31岁,女性,腰椎间盘突出症,微创椎间孔镜手术,打麻醉,用药不当,术后不到8小时死亡
前一段时间,一位骨科医生,咨询我,他们单位做的一例椎间孔镜切除腰椎间盘突出的患者,31岁,女性,术后不到8小时死亡了,我当时以为可能会是心梗,或者腹部大血管损伤,或如果患者有高血压的话,脑出血之类的。
因为局麻手术,如果患者有心脏病、高血压的话,会容易诱发心梗、脑出血等。做腰椎间盘突出症手术,掏椎间盘过深,也有损伤腹腔内腹主动脉或下腔静脉等的风险,一旦这种血管损伤,也会导致难以及时抢救而死亡。这些都有文献报道。
进一步询问,获知病情如下:患者因腰痛20余天,加重伴右下肢放射痛1周入院。查体左下肢肌力感觉正常,右下肢踇背伸肌力4级,跖屈肌力4级,右小腿后外侧皮肤感觉减退,右下肢直腿抬高试验40度阳性,加强试验阳性。患者2008年曾于北京某医院行腰5骶1椎间盘髓核切除术。
以下是患者的影像资料:

图1. 微创术前腰椎MRI矢状面T2相,提示腰5骶1椎间盘突出,腰4-骶1椎体对应平面后方软组织结构紊乱,应该是以前做过手术。

图2. 微创术前腰椎MRI矢状面T2相,提示腰5骶1椎间盘突出,腰5-骶1椎管内后方软组织结构紊乱,应该是以前做过手术。

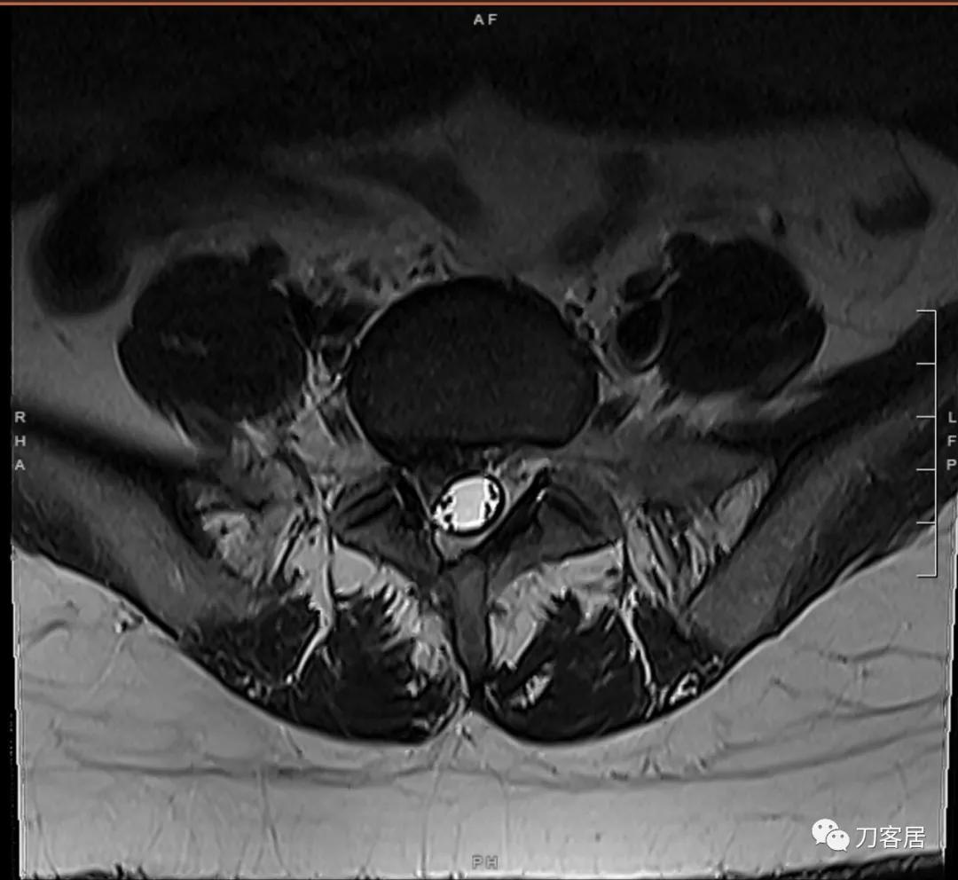
图3. 微创术前腰椎MRI横截面,提示腰5骶1椎间盘突出,右旁侧型,较大。右侧椎板似乎有缺损,应该是原来做过手术,减压所致的骨缺损。

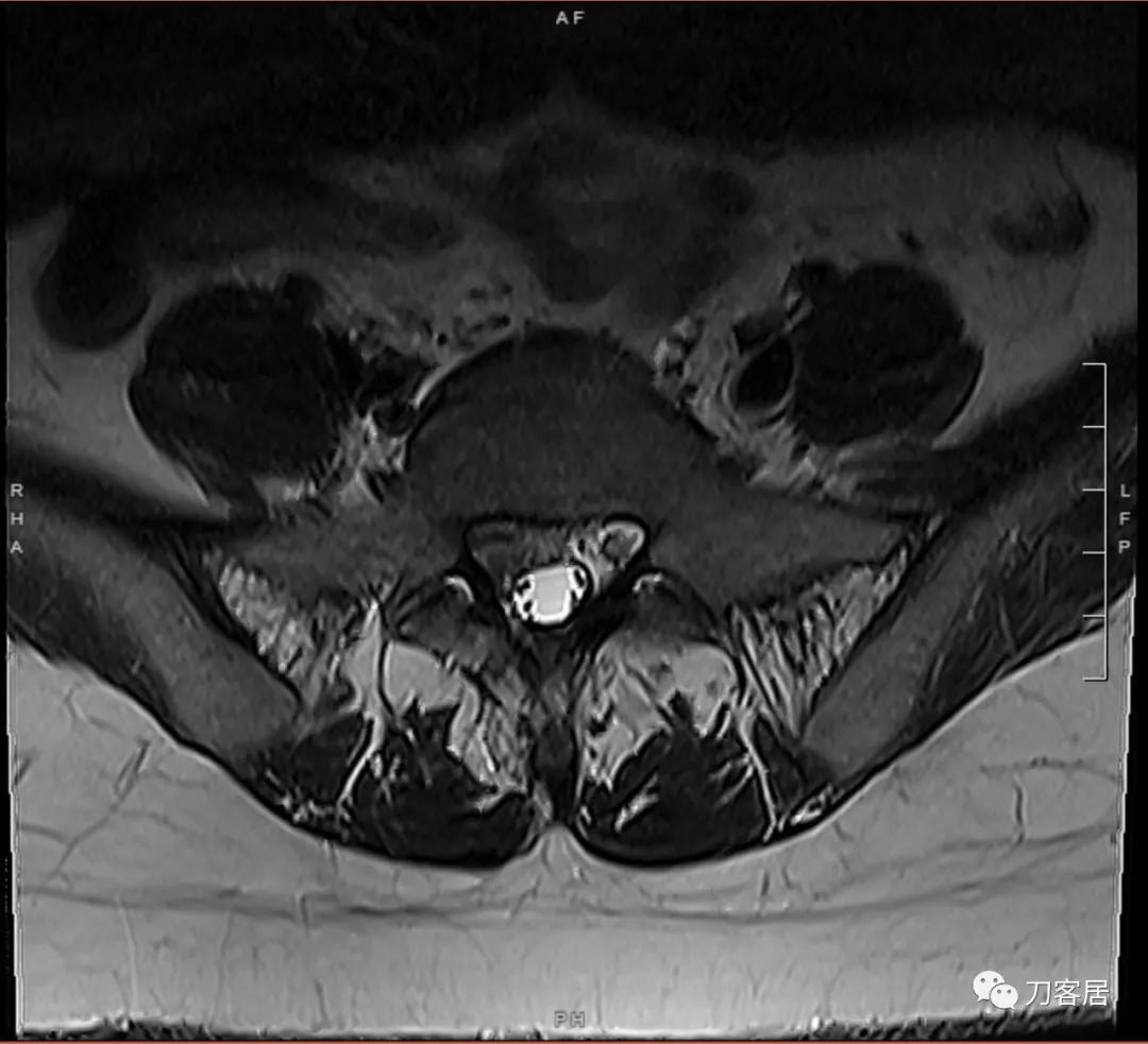
图4. 微创术前腰椎MRI横截面,提示腰5骶1椎间盘突出,右旁侧型。

