腰椎峡部裂(lumbar spondylolysis) 为腰椎一侧或两侧椎弓上下关节突之间的峡部骨质缺损不连续。
在临床上很常见,特别是青少年,其起病隐匿,加之青少年腰痛的主诉往往被忽视,所以仅凭临床表现及体格检查做出诊断较为困难,容易漏诊。因此, 青少年慢性腰痛时,一定要想到排除腰椎峡部裂的存在。
峡部裂好发于下腰椎,95%以上腰椎峡部裂发生在L4和L5节段,且多为双侧。剧烈的反复过伸或旋转运动,会明显增加峡部裂的发生率 。主流观点认为峡部裂是在峡部发育薄弱或异常的基础上受到应力作用而导致的峡部骨折、分离(应力性或疲劳性骨折) 。
腰椎峡部裂可能无症状发生,也可能伴有明显的腰痛,少部分患者腰痛可向臀部或大腿放射,但很少有明显下肢根性疼痛麻木不适。卧床休息腰痛可改善,活动或腰椎后伸可加重疼痛。因此,腰椎峡部裂应首选非手术治疗,大部分患者经严格保守治疗,可明显改善症状和稳定病椎,少数患者经3个月非手术治疗效果不佳且症状反复影响工作和学习者,需手术干预。
一、峡部的解剖
峡部 (pars interarticularis)是指上、下关节突之间椎弓的狭窄部分,又称为关节突间部 (人卫版八年制外科学)。因腰椎峡部裂相对比较常见,学者们的峡部研究常关注于腰椎。其实,从C2-L5各节段脊柱都是存在峡部。
峡部是在相邻节段平移运动中承受应力最大的部位, C2和L5的峡部最易发生创伤性或应力性骨折 (如C2的hangman骨折和L5峡部裂) 。峡部构成椎管侧隐窝的后部,并参与构成神经根管的后壁。

L5脊椎骨背面斜位示意图。显示椎弓的各部分:阴影区1=峡部,2=椎板,3=椎弓根。 虚线处为峡部裂的常见部位。
枢椎 (C2)具有独特的解剖特征,其上关节突偏前而下关节突偏后,使得其峡部相对较长,而这个部位恰恰承受着上颈椎和下颈椎之间的巨大的杠杆应力,下图线条所示区域就是在上颈椎过伸性损伤时枢椎最常发生骨折的部位。

枢椎(C2)的侧面观示意图。上下关节突的偏移关系使峡部(阴影区)被拉长。 虚线显示了上颈椎过伸性损伤时枢椎最常见的受损部位 (hangman骨折)。
目前,学者们对腰椎峡部关注的较多,且研究的也比较深入。 McCulloch和Transfeldt提出了“侧方支撑” (lateral buttress) 的概念,认为腰椎峡部对介于其间的结构提供重要的结构性支撑,将腰椎峡部定义为连接下关节突的外上缘与横突/椎弓根的骨性桥梁。

在脊柱解剖和建筑结构上,侧方支撑用于在两个垂直结构之间分配荷载,降低其连接处的失效风险。PMID: 12221372
也有学者将侧方支撑称之为 “侧方峡部” (lateral pars/pars lateralis),传统峡部称为关节间部峡部 (pars interarticularis)。

关节突间峡部与侧方峡部

2002年,一项解剖学研究测量了人尸体标本腰椎侧方支撑的表面积,结果发现侧方支撑面积最大的节段是L1到L3 (约为80mm²),L4平均为50mm²,而L5仅仅为15mm² 。上腰椎的宽大峡部可能会使植入椎弓根螺钉时所需的解剖标志不清楚,而下腰椎相对细小的峡部可能是其峡部易发生应力骨折或医源性损伤的一个危险因素。

