磁共振序列众多复杂,其信号更是复杂多变。这些你每天都会见到的MRI知识,知道几个?
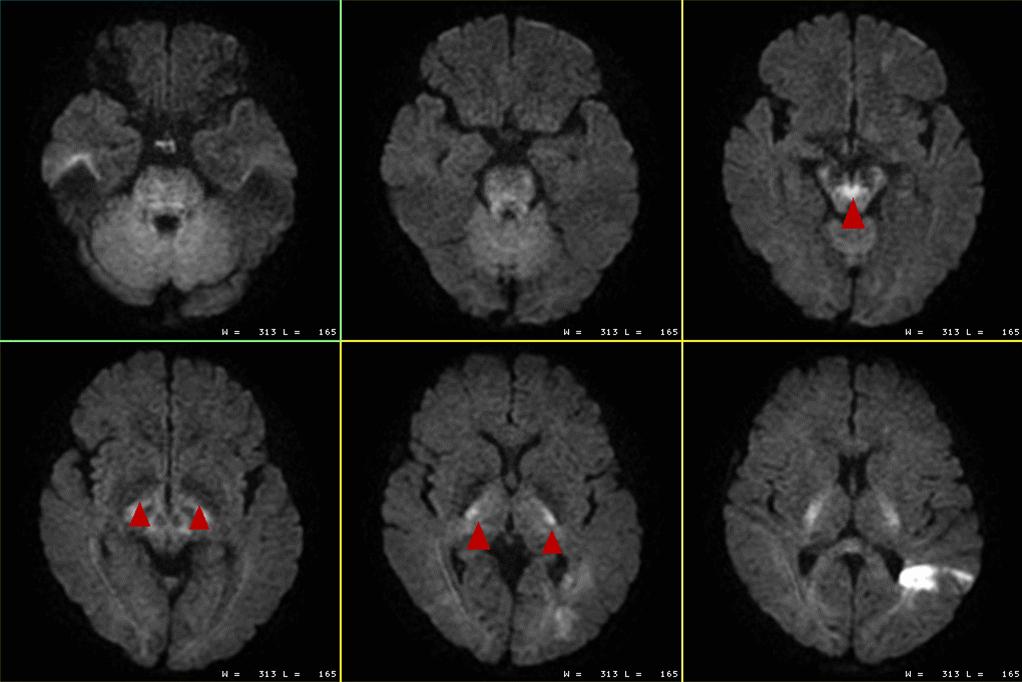
【DWI上这些均为正常影像表现,并无实际的临床意义】

成人脑在各向同性的DWI图像上很多结构会表现为高或低信号均为正常影像表现,并无实际的临床意义,如小脑上角的十字交叉、皮质脊髓束、扣带回、内囊后肢等处在DWI上均可表现为局灶性的高信号;由于生理性铁沉积在双侧苍白球处DWI可表现为低信号。虽然它们在DWI上信号表现为异常,但其ADC图上均表现为等信号。
新生儿颅脑也有类型的表现:

在DWI上额叶深部脑白质呈低信号,其相应区域的ADC值较高,均属于正常的影像改变。
脑ADC值会随着年龄的增长而增加,但增长幅度很小。新生儿和婴儿的ADC值比成人年的明显增高。脑的ADC值变化大概就是这样的:

DWI序列真是一个很神奇的序列。
【成人脑组织与新生儿脑组织MRI信号是完全不同的】

新生儿脑的发育处于白质纤维髓鞘形成和神经胶质细胞成熟的旺盛时期,其脑内水含量及生物化学成分变化较大,在MRI上信号表现形式复杂。随着细胞的逐渐成熟和髓鞘化的完成,最后MRI信号特征与成人脑相似。
人体很多部位在不同的年龄阶段( 如脊柱、四肢关节等 ) 或特殊时期(如孕期垂体等) MRI信号是具有差异的 。
【相位编码总是在短轴方向?】
书上通常说相位编码方向要放置于短轴方向是因为考虑的是扫描时间。但随着软硬件的提升,扫描时间并不是我们主要考虑的问题,而更需要考虑的是来自相位编码方向上的伪影!

