
▌作 者:王 浩 陆军总医院
前臂与上、下尺桡关节一起具有旋前、旋后功能,其旋转功能对手部灵巧功能的发挥具有至关重要的作用。钢板内固定是目前成人前臂骨折骨折临床应用最多、最成熟的内固定方法。然而钢板内固定治疗成人前臂骨折手术时切口较大,影响美观,术中剥离骨膜、破坏血供、加重软组织损伤,易造成骨折不愈合、术后感染。而且钢板内固定属于偏心固定,存在应力遮挡。二期取钢板时手术创伤不亚于第一次手术,而且内固定拆除后存在二次骨折发生风险。
随着髓内钉技术的发展,临床前臂骨折成功使用髓内钉治疗的报道日益增多。我科自2005年开始使用Foresight及Acumed髓内钉治疗成人前臂骨折,均取得满意疗效。
一、手术技巧
桡骨髓内钉:桡骨远端Lister结节处作2cm切口,钝性分离,在桡侧腕短伸肌腱和拇长伸肌腱之间暴露Lister结节,注意保护桡神经浅支及拇长伸肌腱。尽量不切开腱鞘,以免发生肌腱黏连和瘢痕增生压迫桡神经浅支。Lister结节桡侧距关节面5mm处,倾斜30度开口,扩髓时应注意保护周围皮肤,屈腕并桡偏,防止尾部挤压、摩擦桡神经浅支手背侧的分支。扩髓穿过骨折端直至前臂近端。选择髓内钉的长度短于桡骨2cm左右,尾端没入桡骨髓腔,近端锁钉在瞄准器的帮助下锁钉。
尺骨髓内钉:尺骨鹰嘴尖处作1cm的纵行切口,在鹰嘴远端中心线开口,向尺骨远端穿过骨折端扩髓,方法同桡骨,充分扩髓后选置入合适的髓内钉,近端锁钉在瞄准器的帮助下锁钉。
二、典型病例
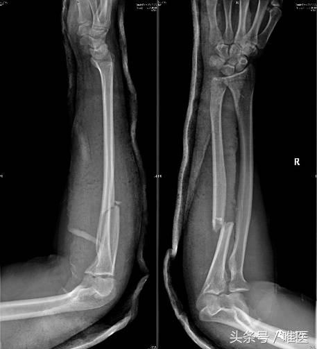
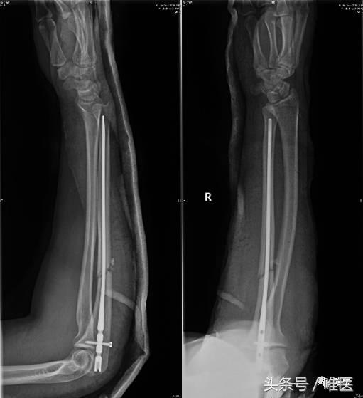
病例一
男性,19岁,自行车摔伤,右其前臂孟氏骨折。
▣ X线

▣ 急诊行闭合复位石膏托固定

▣ 行闭合复位Acumed髓内钉固定

▣ 手术切口照片

▣ 术后11月X线

▣ 功能情况

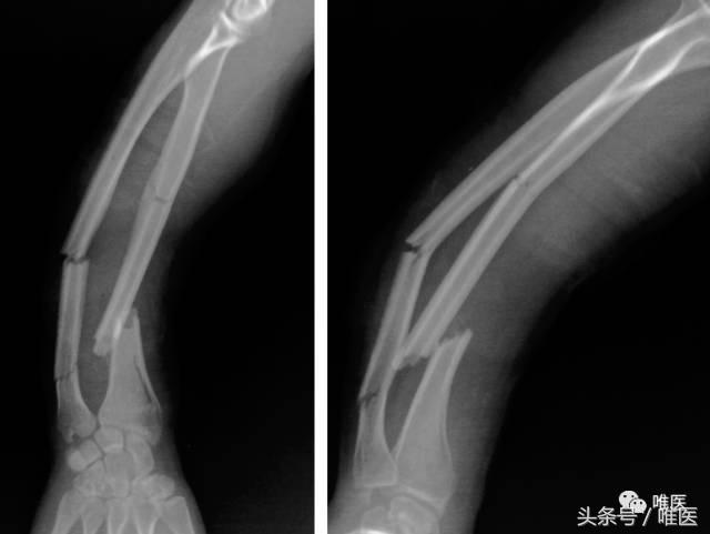
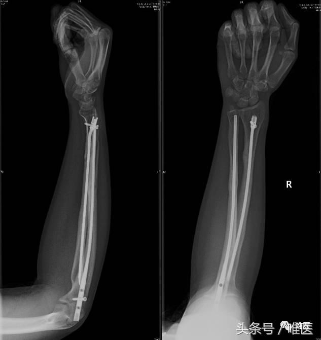
病例二
▣ 女性,21岁,右前臂多段双骨折。

▣ 术后正侧位片


▣ 术后13月

▣ 前臂旋转功能像

三、讨 论
Gao H等报道髓内钉治疗18例患者的32处前臂移位干部骨折,骨折根据AO分型,A型3例,B型10例,C型5例;其中前臂双骨折14例,单独桡骨骨折2例,单独尺骨骨折2例,全部骨折均获得良好愈合,平均旋前62度,旋后80度。术后功能恢复DASH评分平均为19分(4~72分)。我院何红英等报道使用采用Acumed前臂髓内钉治疗尺桡骨骨折33例,29例顺利愈合,1例C3型骨折术后肥大性骨不连,2例患者术后1月、3月于外院行手术更换钢板内固定,29例患者中Anderson评分,优21 例,良7例,两例开放骨折伴严重软组织损伤患者可1例,差1例。
前臂髓内钉治疗成人孟氏骨折具有手术简单、微创等优点,随访患者骨折愈合情况、屈伸旋转功能满意。且具有切口小、微创的优点,对年轻、美容要求较高、多段骨折以及软组织条件差的患者具有明显临床优势。但同时前臂髓内钉也存在一定缺点,其稳定性较差,术后通常需要旋后位4周的石膏托固定;4周后拆除石膏,应及时正确指导康复训练,恢复肘、腕伸曲及前臂旋转功能。需要注意的是目前病例样本量较小,需进一步大样本病例对成人前臂骨折髓内钉治疗的效果进行进一步评估。
四、参考文献
[1] Crenshaw AH, Zinar DM, Pickering RM. Intramedullary nailing of forearm fractures. Instr Course Lect. 2002;51:279-89.
[2] Gao H, Luo CF, Zhang CQ, Shi HP, Fan CY, Zen BF. Internal fixation of diaphyseal fractures of the forearm by interlocking intramedullary nail: short-term results in eighteen patients. J Orthop Trauma. 2005 Jul;19(6):384-91.
[3] 何红英 刘智.等. Acumed 前臂髓内钉治疗尺桡骨骨折的临床研究. 实用骨科杂志 2013年19卷05期 385-387页.