1、髌骨半脱位
最多见于十几岁的女孩和年轻妇女,发作性的膝关节打软,Q角增大 (>15°)。髌骨恐惧试验 (Patellar apprehension sign)阳性。轻度积液,中、重度积液说明有关节内血肿,提示髌骨脱位伴骨软骨骨折和出血。


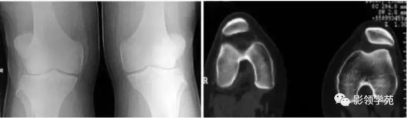
2、胫骨结节骨骺炎
多见于十几岁的男孩 (特别是正处于快速生长期的13、14岁男孩或10、11岁女孩),疼痛局限于胫骨结节,蹲、跪、上下楼梯或股四头肌强力收缩时疼痛加重,跳跃、跨栏等运动加重病情。胫骨结节局部肿胀、发热、压痛,抗主动伸膝运动或被动过屈膝关节时可引发疼痛,没有关节积液。X线摄片可阴性,或可见胫骨结节处钙化阴影,髌韧带 增厚,胫骨结节前软组织肿胀。偶尔可见胫骨结节撕脱样改变 (须与撕脱骨折鉴别)。
3、Sinding-Larsen-Johansson Disease
好发人群与胫骨结节骨骺炎一样,但病变和压痛部位在髌骨下极。X线侧位片正常或在髌骨与髌韧带结合部有斑点状的钙化阴影,钙化点融合后看上去像髌骨下极延长了。此现象多见于足球运动员。 偶尔,此症也可发生于髌骨上极
4、髌腱炎
多见于骨骼成熟后,髌骨下极腱-骨交界部。比较模糊的膝前痛,下楼或跑步等活动后疼痛加重,髌骨下极髌韧带压痛,但直腿抬高试验时压痛常常消失,说明病变部位位于髌韧带的深层,直腿抬高时髌韧带的浅层纤维紧张,保护了深层纤维,抗阻力伸膝活动时疼痛。没有关节积液。X线摄片阴性。
5、分裂 (二分)髌骨
常见于儿童,多双侧性。 一般认为是正常骨化的变异,可在十几岁时融合。
症状:运动时疼痛或运动后疼痛,膝关节屈曲时疼痛、下跪时疼痛,上下楼梯时疼痛,行走时疼痛,受冷时疼痛。
分裂部扣击痛:可诱发有症状的分裂髌骨的疼痛,无症状者阴性。分裂骨片局部骨性隆起。 股四头肌萎缩, 髌骨摩擦音,大多无关节积液、跛行和关节活动度受限。有时需与骨折鉴别。

6、股骨头骨骺滑脱
膝关节的牵涉痛,儿童和十几岁的少年,膝关节疼痛的定位不清,没有膝关节外伤史,体重超重,受累髋关节轻度屈曲外旋,被动内旋和伸直受累髋关节可引发疼痛,膝关节检查正常,典型的X线表现为股骨头骨骺移位,临床表现典型但摄片阴性不能排除诊断,此时CT扫描有助于诊断。
7、剥脱性骨软骨炎
关节内的骨软骨病,病因不明,关节软骨和软骨下骨变性和再钙化,最常见于股骨内髁,模糊的、定位不清的膝关节疼痛,有晨僵,反复的关节内积液(轻度)。如有游离体,可发生交锁症状。股四头肌萎缩,受累股骨髁关节软骨面压痛。
X线平片显示骨软骨病损或关节内游离体。如怀疑剥脱性骨软骨炎,摄片应包括前后位、后前隧道位、侧位和髌股关节切线位。