L2 处的侧方支撑比 L5更宽更厚,而 L5的侧方支撑相当薄弱,更易发生峡部裂和医源性不稳。PMID: 12221372
二、腰椎峡部解剖与峡部裂的影像学评估




腰椎的解剖和峡部位置 。从侧位(i)向右逐渐旋转至正位(iv)观察。 红色箭头处为峡部 。a=椎体;b=椎间盘;c=椎弓根;d=横突;e=上关节突;f=下关节突;g=棘突;h=椎板。PMID: 30396669
从生物力学角度分析,峡部处于一个承受剪切应力的位置,前后方向的外力 (可引起滑脱)试图使上关节突相对于同一节段下关节突前移时就会形成剪切应力。因此,常见的峡部裂就是上关节突、椎弓根和椎体作为一个整体向腹侧移动,而下关节突与后方的椎弓保持连接。

诊断腰椎峡部裂,腰椎双斜位片通常是需要的,表现为“苏格兰狗脖子”断了(见下图)。但对于一些隐匿的患者,腰椎双斜位片是看不出的,这时候需要行腰椎CT、MRI进一步明确诊断,少数部分需行核素骨扫描才能明确诊断。
1. 腰椎峡部和峡部裂在X线斜位片的表现

腰椎峡部在腰椎斜位片上常比喻为苏格兰狗(Scotty dog)的脖子


椎弓崩裂征象:X线腰椎45°斜位摄片示上关节突轮廓似"狗耳",横突似“狗头/嘴”,椎弓根似“狗眼”,下关节突似“狗前肢”,关节突肩部或称峡部似“狗颈部”。椎弓峡部崩裂时,“狗颈部”可见裂隙。


腰椎斜位片上的苏格兰狗和断裂的脖子(峡部裂)



再回顾下腰椎斜位视角的模式图,圆圈处为峡部

2. 腰椎峡部和峡部裂在CT片上的表现

PMID: 30396669


椎弓的裂缝与缺损 。b=椎弓根裂,c=峡部裂,d=椎板裂,e=椎旁裂,f=隐形脊柱裂。PMID: 30396669

峡部裂的CT分型 :A=早期(线性骨折),B=进展期(明显的骨间隙),C=终末期(假关节形成)

右侧为进展期峡部裂,左侧为早期峡部裂,右侧图片是支具固定7个月后愈合
3. 腰椎峡部和峡部裂在MRI片上的表现

PMID: 30396669

示意图总结了临床和尸体研究的矢状位MRI结果:
A=峡部正常,无硬化,从上至下小关节骨髓信号正常
B=部分小关节切除
C=正常但硬化的峡部,骨髓信号中断
D=峡部裂伴硬化边缘,无间隙
E=S1上关节突和L5椎弓根的部分容积成像疑似峡部断裂
F=峡部裂伴间隙
G=具有弥漫性异常骨髓信号(对角线)和邻近软组织肿块(虚线区域)的转移性疾病
H=纤细、硬化的峡部,小关节退变伴骨髓信号异常(对角线) PMID: 2783509

MRI提示的峡部裂(红圈)
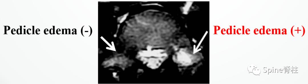
有研究发现磁共振上 椎弓根出现T2高信号改变是青少年和儿童峡部裂的早期诊断征象 。同时, 存在椎弓根高信号改变也是保守治疗后能达到骨性愈合的良好预测指标 (也就是说存在T2椎弓根右高信号改变的峡部裂患者,其峡部裂经保守治疗愈合的可能性大) 。

右上图为椎弓根高信号改变(+),右下图为(-)

左侧为椎弓根水肿阳性,右侧为椎弓根水肿阴性,有研究发现峡部裂伴随着椎弓根水肿,支具固定愈合率更高

左侧早期峡部裂伴椎弓根水肿,支具固定6月后愈合
Sairyo教授研究发现磁共振上 椎弓根出现T2高信号改变是青少年和儿童峡部裂的早期诊断征象 。同时,存在椎弓根高信号改变也是保守治疗后能达到骨性愈合的良好预测指标(也就是说存在T2椎弓根右高信号改变的峡部裂患者,其峡部裂经保守治疗愈合的可能性大)。

图:右上图为椎弓根高信号改变(+),右下图为(-)

右图提示椎弓根高信号改变(箭头)

