎症水肿。过度运动后出现膝关节内侧疼痛的急性发作,在膝关节内侧、关节线前方可触及有压痛、能活动的结节或条索状组织,一般无关节积液,X线摄片阴性,CT或MRI可显示滑膜皱襞。
鹅足滑囊炎
缝匠肌、股薄肌和半腱肌的肌腱在胫骨近端的内侧面形成联合止点鹅足,过度使用或直接挫伤可引起鹅足滑囊的炎症,容易与内侧副韧带损伤或内侧间室骨关节炎的疼痛混淆,膝关节内侧疼痛,反复屈膝伸膝可加重,内侧关节线的下方压痛。
没有关节内积液,内侧肌腱止点处轻度肿胀,外翻应力试验或抗阻力屈膝可引发疼痛。 X线摄片一般无异常所见。
髂胫束肌腱炎
髂胫束与股骨外髁的过度摩擦可引起髂胫束肌腱炎,也属于过度使用综合征,常见于跑步和自行车运动员,髂胫束紧张、足过度旋前、膝内翻以及胫骨旋转都是易感因素,膝关节外侧面疼痛,活动尤其是下坡跑和爬楼梯可加重。股骨外上髁(关节线上约3mm)压痛。
Noble’s test (+):病人仰卧位,检查者拇指放在病人股骨外上髁处,膝关节反复伸屈活动,疼痛通常在膝关节屈曲30°时最明显。可有软组织肿胀和摩擦音。无关节积液,X线摄片阴性。
Hoffa病
病因不明,可能与髌下脂肪垫损伤有关,损伤后出血、炎性细胞浸润、肿胀、机化,以后可能由于反复的轻微损伤,形成慢性炎症、纤维化、增生肥大。某些病人的脂肪垫特大,膝关节伸直时凸出于髌韧带两侧,容易遭受挤压,引起炎症和纤维化。症状为膝前痛,髌韧带附近和髌股关节可有压痛,X线摄片髌下脂肪垫可有粗糙的钙化阴影。
韧带损伤
侧副韧带损伤
-
内侧副韧带损伤
-
外侧副韧带(外侧韧带复合体)损伤
交叉韧带损伤
-
前交叉韧带损伤
-
后交叉韧带损伤
韧带的复合损伤

半月板损伤
发生于膝关节突然旋转损伤,如跑步者突然改变方向,也可发生于慢性退变过程中,尤其是有膝关节不稳定时,反复膝关节疼痛,交锁时加重,下蹲或膝关节旋转时可引发交锁,轻度积液,关节线压痛,股内侧肌萎缩,McMurray试验阳性 (阴性不能排除诊断)X线平片阴性。
-
MRI诊断半月板损伤的注意事项:半月板表面无清晰的连续性中断,不能诊断半月板撕裂。
-
仅在一个层面有异常信号延伸到半月板表面不能作为诊断的决定因素,此时半月板撕裂的可能性仅为50%。
-
两个或两个以上层面出现异常信号延伸到半月板表面时,诊断半月板撕裂的特异性为90%。不能仅根据MRI结果,要考虑临床症状。
-
半月板部分切除术后,由于纤维软骨的修复机制,沿切口表面产生不规则的高信号,很难在MRI上区分是残留的半月板还是新的撕裂 。
感染
可发生于任何年龄,多见于免疫系统功能减弱者:癌症、糖尿病、酒精中毒、AIDS、类固醇治疗者等,无损伤史,疼痛、肿胀、皮温升高、明显压痛,即使轻微的活动也能引起剧烈的疼痛。
关节穿刺
-
见浑浊的关节液
-
WBC>50000/mm (50 × 109L)
-
多形核细胞>75%
-
蛋白质>3g/dL (30g/L)
-
葡萄糖<50%血糖浓度
-
细菌培养 (+):金葡菌常见
血象
-
WBC升高
-
多形核细胞增加(核左移)
-
ESR加快 (>50mm/hr)CRP升高

