关注慧跑,助您轻如羽、跑无伤

跑者最大的困扰仍然是伤痛,大部分伤痛经过休息、治疗和康复得到缓解,但有些伤痛,跑者用了不少方法,收效甚微,时好时坏,经久不愈,这是什么原因呢?


什么是腱病?
跑者十分常见的足底痛、跟腱痛,就属于比较典型的经久不愈,反复困扰跑者的顽疾,这两个部位的伤痛的名称分别是足底筋膜炎、跟腱炎。
大家看这两个疾病都有一个“炎”字,说明是炎症问题,如果是炎症,其实要解决也并非难事,消炎就可以了。
但为什么很多跑者尝试了很多消炎镇痛的方法,也去医院做了治疗,也用了各种药,仍然长期受到这些伤病的折磨呢?

其实,现代运动医学早就发现了包括这两个疾病在内的肌腱伤病的本质——由于肌腱过度使用(overuse injury)而引发的“腱病”,又称为末端病。
腱病是一大类疾病的总称,发生在某个部位,就以这个部位命名,比如髌腱炎、跟腱炎、冈上肌肌腱炎、肱骨外上髁炎等等,这类病主要表现为肌腱-骨骼连接处由于受到反复、过度力学负荷,引发疼痛、压痛甚至断裂。
我们知道肌肉两端是肌腱,肌肉通过肌腱附着于骨骼,当肌肉收缩,肌腱就会牵拉骨骼产生运动,正是因为长期反复过度牵拉,从而引发肌腱老化变性,现代运动医学认为腱病发生部位并没有炎症细胞,也就是说腱病并非炎症,所以常规消炎处理作用非常有限,腱病的本质就是过度使用引发的结构退变,而这种退变一旦开始发生,往往治疗起来就非常棘手,造成效果不佳,病情时好时坏。


腱病并非炎症
而是结构退化
腱病极为常见,美国国家职业安全与健康研究院(NIOSH)指出:腱的过度使用性损伤造成大量的工人患病和生产成本升高,它占了职业病的48%。
在欧洲的运动创伤中心,腱病几乎占了所有运动创伤的30~50%。多年来有关腱病的术语使用也十分混乱,国内外文献有多种名称:如腱炎(tendinitis)、腱围炎(paratendinitis)、腱病(tendinopathy,tendon disorder)、腱退变(tendinosis)、止点腱炎(insertion tendonitis)等,一个疾病的名称混乱也恰恰说明人们对于其研究还有待深入。
但经过多年研究,目前比较倾向于一致的观点是:虽然在腱病发展早期有轻微的炎症反应存在的证据,但总体来说,大部分病理学研究未发现腱病组织中有炎症细胞存在,也即主流观点认为腱病不是常规意义的炎症类问题,而是胶原变性。

什么是变性呢?
大家可以近似理解为一个组织的结构发生了某种改变,不再是原来的组织结构成分,并由此带来弹性以及其他力学性能的下降。
举一个例子跑者就容易理解了,刚生产出来的橡胶具有柔韧、弹性等特性,但随着年限延长,橡胶就会逐渐老化,从而变硬、变脆、开始龟裂甚至锻炼,之前所具有的良好的力学性能就逐步开始衰退,这个过程就称之为变性。
那么肌腱在长期过度负荷作用之下,也会发现变性,从而使得肌腱力学性能下降,也即没有之前那么良好的拉长和回弹作用,自然也就影响运动,并导致疼痛等主观不适。

应力屏蔽导致肌腱退化并且修复慢
肌腱供血普遍不佳,也造成其代谢缓慢,成纤维细胞产生胶原的时间周期大约是50-100天,当负荷导致微损伤时,腱细胞必须增加生产胶原和基质。
虽然腱细胞代谢增快,但腱疤痕成熟依然很慢。动物实验发现,兔子跟腱修复可能需要4个月,马的屈趾浅肌腱至少需要14个月,人髌腱中1/3取材后的缺损填补至少需要2年。如果没有给予肌腱恰当的修复时间而过早反复运动,腱细胞就可能由于过度应力而死亡,胶原和基质合成减少,使得余下的组织更容易遭受损伤。