图5. 微创术前腰椎CT定位片,因为没有获取到患者的腰椎正侧位X线片,所以,用此片判断腰椎无峡部裂,无滑脱,无移位,无骨折等。

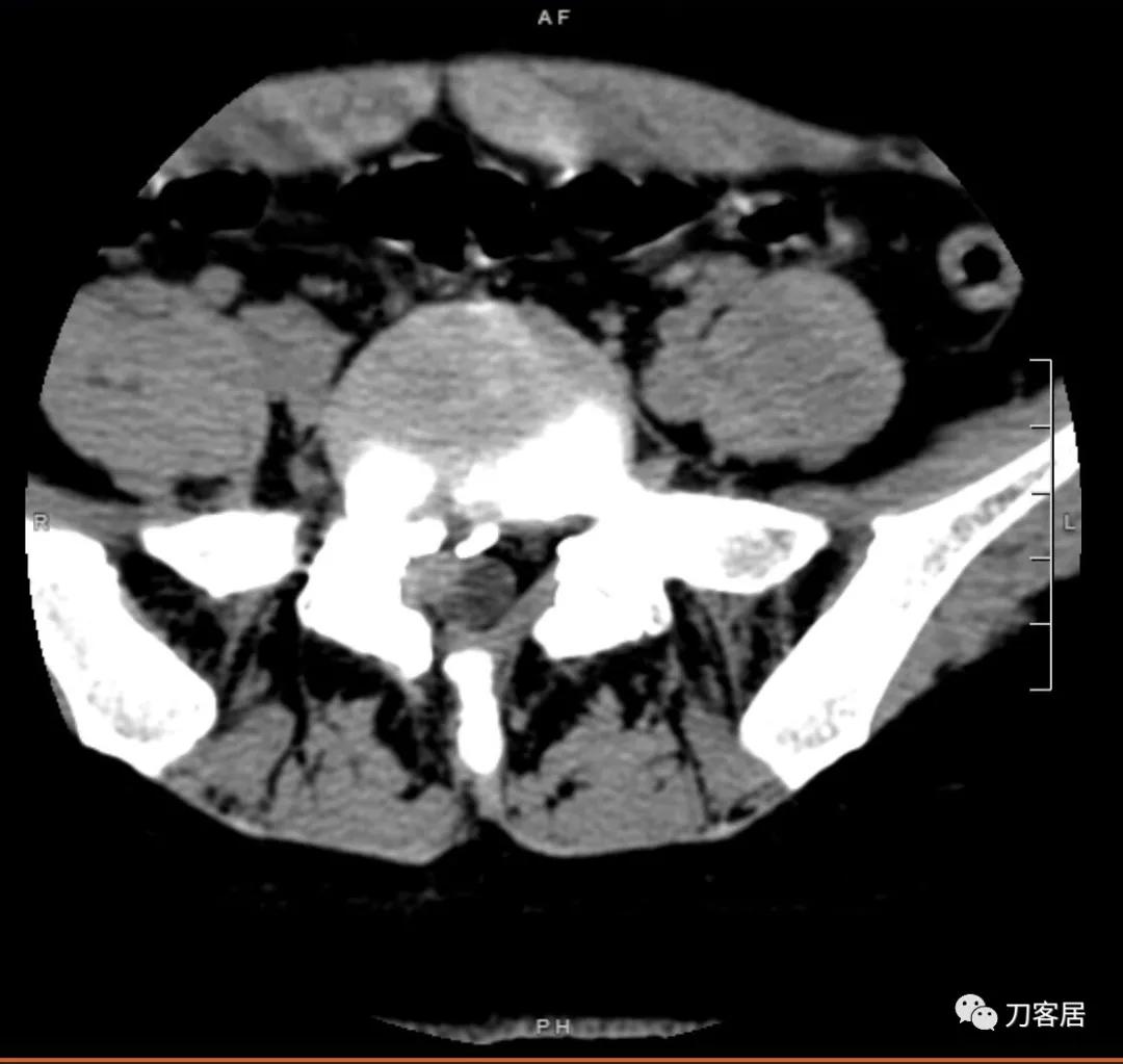
图6. 微创术前腰椎CT横截面扫描,提示腰5骶1椎间盘突出并骨化,且有曾经做过手术的痕迹。右侧椎板与棘突间的骨缺损以及骨化椎间盘间的骨缺损影。
诊断为腰5骶1椎间盘突出症术后复发,所做手术为基础加局麻下经皮脊柱内镜下腰椎髓核摘除术。手术持续约1个半小时,于下午15:50结束。术后不到1小时,开始出现肢体抽动,疼痛,术后2小时出现昏迷,抽搐,角弓反张,四肢张力增高,颈抗,高热40度以上,术后不到8小时死亡。

图7. 手术记录
手术记录文字如下:
定位L5/S1椎间隙:皮肤穿刺点选择在L5、S1棘突右侧旁开0.5cm处, 利多卡因20ml、罗哌卡因10ml+生理盐水50ml稀释至低浓度局麻液体。常规消毒后,体表标记处穿刺点周围皮肤及皮下注射上述低浓度局麻液体20ml,注射过程中患者感疼痛明显,遂于深筋膜层再次给予上述局麻液体20ml后患者痛感仍明显,逐层穿刺瘢痕组织至椎板外触及骨质后局部注射上述 局麻液体10ml+止血药物(氨甲环酸注射液0.25g+生理盐水5ml)。继续穿刺突破L5椎板下缘黄韧带后,正侧位透视确定位置满意,并回抽确认无误后,注入椎管内上述局麻液体15ml。
这句话: “继续穿刺突破L5椎板下缘黄韧带后,正侧位透视确定位置满意,并回抽确认无误后,注入椎管内上述局麻液体15ml”, 感觉直接来了个开放硬膜外麻醉,把15ml罗哌卡因和氨甲环酸直接注入椎管内。
不知道脊柱微创医生们在术中麻醉的时候,是不是都是这么干的?
