喜欢运动的朋友可能会发生以下情况:在运动中突然感觉小腿后方被什么东西击中或被踢中了,但环顾四周却没有发现”实施者”。之后会感到“被击中或踢中”的部位出现疼痛,踝关节活动也受到了影响,不能保证继续运动。那到底发生了什么情况呢?这种情况多数为跟腱或小腿后方肌肉撕裂。如何判断到底是跟腱撕裂了还是小腿后方肌肉撕裂了呢?是局部撕裂还是完全断裂了呢?是跟腱的哪个部位撕裂或断裂了呢?且听我细细跟大家道来。

图片来源于网络,侵删

图片来源于网络,侵删
首先简单跟大家介绍一下跟腱的解剖。跟腱是位于我们足跟与小腿之间的一条很粗壮结实、绷得很紧的肌腱,长约15cm,是我们人体最粗大的肌腱,由小腿三头肌(比目鱼肌、腓肠肌内、外头)肌腱在足跟上方约15cm处融合形成。跟腱的主要功能是使我们的足跟踮起,另外还有弯曲我们膝关节的作用。我们人能够行走、跳跃起来,能够蹬地跑起来,靠的都是它。此外,跟腱还影响我们人的直立。跟腱短,深蹲时双脚跟不能完全着地;跟腱短,跑步步子小,甚至走路有可能出现双脚不稳,对体检当兵和考驾照都会有影响。跟腱若是完全断了,我们人体就会寸步难行。

跟腱解剖示意图 图片来源于网络,侵删
跟腱断裂可分为两类:一类是自发性断裂,多发于运动员和演员,常见于篮球、羽毛球、网球、足球、跨栏、跳高等运动;另一类是外伤,通常伴有皮肤的损伤或骨折。自发断裂的跟腱通常与长期磨损导致肌腱实质部变性退化有着密切的关系。

跟腱断裂示意图 图片来源于网络,侵删
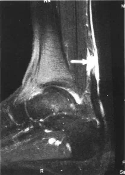
受伤后我们该如何判断跟腱是否受伤了,具体的受伤部位在哪儿?仅仅是部分撕裂还是完全断裂了?判断方法有以下几种:1、局部触摸:受伤局部压上去有疼痛感,如果是完全断了,局部可以摸到一个明显的凹陷;2、尝试足背向下活动动作,会发现疼痛伴乏力;3、受伤侧下肢不能落地行走;4、专科医生查体会发现Thompson征,亦即捏小腿三头肌试验(+);5、B超检查可明确损伤部位及损伤程度(但B超图像仅B超医师可以看懂);6、核磁共振(MRI)检查可清晰且直观地显示跟腱损伤的部位及程度(放射科医师、临床医师甚至患者都能看懂)。

捏小腿三头肌试验 图片来源于网络,侵删

跟腱断裂核磁共振表现
一旦被诊断为跟腱断裂了,为恢复较好的功能,应尽早去医院找相关专家就诊。一般来说,运动医学专科的医师不论在跟腱断裂的诊断还是手术治疗以及术后康复方面都是最专业的,他们追求的目标是功能至上,重返运动。