这也是为什么跑者如果休息和康复时间不充分,急于恢复跑步导致反复受到腱病困扰的原因所在,因为腱病的恢复就是比较慢的,跑者必须要有足够耐心进行治疗和康复。
一些顶级运动员也受到腱病困扰,比如刘翔,科比等等,也跟运动员需要一边治疗一边训练有关。

腱病如何康复?
一般认为,腱的过度使用性损伤是由于重复力学荷载造成的应力屏蔽,从而引发肌腱创伤的累积。某些内在因素对腱的力学荷载也会产生负面影响,如对线不正、肌力弱或不平衡、柔韧性不够等,其他因素还有与年龄有关的腱变性、腱血供减少等。
所以慧跑所提倡的无伤跑法一直反复强调跑者要重视力量训练、还要重视拉伸和肌肉放松,因为力量弱、柔韧差就会大大增加发生腱病的风险。

对腱病采用何种治疗能取得最佳效果尚有争议。综合的被动物理治疗结合主动运动康复被认为能取得最佳的效果。
从治疗上来说,离子渗透疗法、低强度激光照射、冲击破治疗被认为是比较有效的物理治疗方法,在主动康复训练更加强调离心性训练,也即通过肌肉又拉长又收缩的这样一种收缩形式,增强肌腱强度。

最近国际上发表的一篇最新研究,用磁共振成像(MRI)测定并比较了低强度激光治疗(LLLT)、治疗性超声(US)和体外冲击波治疗(ESWT)对于足底筋膜炎的作用。
结果发现低强度激光治疗和体外冲击波治疗慢性足底筋膜炎的结果相似,两者在改善疼痛和功能方面都比超声疗法更有效。

冲击波治疗是腱病的有效治疗方法

低强度激光照射也是治疗腱病的方法

超声治疗在腱病治疗中也常常被使用

而根据美国物理治疗学会做制订的跟腱炎、足底筋膜炎临床指南,各种方法是否有效见下表。
足底筋膜炎治疗方法

个性化定制矫形鞋垫也许是足底筋膜炎的重要治疗方法


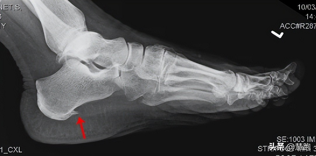
足底筋膜炎的典型表现
患有足底筋膜炎当然会感觉足底疼痛,疼痛的具体特点包括以下几方面:
● 最典型症状:早晨醒后下床,脚落地时,足跟部疼痛最为明显,走动一会儿后疼痛会有所缓解;
● 典型症状:休息一段时间比如看电影、久坐工作后,或者足部在不负重一段时间后,站起行走的前几步出现隐隐作痛;
● 疼痛的具体位置实在在足跟靠内侧处,这里恰恰是足底筋膜从足跟发出的起点处,偶尔也有患者会反映疼痛在足底中部;
● 患者自己感觉在充分活动后如行走或跑步后,足跟部疼痛减轻,但是在长距离跑步后程,可能再次出现疼痛甚至被迫停下脚步,还有患者反映晚间足跟部疼痛会加重;
● 足底筋膜炎女性更为多见


哪些因素容易诱发足底筋膜炎?
1、勾脚尖幅度不够
脚踝有足够柔韧性和灵活性对于跑者来说,非常重要。如果勾脚尖幅度不够,被认为是导致足底筋膜炎最重要的风险因素。
你可以坐在床上,双脚并拢同时用力勾脚,观察自己的伤脚和健康一侧脚的勾脚幅度是否相同。勾脚尖不足通常表明小腿和跟腱较紧。

