
来源:翼影云展
商务合作:2519330936@qq.com
目的:
跟骨是足跟中的主要承重骨,由于它多面的不规则形态,使它在整体可视化成像方面相对比较困难,由于跟腱处于一个相对稳定的位置,用以保持根骨位置稳定,所以撕裂性骨折发生在相对稳定的位置。
结论:
损伤的机制包括过度使用和神经病变,大多数情况与创伤有关。
跟骨是足部中最大的骨,并且作为跟部中的主要承重结构。它是在行走期间脚的初始受力面。这种骨的形态特征是复杂的,并且其许多不同的表面轮廓作为附接到腱,肌肉和韧带或作为关节的部位起作用。从放射摄影的角度来看,跟骨是一个整体可视化成像相对困难的骨骼。然而,射线照相术仍然是用于评估跟骨的创伤的主要成像模式。大多数损伤是由导致关节内骨折的高能创伤引起的[1]。成年人的25%的骨折是关节外的,儿童的发病率甚至更高[2,3]。超过90%的跟骨骨折是7岁以下儿童关节外的,60%的这种骨折是儿童8-14岁关节外的[4]。关节外骨折归类为压缩或撕脱类型。在这两种类型中,撕裂性骨折通常更难以识别,但在其位置上相当具体。在本文中,我们将展示这些骨折的特征外观和位置,讨论造成这些损伤的机制,并说明潜在的缺陷。
正常解剖
跟骨的解剖学特点有:
1.跟骨是跗骨中最大的一块;
2.跟骨有6面:上面、下面、前面、后面、内侧面、外侧面;
3.跟骨有4个关节面:前距关节面、中距关节面、后距关节面、跟骰关节面;
4.跟骨有4沟:跟骨上面中部有一沟称跟骨沟,其与距骨沟合成跗骨窦和跗骨管;载距突下面有拇长屈肌腱沟;跟骨外侧面前部滑车突,滑车突后下方有腓骨长肌腱沟;
5.跟骨有5突:跟骨载距突,跟骨上面内侧有扁平的载距突,载距突上面有中距关节面,其前方有前距关节面;跟骨结节内侧突较大;跟骨结节外侧突较小;跟骨外侧面前部有滑车突;跟骨关节前突;跟骨关节后突;

图 1 - 解剖。图表描绘了在侧向、上方和中间投影中的跟骨的关键解剖组件。FHL =踇长伸肌。
薄弱点
跟腱的后表面的跟骨结节
跟腱是身体中最强的腱,平均长度为15厘米。它近端接收来自三个肌肉的肌肉纤维:腓肠肌的内侧和外侧头部以及比目鱼肌。远侧,肌腱具有凹前部和凸后表面逐渐变细,以在位于跟骨结节的后表面的中间三分之一跟骨其广泛附着点。肌腱在其插入的宽度变化从1.2到2.5厘米[5]。腱具有卷绕的胶原纤维,在其附接之前螺旋约90° [6]。这种配置赋予其粘弹性,允许其吸收和适应在运行期间可以接近6-12.5倍体重的力[7,8]。
跟骨结节撕脱骨折不常见,占跟骨骨折的1.3-2.7%[9]。结节的骨折来自于损伤的撕裂或剪切 - 压缩机制,其中后者构成最多的骨折。当小腿肌肉主动收缩,脚踝过伸时,或者在推开背屈肌肉的脚时,例如在开始比赛的短跑运动员中,可能发生从跟腱脚上的突然张力而产生的撕裂。有四种类型的撕裂性骨折(图2):
1型,单纯撕脱具有不同大小的骨碎片(图3);
2型,喙骨骨折(beak fracture),水平骨折延伸到后体;
3型,由跟腱中间三分之一的外表面纤维引起的 infrabursal撕裂(图4);
4型,从腱的深纤维出现的小喙断裂[9,10]。
1型骨折可能是不全性骨折,发生在老年患者在轻微创伤如脱臼后的骨质疏松症,在一定程度上,这可能与跟骨的区域血管解剖相关[11]。在2型喙断裂中,腱附着比经典地看到的更近,使得撕脱仅涉及结节的近端一半,或者因为比目鱼肌对跟腱具有单独的更前面的力[12,13]。3型和4型骨折发生在年轻人中,是更严重的创伤造成, 原因是强的肌肉收缩,跟部固定在地面上,并且仅发生在具有广泛和广泛的腱插入的患者的一个子集中[9]。
图 2 - 跟骨撕脱性骨折的分类。
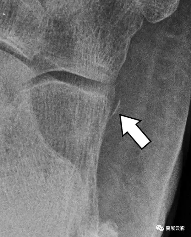
图3 -患者59岁,1型跟骨骨折,症状急性后足跟疼痛。侧面放射照片显示优越位移的骨片(弯曲的箭头)和跟部结节的上部方面的供体位点缺陷(直箭头)。