为了减轻相应的伪影,很多部位的相位编码方向是置于扫描部位的长轴方向上的,如关节、脊柱等部位,并且如你细心就会发现几乎所有部位的横轴位DWI的相位编码方向都是前后方向。

所以相位编码方向并不是一定要固定于某一方向,而是要根据扫描的实际情况灵活改变。如上图,要区分到底是不是伪影,改个编码方向即可明确诊断。
【K空间的这几个特性,你知道吗?】

频率编码梯度决定K空间线的长度;相位编码梯度决定了K空间线在K空间中的位置;K空间行距决定图像FOV大小;K空间线覆盖的面积决定图像的空间分辨率。
【为了节省扫描时间,肝脏可以这么扫】

注:特异性期应根据不同的对比剂调整扫描时间,可参考说明书。
优化后的流程不但节省了扫描时间,延迟时间也延迟到位了。
你也不必担心注射对比剂后T2WI和DWI对病灶的显示及图像质量的影响,研究表明不管是在对比剂注射前或后扫描T2WI、DWI,几乎不会对MRI图像造成影响。
【MRI检查也要选时候 】

一些部位在特殊的时期是不宜做MRI检查的,如月经期间的子宫检查、乳腺检查,前列腺穿刺后前列腺检查等,这些部位如在特殊期间行MRI检查,一些正常性的生理信号可能会被误解读。
【非选择性的STIR序列并不是万精油 】
STIR序列不能用于增强扫描这是大家都知道的,但是你是否知道很多平扫也是不能用SITR序列扫描的。

如果使用FS技术压脂效果不理想时,很多人就会想到STIR序列,觉得STIR不管哪个部位都能行,特别是在做范围比较大解剖部位时,为了提高图像质量会使用非选择性的压脂序列STIR序列扫描。这样做的结果就是很多T1弛豫时间与脂肪组织相近的成分(如陈旧性出血、蛋白含量较高的黏液成分等)也会被抑制为低信号被误解为脂肪信号,造成漏误诊。
参考文献:
马里达尼, 埃克霍尔姆, 沃斯特森,等. 脑磁共振扩散加权成像[M]. 人民军医出版社, 2015.
黄珍欢,詹泽娟,涂学招,何永红,林祺,杨健.常规MRI和扩散张量成像在足月新生儿HIE的诊断价值[J].磁共振成像,2019,10(3):185-189.
Chun T , Filippi C G , Zimmerman R D , et al. Diffusion changes in the aging human brain.[J]. Ajnr American Journal of Neuroradiology, 2000, 21(6):1078.
中华医学会影像技术分会,中华医学会放射学分会.MRI检查技术专家共识[J].中华放射学杂志,2016,50(10):724-739.
Dhanda S , Thakur M , Kerkar R , et al. Diffusion-weighted imaging of gynecologic tumors: diagnostic pearls and potential pitfalls.[J]. Radiographics A Review Publication of the Radiological Society of North America Inc, 2014, 34(5):1393.
中华医学会放射学分会腹部学组.磁共振成像对比剂钆贝葡胺肝脏应用专家共识[J].中华肝胆外科杂志,2017,23(9):577-584.
孙丹丹,陈昆涛,梁迪.T2-FLAIR增强在脑及脑膜病变中的应用[J].医学综述,2020,26(10):2009-2013.
Osamu, Abe, and, et al. Normal aging in the central nervous system: quantitative MR diffusion-tensor analysis[J]. Neurobiology of Aging, 2002.
杨正汉, 冯逢, 王霄英. 磁共振成像技术指南——检查规范,临床策略及新技术(修订版)[J]. 中国医学影像学杂志, 2010, 04(v.18;No.89):26-26.
B.Kastler. 深入了解MRI基础[M]. 人民军医出版社, 2012.
·END·
来源:磁共振之家
【版权声明】本平台属公益学习平台,转载系出于传递更多学习信息之目的,且已标明作者和出处,如不希望被传播的老师可与我们联系删除