其实真正的大脑并不可爱,而且长得很难看。
我们从外往里看吧。生物学有时似乎非常让人满意,比如你的头上有一个真正的俄罗斯套娃。

你有头发,然后是头皮,你认为下面就是你的头骨了——但实际上头骨之上还有19样东西。
你的头骨下面,又是一大堆东西,之后才是你的大脑:

在你的头骨下面,大脑周围有三层膜,将大脑环绕:
在外面,有硬脑膜,坚固耐用,防水。硬脑膜与颅骨齐平。
有人说,大脑中没有疼痛感觉区,但硬脑膜实际上能感觉疼痛,且和你的面部肌肤一样敏感,硬膜上的压力或挫伤往往造成了人们严重的头痛。
然后下面是蛛网膜,这是一层皮肤,然后是带有弹性的纤维的开放空间。
实际上,脑外和颅骨内壁之间的唯一真正的空间差距是这个蛛网膜。这些纤维稳定了大脑的位置,因此不能动作太大,他们充当减震器,当你的头撞到东西。这个区域充满了脊髓液。
最后,是软脑膜,和脑外融合的很精巧的皮肤层。
当你看到一个大脑,它总是覆盖着许多的血管。但这些并不是真正在大脑的表面上,它们埋设在软脑膜。
下面是完整的样子,使用的样品可能是猪的大脑:

从左到右是皮肤(粉红色),然后是两个头皮层,然后是头骨,然后是硬脑膜,蛛网膜,最右边是只由软脑膜覆盖的大脑。
一旦我们把其他部分都剥离下来,我们留下了这个傻孩子:

这个荒谬的东西是宇宙中最复杂的已知物体,重约三磅,神经工程师蒂姆·汉森(Tim Hanson)称之为“最具信息密度、结构化、自组织化的物质之一”。
所有这一切只有20瓦的功率(类似计算机的功率为2400万瓦特)。
这也是麻省理工学院教授Polina Anikeeva所说的“你可以用勺子舀出的软布丁”。
大脑外科医生Ben Rapoport将它更科学地描述为“布丁和果冻之间的某种形态”。
他解释说,如果你将大脑放在桌子上,重力会使它失去形状,变得很平坦,像一个水母。
也许,在我们正在建设的伟大的知识塔的帮助下,我们可以在某个时候理解大脑。现在,让我们看看我们对头脑目前有哪些了解。
大脑,缩小看看
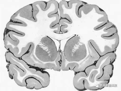
让我们使用半球横截面看看大脑的主要部分。这是你脑袋里大脑的样子:

现在,让我们把大脑取出来,并删除左半球,这让我们能看清楚内部。
神经学家Paul MacLean做了一个简单的示意图,说明了爬行动物大脑在进化中的第一次出现,然后是在哺乳动物兴盛阶段形成的古生哺乳动物脑和新哺乳动物脑。

让我们来看看每个部分:
脑干及小脑(The Brain Stem and Cerebellum)
这是我们的大脑最古老的部分:

延髓(The medulla oblongata)
延髓真的只是让你不会死。它控制非自主的事情,比如你的心脏速率、呼吸和血压。
当它认为你中毒了,就会让你呕吐。
脑桥(The pons)

脑桥的工作是,做点这个,做点那个。它涉及吞咽,膀胱控制,面部表情,咀嚼,唾液,眼泪等等。
中脑(The midbrain)
中脑与视觉,听觉,动作控制,警觉性,体温控制有关,还有一堆其他的事情。大脑被分为了前脑、中脑和后脑。
小脑(The cerebellum)
这个看起来像你大脑阴囊的东西是你的小脑,它使人保持平衡、协调和正常移动。
边缘系统(The limbic System)
大脑的边缘系统在脑干上,就是它让人类如此疯狂。
边缘系统是一种生存系统。如果你在做动物也会做的事情,可能就是你的大脑边缘系统在驾驭你。
无论你喜欢与否,你做的那些事情,就是处在原始的生存模式。
边缘系统也是你的情感所在,最终,情绪也都是为了生存——情感是更高级的生存机制,对于处在一个复杂的社会结构中的动物是必须的。
每当你发生思想斗争时,你的边缘系统很可能会让你做出你会后悔的事情。
无论如何,让我们再仔细看看。边缘系统有很多小部分。杏仁核(The amygdala)
杏仁核有点儿像是大脑结构的情感遗骸。
它涉及焦虑,悲伤,以及我们的恐惧反应。有两个杏仁核,奇怪的是,左边的已被证明更平衡,有时会产生一些幸福的感觉,而右边的永远心情不好。
海马体(The hippocampus)

