说出来你们可能不信,在世界上有这么一拨人,他们的口味非常独特,不闻花不闻香水,偏偏爱闻臭袜子。

这种行为在医学上被称为 恋物癖 ,他们之所以钟爱臭袜子的味道,可能跟这两个因素有关:
一是“*恋虐**行为”, 通过闻臭袜子的行为来满足自己的受虐心理,强迫自己从【被践踏尊严】中获得快感;
二是 基因 在作祟,人类对气味的喜好和敏感是由基因决定的,所以有些人很喜欢汽油的味道,也有人喜欢闻臭袜子,可能都是受到了基因的操控。

对于闻臭袜子这个癖好,可邻君尊重、理解但不支持,因为从健康上考虑, 经常闻臭袜子可能会导致肺部真菌感染。

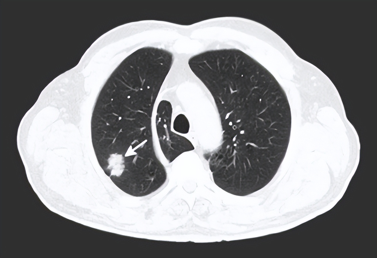
福建漳州就有一名男子因经常闻臭袜子导致肺部感染住院:

该男子最开始只是咳嗽,后来逐渐加重,还伴随着胸闷的问题,经过医院进一步诊断,发现他是肺部真菌感染——即真菌引起的 支气管肺部真菌感染 。

真菌感染包括 自体传染 和 传染源传染 ,自体传染大多来自于经常性的抓挠足癣或手癣而造成的细菌蔓延,从而产生新的传染;传染源传染则是指患者和动物身上都有真菌,真菌向人体传播就会引起真菌传染。

那么臭袜子里也有真菌吗?
答案是肯定的。在日常生活中,由于我们每天都要走路,所以很容易让袜子上产生 汗液 ,而且这些汗液很难挥发到空气中,它们会积聚在袜子上,和甲硫醇酸一起变成真菌最喜欢的“饮料”, 引起真菌大量滋生 。

更别提那些 本身就患有脚气的患者 ,他们的袜子上必然 存在高密度的致病性真菌 。
其实 真菌 是 广泛存在 的,比如我们的皮肤、口腔、上呼吸道和肠道里,都可能分布着真菌。但是健康人体通常不会因为真菌生病,因为 机体有完善的免疫防御体系 ,可以及时清除试图入侵的真菌,并 维持一种微妙的平衡,抑制它们过度生长。

福建那名闻臭袜子的男子之所以会肺部感染真菌,可邻君猜测有这两个原因:
一是他 经常闻臭袜子 , 吸入真菌量太过于超标 ,机体免疫系统有点“忙不过来”;
二是他除了喜欢闻臭袜子,平时为了照顾婴儿还 经常熬夜 , 导致免疫力降低 ,所以肺部真菌侵入肺部时“畅通无阻”。

总而言之,喜欢什么味道是大家的自由,但是为了身体健康,可邻君还是建议这部分爱好独特的人群悠着点,万一闻袜子闻到生病住院就不好了,到时候不仅自己身体难受,还可能上新闻头条哦~

(部分图片来源于网络)