图4A-男,43岁,从马身上掉下来,经历过疼痛,踝关节背部出现瘀伤。A,在损伤后2天获得的X线照片显示了在关节上方约5cm处的跟腱中的骨片(箭头)。

图4B-男,43岁,从马身上掉下来,经历过疼痛,踝关节背部出现瘀伤。B,损伤后6周获得的矢状T1加权MR图像显示加厚的跟腱。在腱内存在不均匀的信号强度,低信号强度的区域(直箭头)在撕脱位置上方约5cm处, 结节撕脱缺损(弯曲的箭头)。
一个重要的缺损是长期糖尿病患者的结节的神经性撕脱性骨折[13]。在这些患者中,骨折发生没有显着创伤或过度使用活动的历史。主骨折线平行于骨突瘢痕(inferior cortex),并且骨折影响骨皮质,但不影响皮质下组织。骨折还倾向于向后延伸,其中水平分量直接位于跟腱的腱的远端[14]。当断裂继续进行时,撕脱和碎片在后来发现中常见的。神经性骨折是重要的,因为它们具有高度发生率的感染、不愈合、畸形和固定失败,并且比非神经性不全性骨折更长的愈合时间。另一个缺损发生在儿童骨骼不成熟的患者中的Salter 3骨折,可以模拟Sever病,当其不显着移位[15]。
跟骨结节跖筋膜内侧路
足底筋膜是位于脚下部的密集结缔组织带,并且由三条束索构成:内侧束,中央束和侧向束。生物力学上,中心束是足底筋膜的最重要的组成部分。它由跟骨结节的内侧过程产生,并以扇形构型向远侧延伸,分成五个不同的带,其与足底板,足底指间韧带和跖趾关节下方的矢状隔膜互连[16-18]。中心束的纤维包围短屈肌腱的腱膜。侧索从中间侧边缘产生并延伸到第五跖骨的长方体和基部,包围外展肌最小肌的腱膜。内侧线是非常薄,进入踇展肌肌肉。
筋膜中产生足跟疼痛的病症可归因于足底筋膜炎或筋膜破裂。足底筋膜炎是足跟疼痛的最常见的原因,足部疼痛是纤维性变性,微撕裂和筋膜附着点中的胶原坏死的退行性过程的外部表现。足底筋膜的破裂远不常见,但临床表现为严重的局灶性疼痛,低于跟骨,与触诊触痛和急性发作有关[19,20]。跟骨的中间过程中的骨折可以作为压缩或拉伸力的结果而发生。绝大多数骨折是由于压缩机制,例如撞击凸缘或从高处坠落,使得所得到的骨折可能预示更复杂的骨折。虽然很少,但是当足底张力从脚趾的脚尖上的高处跌落时,由于跟腱对静止的足底韧带的强有力收缩而发生足底张力时,可能发生内侧足底过程的撕裂,或者外展的猛烈收缩的力致使第一踇肌被迫背伸 [21,22]。特征性射线照相外观是在跟骨结节的下表面中与供体部位分离的小斑点骨或在中间皮质中的断裂(图5)。在附着点骨裂解可以是在许多情况下(图6)的唯一发现。缺损是通过足底筋膜内膜的骨折,这可能是由于对足底筋膜的直接创伤或有力的张力的结果。
图5A-内侧足底过程的图像。A,在尸体中的跟骨的正面3D CT图像显示内侧足底过程(箭头)的板状突出,其中足底筋膜的中央和外侧线插入。
图 5B - 27岁的男性棒球运动员在运动加速后急性足跟疼痛。侧位X线照片显示内侧足底过程中的线性断裂(箭头)。
图6A-侧位片显示了通过从内侧足底发出的内皮断裂(直箭头)。注意(曲线箭头)跟骨下部方面的碟状缺陷。
图6B - 矢状STIR MR图像显示足底筋膜中心线的撕裂与根管周水肿(箭头)以及围绕骨缺损的骨水肿。
分叉韧带前跟骨前路
前跟骨部分是由舟骨骰骨关节衔接和近端的跗骨窦远端接壤跟骨的前外侧骨性隆起。它形成前面和上面的跟骰关节。分叉韧带的近端附接,跖骨和背部屈曲中的重要稳定附接到该位置。Y形韧带的两个组件,跟骨和舟骨距骨关节,当脚踝被倒置和足底弯曲时,处于其最大的张力[23]。涉及跟骨前面部分的骨折不如踝关节中的其他骨折常见,但它们并不罕见,发生在多达5%的踝关节骨折患者[24-26]。患者抱怨的肿胀和疼痛的背外侧在跗骨窦区域。由于这些骨折可能非常难以检测,在许多情况下需要CT或MRI来确认诊断,特别是当疼痛变为慢性时[23,27,28]。其中约半数骨折MRI得以证实,而X线片是隐匿的,在成人X线可见骨折中多达6%的误诊为踝关节扭伤[23]。据报道,儿童中未被识别的骨折的百分比是3到4倍[4]。