8、髌股关节痛综合征
属于过度使用综合征,典型的病变是髌骨软骨软化,轻度到中度的膝关节痛,定位模糊,常在久坐后出现(“剧院征-theater sign”)女性多见。可有轻度积液,膝关节活动时髌股关节摩擦音,挤压髌骨前方可引发疼痛。股四头肌抗阻力试验阳性,髌骨关节面可有压痛。X线摄片一般没有异常所见。早期退变的表现。
9、内侧滑膜皱襞综合征
容易漏诊,属于过度使用综合征,髌股关节内侧的滑膜皱襞由于膝关节过度活动发生炎症水肿。过度运动后出现膝关节内侧疼痛的急性发作,在膝关节内侧、关节线前方可触及有压痛、能活动的结节或条索状组织,一般无关节积液,X线摄片阴性,CT或MRI可显示滑膜皱襞。
10、鹅足滑囊炎
缝匠肌、股薄肌和半腱肌的肌腱在胫骨近端的内侧面形成联合止点--鹅足,过度使用或直接挫伤可引起鹅足滑囊的炎症,容易与内侧副韧带损伤或内侧间室骨关节炎的疼痛混淆,膝关节内侧疼痛,反复屈膝伸膝可加重,内侧关节线的下方压痛。
没有关节内积液,内侧肌腱止点处轻度肿胀,外翻应力试验或抗阻力屈膝可引发疼痛。 X线摄片一般无异常所见。
11、髂胫束肌腱炎
髂胫束与股骨外髁的过度摩擦可引起髂胫束肌腱炎,也属于过度使用综合征,常见于跑步和自行车运动员,髂胫束紧张、足过度旋前、膝内翻以及胫骨旋转都是易感因素,膝关节外侧面疼痛,活动尤其是下坡跑和爬楼梯可加重。股骨外上髁(关节线上约3mm)压痛。
Noble’s test (+):病人仰卧位,检查者拇指放在病人股骨外上髁处,膝关节反复伸屈活动,疼痛通常在膝关节屈曲30°时最明显。可有软组织肿胀和摩擦音。无关节积液,X线摄片阴性。
12、Hoffa 病
病因不明,可能与髌下脂肪垫损伤有关,损伤后出血、炎性细胞浸润、肿胀、机化,以后可能由于反复的轻微损伤,形成慢性炎症、纤维化、增生肥大。某些病人的脂肪垫特大,膝关节伸直时凸出于髌韧带两侧,容易遭受挤压,引起炎症和纤维化。症状为膝前痛,髌韧带附近和髌股关节可有压痛,X线摄片髌下脂肪垫可有粗糙的钙化阴影。
13、韧带损伤
侧副韧带损伤
- 内侧副韧带损伤
- 外侧副韧带(外侧韧带复合体)损伤
交叉韧带损伤
- 前交叉韧带损伤
- 后交叉韧带损伤
韧带的复合损伤

14、半月板损伤
发生于膝关节突然旋转损伤,如跑步者突然改变方向,也可发生于慢性退变过程中,尤其是有膝关节不稳定时,反复膝关节疼痛,交锁时加重,下蹲或膝关节旋转时可引发交锁,轻度积液,关节线压痛,股内侧肌萎缩, McMurray试验阳性 (阴性不能排除诊断)X线平片阴性。

- MRI:诊断半月板损伤的注意事项
- 半月板表面无清晰的连续性中断,不能诊断半月板撕裂。
- 仅在一个层面有异常信号延伸到半月板表面不能作为诊断的决定因素,此时半月板撕裂的可能性仅为50%。
- 两个或两个以上层面出现异常信号延伸到半月板表面时,诊断半月板撕裂的特异性为90%。不能仅根据MRI结果,要考虑临床症状。
- 半月板部分切除术后,由于纤维软骨的修复机制,沿切口表面产生不规则的高信号,很难在MRI上区分是残留的半月板还是新的撕裂 。
15、感染
可发生于任何年龄,多见于免疫系统功能减弱者:癌症、糖尿病、酒精中毒、AIDS、类固醇治疗者等,无损伤史,疼痛、肿胀、皮温升高、明显压痛,即使轻微的活动也能引起剧烈的疼痛。
关节穿刺
- 见浑浊的关节液
- WBC>50000/mm (50 × 109L)
- 多形核细胞>75%
- 蛋白质>3g/dL (30g/L)
- 葡萄糖<>
- 细菌培养 (+):金葡菌常见
血象
- WBC升高
- 多形核细胞增加(核左移)
- ESR加快 (>50mm/hr )CRP升高