骨关节炎
-
常见(>50岁)
-
膝关节痛
早期:活动开始时痛、剧院征、上下楼梯时痛、下蹲起立时痛,休息能缓解;
中后期:负重痛、行走痛、夜间痛
-
短时晨僵 (<20分钟),活动后消失
-
可有滑膜炎急性发作,关节间隙压痛,活动度减少
-
关节摩擦音,轻~中度关节积液
-
X线摄片:负重位前后位、侧位和髌股关节切线位。
结晶引起的炎症性关节病
急性炎症表现,无外伤史,红、肿、热、痛、活动受限。
痛风:尿酸钠结晶;假痛风:焦磷酸钙结晶。
关节穿刺
-
澄清或轻度浑浊的关节液
-
WBC 2000~75000/mm
-
蛋白质>32g/dL(320g/L)
-
葡萄糖75%血糖浓度
-
偏振光显微镜
特发性骨坏死
较高龄者 (>55岁),大部分无诱因,突然发生膝关节剧痛,夜间痛明显,关节内注射糖皮质激素无效,股骨髁关节面上有压痛,活动度影响不显著。X线摄片显示股骨内髁骨缺损及透亮层。
隐神经卡压
膝关节后内侧缝匠肌的后方有压痛点,小腿、足内侧部感觉减退,卡压点Tinnel征,隐神经:股神经 (L2~L4)分支,发2支, 髌下支分布髌前面皮肤,小腿内侧分支分布小腿内面和足内侧缘皮肤。
近侧胫腓关节不稳定症
好发于青春期女性,不固定的膝关节痛及腓总神经麻痹症状,下蹲时小腿麻木,部分为腓骨头习惯性脱位,膝外侧无力,打软,有弹响,“少女膝”。
多发性、游走性,膝关节最多见,没有器质性病变,无运动损伤、无髌骨不稳定。鹅足部、内侧关节间隙有压痛。大多双侧,可自行消失,有人认为与内分泌因素有关。 有些误诊为半月板损伤或髌骨软骨软化症而做手术,但术后症状依旧。
腘窝囊肿
常见,腘窝部的不适或轻度疼痛,腘窝饱满或扪及囊性肿块,没有压痛或轻度压痛,活动度多不受影响。多起于膝关节后内侧腓肠肌半膜肌滑囊或腓肠肌内侧头附近。可做B超、CT、MRI。

前膝关节疼痛
髌骨软骨软化被用作前膝关节疼痛的统称。但髌骨股骨综合征也常伴有前膝关节疼痛。目前常用的诊断为术语前膝关节疼痛。
鉴别诊断
-
髌骨软骨软化:症状性膝关节折叠
-
髌骨不齐:脂肪垫综合征
-
髌骨活动异常:髌骨下/髌骨前滑囊炎
-
髌骨腱炎:足鹅状滑囊炎
-
髂胫束高张:支持带神经瘤
-
半月板病变:外侧支持带张力高
-
疼痛性双髌骨:术后神经瘤
-
钝挫伤,隐裂:髋部牵涉痛
-
髌骨骨软骨炎:腰骶棘的放射性疼痛
-
辛丁一拉森一约翰逊氏病
膝关节的康复训练
膝关节骨性关节炎( knee osteoarthritis,KOA) 又称为膝关节增生性关节炎、退行性骨关节病等,是一种多发的慢性进行性骨关节疾病。临床表现为膝关节出现弹响、肿胀、疼痛、活动受限等一系列症状。

