膝关节内侧副韧带损伤手法视频 (膝关节内侧副韧带损伤中医措施)

膝关节是人体中主要的大关节,也是容易受到损伤主要关节。

不论是体育运动里,还是遇到膝关节受到直接或间接的*力暴**,都可能会引起膝关节结构的损伤。膝关节内、外侧副韧带作为维持膝关节稳定的重要组成结构,损伤比较常见。

今天我们来谈一谈膝关节内外侧副韧带。

膝关节内侧副韧带损伤的诊疗进展,膝关节内侧副韧带损伤的正确叙述

膝关节内侧副韧带损伤的诊疗进展,膝关节内侧副韧带损伤的正确叙述

一、膝关节内、外侧副韧带的介绍

在我们的膝关节两侧,有两条主要的韧带平行存在,即膝关节内、外侧副韧带。这两条副韧带紧紧连接着膝关节远、近两端,对维持膝关节的稳定性起着十分重要的作用。

1、膝关节内侧副韧带

起于股骨内髁结节,止于胫骨内髁侧面,呈现出上宽下窄的扇形,在膝关节内侧与关节囊和内侧半月板相连,其主要作用是防止膝关节伸直位时过度外翻。

2、膝关节外侧副韧带

起于股骨外髁结节,止于腓骨小头,呈条索状,在膝关节外侧不与半月板相连,其主要作用是防止膝关节伸直位时过度内翻。

膝关节内侧副韧带损伤的诊疗进展,膝关节内侧副韧带损伤的正确叙述

二、膝关节内、外侧副韧带损伤的发生

在以下情况或运动中可能会出现膝关节内、外侧副韧带损伤。

1、内侧副韧带损伤为膝外翻和外旋*力暴**所致。

1)膝关节受到直接*力暴**使膝关节猛烈外翻。

2)当膝关节半屈曲时小腿猛烈地外展与旋转。

3)内侧副韧带断裂多合并前交叉韧带、内侧半月板损伤,称为“膝关节损伤三联征”。

膝关节内侧副韧带损伤的诊疗进展,膝关节内侧副韧带损伤的正确叙述

膝关节内侧副韧带损伤的诊疗进展,膝关节内侧副韧带损伤的正确叙述

2、外侧副韧带损伤主要为膝内翻*力暴**所致。

1)膝关节受到直接*力暴**使膝关节猛烈内翻。

2)因外侧方髂胫束比较强大,所以外侧副韧带损伤常合并髂胫束和腓总神经损伤。

膝关节内侧副韧带损伤的诊疗进展,膝关节内侧副韧带损伤的正确叙述

3、膝关节侧副韧带的损伤多见于运动创伤。

如足球、滑雪、摔跤等活动。

膝关节内侧副韧带损伤的诊疗进展,膝关节内侧副韧带损伤的正确叙述

三、膝关节内、外侧副韧带损伤的症状

如果发生膝关节内、外侧副韧带损伤,急性损伤时患者自觉疼痛、肿胀、交锁、膝关节活动障碍。如果发展为慢性损伤,则会感到膝关节不稳,相邻肌肉萎缩,膝关节功能障碍等。

膝关节内侧副韧带损伤的诊疗进展,膝关节内侧副韧带损伤的正确叙述

四、膝关节内、外侧副韧带损伤的诊断

1、影像学检查

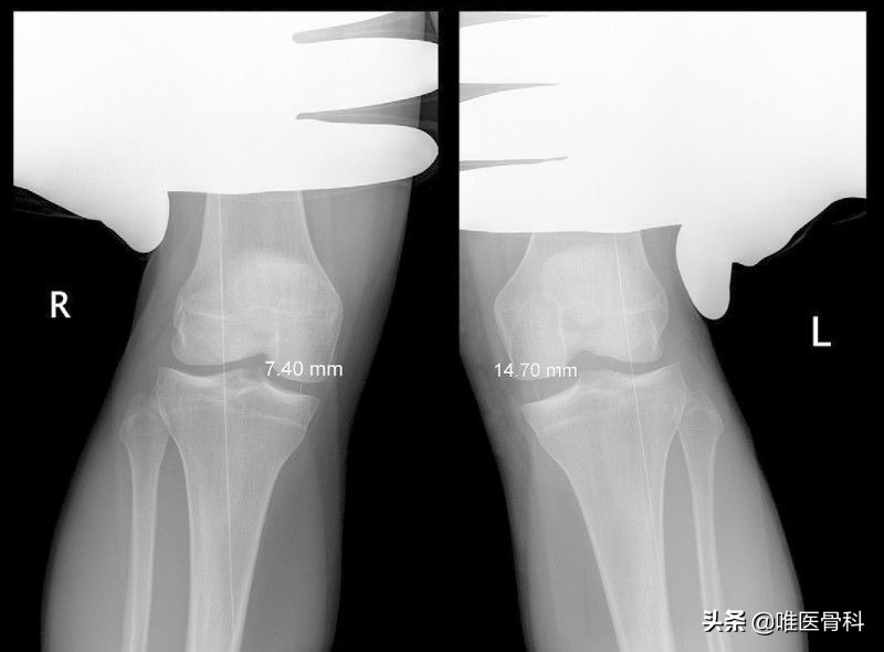
1)普通X线片:可以了解膝关节骨性结构损伤情况,查看是否合并有撕脱骨折等。

2)应力位X线片:即在外力下使膝内翻和膝外翻,需于局部麻醉后进行。在X线片上比较膝关节内、外侧关节间隙张开情况。

一般认为两侧间隙相差4mm以内为侧副韧带轻度扭伤;4-12mm为侧副韧带部分断裂;两侧间隙相差在12mm以上为完全性断裂。

膝关节内侧副韧带损伤的诊疗进展,膝关节内侧副韧带损伤的正确叙述

3)膝关节核磁共振:可以比较直接的看到膝关节内、外侧副韧带的损伤程度,同时可以显示是否合并有半月板或交叉韧带的损伤。

膝关节内侧副韧带损伤的诊疗进展,膝关节内侧副韧带损伤的正确叙述

2、体格检查

侧副韧带损伤的特殊体格检查为侧方应力试验,可以在局部麻醉后方进行操作,即在膝关节完全伸直位与屈曲20°-30°位置下作被动膝内翻与膝外翻动作与对侧作比较内外翻时的角度增加、疼痛感明显可伴有弹跳感,则说明有侧副韧带的损伤。

体格检查需要由专业的医生操作完成。

膝关节内侧副韧带损伤的诊疗进展,膝关节内侧副韧带损伤的正确叙述

五、膝关节内、外侧副韧带损伤的治疗

1、保守治疗

1)内侧副韧带扭伤或部分性断裂(深层),未完全撕裂者,可以选择支具或石膏固定6周。

2)外侧副韧带扭伤,未完全撕裂者,可以选择支具或石膏固定6周。

膝关节内侧副韧带损伤的诊疗进展,膝关节内侧副韧带损伤的正确叙述

2、手术修补

1)内侧副韧带完全性断裂者,或合并半月板损伤、前交叉韧带损伤者应手术修补治疗。

2)外侧副韧带完全性断裂者应立即手术修补。

3)晚期的韧带撕裂,可以选择韧带重建手术。

通过这篇文章我们初步认识了我们的膝关节的内、外侧副韧带,也会对交叉韧带内、外侧副韧带的损伤和治疗有了比较基本的了解。

大家在运动中要避免容易引起侧副韧带损伤的动作,比如猛烈的外翻、内翻膝关节,过度旋转膝关节等。