说实话, 术后和术中恶性高热,我是听说过,自己还没遇到过。我记得我们关节组,好像曾经遇到过一例术中恶性高热的,最后抢救过来了。
我咨询了一下我们关节外科的曹晓瑞教授,他回忆,时间应该是在2007年8月份儿,当时患者为一名十五六岁的女性,是一个做Ganz截骨的,术中发生恶性高热,最后抢救过来了,西京医院在这之前(2007年8月之前),加上这个病人,总共发生过4例术中恶性高热,只有这1例抢救过来了,其他那几个最后都没有抢救过来。
但这个患者是否是恶性高热,我先学习了一下恶性高热的相关知识,以下内容源自百度百科:
恶性高热(Malignant Hyperthermia,MH)是所知的唯一可由常规麻醉用药引起围手术期死亡的遗传性疾病。它是一种亚临床肌肉病,即患者平时无异常表现,在全麻过程中接触挥发性吸入*醉药麻**(如氟烷、安氟醚、异氟醚等)和去极化肌松药(琥珀酰胆碱)后出现骨骼肌强直性收缩,产生大量能量,导致体温持续快速增高,在没有特异性治疗药物的情况下,一般的临床降温措施难以控制体温的增高,最终可导致患者死亡。(https://baike.baidu.com/item/%E6%81%B6%E6%80%A7%E9%AB%98%E7%83%AD/964737?fr=aladdin)
以下内容来自美国国立医学图书馆的Pubmed(www.pubmed.gov):
Malignant Hyperthermia Susceptibility.
Henry Rosenberg, Nyamkhishig Sambuughin, Sheila Riazi, Robert Dirksen, Margaret PAdam, Holly H Ardinger, Roberta A Pagon, Stephanie E Wallace, Lora JH Bean, Ghayda Mirzaa, Anne Amemiya, editors. In: GeneReviews® [Internet]. Seattle(WA): University of Washington, Seattle; 1993–2021. 2003 Dec 19 [updated 2020Jan 16].
Clinical characteristics: Malignant hyperthermia susceptibility (MHS) is a pharmacogenetic disorder of skeletal muscle calcium regulation associated with uncontrolled skeletal muscle hypermetabolism. Manifestations of malignant hyperthermia (MH) are precipitated by certain volatile anesthetics (i.e.,halothane, isoflurane, sevoflurane, desflurane, enflurane), either alone or in conjunction with a depolarizing muscle relaxant (specifically, succinylcholine). The triggering substances cause uncontrolled release of calcium from the sarcoplasmic reticulum and may promote entry of extracellular calcium into the myoplasm, causing contracture of skeletal muscles, glycogenolysis, and increased cellular metabolism, resulting in production of heat and excess lactate. Affected individuals experience acidosis, hypercapnia, tachycardia, hyperthermia, muscle rigidity, compartment syndrome, rhabdomyolysis with subsequent increase in serum creatine kinase (CK) concentration, hyperkalemia with a risk for cardiac arrhythmia or even cardiac arrest, and myoglobinuria with a risk for renal failure. In nearly all cases, the first manifestations of MH (tachycardia and tachypnea) occur in the operating room; however, MH may also occur in the early postoperative period. There is mounting evidence that some individuals with MHS will also develop MH with exercise and/or on exposure to hot environments. Without proper and prompt treatment with dantrolene sodium, mortality is extremely high.
翻译:
临床特征:恶性高热易感性(Malignant hyperthermia susceptibility, MHS)是一种骨骼肌钙调节的药物遗传性疾病,与不受控制的骨骼肌高代谢有关。某些挥发性麻醉剂(即氟烷、异氟醚、七氟醚、地氟醚、安氟醚)单独或与去极化肌肉松弛剂(特别是琥珀酰胆碱)联合使用可导致恶性高热(MH)的发生。触发物质导致钙从肌浆网不受控制地释放,并可能促进细胞外钙进入肌浆,导致骨骼肌挛缩、糖原分解和细胞代谢增加,从而产生热量和过量乳酸。患者出现酸中毒、高碳酸血症、心动过速、高热、肌肉僵直、肌间室综合征、横纹肌溶解症,随后血清肌酸激酶(CK)浓度升高、有心律失常、甚至心脏骤停的风险的高钾血症,以及有肾衰竭风险的肌红蛋白尿。几乎在所有病例中,MH(心动过速和呼吸过速)的最初表现都发生在手术室;然而,MH也可能发生在术后早期。越来越多的证据表明,一些MHS患者也会通过运动和/或暴露在高温环境中发展成MH。如果没有适当和及时的丹曲林钠治疗,死亡率极高。(https://pubmed.ncbi.nlm.nih.gov/20301325/)
当然也学习了一些相关恶性高热的中文文献。
这个患者的手术麻醉方式是基础加局麻,不存在使用呼吸*醉药麻**和肌松药的可能。基础麻醉用药是氯胺酮,局麻药用的是罗哌卡因,并配伍氨甲环酸用于局部止血。
对于脊柱外科手术的局麻,我个人自认为应该是非常有经验的,因为从我开始学习脊柱外科知识和手术,一直到2006年我独立带组,我的所有脊柱手术都还是局麻下做的,颈椎后路全椎板切除减压术,椎管成型手术,颈椎前路的椎间盘切除植骨融合及内固定手术,椎体次全切除及内固定手术,以及胸椎管后路减压手术,即使是长节段,也是局麻,更不用说腰椎管狭窄和腰椎间盘突出症手术的麻醉,都是局麻下完成的,不管有没有使用内固定,长节段哈氏棒,包括后来的CD棒开放复位内固定脊柱骨折病例,都是局麻下完成,没有遇到过恶性高热的病例。
所以,这个基础加局麻下做的椎间孔镜手术,最后导致患者死亡,引起了我很大的学习兴趣。
在手术记录中,脊柱外科手术局麻药配伍中加 氨甲环酸 我还是第一次见到。从医这么多年来,我个人还没见过在脊柱外科手术中,局部使用氨甲环酸用于止血的,可能是我学习的不够。以前的局麻药物配伍,我个人的习惯,一般都是5mlX6支0.75%的布比卡因+300毫升生理盐水+3-6滴副肾上腺素(根据患者的血压状态调整),后来就将布比卡因改为罗哌卡因。
那么这个患者术后引起的高热,角弓反张,四肢痉挛抽搐,最后死亡,是否与这个氨甲环酸与局麻药配伍,用于脊柱外科的局部麻醉有关呢?