右图提示双侧椎弓根高信号改变(箭头)

右图:右侧椎弓根高信号改变明显,左侧椎弓根轻微高信号
因此,Sairyo教授也提出,对于青少年腰痛患者行MRI检查时,在传统椎间盘层面的基础上(A-C线), 多加一个经椎弓根层面(D线) 。因为,A-C线椎间盘层面可很好看出青少年腰椎间盘突出和腰椎椎体后缘离断症,而D线经椎弓根层面可以早期诊断出腰椎峡部裂和腰椎椎弓根损伤。

在峡部裂继发的椎体滑脱患者中MRI正中矢状面TIWI示棘突基底部与硬膜之间会出现脂肪的异常增多沉积,且椎体滑脱越严重脂肪增多也越明显。 而在尚未出现椎体滑脱的隐匿性峡部裂患者中是否也存在上述脂肪增多的影像学表现呢?最近,一项回顾性研究发现棘突基底部与硬膜之间的脂肪沉积征对隐匿性腰椎峡部裂的诊断有一定的特异性,有助于早期诊断峡部裂。

腰椎MRI正中矢状面 T1WI。A:棘突基底部和硬膜之间未见脂肪沉积;B:L5棘突基底部与硬膜之间可见线状脂肪高信号带(箭头示)

L5椎弓峡部裂典型病例一:男,32岁。A,B: 腰椎正位侧位X线片示无明显椎弓峡部裂征象; C: 腰椎 MRI正中矢状面T1WI示L5棘突基底部与硬膜之间出现脂肪高信号带(箭头示); D: 腰椎CT矢状面重建示L5椎弓峡部骨质不连(箭头示)。

L5椎弓峡部裂典型病例二:男,35岁。A,B: 腰椎正位侧位X线片均无明显椎弓峡部裂征象; C: 腰椎MRI正中矢状面T1WI示L5棘突基底部与硬膜之间出现脂肪高信号带(箭头示); D: 腰椎CT矢状面重建示L5椎弓峡部骨质不连,裂隙较细(箭头示)。
峡部裂引起的硬膜外脂肪增多应与单纯椎管内脂肪增多相鉴别。
- 与峡部裂仅局限于棘突基底部不同,单纯硬膜外脂肪增多除了位于棘突基底部外,更常见的部位为椎板与硬膜之间。
- 硬膜外脂肪沉积的形态表现各异。峡部裂患者常表现为线状,而脂肪增多患者在椎板下方表现为半弧形,且部分单纯脂肪增多患者因脂肪占位而导致椎管狭窄,出现相应的间歇性跛行症状。
- 两者受累的节段也存在差异。峡部裂多发生于L5节段,而单纯硬膜外脂肪增多更多位于L3和L4峡部。
- 单纯硬膜外脂肪增多与肥胖、长期外源性类固醇激素摄入、原发库欣综合征等相关,而峡部裂往往与腰椎反复过伸应力导致疲劳性骨折相关。
- 峡部裂多见于年轻男性,尤其是运动员、军人等;而单纯脂肪增多更多见于中年肥胖的女性。

硬膜外脂肪增多症典型病例:男,50岁。A,B: 腰椎正位侧位X线片均无明显椎弓峡部裂征象; C: 腰椎MRI正中矢状面T1WI示L5棘突基底部(虚线剪头) 与硬膜之间出现脂肪高信号带, 伴有L4椎板腹侧弧形脂肪增多 (实线箭头)压迫硬膜。
棘突基底部与硬膜之间线状的脂肪沉积对于隐匿性峡部裂的诊断有一定的特异性,在常规腰椎MRI上可进行简单观察,并作为峡部骨质信号不连续的有效补充,也可作为寻求 CT螺旋扫描及多平重建以明确诊断的有用提示。
三、腰椎峡部裂的影像学分型
1. 峡部裂的Morita分型
- 早期 (early):可见峡部骨折线
- 进展期 (progressive):骨折断端间隙增宽
- 终末期 (terminal): 假关节形成