2、肥胖
超重或者肥胖人群由于体重较大,使得人体最低处——足底承受了比较大的压力,自然足底筋膜容易受到过大的体重的牵拉,而导致劳损。
因此,希望通过跑步减肥的胖纸们要当心了。

3、久站的职业工作
长时间站立或者行走,比如商场营业员也是足底筋膜炎的高危人群。

4、突然增加跑量
足底筋膜炎往往发生在近期突然增加跑量、提高跑步强度的跑者身上。此外,越野跑也容易诱发足底筋膜炎。
因此,循序渐进仍然是跑者们应该遵循的基本训练原则。

5、扁平足/高足弓
扁平足本身是一种正常现象,许多马拉松运动员也是扁平足,但如果扁平足同时伴随足踝力线异常(跟骨轴线与跟腱轴线不成一条直线),专业术语称为脚外翻,过度外翻会导致足底筋膜受到更大的负重应力而容易诱发足底筋膜炎。
高足弓又称为弓形足,也是足底筋膜炎的危险因素,所以足弓的正常很重要,过高过低都不利。


如何检查自己是否患有足底筋膜炎?
足跟特定部位按压疼痛和晨起下床足跟痛,是判断足底筋膜炎的重要依据。
此外,跑者可以通过一个被称为“卷扬机试验”的测试来进行自我诊断。采用坐位,握住大脚趾,将大脚趾用力背伸,如果诱发疼痛,则提示是足底筋膜炎。

有跑者到医院检查,拍片后显示有跟骨骨刺(专业术语称为跟骨骨赘),大惊失色,会认为足底长出骨刺自然戳着疼。其实,骨刺不是导致疼痛的主要原因,骨刺刺激了足底筋膜才是产生疼痛的主要原因,足底筋膜炎治好了,自然疼痛也就消失了,所以对于跟骨骨刺不必过度担心。


如何治疗足底筋膜炎?
足底筋膜炎治疗方式众多,但真正经得起推敲,效果明显的方法其实没有那么多。
1、矫形鞋垫
定制适合你的矫形鞋垫,可纠正不正常的足过度外翻,较快缓解疼痛及改善功能,被认为是效果最佳的治疗方法。
需要注意的是鞋垫是个性化的,而非随意买一个放在鞋子里,不合适的矫形鞋垫是没有意义的。
这方面你需要咨询医院康复科矫形支具部门或者专业机构。

2、拉伸
充分地拉伸小腿和足底筋膜,也是缓解足底筋膜炎的有效方法,因为小腿过紧是足底筋膜炎的危险因素,反复拉伸小腿,对于改善足踝柔韧性,减少足底筋膜张力非常重要。
可以采用两种拉伸方式:
第一种为每次拉伸持续2分钟,重复2-3次;
第二种为每次拉伸20秒,重复8-10次。
跑者们可以发现,针对伤痛的拉伸与跑后拉相比,拉伸的时间更长,次数更多。
足底筋膜专用牵拉器

小腿浅层腓肠肌牵拉感最强烈的动作之一

小腿浅层腓肠肌站立位牵拉两个常用动作


小腿深层比目鱼肌的牵拉动作,后脚踩实地面,充分屈膝,感受跟上述动作不一样的牵拉感。
浅层肌肉和深层肌肉都要拉伸才能全面放松紧张的小腿。

足底筋膜拉伸:握住脚跟,将脚趾头上掰

来回踩网球放松足底筋膜

3、理疗
冲击波治疗等等都可以在短期(2-4周)缓解疼痛。

4、夜间夹板
由于在晚间睡眠时,足底筋膜炎患者会发生足底筋膜挛缩,这是导致第二天早上晨起下床时,足底剧痛的直接原因。
因此,采用特制的夜间夹板可以防止睡眠时足底筋膜挛缩,对于患该病6个月以上仍无改善的患者,可以采用夜间夹板。