你的海马体就像记忆的一块板子。
当老鼠开始记忆迷宫的方向,记忆在海马体上编码。
大鼠的两个海马体的不同部分将在迷宫的不同部分起作用,因为迷宫的每个部分被存储在自己的海马体部分。
但是,如果学习一个迷宫后,大鼠被给予其他任务,一年后,被带回原来的迷宫,就会很难回忆起它,因为海马体记忆板上的大多记忆已经被抹去,释放给新的记忆
丘脑(The thalamus)

在大脑的中心位置,丘脑也作为中间人,从你的感官接收信息,并将其发送到你的皮质处理感官信息。
当你睡觉时,丘脑也一起上床,这意味着感官中间人下班了。
这就是为什么在沉睡中,一些声音或轻轻的触摸往往不会让你起来。
如果你想唤醒深度睡眠的某人,你必须展示出足够的侵略性来唤醒他们的丘脑。
最后,我们到达了大脑皮层。
大脑皮层基本上负责所有事情:看,听,触觉,语言,动作,思维,规划和个性。
它分为四叶(lobe):

它们每个都做了很多事情,且有很多重叠:
额叶(Front lobe)处理个性,以及我们认为的许多“思考”——推理、规划和执行能力。
特别是,您的许多想法发生在额叶的前部,称为前额叶皮质。额叶负责你的身体运动。
额叶的顶部条是您的主要运动皮质。
在其它功能中, 顶叶控制你的触觉,特别是在初级躯体感觉皮层。
运动和躯体感觉皮层紧挨着对方,它们很有趣,因为它们已经被良好的映射出来了。
当我们将另一个大脑放在我们剥离的皮层上时,可以看出皮层折叠的神奇效果。
即使我们知道大脑很久以前就坐在智慧的宝座之上,直到最近,科学才发现大脑是由什么构成的。
科学家们知道身体是由细胞制成的,但是在19世纪末期,意大利医生Camillo Golgi才想出如何使用染色方法来看到什么是脑细胞。
大脑,放大看看

这不是一个细胞本来的样子。Golgi发现了神经元。
科学家们很快想通了,神经元是组成大脑和几乎所有动物的神经系统的核心单元。

神经网络

大脑材料可分为叫做灰质和白质两类。
灰质看起来颜色较深,且由大脑神经元的体细胞及其轴突和树突组成。
白质是白色的,因为这些轴突通常包裹在髓鞘中,呈脂肪白。
白质之间的大块主要由皮层神经元的轴突组成。大脑皮层是像一个伟大的指挥中心。
让我们来看看整个神经系统:神经系统分为两个部分:中枢神经系统–你的脑和脊髓和外周神经系统——由从脊髓向外辐射到身体其他部分的神经元构成。
大多数类型的神经元是与其他神经元沟通的中间神经元。
其他两个种类的神经元是感觉神经元和运动神经元 –它们顺着你的脊髓而下,组成了外周神经系统。
这些神经元可长达一米。以下是每种类型的一个典型结构:

当然,还有神经可塑性的事情。
每个神经元的电压是不断变化的,多达每秒数百次,同时数以千万计的突触连接会在我们的立方体内更改大小、消失、重新出现。
原来大脑中还有被称为神经胶质细胞的其他细胞,有许多不同的品种,具有多种功能,如清扫释放到突触的化学物质、在髓鞘包装轴突、作为大脑的免疫系统等等。
下面是一些常见的神经胶质细胞:
有多少神经胶质细胞在大脑皮层?和神经元数量相同。
最后,还有血管。在每立方毫米的皮质,共有一米的毛细血管。这样大小的空间内,血管是什么样子?

这就是较为详细的大脑了。
可能随着科技的发展,我们对大脑的认知会越来越清楚。