图:早期(a),进展期(b),终末期(c)
随后,Sairyo教授进一步CT研究,将Morita分型早期又分为 最早期 (very early): 骨折线模糊或不连续的骨折线和 晚早期 (late-early): 骨折线清晰明显。

图:腰5双侧峡部裂,右侧为 最早期 ,左侧为 晚早期
2. 峡部裂的Kaneko分型:

图:Kaneko分型
a为 完全骨折 ,b为 不完全骨折
c为 骨折前期 :峡部皮质骨可见放射缺损区
3. Hollenberg教授于2002年提出腰椎峡部裂的MRI分级:
- 0级:正常峡部,无水肿信号改变。
- 1级:因应力反应导致的骨髓水肿信号, 但没有骨折线,表现为T1低信号和T2高信号。
- 2级:不完全骨折
- 3级:完全反应性骨折
- 4级:骨折不愈合 (fracture nonunion)

图:孤立的峡部水肿信号,提示L5右侧峡部裂(1级)
16岁的足球运动员诉右腰部疼痛。A:右侧T1加权像可见腰5峡部和椎弓根呈低信号(箭头);B:右侧T2加权像可见腰5峡部、椎弓根和关节突呈高信号(箭头)。

图:T2水肿信号且峡部皮质不连续断裂
提示L3左侧峡部裂(2级)
17岁的篮球运动员诉腰痛。A:T1像,左侧腰3峡部呈不连续的低信号(箭头);B:T2像,左侧腰3椎弓根和峡部呈高信号(箭头)

图:峡部完全断裂,断端存在明显间隙,且T2像明显水肿信号,提示L5左侧峡部裂(3级)
16岁的足球运动员,诉腰痛,以左侧为重。A:T1像可见腰5左侧峡部完全断裂(箭头);B:T2像,腰5左侧峡部、椎弓根和关节突水肿信号(箭头)

图:峡部完全断裂,但无T2水肿信号
提示为左侧L5峡部裂(4级)
13岁运动员,左侧腰骶部疼痛。A:T1像,左侧腰5峡部完全断裂(箭头);B:T2像,左侧腰5峡部清晰可见,骨质无信号改变,峡部缺损处可见轻微的高信号,提示可能为肉芽组织或积液
4. 国内学者提出的分型:
2019年国内解放军总医院第七医学中心李放教授团队。根据临床特点和影像学表现将所有病例分为3型:
- A型为单纯型峡部裂,无椎间盘突出及腰椎滑脱;
- B型为峡部裂伴有轻度椎间盘突出或I度滑脱,无神经压迫症状及体征;
- C型为峡部裂合并I度或Ⅱ度滑脱并椎间盘突出同时有神经压迫症状及体征。
并建议保守治疗无效的青年战士A、B型腰椎峡部裂病例采用椎弓根螺钉固定,峡部自体髂骨原位植骨融合率高,效果好,C型战士峡部裂则宜采用后路椎间植骨融合椎弓根螺钉内固定术。


四、腰椎峡部裂的治疗
众所周知,腰椎峡部裂终极治疗目标是断裂的峡部达到骨愈合。有学者认为,峡部裂分期越早,经过保守治疗愈合的可能性越大。
Morita教授对185例峡部裂患者(346个峡部断裂,39.6%为早期,29.5%为进展期和30.9%为终末期)研究发现,Morita分型中早期患者73.0% 经保守治疗后峡部断端出现愈合,进展期患者仅38.5%经保守治疗后愈合,而终末期患者经保守治疗后未见愈合病例。因此,对于终末期峡部裂患者,已出现假关节,保守治疗是无效的,建议早期手术治疗。
以上各种峡部裂分型,为指导治疗方案提供依据。峡部裂的治疗贵在早期发现,早期干预,在未进展到终末假关节期前,早期给予保守治疗,可能会避免不必要的手术治疗。保守治疗通常被认为是大多数患者的首选方法,包括休息、理疗、药物、限制运动、腰围、支具治疗等,但少数保守治疗效果不佳且症状反复发作者,则需手术干预。

