最近看到有患者留言,自述两年前开始骑公路车,骑行一年后右膝关节酸软胀痛,长途骑行后下楼梯都疼,去医院检查核磁共振显示半月板有1到2度撕裂,该如何治疗呢?
在临床上膝关节损伤是一种很常见的疾病。在日常生活中,对于经常运动的人来说,对半月板损伤可能相对比较了解。作为人们大腿和小腿骨之间的重要组成,半月板因为所处的位置比较特殊,很容易在走路、跑步、运动的过程中受到损伤,导致患者出现关节痉挛、活动受限等问题。在突然发生损伤后,严重的话还可能会出现半月板半月板撕裂的问题,面对这种突发情况,及时到院接受正规治疗是特别重要的。

哪些人会出现半月板损伤呢?
半月板的损伤有急性损伤和慢性退变性损伤两种。
(1)一类是热爱运动的青年人群,多由剧烈运动损伤所致。 比如打篮球,踢足球,弹跳落地时扭伤、蹲下行走等,产生半月板急性创伤性损伤。
(2)一类是年龄较大的中老年人群。随着年龄的增长,老年人的半月板变性退化,所以有很多中老年患者并没有创伤史也发生了半月板损伤。

半月板损伤了有什么症状?
1、疼痛:急性期膝关节常有明显而广泛的疼痛;慢性期多见于活动时出现疼痛,尤其是在上下楼梯、下蹲起立、跑跳等活动疼痛较为明显。
2、关节弹响、交锁:部分患者在膝关节屈伸时有弹响,当半月板发生破裂后,破裂后的半月板夹在关节之间使关节塞住不能活动而发生关节交锁,即膝关节突然出现“卡”或“抽筋”的感觉,活动受限。
3、打软腿:患者上、下楼梯时,可出现打软腿症状,表现为患侧膝关节活动时突然无力感,膝关节关节不稳或滑落感。
4、损伤后期,患者可能出现股四头肌萎缩,肌力减弱,腿变细等表现。

半月板损伤了该怎么处理?
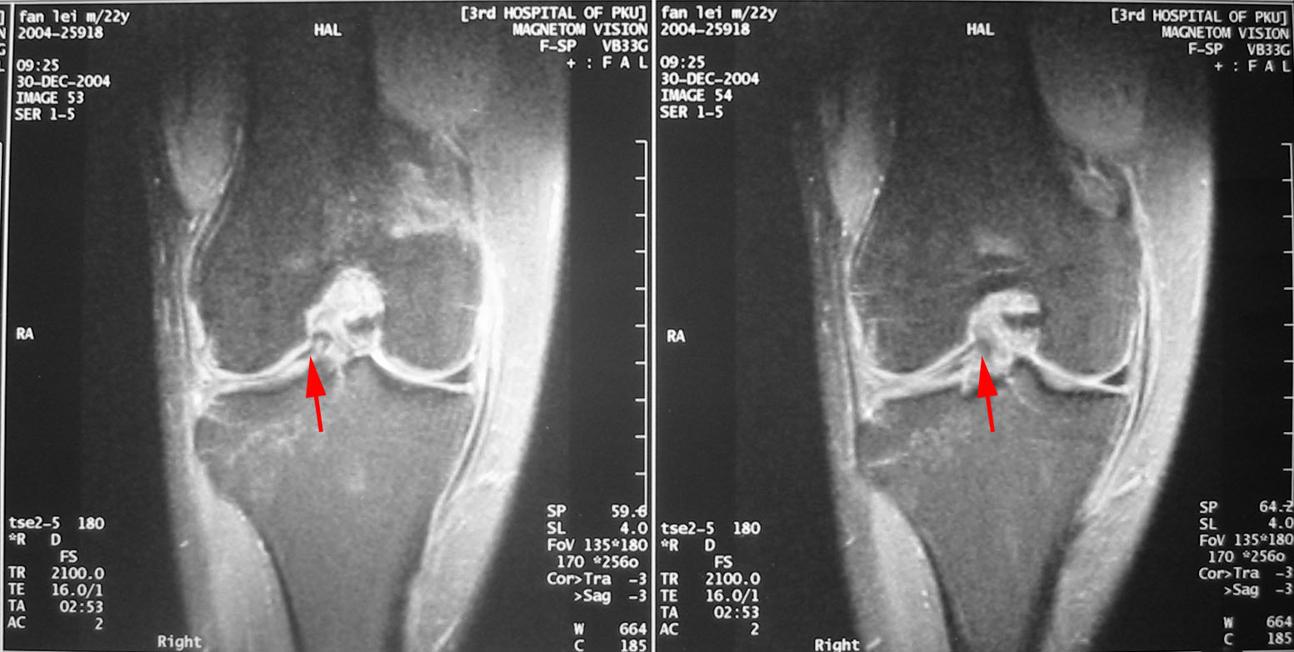
(1)半月板损伤了,一般需要进行膝关节磁共振检查(MR),可以明确半月板损伤的程度。MR下半月板损伤分为三度:
0度MRI表现正常,均一信号;
Ⅰ度和Ⅱ度MRI表现为半月板内部高信号,但不到达半月板表面;
Ⅲ度MRI表现为半月板内略高信号线累及半月板的关节缘,提示半月板撕裂。
(2)一般情况下,I-II度的MR表现是不需要手术治疗的,多数中老年人半月板MR表现为I-II度损伤,属于正常退变现象,一般无需治疗。而部分Ⅲ度损伤需要手术治疗。
半月板撕裂后(Ⅲ度损伤),一般认为,如果不处理,撕裂程度可能会越来越严重,疼痛愈加明显,时间久了,会导致上下接触的软骨磨损,继发关节软骨的损伤,软骨下骨外露,导致骨关节炎,此时再处理为时已晚。
手术治疗是针对半月板撕裂较为严重的患者,如反复出现关节交锁和慢性渗出的患者;关节压痛、关节积液、活动受限的患者及保守治疗3~6个月无效者,半月板撕裂手术多为关节镜微创手术,手术时间短、创伤小、恢复快!

希望我的科普能帮助到您!
如果有什么不懂的,可以评论私信告诉我!