今日出门诊,刚开门就迎来了第一位患者,确切地说还是还是一个孩子,14岁,被妈妈领着一瘸一拐地走进来,”哪里不舒服啊?“”叔叔,我膝盖下面疼“,一问病情,孩子也没磕着、碰着,就是疼起来了,仔细一问妈妈,原来以后体育成绩占比高了,为了考个好点的学校,父母最近督促孩子多运动了,跑步、跳远啥的,现在就疼了。查体时右侧胫骨结节处压痛,考虑是胫骨结节骨骺炎,然后拍了个片子后证实了我的猜想。
胫骨结节骨骺炎是个什么病?为什么得这个病?跟生长痛是一回事吗?要不要紧?,孩子妈妈着急地连续发问,我耐心讲解后孩子妈妈舒了一口气,同时也后怕,原来什么事情都不是一蹴而就的,短期内大量的运动联系虽然可以提高体育成绩,但这代价有点大啊。
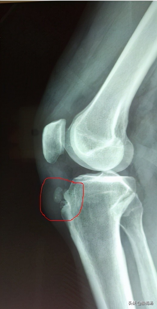
胫骨结节骨骺炎,又称胫骨结节骨软骨病,胫骨结节骨软骨炎,胫骨结节骨骺无菌性坏死。好发于青春发育期,11~15岁的男孩,多为发育加快,喜好运动者,可有剧烈运动或外伤史。胫骨结节处疼痛,活动后加重。胫骨结节局部可有肿胀,压痛,甚至红热。主动伸膝,被动屈膝或蹲起时加重,是髌腱牵拉骨骺所致。在青春发育期,股四头肌肌腱的自身发育,导致张力增加,导致胫骨结节骨骺局部炎症、肿胀,当运动时,膝关节处于屈曲位置时,股四头肌肌腱张力最大,牵拉胫骨结节骨骺,长期、反复的牵拉,对胫骨结节骨骺肯定造成进一步的损伤,慢性损伤导致进一步的缺血坏死,从而引起临床症状。这就是胫骨结节骨骺炎的发病机制。拍片时可看到胫骨结节处骨骺隆起,其间骨化不均匀,可有翘起骨片或游离骨片。
如果真的得了这个病,也不用怕,这个病可自行痊愈,无需药物治疗,但需要患者注意休息,限制膝关节活动,避免跑、跳、蹦,长久步行。急性发作期可用石膏外固定。有的人建议用糖皮质激素类药物局部封闭治疗,虽然这种可迅速止痛,但能导致组织变性坏死,髌腱自发性断裂,是不赞成使用的。
曾经有过报道妈妈为让女儿长高每天逼其跳绳3000引起胫骨结节骨骺炎的报道,规律、科学的运动是极好的,但凡是都有个度,超过了往往过犹不及、适得其反。