16、骨关节炎
- 常见(>50岁)
- 膝关节痛
- 早期:活动开始时痛、剧院征、上下楼梯时痛、下蹲起立时痛,休息能缓解;
- 中后期:负重痛、行走痛、夜间痛
- 短时晨僵 (<>
- 可有滑膜炎急性发作,关节间隙压痛,活动度减少
- 关节摩擦音,轻~中度关节积液
- X线摄片:负重位前后位、侧位和髌股关节切线位。
17、结晶引起的炎症性关节病
急性炎症表现,无外伤史,红、肿、热、痛、活动受限。
痛风:尿酸钠结晶;假痛风:焦磷酸钙结晶。
关节穿刺
- 澄清或轻度浑浊的关节液
- WBC 2000~75000/mm
- 蛋白质>32g/dL(320g/L)
- 葡萄糖75%血糖浓度
- 偏振光显微镜。
痛风-双折射阴性的针状结晶
假痛风-双折射阳性的菱形结晶
18、特发性骨坏死
较高龄者 (>55岁),大部分无诱因,突然发生膝关节剧痛,夜间痛明显,关节内注射糖皮质激素无效,股骨髁关节面上有压痛,活动度影响不显著。X线摄片显示股骨内髁骨缺损及透亮层。
19、隐神经卡压
膝关节后内侧缝匠肌的后方有压痛点,小腿、足内侧部感觉减退,卡压点Tinnel征,隐神经:股神经 (L2~L4)分支,发2支, 髌下支分布髌前面皮肤,小腿内侧分支分布小腿内面和足内侧缘皮肤。
20、近侧胫腓关节不稳定症
好发于青春期女性,不固定的膝关节痛及腓总神经麻痹症状,下蹲时小腿麻木,部分为腓骨头习惯性脱位,膝外侧无力,打软,有弹响,“少女膝” Girl’s Knee。
多发性、游走性,膝关节最多见,没有器质性病变,无运动损伤、无髌骨不稳定。鹅足部、内侧关节间隙有压痛。大多双侧,可自行消失,有人认为与内分泌因素有关。 有些误诊为半月板损伤或髌骨软骨软化症而做手术,但术后症状依旧。
21、腘窝囊肿
常见,腘窝部的不适或轻度疼痛,腘窝饱满或扪及囊性肿块,没有压痛或轻度压痛,活动度多不受影响。多起于膝关节后内侧腓肠肌半膜肌滑囊或腓肠肌内侧头附近。B超、CT、MRI。

22、前膝关节疼痛
髌骨软骨软化被用作前膝关节疼痛的统称。但髌骨股骨综合征也常伴有前膝关节疼痛。目前常用的诊断为术语前膝关节疼痛。
鉴别诊断
- 髌骨软骨软化 症状性膝关节折叠
- 髌骨不齐 脂肪垫综合征(Hoffa’s disease)
- 髌骨活动异常 髌骨下/髌骨前滑囊炎
- 髌骨腱炎 足鹅状滑囊炎
- 髂胫束高张 支持带神经瘤
- 半月板病变 外侧支持带张力高
- 疼痛性双髌骨 术后神经瘤
- 钝挫伤,隐裂 髋部牵涉痛
- 髌骨骨软骨炎 腰骶棘的放射性疼痛
- 辛丁一拉森一约翰逊氏病(Sinding-Larsen-Johansson)。
膝关节疼痛的常见病因
少年儿童
成人
老年人
髌骨半脱位
髌股关节痛综合征(髌骨软化症)
骨关节炎
胫骨结节骨骺炎
内侧滑膜皱劈综合征
结晶引起的炎症性关节炎:痛风、假痛风
髌腱炎
鹅足滑囊炎
腘窝囊肿
牵涉痛:股骨头骨骺滑脱
损伤:韧带损伤,半月板损伤
剥脱性骨软骨炎
炎症性关节病:类风湿,Reiter’s综合征
感染性关节炎
不同解剖部位膝关节疼痛的常见原因
膝前痛
膝内侧痛
膝外侧痛
膝后痛
髌骨半脱位或脱位
内侧副韧带损伤
外侧副韧带损伤
腘窝囊肿
胫骨结节骨骺炎
内侧半月板损伤
外侧半月板损伤
后交叉韧带损伤
髌腱炎
鹅足滑囊炎
髂胫束肌腱炎
髌股关节痛综合征(髌骨软化症)
内侧滑膜皱劈综合征
来源:影领学苑
【版权声明】本平台属公益学习平台,转载系出于传递更多学习信息之目的,且已标明作者和出处,如不希望被传播的老师可与我们联系删除