刚满20岁的小周爱好打球,可他这一年来每次打球起跳时总会感觉脚踝内侧有一股隐隐的刺痛感。他去医院检查后诊断为后踝关节撞击综合征,小周还打过一次封闭,但效果均不佳,经多方辗转,小周找到了暨南大学附属第一医院骨关节与运动医学中心侯辉歌副主任医师,医生告诉小周,后踝关节撞击综合征可以通过手术的方式治疗,于是小周欣喜又忐忑的办理了入院手续,准备接受手术治疗。

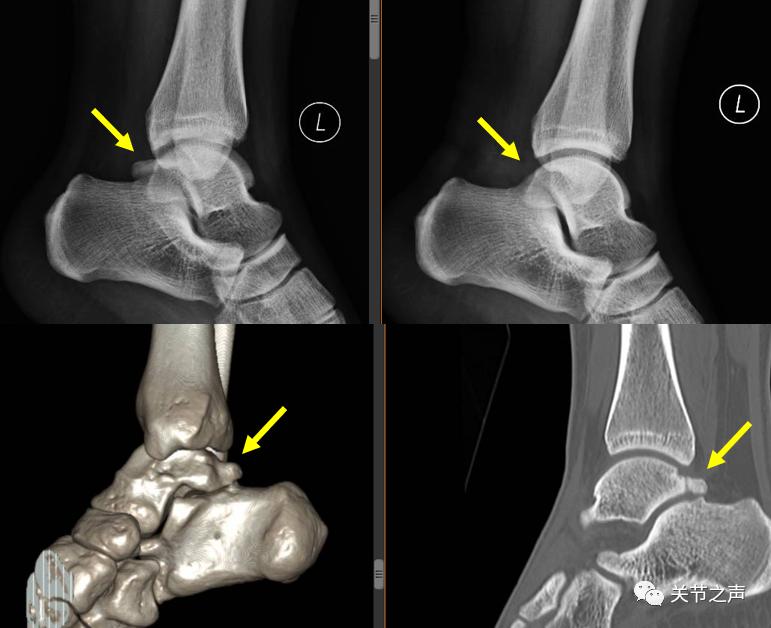
所谓后踝关节撞击综合征,是指踝关节在强迫跖屈时产生后踝关节疼痛,疼痛大多偏内侧,最常见的原因是距骨后方突起的解剖异常,如三角骨(非融合距骨二次骨化中心)和Stieda突出(一个距骨后外侧突的骨突)。这个向后突出的骨块大多是先天形成的,也可因外伤或过度使用而形成。


其实,与后踝关节撞击伴随的还有一个问题,这也是容易被忽略的,那就是反复的踝关节过度跖屈继发踇长屈肌腱卡压,继而发生踇长屈肌腱的磨损撕裂、炎症,甚至是断裂,这也是踝关节反复疼痛的另一个重要原因。现有研究发现,后踝关节撞击综合征和踇长屈肌腱疾病同时发生的比例很大。后踝内侧踇长屈肌腱的解剖缺血特点加上踇长屈肌腱与其骨纤维管的大小不一致,使得踇长屈肌腱容易在踝关节过度跖屈与背伸时产生慢性炎症。

这种情况在舞蹈演员和足球运动员身上特别常见。小周的手术也如期顺利完成,术中发现小周的踇长屈肌腱确实存在骨性或软组织卡压,局部腱鞘狭窄、炎症明显。医生仅在踝关节后方跟腱两侧切了两个5毫米的小洞,现小周术后恢复良好。

Tips
侯辉歌副主任医师指出:
1、如果有后踝关节疼痛,如何初步判断并做什么检查呢?
最重要的是建议到运动医学专科或找足踝专业的骨科医生就诊:
1.压痛点是不是在后踝关节内侧;
2.当踮脚提踵时是疼痛是否还是同一个点;
3.拍X片是否有距骨三角骨存在,B超或MRI检查是否显示踇长屈肌腱骨性卡压、腱鞘狭窄、腱鞘积液、滑膜增厚等。
2、如果有后踝撞击综合征,是否一定要做手术治疗呢?
并不一定,大部分早期都可以通过调整运动方式、物理治疗达到预防复发的目的。当症状持续存在、反复发作时,还可以先尝试B超引导下注射类固醇激素局部封闭。若严格科学地保守治疗3-6个月无效后,需要考虑行后踝关节镜微创手术治疗。
3、手术后需要一直卧床吗,需要康复多久?
术后不必特别使用石膏或支具靴固定,术后1天即可扶拐部分负重下地活动。当疼痛完全消退,可逐渐过渡到完全负重。一般术后两个月可进行体育运动,患足各个方向的活动都能恢复如前。许多研究报告都显示了后踝关节镜手术用于后踝撞击综合征和踇长屈肌腱疾病具有非常好的疗效。
4、手术风险大吗?
术中避免并发症最重要的一点操作,是需要先找出踇长屈肌腱,之后手术操作应在踇长屈肌腱外侧进行,以避免医源性神经血管的损伤。后踝关节镜微创手术切口小、住院时间短、手术风险极低并无特殊后遗症。这项技术也将造福于更多的后踝关节疾病患者。

@家庭医生在线@暨南大学附属第一医院#健康科普排位赛##健康科普挑战大赛# #家庭医生超能团#