多发于中老年,发病率随年龄而增加,女性多于男性。60岁以上的人群中患病率可达50%,75岁以上的人群中则达80%。该病致残率可高达53%。流行病学调查表明,55岁以上的老年人的发病率为44%~70%。
在发病机制方面,与遗传、性别、年龄、肥胖、创伤以及炎症有关,膝关节不稳定和力线异常是导致 KOA 的主要生物力学因素。
美国大学风湿病诊断及治疗标准委员会的骨性关节炎诊断标准:
① 过去的几个月中膝关节经常疼痛
② 关节活动时出现咯噔音
③ 发病期间早上关节僵硬≥30min
④ 年龄≥42岁
⑤ 体检时见膝关节骨性膨大
膝盖疼痛康复治疗
康复治疗(无痛为主)
1、早期,膝关节肿胀、疼痛明显时
应调整和限制活动量,减轻关节负荷。适当卧床休息,减少每日活动量。可做中、高、低频电疗法消炎止痛以及超声波、冲击波等物理因子治疗。应以解决患者疼痛为主。
2、等长收缩训练
患者取长坐位,在患侧膝关节下放置一毛巾卷,让患者主动伸膝下压毛巾卷,每次坚持5s及以上。

3、等张收缩训练
患者仰卧,患肢屈膝90°放于床上,保持大腿固定,缓慢将小腿伸直抬离床面,尽量伸直膝盖,末期在空中维持5s,而后再缓慢回复至屈膝90°起始位(20-30次/组)。

4、 臀桥训练
患者仰卧,双足踩在床面上,用背部和双足支撑,缓慢尽力抬起腰部和臀部至最大限度,末期在空中维持5s,然后缓慢回复至起始位。若患者完成较轻松,可进阶至健侧平放,患侧下肢踩在床面,单腿撑起腰部和臀部(15-20次/组)。

5、仰卧位踩单车训练
仰卧,双下肢屈髋屈膝90°,交替伸髋伸膝,模拟骑自行车动作,动作缓慢而有力。必要时可于踝关节处加沙袋等负荷(20-30次/组)。

6、下蹲夹球训练
患者靠墙站立,重心置于健侧,背部紧贴墙下蹲 30~40°,在两腿之间夹住篮球,不让其掉下。末期在空中保持5s,然后缓慢回复至起始直立位。

7、 站立训练
患者于床旁站立,双足与间同宽站立,足尖朝前,重心置于健侧,患肢行内外前后抬腿训练,至最大角度保持一定时间或完成动作为1次。

8、关节活动训练
首先让患者保持仰卧位,并在CPM机上固定患肢,依据实际情况将活动范围予以明确,一天3次,每次训练时间为30分钟。若患者未出现疼痛,可以将活动范围适当增加。活动髌骨,以大拇指推动髌骨进行最大限度活动。
9、减肥
有研究表明,减肥对于KOA患者能很大程度地减少残废,体质量减少至少10%能带来中等至较好的临床效果。
10、关节腔注射
常见有关节腔注射透明质酸、关节腔注射激素、臭氧、富血小板血浆等。
手术治疗
对于一些KOA较严重的患者,以及完全影响其生活及活动的。只能采取手术治疗如:关节镜手术、关节周围截骨术、人工关节置换术等。
其他治疗
自体或异体组织,人工基质进行生物性修复关节软骨缺损的方法已进入临床应用阶段,有一定的促进软骨修复的作用。另外基因治疗也在研究进行中。
预防
注意保护膝盖,不要受凉、受潮、受外伤。
运动前要充分热身和进行动态拉伸,运动后要进行静态拉伸和肌肉放松。
运动时膝和脚尽量不要形成夹角,尽量保持一致,膝头与脚尖方向一致。屈膝动作尽量保持膝盖的垂线不超过脚尖,超过脚尖则重心多压在膝前韧带上。
减轻体重。可以相当程度地减少症状性KOA的发生。近年来人们的平均体重有上升趋势,肥胖是中老年妇女KOA发病率高的主要原因。研究表明,关节炎患者如果体重减轻6.8公斤,关节伤痛将降低一半。
游泳和散步是最好的运动,既不增加膝关节的负重能力,又能让膝关节四周的肌肉和韧带得到有效锻炼。
培养正确的生活和工作姿势,减少运动损伤,可在某种程度上降低KOA的发病率,男性尤为明显。关节外伤给男性KOA的发病带来更大的风险。
