克雷西 发自 凹非寺
量子位 | 公众号 QbitAI
只要一睁开眼,梦里的一亿大奖便不翼而飞了……这样的场景仿佛每天都在上演,但我们为什么要等到醒来才发现梦不是现实呢?
一项跨越百余年的脑科学探索发现,原来想象与视觉在大脑中本就是由同一区域完成的,只是神经活动强度不同罢了。
这种神经活动强度在想象和视觉之间,存在某一阈值,我们的大脑就是通过它对两者加以区分的。

当相关神经活跃程度达到这一阈值时,我们的大脑便会认为其中的场景是真实的。
而这一阈值不是一成不变的,这也就解释了为什么清醒的时候,我们很容易将想象和现实中的场景区分开来。
而当我们进入梦境之时,想象的场景便有可能被我们的大脑认为是真实的。

论文作者Nadine Dijkstra表示,希望这项研究能激发关于人类想象的更多探索,并在医学等领域创造出价值。
百余年来无人可解
关于想象和视觉之间的关联,百余年前就有科学家提出了猜测。
这种假说被称为“佩奇效应”,是心理学家Cheves West Perky在1910年发现的。
Perky找来了一群受试者,让他们面对着一堵墙,并在脑海中想象一些物体。
然后,Perky把这些物体的图片投影到墙上,但是弱到几乎看不见。并询问受试者们有没有“看”到。
结果所有受试者无一例外地回答没有,都认为看到的图片是自己想象出来的。

△Perky的论文总结部分
尽管受试者们都说没看到,但这些图片真真切切地投射到了墙上。
据此,Perky认为,当我们对某一事物的感知与此前的想象相吻合时,就会认为它是想象的。
Perky的理论可以说是符合实验结果的,但在科学研究中,实验的可重复性也十分重要。
此后的一百多年来,研究者们一直在重复Perky的实验,但结果并不尽如人意。
不知道是不是因为实验设计的问题,受试者一看实验内容就揣摩出了“出题人意图”。
于是这些受试者总是有意或无意地更改自己的回答,似乎是在试图迎合实验者的想法。
神经影像学让谎话“现出原形”
人的嘴也许会说谎,大脑活动可不会。
现在,神经影像学技术就像一面“照妖镜”,谎言在它面前分分钟现出原形。
于是,Dijkstra团队利用神经影像学技术,观察了受试者在实验过程中的大脑活动。
这下,受试者们就没办法再耍小心思了。
同时为确保万无一失,Dijkstra也根本没给这些受试者们更改答案的机会。

根据想象和视觉之间关联程度的不同,Dijkstra团队一共提出了三种假说。
第一种是认为二者毫无关联,第二种则是前面提到的“佩奇效应”,第三种则干脆认为两者根本就是一回事。
显然,这三种假说是互不相容的,只需要通过一个实验便能全部验证。
和Perky的实验相似,Dijkstra也是让受试者们对着墙冥想。
区别在于,他们面对的不再是光秃秃的一堵墙,还有投影到上面的干扰信息。
Dijkstra测试一共要进行十次,其中前九次都是相同的。
但在最后一次,Dijkstra团队偷偷地在干扰信息中加入了物品的图片。
只不过,团队在这里又多耍了个心眼,加入的图片不一定就是受试者们脑海中正在想的东西。
除了被问及是否“看”到了他们想象的东西之外,受试者还要回答想象的清晰程度。

说谎的问题解决了,可是如何根据实验结果判断哪种假说成立呢?
研究人员在分析实际测试数据之前建立了三种假说的预测模型。
前面提到过,在最后一次试验中加入的图片不一定是受试者脑海中的。
因此,在图片与想象相符和不相符的两种条件下,团队对受试者可能的反应进行了预测。
- 在无关联假说中,视觉不受想象的影响,因而无论图片与他们的想象是否相符,判断为真的概率应当一致。
- 而在佩奇效应假说下,在图片与他们的想象相符时,反而容易被认为是想象。
- 完全混合假说情景下,人们更容易认为脑海中的场景是真实的,且想象程度越清晰,就越容易做出感觉为真的判断。
下图就是对上述预计结果的直观反映,其中颜色的不同表示受试者看到的图片与想象的物体是否一致,虚实则表示受试者回答的内容。

而实际测试当中,受试者认为他们脑海中的形象是真实图像的概率非常之大。
哪怕图像中的内容根本不是他们所想象的,只要他们脑海中的画面够清晰,都会认为“看”到了想象的物品。
这样的结果更符合哪种假说显而易见了,第三种混合说取得了最终的胜利。

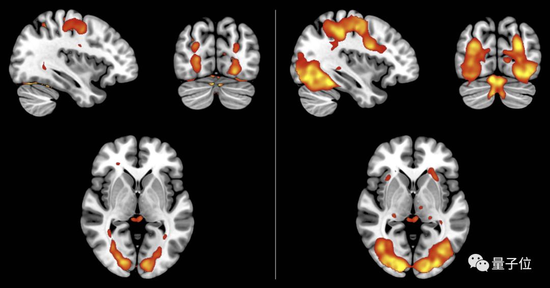
同步进行的大脑活动监测也证实了这一观点。
在想象和真的看到物体时时,前脑岛、辅助运动前区和右侧前额叶皮质三个区域中的活跃部分是重叠的。
解码分析结果也显示,想象与视觉的编码方式是相同的。

大脑活跃区域都一样了,还能不是一回事吗?
不过这又带来了个新的问题:既然想象和视觉在大脑中是一回事,为什么我们却能分辨出区别呢?
尽管原理相同,但大脑在进行两种活动时,神经的活跃程度是不同的。
在真实视觉当中,相关脑区比想象时表现得更为活跃。
统计结果表明,相关神经活跃程度存在某一阈值,超过这一阈值的信号会就会被大脑认作真实视觉。
通过揭示想象与视觉的联系,我们或许可以通过诱导想象并以某种方式对神经活动进行增强来建立视觉信号。
届时,也许就会出现某种设备,将真实世界以想象为载体,植入人们的大脑,让盲人重新“看”到五彩斑斓的世界。
又或者,通过对相关信号的监测,可以预测精神分裂患者的发作时间,从而提前准备好应对措施……
论文地址: https://www.nature.com/articles/s41467-023-37322-1 参考链接: https://www.quantamagazine.org/is-it-real-or-imagined-how-your-brain-tells-the-difference-20230524/
— 完 —
量子位 QbitAI · 头条号签约
关注我们,第一时间获知前沿科技动态