导致前跟骨前部断裂的两种损伤机制是压缩或撞击力和极端拉力[29]。压迫性骨折的发生是由于在外翻和背屈的过程中,来自骰骨和距骨前方(称为“胡桃夹子”病变)的撞击,或者前脚掌被固定在地面上的有力外展[30,31] 。撕裂性骨折是由于在脚的强力反转和足底屈曲期间在分叉韧带上的张力引起的。事实上,这种骨折构成了影响跟骨的最常见的撕脱骨折[26]。一般来说,嵌塞性骨折大于撕裂性骨折。这些骨折是重要的,因为它们与其他足异常有很强的关联,例如前踝韧带断裂,其他跗骨骨折以及腓神经腱的损伤[29,32]。踝的侧位放射线照片提供了骨折的识别,其特征在于通过该过程垂直地出现骨折线(图7)。如果侧位片是可疑的,脚需拍摄斜位片用以诊断[24]。前路骨折分为三种类型:1型骨折小(<1厘米)和无错位,2型骨折具有最小(> 2毫米)位移,并且没有涉及跟骨神经节关节,3型骨折被粉碎或大型, 跟骰关节受累(> 25%)[31]。
图7A-25岁的男子在滑雪时跌倒。侧位片显示跟骨骨折应于2型骨折(箭头)。
图 7B - 脚的斜位片识别骨折(箭头)。
图 8A- 1型骨折与愈合2例。A,22岁的人在足球比赛期间发生骨折。矢状T1加权MRI显示出由对应于1型骨折的前跟骨过程产生的骨片(直箭头)的小片段。显示了分叉韧带的一部分(弯曲的箭头)。
图8B -30岁的没有创伤的男人。脚的倾斜视图显示附属的小骨(箭头)位于跟骨,距骨,舟形和骰骨之间,近似1型前路骨折。这个小骨被称为os“calcaneus secundarius”,通过跟骨中缺乏供体位点与骨折区分。
趾短伸肌-背外侧前跟骨
重要的跟骨骨折是短伸肌腱(EDB)肌肉的起源[24,32]。EDB肌肉宽而薄。侧向节段向远侧延伸以插入第二至第四脚趾的中间趾骨,而最内侧节段形成短伸展伸肌。该肌肉的功能是延伸第一至第四脚趾和相应的跖趾关节。足部的强迫反转被认为是损伤的机制,使得EDB被迅速拉伸超过其生理限度,导致肌肉撕裂以及撕裂性骨折[32]。
骨折最好描绘在脚踝的前后投影或脚的前投影,并且其特征性地表现为从前跟骨的背外侧面出现的骨的不同大小的碎片(图9)。具有这种骨折的患者在背外侧足中具有疼痛和肿胀,类似于具有前跟骨过程骨折的患者。
图9A-32岁的女性网球运动员,有背外侧瘀伤在脚。A,踝关节X线片显示移位与邻近软组织肿胀骨(箭头)的骨片即伸趾短肌的附着撕脱的特点。
图 9B-32岁的女网球运动员,她倒了她的脚和背外侧挫伤脚。B,足部X线片显示骨(箭头)的骨片位于背部和前跟骨体的外侧区。
一个缺点是,踝关节韧带的附着的撕脱性骨折偶尔可能在前后踝放射照片上看起来类似,但是骨折片段看起来更靠后位于脚的正面X光照片上,并且通常较小。EDB撕脱性骨折也可能被错误地鉴定为腓总神经,但是后者位于更低级并且完全皮质化。有时,腓骨滑囊可能存在一个单独的骨化中心看起来类似于踝部X线照片上的骨折,但在踝正位X线照片上完全皮质化[35]。
跟骰韧带远端前外侧皮质
跟骰关节是中足的一个大的侧向关节。关节囊投射关节腔,并且其通过分叉韧带的跟骨柱体侧向地(通过背侧跟骰韧带)和下部通过足底跟骨腱韧带和长跖韧带而稳定[36-38]。这些韧带的结构完整性以及足底筋膜是跟骰关节的正常功能所必需的[39]。
一旦被认为是罕见的,在跟骰关节发生的撕裂骨折是脚外侧方的持续疼痛的重要原因[40]。该关节的边缘应该被仔细检查具有脚的反转或足底屈曲损伤或前脚的强迫内收损伤的患者的骨折。临床上,在跟骨髁上关节的侧面脚痛和在第五跖附近发生的局灶性软组织肿胀是特征性的临床发现。加合前足加速疼痛的机动。
大多数撕脱性骨折发生在背侧跟骰韧带的附件(图10)。Andermahr 等 [38]根据骨折的尺寸和应力的跟骨骨关节的角度将这些损伤分为四种类型:1型,无骨折,角度增加5-10°; 类型2,偶见断裂剥落和角度大于10°; 类型3,骨块大于5mm,角度大于10°; 和4型,内侧骰骨的压缩性骨折和主要关节牵引。脚正位、斜位片,不是踝部X线照片,是显示这些骨折的最佳选择,这些骨折特征性地表现为当关节分散时旋转的可变小的线性皮层碎片。可能需要MRI来确认诊断(图11)。