氨甲环酸是一种静脉注射用止血药,以下内容来源于网络,内容同其说明书:
氨甲环酸注射液, 主要用于治疗急性或慢性、局限性或全身性原发性纤维蛋白溶解亢进所致的各种出血,本品尚可用于:1.前列腺、尿道、肺、脑、子宫、肾上腺、甲状腺等富有纤溶酶原激活物脏器的外伤或手术出血;2.用作组织型纤溶酶原激活物(t-PA)链激酶及尿激酶的拮抗物;3.人工流产、胎盘早期剥落、死胎和羊水栓塞引起的纤溶性出血,以及病理性宫腔内局部纤溶性增高的月经过多症;4.用于防止或减轻因子Ⅷ或因子IX缺乏的血友病患者拔牙或口腔手术后的出血;5.中枢神经病变所致轻症出血,如蛛网膜下腔出血和颅内动脉瘤出血,应用本品止血优于其他抗纤溶药,但必须注意并发脑水肿或脑梗塞的危险性;对于重症有手术指征的患者,本品仅可作辅助用药;6.用于治疗遗传性血管神经性水肿,可减少其发作次数和严重程度;7.血友病患者发生活动性出血,可联合应用本药。
不良反应
1.偶有药物过量所致颅内血栓形成和出血。
2.可有腹泻、恶心及呕吐。
3.较少见的有经期不适(经期血液凝固所致)。
4.由于本品可进入脑脊液,注射后可有视力模糊、头痛、头晕、疲乏等中枢神经系统症状,特别与注射速度有关,但很少见。
上述内容适用于静脉输液给药途径。
氨甲环酸局部用药在骨科也是比较常见的,特别是在关节外科人工关节置换手术中,静脉滴注和局部应用都有。这样的内容,在网上能找到不少。下面的幻灯PPT文章有介绍,在此不做赘述。
氨甲环酸在骨科中的应用,这篇文章说透了!
http://www.360doc.com/content/20/0622/19/57653502_919949894.shtml
这篇文章中,所说的,主要是关节外科人工髋关节置换和人工膝关节置换术中静脉滴注联合局部使用氨甲环酸用于术中止血。
氨甲环酸在脊柱外科领域,也有应用。
熊振成,谭明生.氨甲环酸在脊柱手术围手术期中的应用进展[J].中国微侵袭神经外科杂志,2020,25(07):334-336
戴正球,张亮 .氨甲环酸在脊柱外科手术中的应用进展. 《中国保健营养》2020年30卷18期 381-382,386页
氨甲环酸对颈椎椎管成形术患者围术期出血的影响分析
https://www.cnki.com.cn/Article/CJFDTotal-WMIA201560065.htm
这三篇文章主要讲了氨甲环酸静脉输液在脊柱外科围手术期使用,可明显降低术中出血量。并对静脉输液和局部应用联合使用氨甲环酸用于脊柱外科手术术中止血进行了综述。但氨甲环酸的给药途径、剂量、时机及提高安全性的使用方式尚无统一标准。
也就是说,在脊柱外科围手术期静脉滴注用药,以及术中局部用药方面,均有使用氨甲环酸进行止血,以图减少术中出血。
即使是局部给药,也应该只是切口周围皮下、肌肉等软组织内用药。氨甲环酸如果进入椎管或者脑脊液会怎么样?这些外科医生写的,认为氨甲环酸可以用于脊柱外科术中止血的文献中并没有提及。
难道真没有这方面的文献可循吗?在www.pub.gov上查到几篇氨甲环酸错误用药的英文文献。
Patel S, Robertson B, McConachie I. Catastrophic drug errors involving tranexamic acid administered during spinal anaesthesia. Anaesthesia 2019; 74: 904–14.
We have reviewed accidental spinal administration of tranexamic acid. We performed a MEDLINE search of cases of administration of tranexamic acid during epidural or spinal anaesthesia between 1960 and 2018. No reports of epidural administration were identified. We identified 21 cases of spinal tranexamic acid administration. Life-threatening neurological and/or cardiac complications, requiring resuscitation and/or intensive care, occurred in 20 patients; 10 patients died. We used a Human Factors Analysis Classification System model to analyse any contributing factors, and the reports were also assessed using four published recommendations for the reduction in neuraxial drug error. In 20 cases, ampoule error was the cause; in the last case a spinal catheter was mistaken for an intravenous catheter. All were classified as skill-based errors. Several human factors related to organisational policy; dispensing and storage of drugs and preparation for spinal anaesthesia tasks were present. All errors could have been prevented by implementing the four published recommendations.
翻译:我们对椎管内氨甲环酸意外给药进行文献回顾。对1960年至2018年间硬膜外或脊髓麻醉( 注:就是咱们常讲的腰麻,*醉药麻**物直接注入蛛网膜下腔 )期间误用氨甲环酸的文献进行MEDLINE检索。没有发现硬膜外给药的报告。有21例腰麻椎管内氨甲环酸给药。20名患者出现危及生命的神经和/或心脏并发症,需要复苏和/或重症监护;死亡10例。我们使用人为因素分析分类系统模型来分析任何促因,并使用四项已发表的减少椎管内给药错误的建议对各报道进行评估。在20例中,安瓿错误是主要原因( 注:氨甲环酸包装安瓿的外观与*醉药麻**安瓿的外观相近似 );在最后一个病例中,将腰麻导管误认为是静脉输液管而将氨甲环酸 直接注射入蛛网膜下腔 。所有这些都归类为技术差错。与组织政策相关的几个人为因素:药物的分发和存储、腰麻的准备等,通过已发表的四项措施,完全可以避免所有错误。
在这篇中文网文中,ISMP2019年十大用药差错 (360doc.com), 网址:
http://www.360doc.com/content/20/0104/12/30350201_884079566.shtml,
ISMP2019年十大用药差错的预警报告中,位列第二差错的是误将氨甲环酸当作布比卡因或罗哌卡因进行椎管内给药。
该用药错误导致的死亡率为50%,或者导致瘫痪。
ISMP(Institutefor Safe Medication Practices)是一家非盈利组织,致力于预防用药错误和安全用药,通过收集分析向ISMP提交的药物错误报告,不断增进医疗机构药物安全水平。
本报告数据来自2018年10月至2019年9月期间向ISMP报告的全球相关药物差错。ISMP对这些差错进行讨论并公布,旨在医疗机构能够减少用药错误。
在这篇文章中:Dangerous Wrong-Route Errors with Tranexamic Acid—A Major Cause for Concern,网址:https://www.ismp.org/resources/dangerous-wrong-route-errors-tranexamic-acid-major-cause-concern.
When given intraspinally instead of a local anesthetic, tranexamic acid injection is a potent neurotoxin with a mortality rate of about 50% and is almost always harmful to the patient. Survivors of intraspinal tranexamic acid often experience seizures, permanent neurological injury, and paraplegia
翻译: 当椎管内给药而不是局部麻醉时,氨甲环酸注射液就是一种强效神经毒素,死亡率约为50%,几乎对所有患者有害。椎管内氨甲环酸用药的幸存者常会经历癫痫发作、永久性神经损伤和截瘫。
2020年9月9日, 英国国家药物预警网络(National ALERT NETWORK, NAN)的报告中:
NAN ALERTS: Dangerous Wrong-Route Errors with Tranexamic Acid, 网址:https://www.ismp.org/alerts/dangerous-wrong-route-errors-tranexamic-acid
We recently learned about three cases of accidental spinal injection of tranexamic acid instead of a local anesthetic intended for regional (spinal) anesthesia. Container mix-ups were involved in each case. In one case, a patient scheduled for knee surgery received tranexamic acid instead of bupivacaine. The anesthesiologist immediately realized the error, but by then, the patient began to experience seizures. The patient later recovered. In a second case, a patient undergoing hip replacement surgery received tranexamic acid instead of a local anesthetic for spinal anesthesia. The patient survived but also experienced seizures and had extreme pain due to arachnoiditis. In a third case, a patient scheduled for bilateral knee replacement also inadvertently received tranexamic acid instead of bupivacaine for spinal anesthesia. The patient experienced seizures, which necessitated placing her into an induced coma for several days.
