
#长沙头条# #湖南旺旺医院#
举世瞩目的世界杯足球赛在卡塔尔如火如荼进行,而就在不久前,长沙业余足球圈“模拟世界杯”顺利落幕,参加了长沙“世界杯”的小康跟随球队闯进最后四强,却高兴不起来。
原来接连几场高强度比赛后,小康的右脚踝肿了起来,走路更是疼痛难忍。

经朋友介绍,小康来到湖南旺旺医院康复科就诊。
康复科刘慧主任了解到小康很喜欢踢球,以前右脚崴过,在尚未痊愈情况下继续踢,平时没发现有问题,但这次参加比赛后开始肿痛。
刘慧主任结合相关影像资料详细评估后,发现小康是踢球踢出来的典型“足球踝”,刘慧主任给予消炎、缓解疼痛处理,同时给予增强踝关节稳定性与灵敏度训练的指导建议。

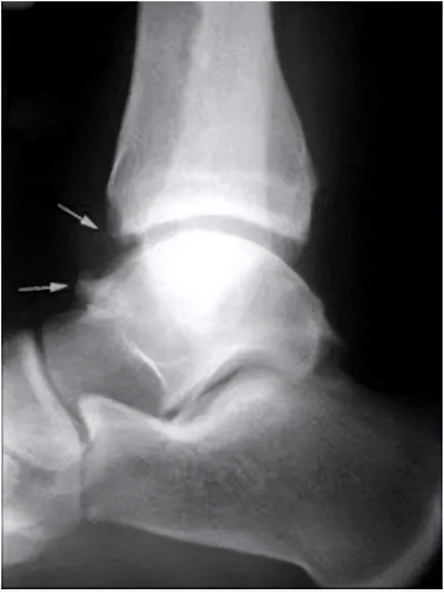
(小康X线片可见胫骨前下缘与距骨颈前上缘骨质增生)
何为足球踝?
足球踝又称踝关节前部撞击综合征,是指踝关节胫骨前唇与距骨颈骨赘之间的相互撞击,踝关节前方增生、畸形而引起的疼痛综合征,是踝关节的一种慢性创伤性骨关节炎,常见于足球爱好者,在足球运动员中患病率高达80%。
此外,在体操、滑雪运动员中也可见到。
足球踝的表现
踝关节运动时活动受限是足球踝的主要症状。
此外,踝关节前方疼痛、僵硬、轻度肿胀等也是常见症状。体征则有踝压痛、摩擦感和摩擦音。
X线检查显示胫骨和距骨颈有骨唇和骨质增生形成,有时可见游离骨体。
足球踝发生的原因
足球踝的形成与踝关节的解剖结构和踝关节过度活动以及踝关节损伤有着密切联系。
而在足球运动中,踢球者本身有些尚未痊愈或沉积性伤病,在踢球过程中不适应运动强度造成老伤加剧或在原本受伤部位造成新的伤病。
如踝关节反复扭伤引起踝关节不稳,频繁的超范围踝关节活动造成胫距骨软骨损伤等。
此外。足球运动强度大、对抗激烈、脚背触球等特点也容易引起足球踝发生。
足球踝的治疗
足球踝常推荐保守治疗,通过理疗等手段改善症状,通过踝关节稳定性的下肢肌肉力量练习,平衡能力和本体感觉练习,降低踝扭伤的发生率。
当保守治疗无效,且存在骨质增生引起踝关节活动明显困难等问题,可考虑关节镜下清理手术。

(湖南旺旺医院技师为小康做康复治疗)
足球踝的预防
发生踝扭伤后,积极规范治疗,避免遗留踝关节不稳等问题;运动前做好踝关节有效防护,充足完成比赛前的热身运动;可通过前脚掌走、单足跳、单腿下蹲支撑等动作增加踝关节力量训练。
足球参与者保持规律作息、良好运动习惯和控制体重,也有益于降低运动损伤的发生。
足球是一项运动强度大、对抗性强、运动损伤发生率高的竞技项目,号称世界第一运动,深受众人喜爱,参与度较高。
但足球爱好者一旦发生足球踝,既影响参与者的正常训练和比赛,还会影响竞技水平,同时也给生活带来痛苦和不便。
因此,只有正确认识足球踝,才能有效预防,科学诊治,“踢走”足球踝!
参考文献:王国祥,王琳主编《运动损伤与康复》等
(编辑Rainbow。)
湖南医聊特约作者:湖南旺旺医院 康复疼痛医学中心 肖狄 图/王锐
关注@湖南医聊,获取更多健康科普资讯!