图10A -21岁的男性篮球运动员,脚外侧疼痛。A,脚的倾斜视图的特写镜头显示线性骨头(箭头)接近跟骰关节。

图10B- CT图像显示撕脱性骨折(椭圆形)对应于背侧跟骨韧带的近端附着。
图11A -28岁男性曲棍球运动员扭伤。A,正位片显示侧向脚肿胀,其中心正好在第五跖骨的基部附近(直箭头)。有小的线性骨块位于跟骰关节侧面(弯曲的箭头)。
图11B 轴向质子密度MR图像显示撕裂发生在骰骨附件的远端,表现为韧带和长骰骨之间的间隙(箭头)。韧带的近侧方面可以看到其跟骨附着。
潜在的临床缺陷是骰骨的侧面的应力断裂[41]。另一个临床和影像学缺陷可能是EDB插入物的小的撕脱性骨折; 然而,在我们的经验,即使小的EDB骨折片包含更多的骨质结构,不只是皮质,所以他们没有跟骰韧带撕裂骨折的典型线性外观。
跟骨的撕裂性骨折常常难以诊断,但是它们发生在非常特定的位置,具有特征性的影像学外观。对跟骨的系统评价注意薄弱区域将有助于那些解释脚踝和足部X线照片,以维持这些骨折的高诊断准确性。
参考文献:
1. Atkins RM, Allen PE, Livingstone JA. Demographic features of intra-articular fractures of the calcaneum. Foot Ankle Surg 2001; 7:77–84 [CrossRef]
2. Schepers T, Ginai AZ, Van Lieshout EM, Patka P. Demographics of extra-articular calcaneal fractures: including a review of the literature on treatment and outcome. Arch Orthop Trauma Surg 2008; 128:1099–1106 [CrossRef] [Medline]
【版权声明】本平台属公益学习平台,转载系出于传递更多学习信息之目的,如有图片、内容等不想转载传播可与我们联系删除。
放射沙龙影像学习推荐专区
对于临床医生而言,影像学检查是诊断颅脑疾病的重要帮手,掌握“看图说话”的技能将为临床工作带来莫大帮助。
非科班出身的临床医生,如何快掌握颅脑影像的读片技巧?神经科医生经常遇到的读片问题,该如何解决呢?
【手把手教你“颅脑影像读片】
放射沙龙联合华医*特网**邀天坛医院放射科博士、副主任医师沈宓老师,为大家从影像学基础开始,从颅脑外伤、脑血管疾病、颅内肿瘤等常见颅脑病变出发,带你一步步了解颅脑影像的诊断要点及鉴别诊断。让你从入门到精通,掌握颅脑影像的读片技巧。

讲师简介:
沈宓:首都医科大学附属北京天坛医院 放射科 副主任医师,具有丰富的临床读片经验,深入浅出的讲解颅脑影像基础,在结合临床的基础上讲解脑血管常见疾病的影像识别技巧。
原价299元
现新课优惠低至6折仅需189元
识别下方二维码
立即*载下**或更新APP购买
▼
课程目录:

福利往这儿看
放射沙龙为了方便更多的放射医生学习
特地为每一位新进入学院的小伙伴们
呈上放射沙龙全场通用10元优惠券
领取方式往下看
▼
领取放射沙龙全场通用10元优惠券
扫描下方二维码进入领取页面
点击下方“阅读原文”领取10元优惠券!