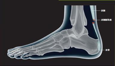
“阿喀琉斯腱”
古希腊神话中有一位力大无穷的英雄名叫阿喀琉斯。当他还是婴儿时,母亲特缇斯捏着阿喀琉斯的后脚跟将他浸泡在冥河之中。被冥河水洗礼后的阿喀琉斯刀枪不入,但是被母亲捏着的后脚跟却成为了他全身唯一的弱点。在赫赫有名的特洛伊战争中,太阳神阿波罗一箭射中阿喀琉斯的后脚后跟,直接导致这位英雄陨落。
阿喀琉斯与特洛伊虽然只是神话,但是这一故事充分说明早在上古时期跟腱的重要性已经被人们所认知。

日前,杜兰特在社交媒体上亲承了自己跟腱撕裂的身体状况,这场耗时多日的猜测也终于落下帷幕。伤病从来都是球员们的天敌,这一点无论是球员自己还是教练和管理层都非常清楚,勇士全队也对于杜兰特的这次不幸而感到沮丧不已。那么跟腱断裂究竟是怎样的伤病,以往有怎样的案例,杜兰特的恢复前景又将如何,这一次我们来深入探究一下。

- 何为跟腱
作为人体内最强大的肌腱,跟腱连接着我们的小腿肌肉和根骨,在运动员完成跳跃落地时,它起到延展和吸收力量的作用。而当运动员发力迈步时,它还起到提供力量的作用。举个例子,人类的先祖大猩猩没有跟腱,所以它们不能长时间直立行走或奔跑,而人类有了跟腱奔跑速度直接提高一倍,所消耗的能量也下降了一倍。通常情况下,男性较女性而言更容易遭遇着在伤病的困扰。

- 跟腱断裂是什么感受?
当下竞技体育运动种类层出不穷,但运动水平的提高也让运动损耗率骤增。跟腱固然粗壮,却也是十分容易损伤的部位。反复的用力累积,时间一场便会超过跟腱负荷引起病变,极端情况下甚至会导致跟腱直接断裂。
2012至13赛季,科比代表湖人主场迎战勇士。第三节刚开始一分半钟,科比底线突破巴恩斯准备跃起隔扣,却被勇士内线艾泽里狠狠按下倒地不起。他在地板上挣扎了一会,然后转头询问身后的巴恩斯:“你刚才踢我了吗?”巴恩斯连忙回答:“没有。”可这不是科比想要的答案,当他落地时感觉有人踢了他的后脚跟一下。

“感觉像是被开了一枪。”人类电影精华威尔金斯也曾在节目中回忆自己跟腱撕裂时的切身感受。当你的跟腱断裂,可以听到明显的响声,当时不会感到疼痛,但是随即就会出现肌痉挛。
盘点那些曾遭遇跟腱伤病的著名球员
- 考辛斯
去年年初,彼时27岁的考辛斯凭借着场均25分13篮板的数据正有望连续第5年入选全明星。这原本将是他与安东尼-戴维斯携手的第一个完整赛季,而鹈鹕彼时也在他的帮助下位于季后赛晋级区,可惜一场突如其来的跟腱却将这一切全毁了。复出后的他后来拒绝了鹈鹕给出的2年4000万美元的合同,不过当时并没有其他球队向他伸出橄榄枝。最终他与勇士签下了1年530万美元的合约。
在今年1月中旬,考辛斯重回球场,他在场均26分钟的出场时间里能够得到16分8篮板。在西部季后赛首轮,考辛斯一度遭遇股四头肌撕裂的伤病,不过他还在总决赛完成了复出,只不过状态也已不负勇往。

- 马修斯
2015年,效力于开拓者的马修斯场均能够砍下15+的得分,并有57.5%的真实命中率。跟腱断裂后的他加盟了独行侠,2015-16赛季揭幕战他以首发身份复出,不过他的比赛风格却较以往出现了转变。2017-18赛季是迄今为止马修斯复出后的最佳赛季,不过他似乎再也找不回昔日灵活的移动脚步了,而他在三分线内的表现也低于生涯平均水平。

