声明
-
以下内容仅限医疗卫生专业人士学术交流使用;不支持以任何形式转发给非医疗卫生专业人士;如有违反,责任自负。
-
如为非医疗卫生专业人士请主动退出浏览与阅读,否则由此产生的相关风险与后果应自行承担。
-
以下内容之著作权归相关著作权权利人所有,如需转载或引用,需事先取得相关权利人的同意。
病例来源

翟建 主任医师
皖南医学院第一附属医院
33:57
病例介绍
临床资料
男,61岁
主诉: 右眼异物感伴疼痛十余天。
患者于十余天前无明显诱因下觉右眼有异物感,伴眼磨、疼痛不适等,自觉右眼变小,无眼红、畏光、流泪等刺激症状,无明显视力下降,遂来我院就诊,门诊行相关检查后拟“右眼眶内占位”收住院,余无不适。
专科检查: 右眼外上方穹窿部见不规则肿块,余未见明显异常。
影像技术(注射及扫描方案)
扫描设备 :
GEMSGEMS Sifna HDx 3.0T
扫描序列:
Ax: T1WI、fsT2WI、T1WI+C
Sag: fsT2WI、fsT1WI+C
Cor: T1WI、T1WI+C
对比剂及用量流速:
钆双胺注射液 、20ml、2.5ml/s。
影像检查
眼眶MRI平扫+增强

互动问题
1、该病变的定位?——(思考题)
2、选择题
病例解析
诊断结果及解析
问题一解析:见影像诊断思路
问题二答案:B解析:上皮性肿瘤
问题三答案:B解析:恶性上皮性肿瘤
手术及病理
右眼改良式外侧开眶术: 打开骨膜,触及泪腺处肿瘤,大小约4*5cm,质地中,外围可见包膜,延伸至眶尖部,渐分离并从眶底离出完整肿瘤,彻底止血,并填放止血海绵。
术后病理: (右眼泪腺)腺样囊性癌,癌肿大小约3.5cmX2.5cmX1.8cm;神经及横纹肌见癌侵犯,切片切缘见癌累及。
影像诊断思路
定位:
肌锥外间隙(泪腺、脂肪、眶骨)
泪腺(泪腺上皮组织+淋巴组织)
相关临床症状:眶部泪腺位于眼眶颞上方的泪腺窝内,肿块处于眼球和泪腺窝之间,压迫眼球,引起眼球突出;疼痛多因肿瘤侵蚀眶内神经组织或破坏骨质所引起,常见于泪腺恶性上皮性肿瘤,尤其腺样囊性癌,亦可见于泪腺炎性假瘤。
定性:
泪腺(泪腺上皮组织+淋巴组织)
1)泪腺上皮(腺上皮/肌上皮)50%是良性,50%是恶性
泪腺上皮性肿瘤及非上皮性肿瘤的鉴别:前者:圆形或椭圆形,后端呈弧形或弓形,包绕眼球,骨质压迫性改变或破坏性改变后者:长扁形,后端呈锐角,肿块与眼球相切且不导致眶壁的骨质改变
2)淋巴组织:结节病及淋巴瘤可侵及泪腺,是眼眶内淋巴瘤好发的部位


影像特征回顾
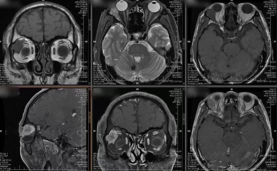
右侧眼眶肌锥外间隙(泪腺区)类圆形混杂信号结节,局部与眼环、外直肌分界不清,眼球受压,增强后不均匀明显强化
故定性:恶性上皮性肿瘤
鉴别诊断
(详细讲解及影像资料请见视频)
泪腺良性病变
1. 形性腺瘤
2. 炎性假瘤
3. 嗜酸细胞瘤
泪腺恶性病变
1.腺样囊性癌 74%
2.多形性腺癌 19%(腺癌、黏液表皮样癌及其他类型)
3.淋巴瘤
4.转移瘤
讨论
和总结

本文之内容不能以任何方式取代专业的医疗指导,也不应被视为诊疗建议。内容中出现任何药品并非为广告推广目的,医疗卫生专业人士如进行处方,请严格遵照该药品在中国批准使用的说明书。本公众号运营主体不承担任何相关责任。
来源:GE药业
【版权声明】本平台属公益学习平台,转载系出于传递更多学习信息之目的,且已标明作者和出处,如不希望被传播的老师可与我们联系删除