翻译: 我们最近了解到三例意外注射氨甲环酸而非局部麻醉剂用于区域腰麻的病例。每起案例都涉及包装安瓿混淆。第1个病例中,一名计划进行膝关节手术的患者,麻醉师误将氨甲环酸当作布比卡因注射入椎管后立即发现了错误,但患者已开始出现癫痫发作。患者后来康复了。第二个病例,接受髋关节置换手术的患者,也因为误将氨甲环酸当作麻药进行腰麻。患者存活下来,但也经历了癫痫发作,并因蛛网膜炎而极度疼痛。第三个病例,计划进行双侧膝关节置换的患者也无意中接受了氨甲环酸而不是布比卡因用于腰麻。该患者出现癫痫发作,导致她昏迷数天。
在这篇文章中:Palanisamy A, Kinsella SM. Spinal tranexamic acid – a new killer in town,网址:https://associationofanaesthetists-publications.onlinelibrary.wiley.com/doi/epdf/10.1111/anae.14632
从题目看,就很醒目了: 腰麻用氨甲环酸,镇上来了一个新杀手(Spinal tranexamic acid – a new killer in town) 。我就不赘述文中的全文相关内容了,就是氨甲环酸一旦进入椎管内,就是灾难,就是杀手。
下面是2021年2月份的一篇报道:
Mustafa H Al-Taei, Mohammed AlAzzawi, Safa Albustani, Ghadier Alsaoudi, Eric Costanzo. Incorrect Route for Injection: Inadvertent Tranexamic Acid Intrathecal Injection. Cureus. 2021 Feb 1;13(2):e13055. doi: 10.7759/cureus.13055.
Tranexamic acid has been increasingly used due to its safety and effectiveness. It has been associated with multiple reported cases of errors due to lack of attention, incorrect labeling of the syringes, or look-alike with other medications leading to the incorrect route of injection and the associated catastrophic sequela. Here we report a case of wrong route injection of tranexamic acid during spinal anesthesia, leading to myoclonic seizures and eventually intensive care unit admission of a patient undergoing orthopedic surgery. It is reported that higher doses of tranexamic acid would cause massive sympathetic discharge as evidenced by the initial hypertensive response reported in our case report and also in some repeated patient. Tranexamic acid induced seizures either from direct cerebral ischemia secondary to decreases in regional or global or from neuronal hyperexcitability by blockage of inhibitory cortical-gamma aminobutyric acid (GABA)-A receptors. Some evidence has been shown for dose-related neurotoxicity in the animal model, with greater severity and duration of seizure with increasing doses.
翻译:用药途径错误:蛛网膜下腔意外注射氨甲环酸: 氨甲环酸由于其安全性和有效性而被越来越多地使用。因为不注意、注射器标签不正确或与其他药物相似,导致误用,已有多个错误使用氨甲环酸的案例报道,造成灾难性后果。我们在此报告一例在腰麻期间错误地椎管内注射氨甲环酸,导致肌肉高张力痉挛发作,最终导致一名接受骨科手术的患者进入重症监护病房。 据报道,高剂量的氨甲环酸会引起大量交感神经放电,这一点在我们的病例报告中以及一些反复发作的患者的初始高血压反应中得到了证实。氨甲环酸诱导癫痫发作的原因可能是继发于局部或整体脑缺血,也可能是通过阻断抑制性皮质γ-氨基丁酸(GABA)-A受体引起的神经元过度兴奋。一些证据表明,在动物模型中存在剂量相关的神经毒性,随着剂量的增加,癫痫发作的严重程度和持续时间会增加。
下面是2018年报道的2例氨甲环酸误用于腰麻的文献:
W Justine van Lanschot Hubrecht, Wan Kian M Be, Irene M Fredriks, J E Dalman. Mix-up of medication in spinal anaesthetics. Ned Tijdschr Geneeskd. 2018 Dec17;163:D3192.[Article in Dutch]
We describe two patient cases in which the antifibrinolytic agent tranexamic acid was accidentally administered instead of the planned anaesthetic drug bupivacaine. The medication mix-up resulted in serious adverse outcomes for both patients
翻译: 我们报道了两例误将氨甲环酸当作*醉药麻**物布比卡因进行腰麻的病例。这两名患者的药物误用导致了严重的不良后果。
下面是2007年一例55岁女性患者胫骨骨折开放复位内固定,腰麻误用氨甲环酸导致死亡的报道。
Paramjit S Garcha, Chadalavada V R Mohan, Ram M Sharma. Death after an inadvertent intrathecal injection of tranexamic acid. Anesth Analg. 2007 Jan;104(1):241-2.doi: 10.1213/01.ane.0000250436.17786.72.
While performing spinal anesthesia in a 55-year-old woman scheduled to have open reduction and internal fixation of a tibial fracture, 3 mL of 10% tranexamic acid rather than 0.5% bupivacaine was injected intrathecally with the patient in the sitting position. Immediately after drug administration, and as the patient was turned supine she complained of severe burning pain in both lower limbs. Within 10 min after intrathecal drug administration, she developed myoclonic twitching of the facial muscles and after 25 min she developed hypotension and became unconscious. Her trachea was intubated and the lungs were mechanically ventilated, but she died after 10h due to ventricular fibrillation.
翻译: 在对一名计划进行胫骨骨折切开复位内固定的55岁女性进行腰麻时,患者坐位时蛛网膜下腔注射3 mL 10%氨甲环酸而非0.5%布比卡因。给药后,患者立即仰卧,她主诉双下肢严重烧灼痛。给药后10分钟,她面部肌肉出现肌阵挛性抽搐,25分钟后出现低血压并失去知觉,予以气管插管,肺部机械通气,但10小时后死于心室颤动。
下面是2015年报道的一例选择性剖宫产术中腰麻时误用注射氨甲环酸最后导致患者在术后3天死亡的病例。
Hatch DM, Atito-Narh E, Herschmiller EJ, Olufolabi AJ, Owen MD. Refractory status epilepticus after inadvertent intrathecal injection of tranexamic acid treated by magnesium sulfate. Int J Obstet Anesth. 2016 May;26:71-5. doi:10.1016/j.ijoa.2015.11.006. Epub 2015 Dec 2.
We present a case of accidental injection of tranexamic acid during spinal anesthesia for an elective cesarean delivery. Immediately following intrathecal injection of 2mL of solution, the patient complained of severe back pain, followed by muscle spasm and tetany. As there was no evidence of spinal block, the medications given were checked and a 'used' ampoule of tranexamic acid was found on the spinal tray. General anesthesia was induced but muscle spasm and tetany persisted despite administration of a non-depolarizing muscle relaxant. Hemodynamic instability, ventricular tachycardia, and status epilepticus developed, which were refractory to phenytoin, diazepam, and infusions of thiopental, midazolam and amiodarone. Magnesium sulfate was administered postoperatively in the intensive care unit, following which the frequency of seizures decreased, eventually stopping. Unfortunately, on postoperative day three the patient died from cardiopulmonary arrest after an oxygen supply failure that was not associated with the initial event. This report underlines the importance of double-checking medications before injection in order to avoid a drug error. As well, it suggests that magnesium sulfate may be useful in stopping seizures caused by the intrathecal injection of tranexamic acid.
