本文未经授权谢绝转载。
小王是一枚铁杆足球迷,闲暇之余常和朋友们在球场上挥洒热汗。最近,小王每次踢完球后总感觉踝关节疼痛不舒服,于是前往医院就诊,医生告知是“ 踝关节撞击综合征 ”。小王听完满是疑惑,这是个什么病呢?

那么,到底什么是踝关节撞击综合征?得了这个病会有什么症状?需要如何治疗?又该如何预防?今天,我们邀请上海市第一人民医院运动医学科付国建副主任医师来为大家答疑解惑。


什么是踝关节撞击综合征?
踝关节撞击综合征是指各种软组织或骨性摩擦、撞击或挤压造成的踝关节疼痛或活动受限的一组疾病,多数伴有或并发踝关节的炎性改变。损伤原因多为运动损伤,会引起踝关节周围骨赘增生、韧带损伤、松弛、软骨损伤等病理性改变。
简单点说, 踝关节撞击征就是有东西卡在了踝关节里,被骨头撞击时产生了疼痛。

踝关节前方骨赘增生,在踝关节背伸时发生撞击
我们来看下踝关节的结构,踝关节由骨性结构和韧带结构组成,这两个结构都比较复杂。
踝关节的骨性结构由胫骨远端、腓骨远端以及距骨构成, 像我们在木工活中看到的榫卯(sǔn mǎo)样结构,凸者为“榫”,凹者为“卯”。

踝关节骨性结构

距骨是呈现前宽后窄的特点。在踝关节背伸(勾脚动作时),较宽部分的距骨进入踝关节内,骨匹配完好,踝关节稳定。而当跖屈位(脚尖往下踩时),较窄部分的距骨进入踝关节内,骨结构之间空间较大,踝关节不稳定。

踝关节背伸和跖屈
因此,在踝关节周围需要很多的韧带结构来维持踝关节稳定性。但当出现韧带松弛、软组织过度增生或者骨结构出现异常时,就容易出现踝关节屈伸活动过程中的不匹配,而引起踝关节的撞击。

踝关节韧带结构
得了踝关节撞击综合征
有什么症状?
当脚踝关节进行 极度的背伸(向上勾脚)或者跖屈(脚尖向下踩)时出现脚踝前方或者后方疼痛 ,需要考虑存在踝关节撞击综合征。
踝关节撞击综合征好发于踝关节创伤后,严重情况下,影响踝关节屈伸活动,伴有踝关节周围软组织肿胀,无法剧烈运动。
临床诊断标准如下:
临床诊断标准:
踝关节(向上勾脚)或者跖屈(脚尖向下踩)出现疼痛伴有活动受限;
踝关节曾经受过伤,比如踝关节扭伤,尤其是反复的扭伤;
可触及前踝或后踝压痛点,反向运动后疼痛缓解;
严重时可触及骨赘增生;
要明确诊断,需要骨科运动医学科医生进行查体,结合症状和查体,还需要进一步行踝关节影像学检查。

确诊踝关节撞击综合征
需要做哪些检查?
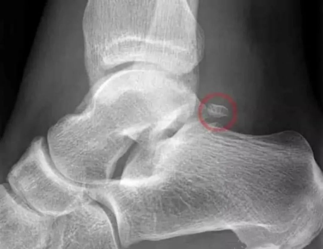
X线片检查:主要判断关节位置以及有无明显骨赘增生。

X线片检查可见后踝部位出现骨赘增生,在踝关节跖屈位会出现后踝的撞击
CT检查:CT检查尤其是三维CT检查,可以很好地弥补X线片检查的角度限制的问题,可以全面评估踝关节周围骨的改变。
MRI检查:可以清楚显示踝关节周围软组织、韧带、软骨、骨结构的改变,对踝关节损伤严重程度和滑膜病变做出良好判断,为踝关节撞击征的诊断提供重要参考依据。

MRI检查可见关节前方距骨水肿,后方出现软组织撞击、局部积液肿胀
得了踝关节撞击综合征
如何治疗?
对于软组织撞击综合征,症状较轻,无明显关节不稳和骨赘增生的情况下可以选择非手术治疗,包括休息、冰敷、口服非甾体抗炎药、关节腔内注射玻璃酸钠等。
而对于反复出现的撞击综合征,经过非手术治疗无好转的情况下,影响日常生活,尤其是关节内有明显骨赘增生、软骨损伤或韧带损伤的情况下需要进行手术治疗,包括开放式手术和关节镜手术。
目前,开放式手术显露困难、创伤大及易损伤血管、神经,因此关节镜手术已成为潮流与趋势。根据撞击征的部位及病理情况,进行关节镜下修复手术,包括骨赘切除、软骨修复、韧带修复等手术方式,一般经过关节镜下修复后,能够得到良好的功能恢复。
如何预防踝关节撞击征?
1.运动前充分热身, 让踝关节活动开,加强踝关节肌肉和韧带的柔韧性,从而提高踝关节的稳定性和受力度。
2.适度运动,循序渐进,量力而行 ,避免在疲劳或身体不适时坚持运动。
3.加强踝关节肌肉力量锻炼非常重要 ,提高踝关节稳定性以及身体平衡能力,从而更好的保护脚踝。平时可以多做做 提踵踮脚 动作,如下图所示


提踵踮脚
4.运动时选择 防滑减震的鞋子 ,能够给脚部提供良好的支撑和保护,并要注意系紧鞋带,能够很好的保护踝关节,尤其是在做跳跃运动时。
5.一旦踝关节扭伤后,需要积极规范治疗,避免遗留踝关节不稳定等问题。

End
声明:本文转载已获授权,版权归原作者所有。
文章仅供参考和学习分享,一切视患者自身情况和以专业医生诊断治疗为准。
公济运动医学团队介绍

公济运动医学专注膝肩髋踝肘等骨关节损伤和骨关节病的微创外科治疗,以关节镜微创外科为重点,在前/后交叉韧带损伤、髌骨不稳、半月板损伤、关节软骨损伤、巨大肩袖损伤、冻结肩(肩周炎)、肩关节不稳、髋臼撞击症、髋臼盂唇损伤、髋关节滑膜软骨瘤病、网球肘、肘关节与踝关节运动损伤损伤、膝肩骨关节炎等关节镜手术方面积累了丰富的经验,相关手术技术达国际先进或国内领先水平。
公济运动医学秉承“WE CURE, WE CARE”的理念,时刻关注患者的需求。通过先进的诊疗理念、领先的手术技术、贴心的医疗流程,让患者在接受国家大型公立医院的医疗服务同时,享受到“私人高端定制”式的就医体验!
“公济运动医学”——我们是您运动功能的守护者!
公济运动医学门诊时间

(*出诊信息仅供参考,以门诊公布为准)
温馨提示:各位患者朋友可以通过“上海市第一人民医院”公众号预约门诊 。