什么是人工膝关节置换手术?
膝关节主要由三块骨头组成:大腿骨(股骨),小腿骨(胫骨),膝盖骨(髌骨)。这些骨头的接触面(软骨)会随着时间产生磨损,进而导致关节炎,或者其他原因引起疼痛和肿胀。通过减肥,物理治疗,药物,注射和支具,一切保守疗法都无效的前提下,就可以考虑进行膝关节置换手术。
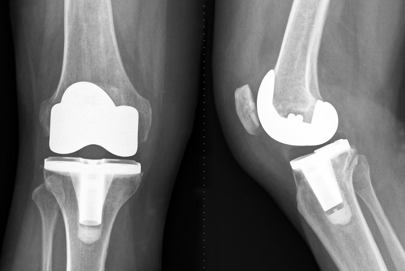
人工膝关节由金属和聚乙烯构成,置换手术也并非切掉整块骨头,而是用人工假体置换关节的表面,有些像戴个牙套,也可以根据病情,进行全膝关节置换和部分膝关节置换。这种手术的目的在于缓解疼痛,提高生活质量,改善膝关节功能。原则上适合所有年龄段的人,但由于人工关节有使用寿命,中老年患者进行置换得较多。医生也可能建议一些年轻患者推迟手术。

膝关节置换的替代方案
对于一些暂时不适合进行关节置换的患者,也可以根据情况,采取替代方案。这些方案可能是暂时的,但也可以起到在一定时间内缓解疼痛的效果。
注射玻璃酸钠是一种润滑剂,目的在于减少关节软骨间的摩擦,膝盖里的润滑剂少了,磨损也就增加了,疼痛也就更加剧烈,玻璃酸钠可以起到润滑和保护膝盖的作用,对于关节磨损或者损伤较轻微的患者效果明显,严重的患者可能无效。
关节镜 是一种微创手术,医生一般在膝盖上开几个筷子粗细的小孔,用带摄像头的设备检查关节内部。可以通过小孔进行清理和修复内部损伤。关节镜对一些类型的膝关节问题有效,具体是否采用需要根据患者的实际情况和骨关节炎发展程度。
截骨术 是一种骨科手术,包括切割腿骨和重新排列。目的在于将膝盖负重从受损部位转移到正常的部位。不建议对60岁以上的患者,或者患有炎症性关节炎(如类风湿性关节炎)的患者进行截骨术。
膝关节置换程序
进入麻醉后,开始手术,手术时间在1到2.5个小时,和医生的熟练程度关系很大,手术后患者可能会接受数小时的监控,直到麻醉效果消失。此后患者会在医院住几个晚上,有些患者可以在第三天出院。
手术后,可能需要短期服用药物。
●止痛药帮助减轻疼痛。
● 抗凝药物防止深静脉血栓。
手术次日甚至当天,医生可能会建议患者下地行走,目的在于预防下肢血栓,而且会穿上弹力袜。术后24小时可能给与抗生素治疗,降低感染的风险。

康复
康复锻炼对于康复过程至关重要。出院后,患者需要在家中进行康复锻炼,医生鼓励手术后尽快开始活动脚和脚踝。并且根据医生的指示,进行膝关节的主动运动。

康复锻炼主要包括改善运动范围,例如膝盖的弯曲和伸直,以及加强腿部肌肉的锻炼。请谨遵医嘱,在康复期间避免过度劳累和膝盖拉伤。大部分患者可以在手术后六周内恢复基本的日常活动,再经过几个月的康复,绝大多数能回到正常生活。但不建议进行高强度运动,例如跑步和涉及碰撞的运动,例如足球和篮球,患者可以参加步行、骑自行车和游泳等活动。
潜在并发症
膝关节置换术后严重并发症罕见。然而外科手术都有风险,重要的是要意识到这一点。医生会在手术前进行详细说明。
研究表明,膝关节置换手术很大程度上取决于医生的经验和医院的整体诊疗和护理水平,寻找经验丰富的外科医生,以及专业的关节置换医院能提高手术的成功率,保证手术的安全性,并且延长人工关节的使用寿命。
医学科普,仅供参考。