5、贴扎
跑者们还可以在跑步前尝试使用low-Dye贴扎法,研究表明,贴扎可使功能得到改善,减轻疼痛。
至于手法治疗,跑者还得咨询医院康复科治疗师。


加强小腿足踝训练
预防和康复足底筋膜炎
强有力的小腿和足踝肌肉,不仅可以增加跑步的推进力,让你跑得更轻松,也可以充分发挥肌肉在腾空落地时的缓冲作用,减少对于足底筋膜的过度牵拉。
无论是预防,还是更快地康复足底筋膜炎,小腿和足踝力量训练都十分重要。
1、小腿后群肌肉训练——快起慢落
找一个台阶或者凳子,脚前掌踩在上面,做快起慢落的练习,要求提踵1-2秒,而还原落下6-8秒,找一台阶的目的是让脚跟悬空,下落时可以让脚跟落至低于脚前掌。
完成12-16个为一组。
提踵慢落

除了站姿体重,也需要训练坐姿提踵

屈膝提踵可以训练到小腿深层比目鱼肌

2、小腿前群肌肉训练——连续快速勾脚
双脚做快递勾脚动作30-40次,直至小腿前方肌肉疲劳。小腿前方肌肉过度薄弱和缺乏锻炼,往往是跑者存在的普遍问题,只有小腿前方与后方肌肉均衡拮抗,才能最大程度保证脚踝稳定。
踝关节快速连续背屈

3、落地缓冲训练
落地缓冲对于训练肌肉缓冲能力,减少足底筋膜受力具有重要意义。
注意关键动作要领是从脚前掌着地过渡到脚跟落地,落地时没有声响说明缓冲良好,同时落地后要保持单脚站立稳定2秒,这样也可以训练脚踝稳定性。

4、抓毛巾训练
抓毛巾训练是足底筋膜炎康复的经典方法,因为这一动作可以增强足底肌肉扒地能力,从而维持足弓,减少筋膜负荷。注意动作要领是先张开脚趾,下压毛巾再用力抓起毛巾,动作速度不可过快。

6、贴地旋转
该动作要求在足内侧缘不明显抬起的情况下,脚沿着地面做扇形动作,该动作可以有效胫后骨肌,而胫骨后肌可以起到维持足弓减少对于足底筋膜牵拉的作用。


7、脚踝稳定性训练
通过睁眼及闭眼单脚站立,可以有效训练脚踝稳定性,减少脚踝不稳对于筋膜的过度牵拉,同时增强神经肌肉控制。



现代跑鞋加剧了足底筋膜的紧张吗?
现代跑鞋鞋头都是上翘的,为什么要设计成上翘的鞋头,据称这样的设计有利于快速滚动着地,缩短触地时间,提高跑步效率。

但这样的设计也会带来由于大脚趾的轻度上翘,会引发足底筋膜的卷扬机效应,导致筋膜处于缩短紧张状态,张力增加。
那么这会对步行产生什么影响呢?
来自德国、美国哈佛大学、美国纽约州立大学布法罗分校的科学家研究了鞋头上翘对足部生物力学的影响,研究成果发表于顶级学术期刊《自然》。

实验中,13名受试者先以舒适的步速在跑步机上光脚行走,再被要求穿着特别设计四双凉鞋重复这一过程,这些凉鞋的足趾区域会不同程度地上翘,从而模拟现代运动鞋的弯曲度。科学家再利用放置在膝盖、脚踝、脚上的反光marker收集人体运动学和动力学数据。

离地阶段跖趾关节会产生明显的背屈运动对足底筋膜产生牵拉

结果发现,由于鞋头跷度的存在,导致在脚趾离地过程中,跖趾关节主动背屈角度变小,但并没有因此减少足底刚度,也就意味着在更小的脚趾活动中,足底筋膜产生了更大的张力,同时这种更大张力产生本身也跟鞋头跷度导致的静止状态下,足底筋膜本身就存在一定张力,并随着跖趾关节背屈,张力进一步累加有关。
在着地最后阶段,大脚趾会产生明显的背屈运动,此时跖趾关节中心会受到地面反作用力和足底肌肉拉力两个作用力,这两个力要保持相对平衡,由于足底筋膜的张力增加,事实上就可以减少足底肌肉的用力,这也是本研究通过逆动力学计算所得到的重要结论。
足底筋膜的张力增加减少了肌肉用力