- 瓦莱乔
在连续第三个赛季遭遇大伤后,瓦莱乔在2013-14赛季迎来了身体状况最佳的一季,并出场65次。而在2014年年末的跟腱重伤前,他已经在2014-15赛季出场26次。但在受伤后的两个赛季里,瓦莱乔仅仅在67场比赛中出场588分钟。这次重伤在很大程度上讲促使他结束了自己的职业生涯。

- 布兰德
在职业生涯的前9个赛季里,布兰德场均能够得到20+10的数据,并拥有出色的弹跳能力。倘若当时正处于巅峰期的他能够延续如此优异的表现,那么他有一定的可能成为一名名人堂级别的球员。可惜07年8月休赛期训练阶段的他遭遇了跟腱断裂,也改变了自己职业生涯。
在2010-11赛季,布兰德场均能够得到15分8篮板,但随后他的数据渐渐下滑,再未达到类似的水平。在接受媒体采访时,他曾表示:“我已经失去了昔日的爆发力。我曾经一度恢复过,但随后又失去了。我已经彻底失去了它。我必须要改变自己在篮下的比赛方式,我的速度也更慢了。”

跟腱伤病后通常会有怎样的结果?
对于每个伤病案例,不同的身体类型以及不同的球员自然会有不同的恢复结果。当然,跟腱问题对每名球员的影响自然也是不一样的。但即便如此,总体来看,它对于球员而言也是一个极为糟糕的伤病。数据表明跟腱伤病对于30岁以上的球员影响相对最大,其通常会将这个年龄段球员的职业生涯缩短至仅有1-2个赛季。而在下个赛季开始前,杜兰特将年满31岁。

暂别赛场,杜兰特功力能剩几成?
杜兰特身高臂长,体型纤细,他的运动能力和投射能力都是联盟顶级。那么跟腱断裂会给他带来多大的影响?
杜兰特最强的地方,在于他毫无死角的投篮热区,以及倚仗身高的无解投射。利用速度突破上篮算是他的强项,但是总体占比不高。简单地说,跟腱断裂对杜兰特的外线威胁毫无影响,如果他能开发出更强的背身能力,依旧会是联盟前十的超级巨星。

但是因为康复后运动能力势必削弱,所以杜兰特的强行单打能力、以大对小的单防能力都会有所削弱。换言之,他在季后赛中高强度防守中的表现将会不复当年。再者,康复回归后的他差不多也该有32岁了。
油尽灯枯?杜兰特价值几何
无论怎样,杜兰特的这次重伤很容易让人联想起他此前的小腿拉伤。两次伤病均是在没有身体对抗的情况下发生的,也都是在季后赛的关键场次考验着勇士的决心,亦都令杜兰特的未来充满着不确定性。
人们对于杜兰特在勇士体系中是否存在持球比例过重的问题有过争论;当然,杜兰特与德雷蒙德-格林在本赛季也有过不和,后者甚至爆粗并表示杜兰特将以自由球员身份离开球队;也当然,对于这个夏天杜兰特是否续约的问题,勇士也怀着复杂的情绪。

不过勇士也给予了杜兰特温暖的感觉。他们感激杜兰特在球队两连冠期间所付出的FMVP级别的表现。尽管杜兰特在本赛季似乎在有些时候与球队渐行渐远,但我们也能看到他会积极参与到球队的会议、录像分析以及私人交流中。对于勇士来说,他们没有去评判杜兰特的性格,更多是同情他的一些不公遭遇。
2019年夏天的自由市场热闹非凡,汤普森、杜兰特、巴特勒、沃克、欧文等多位大牌球星重获自由身。据媒体消息报道,杜兰特的复出时间将会在下赛季总决赛前后。原本他才是自由市场的头号大鱼,可惜该死的伤病让他身价暴跌。

NBA球队或许会重新评估杜兰特的签约价值,但是不会影响他们的签约决心。联盟中每一支球队都会为明星球员投保,一旦他在合同期限内遭遇严重伤病生涯终结,保险公司会为球队承担大部分的损失。
如今30岁的杜兰特已经取得了巨大的成功,迄今为止,他已经赢得了2枚总冠军戒指,并两度加冕总决赛MVP。他接下来的选择如何,我们拭目以待。