图:限制后伸腰围。a:后伸受限,b:前屈不受限。

左图:13岁腰椎双侧峡部裂(进展期)
右图:经上述腰围治疗3个月复查CT可见断裂的峡部达到骨愈合
也有学者建议为了固定躯干,佩戴一个硬支具。这个支具的目的是通过保持骨盆来限制躯干旋转和腰椎后伸。

一项采用支具固定、限制活动进行保守治疗的前瞻性研究发现:
- 峡部裂早期的融合率为94%,融合时间平均为3.2月;
- 进展期伴椎弓根水肿的融合率为64%,融合时间为5.4月;
- 进展期不伴椎弓根水肿的融合率为27%,融合时间为5.7月;
- 终末期峡部裂融合率为0。
对于终末期,假关节形成,保守治疗是无效的,只能通过手术修补达到融合。

目前,手术治疗腰椎峡部裂的方法可分为三类:峡部单纯修复植骨,植骨修复并节段固定和跨节段的融合手术。
随着内固定的发展,既往峡部单纯修复植骨因融合率低、卧床时间长,现已很少应用。而植骨修复并节段固定有多种方法,包括Scott接线法、Buck螺钉法、Louis的蝶形板、钉钩技术(椎弓根螺钉和钩-棒系统)、U形棒等。从临床角度看,钉钩技术可以用刚性植入物固定断裂的峡部,并沿椎板方向施加作用力,有效稳定峡部,这对于达到更好的骨性愈合是至关重要的。理论上,此种方法更符合生物力学,对邻近节段影响小,但应把握好适应症,建议单纯腰椎峡部裂伴或不伴轻度滑脱患者可行植骨修复并节段固定。


参考文献:PMID: 32947495
1. 椎弓根螺钉-钉钩系统



PMID: 9199377


PMID: 15699811


PMID: 17520298




2. 椎弓根螺钉+U型或V型棒



U型棒


- V型棒 PMID: 10382254


V型棒 (PMID: 23691090)
3. Patel于2012年提出的椎弓根螺钉+椎板螺钉

PMID: 22559277
4. 拉力螺钉+张力带固定方法
我的博导谭军教授于2002年提出拉力螺钉张力带固定方法,是Buck螺钉法和Scott接线法的联合。


5. 皮质骨螺钉+U型棒技术


PMID: 27105462
6. 椎弓根螺钉-棒-张力带固定法
Berjano等2020年提出椎弓根螺钉-棒-张力带固定法(Screw-Rod-Band technique),是Scott接线法技术的改良。


7. 解剖型钉钩椎弓根螺钉系统
2022年,解放军总医院第三医学中心彭宝淦(我的硕导和博士后合作导师)和李端明主任提出了一种新型解剖型钉钩椎弓根螺钉系统。根据腰椎解剖,棘突与椎板成一定角度,椎板向后向上倾斜,椎板下缘和椎弓根螺钉尾部与矢状面成一定角度。根据上述解剖特征,解剖型钉钩椎弓根螺钉系统的钩和棒在这三个方向上都是倾斜的。钩棒与椎板完全匹配,有利于将钉钩安装在椎板的下缘,且易于将棒与万能椎弓根螺钉连接。此外,该系统可通过肌间隙入路置入。


PMID: 35979102
然而,对于腰椎峡部裂伴严重腰椎滑脱、椎管狭窄及根性症状需要减压者,则推荐进行跨节段的融合手术。此外,手术达到良好疗效的基本前提是腰椎峡部裂缝处的纤维瘢痕组织的彻底清除,刮除骨残端硬化部分,制备良好的峡部植骨床。参考文献:Spine (Phila Pa 1976). 2002 Sep 1;27(17):E385-7. Eur J Radiol. 2018 Nov;108:28-42. AJR Am J Roentgenol. 1989 Feb;152(2):327-32.Rothman-Simeone and Herkowitz‘s The Spine J Neurosurg Spine. 2012 Jun;16(6):610-4中华骨科杂志, 2022, 42(18):1230-1235.其他参考文献详见文中PMID号