没熬夜看过本次世界杯,作为一个每次上完夜班都恍若灵魂出窍的大夫,实在不能半夜爬起来看球,但好在有几场球是晚上八点的,可以看看自己喜欢的球队。
话说,这届世界杯的广告都是什么鬼?
不过想妄图用这些恶心人的,水平低劣的广告来达到让观众印象深刻的目的,于我可能效果欠佳。本人不会去直接找老板加薪;另外,很显然很多镜头是拼凑的,C罗君根本就没在上面驾驶的那款车,貌似也不会去关注。至于慌得一比的某牛,呵呵
作为一名大夫,关注的自然是健康,想说的,其实足球是一种比较危险的运动。看看这些跟足球有关的损伤:
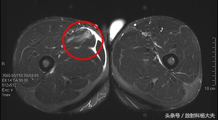
肌肉拉伤
肌肉拉伤可能是足球场上最多见的损伤了,为啥有的拉伤冷敷,休息就能好,而有的拉伤得做手术,甚至有可能导致职业生涯终止?其实答案都在MRI上,用MRI看肌肉有无拉伤,拉伤的程度如何,是目前最好的选择。
在MRI上,少于5%肌肉纤维的断裂,为I级损伤,大于5%,但没完全断裂的为II级损伤;完全断裂则为III级。比较多见的是I级损伤,MRI上可以看到肌肉的轮廓存在,但能看到白白的一片,代表水肿。


膝关节半月板、十字韧带损伤
毋庸置疑,最佳的检查手段就是MRI了。用MRI可以检查有无断裂,断裂的程度,以及是否需要手术,手术后的效果等等。包括前后交叉韧带,内外侧副韧带,髌韧带,腘肌腱、股四头肌肌腱等等,膝关节周围的韧带都能在MRI上得到准确的识别和诊断。
包括肌肉、韧带、半月板在内,用普通的X线片和CT都是没有办法的。因此很多运动员拍了片子发现没有问题,要去做个MRI才能给出诊断结论。

半月板断裂

前十字韧带断裂
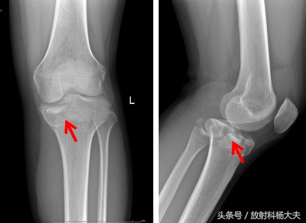
骨折
为何要先拍片子?拍了片子,是看骨头断了没?踢球踢断了骨头,在足球史上是存在的。拍片子是一种非常便捷的手段,可以初步观察有无骨折等,但因为这种损伤,多伴有其他软组织损伤,而且有些隐匿的骨折用平片是看不到的,所以,很多时候,都需要再做MRI。这个检查的选择,受很多因素的影响,需要具体问题具体分析。


当然,如果你只在场上走走,遇到球躲着走,生怕球到自己脚下,不积极参与拼抢,估计也没机会伤到自己。但也绝对不要藐视规则,动作粗暴,那样既可能伤害了别人,也暴露了自己的低劣人性。
如何尽最大可能避免损伤?
我想,无非以下几点:高水平的训练,提高技术水平,做足热身运动,遵守球场规则,保护自己,保护对手,哦,还有,要借助点运气