中国足球队此次亚洲杯连战连捷(虽然才两场),不可阻挡(虽然是小组赛)!
现在,他们已经提前小组出线,这不得不提我们英勇的锦鲤于大宝。

今年他是中国最快的男人,挺身而出,直插而入,从开始到结束只用了14.5秒,厉害啊!!!
可是我们今天不谈锦鲤,我们谈的是另一位英雄,负伤作战,那就是武磊大大!

第一场比赛就已经受伤,可是人家硬是打了封闭,缠了绷带带伤上阵比赛,还“梅开二度”,你说菲律宾气不气!
武磊真英雄!他的伤痛平常人怎能理解,这种坚毅的精神是国足的巨大进步。如果这份精神国足所有人都具备,而且能用在平时的训练中,那么,国足会越来越香!

好了,废话不说,如上图,英雄武磊得的是左肩锁关节脱位!
什么是肩锁关节脱位?
1、左肩部有个关节叫肩锁关节,如下图:

2、这个关节是会脱位的,以下是Tossy分型,简单的科普就是按严重程度分成三度:简单的说就是一度很轻,二度有点重,三度很重。回头看看武磊的照片,他的左肩膀已经畸形了。

3、以上图中紫色的是韧带,一度韧带还好好的,所以保守治疗就行了;二度断了一根主要的韧带(肩锁韧带),所以锁骨翘起来了,可以保守也可以手术;三度断了两根主要的韧带(肩锁韧带和喙锁韧带),所以锁骨翘得更厉害了。

4、我们再来看看武磊的X线:是个三度的脱位,也就是最严重的肩锁关节脱位!
这是非常疼痛的,所以上场打了封闭还进行了固定,但是很难固定住,只能说让武磊好受些!在此,我再次向英雄致敬!!!
怎么治疗?
没有其他办法,要想没有后遗症,运动员的左肩锁关节脱位只能进行手术治疗!
手术治疗方法很多,简单介绍一下:
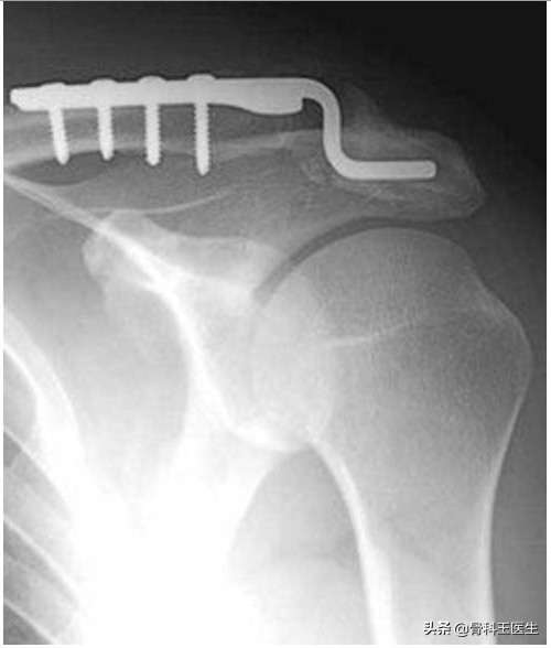
1、用钢板把锁骨压下去:

2、用锚钉也可以把锁骨拉下去,因为有的锚钉X线不能显示,所以用示意图:

3、也可以把韧带缝起来以后上个螺钉固定下就行了。

4、还有其他方法就不介绍了,那么武磊会用什么方法呢?
我预测是用锚钉固定,因为创伤小,不用二次手术取出,而且恢复快。强度也足够,这个我也做过生物力学研究并写过这个文章在相应刊物发表。
恢复期需要多久?
肩锁关节脱位术后即可进行康复训练,三度脱位一般恢复期是6周,通常建议休息三个月再进行肩部的完全负重训练。所以预计武磊会缺阵三个月。