翻译: 我们报告一例选择性剖宫产术中腰麻时误用注射氨甲环酸的病例。在蛛网膜下腔注射2mL氨甲环酸溶液后,患者即出现严重背痛,随后出现肌肉痉挛和手足抽搐。由于麻醉没有起效,检查给药情况,在腰麻托盘上发现了一支“用过”的氨甲环酸安瓿。立即改为全身麻醉,尽管使用非去极化肌肉松弛剂,肌肉痉挛和手足抽搐仍持续存在,且血流动力学不稳定、室性心动过速和癫痫持续状态发作,使用苯妥英钠、*西泮地**、硫喷妥钠、咪唑安定和胺碘酮均无效。术后在重症监护室使用硫酸镁,随后癫痫发作频率降低,最终停止。不幸的是,在术后第三天,患者因呼吸衰竭死于心肺骤停,这与最初的事件( 注:患者的原发疾病 )无关。本报告强调了注射前反复检查药物以避免药物错误的重要性。同时,这表明硫酸镁可能有助于阻止蛛网膜下腔注射氨甲环酸引起的癫痫发作。
下面是2009年报道的腰麻时误用氨甲环酸导致全身多发肌肉痉挛最后康复的病例。
Kamal Mohseni, Alireza Jafari, Mohammad Rezvan Nobahar, Ali Arami. Polymyoclonus seizure resulting from accidental injection of tranexamic acid in spinal anesthesia. Anesth Analg. 2009 Jun;108(6):1984-6. doi:10.1213/ane.0b013e3181a04d69.
We present a case of accidental injection of tranexamic acid instead of bupivacaine during spinal anesthesia. One minute after intrathecal injection of 3.5 mL of solution, the patient developed myoclonus of his lower extremities. Accidental intrathecal injection of the wrong drug was suspected and a used ampule of tranexamic acid discovered in the trash can. The ampules of tranexamic acid (500 mg/5 mL) and bupivacaine (5 mg/mL, Merck, Darmstadt,Germany) were similar in appearance. General anesthesia was induced. Ten hours later, the patient developed myoclonus of his upper extremities and face. His polymyoclonus was successfully treated with phenytoin, sodium thiopentalin fusion, sodium valproate and supportive care of the hemodynamic, and respiratory systems. The patient's condition progressively improved to full recovery.
翻译: 我们报告一例腰麻时误将氨甲环酸当作布比卡因注射的病例。蛛网膜下腔注射3.5毫升溶液1分钟后,患者出现下肢肌阵挛。怀疑蛛网膜下腔注射了错误的药物,在垃圾桶里发现了一个用过的氨甲环酸安瓿。氨甲环酸(500mg/5ml)和布比卡因(5mg/mL,默克,达姆施塔特,德国)的安瓿外观相似。改为全麻,10小时后,患者的上肢和面部出现肌痉挛。他的多发性肌痉挛通过使用苯妥英钠、硫喷妥钠、丙戊酸钠以及血流动力学和呼吸系统的支持得到成功治疗。病人的病情逐渐好转,直至完全康复。
下面是2015年发表的一篇综述性文章,对氨甲环酸导致癫痫发作的发生率、危险因素和临床特征进行了文献综述和分析。
Irene Lecker, Dian-Shi Wang, Paul D Whissell, Sinziana Avramescu, C David Mazer, Beverley A Orser. Tranexamic acid-associated seizures: Causes and treatment. Ann Neurol. 2016 Jan;79(1):18-26. doi: 10.1002/ana.24558. Epub 2015 Dec 15.
Antifibrinolytic drugs are routinely used worldwide to reduce the bleeding that results from a wide range of hemorrhagic conditions. The most commonly used antifibrinolytic drug, tranexamic acid, is associated with an increased incidence of postoperative seizures. The reported increase in the frequency of seizures is alarming, as these events are associated with adverse neurological outcomes, longer hospital stays, and increased in-hospital mortality. However, many clinicians are unaware that tranexamic acid causes seizures. The goal of this review is to summarize the incidence, risk factors, and clinical features of these seizures. This review also highlights several clinical and preclinical studies that offer mechanistic insights into the potential causes of and treatments for tranexamic acid-associated seizures. This review will aid the medical community by increasing awareness about tranexamic acid-associated seizures and by translating scientific findings into therapeutic interventions for patients.
翻译: 抗纤维蛋白溶解药物在世界范围内广泛使用,以减少因各种出血性疾病引起的出血。最常用的抗纤维蛋白溶解药物氨甲环酸与术后癫痫发作的发生率增加有关。据报道,癫痫发作频率的增加令人震惊,因为这些事件与神经系统不良后果、住院时间延长和住院死亡率增加有关。然而,许多临床医生并不知道氨甲环酸会引起癫痫发作。本综述的目的是总结这些癫痫发作的发生率、危险因素和临床特征。本综述还强调了一些临床和临床前研究,这些研究为氨甲环酸相关癫痫的潜在病因和治疗提供了机制上的见解。这篇综述将帮助医学界提高对氨甲环酸相关癫痫的认识,并将科学发现转化为对患者的治疗干预。
下面是2015年对已发表的氨甲环酸在腰麻中的误用进行文献综述和分析。4名产妇因意外蛛网膜下腔注射氨甲环酸而死亡,均发生在胎儿分娩后。
Santosh Patel, Robert Loveridge. Obstetric Neuraxial Drug Administration Errors: A Quantitative and Qualitative Analytical Review. Anesth Analg. 2015Dec;121(6):1570-7. doi: 10.1213/ANE.0000000000000938.
Background: Drug administration errors in obstetric neuraxial anesthesia can have devastating consequences. Although fully recognizing that they represent "only the tip of the iceberg," published case reports/series of these errors were reviewed in detail with the aim of estimating the frequency and the nature of these errors.
翻译:背景: 产科腰麻中的药物管理失误可能会产生毁灭性后果。尽管知道这些错误只是“冰山一角”,对已发表的这些错误案例报告/系列进行查阅和分析,以图了解这些错误的频率和性质。
Methods: We identified case reports and case series from MEDLINE and performed a quantitative analysis of the involved drugs, error setting, source of error, the observed complications, and any therapeutic interventions. We subsequently performed a qualitative analysis of the human factors involved and proposed modifications to practice.
翻译:方法: 我们通过检索MEDLINE找到相关的个案和病例系列报道,并对涉及的药物、误用场景、误用原因、观察到的并发症和任何治疗干预措施进行定量分析。随后,我们对所涉及的人为因素进行定性分析,并建议对操作流程进行修改。
Results: Twenty-nine cases were identified. Various drugs were given in error, but no direct effects on the course of labor, mode of delivery, or neonatal outcome were reported. Four maternal deaths from the accidental intrathecal administration of tranexamic acid were reported, all occurring after delivery of the fetus. A range of hemodynamic and neurologic signs and symptoms were noted, but the most commonly reported complication was the failure of the intended neuraxial anesthetic technique. Several human factors were present; most common factors were drug storage issues and similar drug appearance. Four practice recommendations were identified as being likely to have prevented the errors.