也就是说由于鞋头跷度的存在,增加了足底筋膜的张力,有利于减少跖趾关节处的力矩,也即足底筋膜可能会减轻足底肌肉的活动,换句话说,鞋头上翘能让连接足趾与足骨关节周围的肌肉减少做功,让跑步更省力,但这样做的代价就是足底筋膜张力增加。
这只是针对走路的研究,我们可以想象,随着速度加快,当人体跑起来的时候,鞋头跷度可能会导致足底筋膜张力进一步增加,并且抑制或破坏固有足底肌肉的力量产生,并且随着跑步距离越来越长,可能就会导致足底筋膜反复受到过度牵拉,负载过重从而引发足底筋膜炎。
综上所述,鞋头跷度从运动生物力学分析,的确会减少足底肌肉用力,让跑步似乎更轻松,但其代价是足底筋膜受力增加。

以NEXT%为代表的现代竞速跑鞋,一方面因为碳板的放置进一步增降低了鞋的韧性,另一方面还因为较大的跟趾落差(heel to toe offset)可能造成对于足底筋膜的牵拉进一步增加,这可能会导致在着地蹬伸过程中,推进力得到增强,而这种推进力的增强更多是依赖碳板的跷跷板作用以及中底材料的回弹作用,而不是靠肌肉收缩舒张实现,且由于鞋底刚度增加,可能对于足底筋膜的被动牵拉所引发的卷扬机效应进一步增强,从而导致对于被动足弓维持系统(筋膜属于被动足弓维持系统,肌肉属于主动足弓维持系统)的持续负荷,这也是为什么很多跑者穿着NEXT%尽管跑起来感觉速度有所提升,但跑完之后,小腿深层、足踝、足底等部位感觉比较累的重要原因,肌肉也许用力少了,但对于筋膜结构的牵拉负荷却增强了。


所以综上所述,现代跑鞋在提供更多高级功能的同时,也会弱化人体自身对于运动的控制,因为跑鞋似乎都是在朝着如何让人们跑步更省力,更轻松的方向发展,但其负面影响就是破坏了人体运动本身的自然规律,从而造成对于一些人体结构比如足底筋膜某种过度牵拉,增加发生足底筋膜炎、跟腱病的风险。


总结
跟腱炎、足底筋膜炎的说法并不严谨,因为这两种常见跑步伤痛并没有炎症存在,而是一种长期应力负荷下的结构退变,对于这两类疾病休息、治疗、康复三管齐下,才能更好地解决这个困扰跑者的难题,同时跑者一定要管理好自己的训练负荷,不要过度运动或者进突然增加运动量。

我们为跑者准备了跟腱炎和足底筋膜炎运动康复课程,们将康复训练变成跟练课程,手把手带领跑者进行康复训练,力图通过强化结构,增强力量与稳定性,提高动作控制等方面解决困扰跑者的顽疾。
为帮助跑者康复足底筋膜炎,跑步研习社专为跑步人群打造《足底筋膜炎的康复与预防》线上康复训练课程。
你将收获:
1.权威康复专家,效果有保障解决你伤痛的焦虑
2.相较于康复机构不到1/10的私教课价格
3.一套全面康复解决方案,不再为碎片化训练而纠结
4.学员社群服务,导师专业解答
毕竟光靠休息无法解决足底筋膜炎,即使停跑再长的时间,一旦加大运动量也很可能再次引发病症,因此我们还需要主动出击,做好周期性的训练康复。
