童童(化名)小朋友今年7岁多了,性格特别活泼见人总是乐呵呵地。他平时总爱穿一身帅气的紫色足球衣,和小伙伴们奔跑在阳光下,看起来充满活力……

半个月前,童童回家多次告诉妈妈:说自己最近头疼不舒服,有点恶心想吐。妈妈刚开始以为孩子太顽皮,可能是玩的太疯了最近没休息好,所以并没有太在意孩子的话。就这样持续了有半个多月左右,童童的头疼症状更加明显了。一天中午,孩子哭着从学校打来电话:说自己头特别疼,吃过的午饭也全部都吐了,吓得妈妈慌了神立刻放下手中的工作带孩子去了医院。

童童妈妈带孩子来到了空军军医大学唐都医院小儿神经外科王超教授的门诊,王教授接诊后给童童做了相应的检查,并建议孩子进行头颅的影像学检查。结合影像学检查结果和相关检查报告,王超教授初步高度怀疑可能是颅内畸胎瘤,并建议尽快手术切除。
童童妈妈听到这个信息一下瘫坐在椅子上,王超教授考虑到患者年龄较小,并结合临床综合分析了情况。这样让童童妈妈很快意识到了问题的严重性,并且立刻和家人说明了情况调整好自己的状态,决定接受医生给出的治疗方案:尽快进行手术治疗。
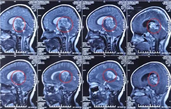
术前影像学资料:


术后影像学资料:


手术由王超老师亲自操刀,借助显微镜进行精准的操作,在保护好周围脑组织的前提基础上,肉眼下全部切除了患者的肿瘤,手术完成的非常顺利且成功。切除出的脑肿瘤组织为一堆灰黄色的组织,肉眼可见有毛发、牙齿等。
术后病理检测报告证实了患者确实是未成熟型的畸胎瘤,未成熟畸胎瘤术后还需要辅助放化疗,因为未成熟的畸胎瘤分化不会那么好,它有恶性的成分,所以需要术后放化疗。

温馨提示:面对畸胎瘤这个大怪兽, 我们一定不要灰心沮丧哦!提醒家长们孩子如果出现头痛、恶心、呕吐等症状一定要引起重视,要及时就医诊治绝不能耽误。

我们也了解到一些患有颅内未成熟畸胎瘤的孩子,在经历手术、放化疗,甚至二次手术后,依然能像健康孩子一样生活。因此,即便孩子不幸诊断出畸胎瘤,也请家长们不要惊慌或者灰心,早期发现,积极正规治疗,还是有很大希望康复的,孩子依然会有光明的未来!