翻译:结果: 文献检索获得29例腰麻药物误用病例。各种药物误用均有报道,但没有对产程、分娩方式或新生儿结局产生直接影响的报道。4名产妇因意外蛛网膜下腔注射氨甲环酸而死亡,均发生在胎儿分娩后。注意到一系列血流动力学和神经系统体征和症状,但最常见的并发症是预期的腰麻无效。存在若干人为因素;最常见的因素是药物储存问题和相似的药物外观。四项查对操作建议可防止药物误用的发生
Conclusions: The reported errors exposed latent conditions within health care systems. We suggest that the implementation of the following processes may decrease the risk of these types of drug errors: (1) Careful reading of the label on any drug ampule or syringe before the drug is drawn up or injected; (2) labeling all syringes; (3) checking labels with a second person or a device (such as a barcode reader linked to a computer) before the drug is drawn up or administered; and (4) use of non-Luer lock connectors on all epidural/spinal/combined spinal-epidural devices. Further study is required to determine whether routine use of these processes will reduce drug error.
翻译:结论: 药物误用的报道暴露了医疗卫生保健系统内的潜在危险因素。我们建议,实施以下流程可能会降低此类药物误用的风险:(1)在抽取或注射药物之前,仔细阅读任何药物安瓿或注射器上的标签;(2)给所有注射器贴标签;(3)在抽取或注射药物之前,与其他人或用设备(例如连接到计算机的条形码阅读器)核查标签;(4)在所有硬膜外/脊髓/腰硬联合麻醉装置上使用非鲁尔锁连接器。这些流程的采纳和常规使用是否会减少药物错误需要进一步的研究。
下面是2021年5月发表的印度报道的两例腰麻误用氨甲环酸的手术病例,1例前交叉韧带修复术病例抢救治疗后康复,另一例孕产妇最终导致孕妇与胎儿双亡。
Pratibha Jain Shah, Pratiksha Agrawal, Anisha Nagaria, Kp Ummu Habeeba. Fortuitous intrathecal injection of tranexamic acid. Indian J Anaesth. 2021 May;65(Suppl2):S93-S95. doi: 10.4103/ija.IJA_1586_20. Epub 2021 May 10.
We are reporting two mishaps due to accidental intrathecal injection of tranexamic acid. The first case was a 21-year-old male, American Society of Anesthesiologists (ASA) grade I physical status, who was scheduled for arthroscopic reconstruction of right anterior cruciate ligament tear (case 1). The second case was a 23-year-old primigravida with preeclampsia at 37 weeks of pregnancy who was admitted for emergency caesarean section (case 2). Post spinal sequelae in both cases were noted. In case 1, the patient recovered without any neurological deficits and in case 2, mother and baby could not be saved.
In both the cases, a retrospective analysis of events led to the diagnosis of accidental intrathecal injection of tranexamic acid [2.5ml (250mg) in the firstcase and 2ml(200mg) in the second case].
翻译: 我们报告两起意外蛛网膜下腔注射氨甲环酸的事故。第1例为21岁男性,身体状况为美国麻醉师协会(ASA)分级一级,计划做关节镜下重建右前交叉韧带断裂(病例1)。第二例为23岁初产妇,妊娠37周时患有先兆子痫,入院急诊剖腹产(病例2)。两例均出现腰麻后续反应。病例1患者恢复正常,没有任何神经功能缺损;病例2母亲和婴儿均死亡。对这两个病例事件进行回顾分析,发现存在药物误用,蛛网膜下腔注射氨甲环酸[第1个病例:2.5ml(250mg),第二个病例2ml(200mg)]。
国内找到一篇相关文献报道,如下:
脊柱手术发生氨甲环酸相关型癫痫1例
https://www.medsci.cn/article/show_article.do?id=ada51356e316
顾力军,张洪美,张斌,赵铁军,单鹏程,何名江.脊柱手术发生氨甲环酸相关型癫痫1例[J].中国骨伤,2018,31(3):276~278
患者为54岁,女性,因腰椎管狭窄症,腰3-5后路减压椎间植骨融合内固定术后4月再次入院,需要翻修。
术前30min静脉滴注氨甲环酸0.5g, 全麻下行腰椎内固定术后切开探查、神经根粘连松解术,术中见硬膜有破裂,脑脊液外流,L5右侧神经根受椎弓根钉挤压刺激,予调整L4右侧椎弓根钉位置,术中硬膜外注射氨甲环酸1.0g,引流管夹闭,术程顺利,患者安返病房。
术后患者诉骶尾部瘙痒感,伴双下肢抽搐,后出现上肢及躯干抽搐,伴血压、心率异常波动,报病危,转重症监护室,经过一系列积极抢救性治疗,患者存活,术后恢复良好,可自行扶助行器行走。
下面这一篇文章应该是目前最新的文章,提出用生理盐水腰大池-脑室灌注引流,脑脊液置换,用于治疗急性氨甲环酸进入脑脊液导致的中枢神经系统和心血管系统中毒性改变的方法,有一定的疗效。
Godec S, Gradisek MJ, Mirkovic T, Gradisek P. Ventriculolumbar perfusion and inhalational anesthesia with sevoflurane in an accidental intrathecal injection of tranexamic acid: unreported treatment options. Reg Anesth Pain Med. 2021 Sep14:rapm-2021-102498. doi: 10.1136/rapm-2021-102498. Online ahead of print.
BACKGROUND: Tranexamic acid (TXA) decreases hemorrhage-related mortality in trauma patients and is increasingly being used during obstetric and orthopedic surgeries. Inadvertent intrathecal injection of TXA is a rare, potentially lethal event leading to dose-dependent cardiotoxicity and neurotoxicity. TXA enhances neuronal excitation by antagonizing inhibitory γ-aminobutyric acid type A and glycine receptors. Until now, mechanistic-based pharmacological treatments targeting multiple central nervous system receptors have been advocated for use in such cases, with no data on intrathecal TXA elimination techniques.
CASE PRESENTATION: A patient scheduled for hip surgery accidentally received 350mg of intrathecal TXA instead of levobupivacaine.The clinical picture progressed from spinal segmental myoclonus to generalized convulsions and malignant arrhythmias. The treatment consisted of ventriculolumbar perfusion with normal saline at a rate of 50mL/hour starting 5 hours after TXA administration and inhalational sedation with sevoflurane, in addition to drugs acting on multiple receptors at different central nervous system levels. Over 2 months the neurological status improved, although it was not complete.
CONCLUSIONS: For the first time,the feasibility and possible clinical efficacy of combined treatment with ventriculolumbar perfusion and inhalational sedation with sevoflurane were demonstrated. A referral to a neurosurgical facility is recommended in patients with acute TXA-induced neurotoxicity and cardiotoxicity.
