
足跟一侧或两侧疼痛,不红不肿,行走不便。又称脚跟痛。是由于足跟的骨质、关节、滑囊、筋膜等处病变引起的疾病。常见的为跖筋膜炎 ,往往发生在久立或行走工作者,长期、慢性轻伤引起,在跟骨下方偏内侧的筋膜附着处骨质增生及压痛 ,侧位X 射线片显示跟骨骨刺。但是有骨刺不一定有足跟痛,跖筋膜炎不一定有骨刺。中医学认为,足跟痛多属肝肾阴虚、痰湿、血热等因所致。肝主筋、肾主骨,肝肾亏虚筋骨失养,复感风寒湿邪或慢性劳损便导致经络瘀滞,气血运行受阻,使筋骨肌肉失养而发病。

有一种痛叫足底跖腱膜炎 :跖筋膜后端较窄,附于跟骨跖面的前侧,向前分成5束,分别止于1-5趾。从足的纵弓来看,跖筋膜似一弓弦,张于足的纵弓上。人在直立或负重时弓弦就绷紧,因此对维持足弓起着重要的作用。跖筋膜炎又叫警察跟。长期站立的工作,(如警察)和负重的搬运工等经常来回走动,使弓弦似的跖筋膜长期处于绷紧状态,时久就产生了劳损性病变。
病变最易发生在跖筋膜的跟骨附着区。因为如上所述跖筋膜前部是5个附着点,而后部是一个附着点,因此在同样的情况下,跖腱膜后面跟骨附着点就容易发生劳损性病变,而产生足跟痛症状。
这种痛,可因走路过多、站立过久、身体负重等原因而加重。也可由于休息而消失或减轻。一些病人,刚开始行走疼较重,稍行几步后疼痛反而有所减轻。
老年人跖筋膜和其它组织一样趋于老化,弹性较差,因此稍长时间站立和行走就会产生跖筋膜病变而引起的足跟痛症状。跖筋膜炎的症状主要是足跟下面疼痛,疼痛部位比足跟骨下脂肪垫炎部位靠前,有时呈撕裂样的锐痛,疼痛可从足底内侧向前扩散。
检查可见足跟跖面的前内侧有明显压痛。足跟骨X线多无明显异常发现。有的病人在足跟跖面前侧可见骨刺,但骨刺和疼痛无明显关系。

有一种痛叫足底脂肪垫炎 :久病长期卧床或长期担任不负重工作的人,跟骨下脂肪垫吸收变薄,因此在同样的负重和行走情况下,容易发生跟骨脂肪垫炎而产生足跟痛。
足跟骨下脂肪垫位于跟骨下面和皮肤之间,由弹力纤维分隔成许多密闭的小房,其内充填脂肪组织,它的大小范围和跟骨下面的面积基本一致,有缓冲皮肤与跟骨的直接压迫作用,是人体的防震结构之一。人足的主要作用是行走和站立,有负重和运动躯体的两大功能。人类的足底不是平的,而是呈弓形,有纵弓和横弓,承重时主要由三个力点和地面接触,即呈三点负重。后面一点是足跟的跖面,前面两点是第一和第五跖骨头。
跟骨下脂肪垫炎的症状是足跟下面的持续性胀痛,站立和行走时由于脂肪垫受压而疼痛加重,有时疼痛表现得非常剧烈,因而病人坐卧不宁。检查病人跟骨的跖面有明显局限性压痛。
还有一种痛叫跟骨骨刺:脚后跟因种种原因造成软骨的磨损、破坏,并促成骨头本身的修补、硬化与增生,是一种自然的老化现象。足跟骨刺即足跟骨质增生,其症状是足跟压痛,走路时足跟不敢用力,有石硌、针刺的感觉。

病例
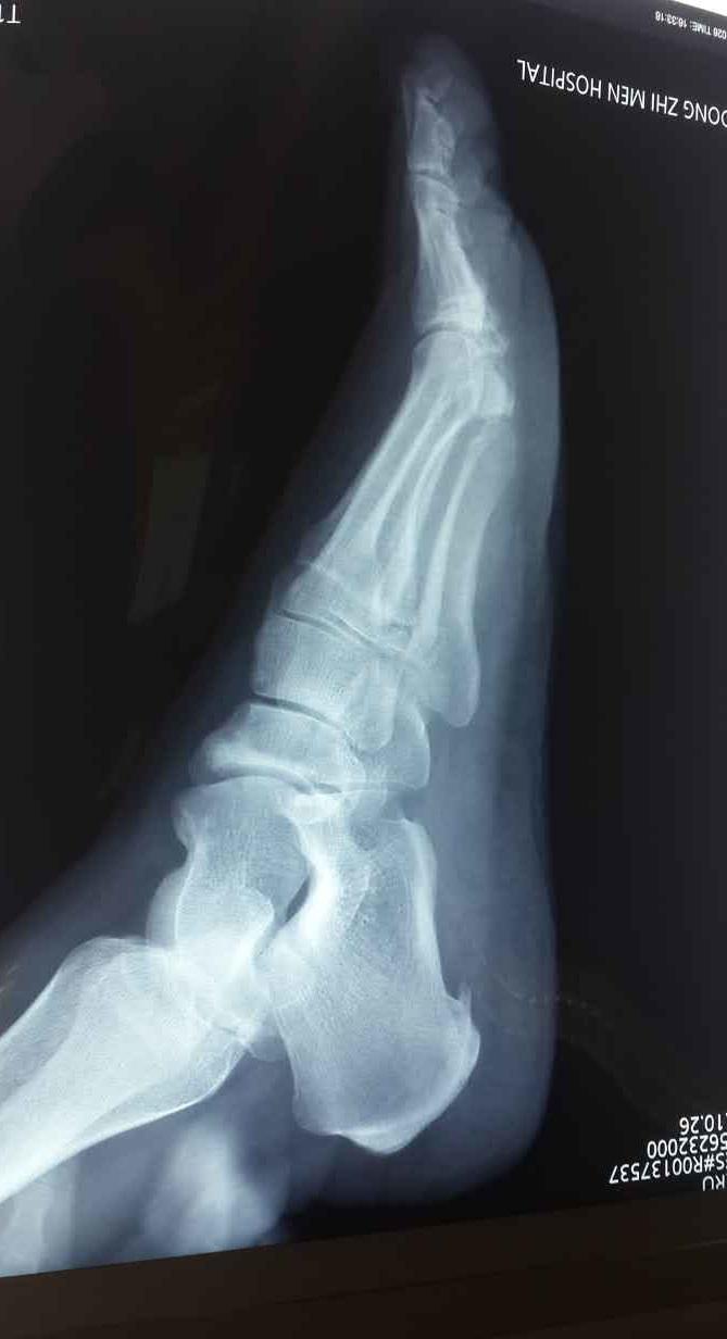
患者:男 31岁 北京人
患者自述平时喜欢足球运动,近一个月来左足跟下疼痛日渐加重,晨起疼痛加重。后去医院要,检查诊断为跟骨骨刺。开药口服,外贴膏药,未见缓解。后经人介绍来我院就诊。
症状:左脚跟部下疼痛
检查:左足跟部侧位X光片
诊断:左脚跟骨骨刺
治疗:葛式跟骨骨刺锤法
预后
患者第一次敲击治疗之后,疼痛感减弱,晨起之后疼痛消失,转为每天傍晚隐隐疼痛。遂一周后又来进行治疗,又敲击三下,治疗后,自感轻松不少。嘱穿宽松软底鞋,运动量减少。之后再未来过。
(中医骨伤科 葛凤麟)