翻译:背景: 氨甲环酸(TXA)可降低创伤患者出血相关死亡率,并在产科和骨科手术中越来越多地使用。意外蛛网膜下腔注射氨甲环酸是一种罕见的潜在致死事件,可导致剂量依赖性心*毒脏**性和神经毒性。 TXA通过拮抗抑制性γ-氨基丁酸A型和甘氨酸受体增强神经元兴奋。到目前为止,已有针对多个中枢神经系统受体的基于机制的药理学治疗建议用于此类病例, 但没有关于硬膜囊内TXA清除技术的数据。
病例介绍: 一名准备做髋关节手术的患者蛛网膜下腔不慎误注入350mg氨甲环酸,而不是应该使用的罗哌卡因。临床表现从脊髓节段性肌痉挛发展为全身性痉挛、惊厥和恶性心律失常。误用氨甲环酸5小时后,用生理盐水灌注腰大池-脑室,脑脊液置换,灌注速度50毫升/小时,并用七氟醚吸入镇静,以及使用作用于不同中枢神经系统水平多个受体的药物。2个月后,神经功能只有部分恢复,未能完全恢复正常。
结论: 首次证实腰大池-脑室灌注和七氟醚吸入镇静联合治疗的可行性和可能的临床疗效。急性氨甲环酸引起的神经毒性和心*毒脏**性患者建议转诊到神经外科机构。
2021年11月4日,我以“氨甲环酸” AND “脊柱”两个关键词在万方医学数据网检索,可获得72篇相关文献。
2021年11月5日,我以(tranexamic acid) AND (spinalanaesthesia)为关键词,检索www.pubmed.gov,获得66篇文献,如有感兴趣者可自行查阅参考和阅读。
本想把这些文献的摘要和名录都写在此文中的,但这个文章太长了,所以就不在此文中呈现了。
为什么氨甲环酸进入椎管内导致严重后果,死亡率高达50%的这种情况,英文文献报道也不算少,而中文文献报道很少呢?我觉得主要有以下几个原因:
1. 骨科医生,更确切讲,脊柱外科医生,脊柱微创外科医生,神经外科医生等对氨甲环酸的这些毒副作用不了解,或者说,对其危害性认识不足。我在写此文时,私下征询过几个医生,包括骨科医生,关节医生,脊柱外科医生,脊柱微创医生,包括麻醉医生,并不了解此种情况。
2. 发生严重后果,特别是死亡的病例,一般都会发生医疗纠纷,医生以及医院均不愿意声张,家丑不可外扬,都是悄悄的解决纠纷后就不愿再提起此事。更不要说发表文章警示大家。中文发表的这一篇文章,也是因为最后患者康复了才有发表,如果患者死了,也许可能就没这篇文章了。尚未看到有椎管内误用氨甲环酸导致死亡的源自中国大陆医疗机构的中文报道。
3. 有很多氨甲环酸用于各种手术止血的报道,也有一些脊柱外科手术术中局部使用氨甲环酸成功减少出血量的报道,却没有出现严重后果的报道,说明这些文章报喜不报忧,不可信。
4. 国外的大部分文献,都是麻醉医生报道术中麻醉时误用氨甲环酸导致严重后果。那么国内麻醉医生是否也有此类误用呢?纯粹的0误用应该不太可能,但这种事情发生的话,也都会低调处理,不会去写文报道。因为一旦被确认,则有可能会轻则丢饭碗,重则失去自由。在国外,标签容易引起误会,被当作是技术差错,但咱们把药物用错了,就是责任事故,处理轻重肯定有所不同。
5. 术中发生意外事件时,特别是关乎到生命问题的时候,外科医生一般会甩锅给麻醉医生,因为外科医生觉得自己的操作还不至于导致患者死亡,而麻醉医生肯定不愿意接锅,但不接这个锅又很难,特别是患者术中术后发生意外死亡,且原因搞不清楚的时候,除非有事实证据证明是外科医生的操作所致。就像这个病例,我相信,这个患者的术者以及麻醉医生,在患者死亡之前,并不了解氨甲环酸一旦进入脑脊液后会带来什么后果,否则他们就不用氨甲环酸了。
6. 还有一个原因,应该是咱们国内的中文杂志,特别是大牌杂志,中华牌之类的,可能对个案报道并不感兴趣,而氨甲环酸进入椎管,导致严重后果的病例,不可能是群体性发病,也不可能是系列发病,只能是以个案的形式出现,医生不愿意说,医院不让说,杂志不愿意发,最后导致此类严重后果的错误不能够引起学术界足够的重视,更不用说警示和改变。
基于以上原因,我个人提几个建议:
1. 给脊柱外科医生(包括骨科和脑外科或神经外科的医生)的建议:任何椎管内误用氨甲环酸进入脑脊液,或者脊柱手术,术中局部使用氨甲环酸以图止血,只要氨甲环酸进入椎管内,就会造成严重不良后果,死亡率高达50%,所以,脊柱外科手术过程中,局部*醉药麻**物配伍中,或者手术术野中,请不要使用氨甲环酸局部止血,因为你不能保证术中氨甲环酸不会进入椎管,你不能保证术中不会损伤硬脊膜而导致氨甲环酸进入脑脊液。
2. 给麻醉医生的建议:腰麻时,严格执行三查七对,避免药物误用。如果以前参与抢救过术中或术后恶性高热,全身肌肉高张力痉挛,或者术中术后不明原因的恶性高热,下肢痉挛,或上下肢及面部或全身肌肉高张力痉挛,最后导致患者死亡或者瘫痪,或者抢救过来的,建议复盘再分析一下这些病例,是否是全麻下的手术?是否是硬腰联合麻醉下做的手术。如果是全麻,整个手术过程中无氨甲环酸出现,可能会考虑恶性高热。但如果是硬腰联合麻醉或者腰麻,而且术中外科医生用到了氨甲环酸,那么,这种恶性高热,全身肌肉高张力痉挛最后导致患者死亡的原因,就很有可能是氨甲环酸误用进入椎管所致。
3. 给术者所在医院的建议:按照药物不良反应上报规定渠道,向本院药房以及当地药监管理部门,上报该例病例为氨甲环酸药物不良反应病例,引起相应药监部门的重视。
4. 给术者的建议:发生这样的结果,我们谁都不愿意,在听到这个病例前,我也不知道氨甲环酸会有如此严重的后果,我相信大部分的外科医生也都不知道,很多麻醉医生应该也不知道。如果你愿意,希望能够将该病例整理后,在中文杂志发表个案及文献回顾报道,或者如果愿意发英文文章的话,且自己英文不行的话,跟我联系,我们可以合作,将该病例写成英文的个案报道和文献综述,以骨科医生的角度去写,争取发一篇比较好的SCI文章。
5. 给专业杂志,特别是脊柱外科相关杂志的主编们的建议,对于这样严重的手术并发症的个案报道,请高抬贵手,多多发表此类相关的文章,因为在脊柱手术中,局部使用氨甲环酸似乎越来越多的趋势,会带来灾难性后果。
6. 给所有读者的建议: 此文章的内容,对于骨科医生、脊柱外科医生、脊柱微创医生、神经外科医生、麻醉医生和麻醉护士、手术室护士、重症监护室医生以及妇产科医生等均有参考意义,如果你觉得有用,希望转发到你所在的相应专业的医学群里,供大家参考,希望大家对氨甲环酸进入椎管内的危害有足够的认识和重视,起到一定的警示作用。
在本文推送前,我请我们医院麻醉科路志红教授帮忙审核内容,在纠正了一些翻译不准确用词后,路志红教授提供意见如下:
“国内打腰麻一般不存在氨甲环酸误用的问题,因为咱们的局麻药罗哌卡因是塑料包装,和氨甲环酸玻璃安剖不易混淆。布比卡因是5ml包装,氨甲环酸多为10ml、1g剂型,且大部分麻醉科不备氨甲环酸,需要时由外科提供。
恶性高热患者除了肌肉强直和高热外,显著的特征是CO2急剧升高,这是由于高代谢引起的,与药物神经毒性引起的抽搐也有所不同。丹曲林对于恶性高热是立竿见影的效果,对于神经毒性反应没有效果。”
感谢路志红教授的指导。