C罗,世界顶级的足球运动员。今年C罗已经37岁了,37岁对于运动员来说已经是职业生涯末期了。许多运动员在这个年纪已经无法完成高强度的比赛而选择了退役。而C罗至今仍在巅峰状态,时间好像在他身上没有起到什么作用。

为什么C罗在37岁仍在巅峰呢?
健康的饮食习惯是一个重要的因素。在本届欧洲杯对阵匈牙利的赛前新闻发布会上,C罗将赞助商摆放在桌子上的可口可乐移开,然后拿起了矿泉水。并说道:要喝水,不要可乐。C罗的这一举动直接导致了可口可乐公司的股价下跌1.6%,损失达40亿美元。

那么碳酸饮料有哪些危害呢?
1、肥胖
碳酸饮料中含有非常高的糖分。一瓶碳酸饮料的糖分大大超过了每日所需要的量(成年人每天需要50g糖分)。长期喝碳酸饮料会导致糖分摄入过量,最后导致肥胖。

2、糖尿病、冠心病、肾病
随着体重的增加,随之而来的就是代谢紊乱。弗莱明汉姆心脏研究计划对6000人连续4年的追踪调查得出:每天喝一杯碳酸饮料的人患上糖尿病、冠心病、肾病的概率要高出44%。
3、骨骼发育迟缓以及骨质疏松
碳酸饮料中的碳酸会影响钙吸收,因此很容易导致年轻人骨骼发育缓慢以及骨质疏松。

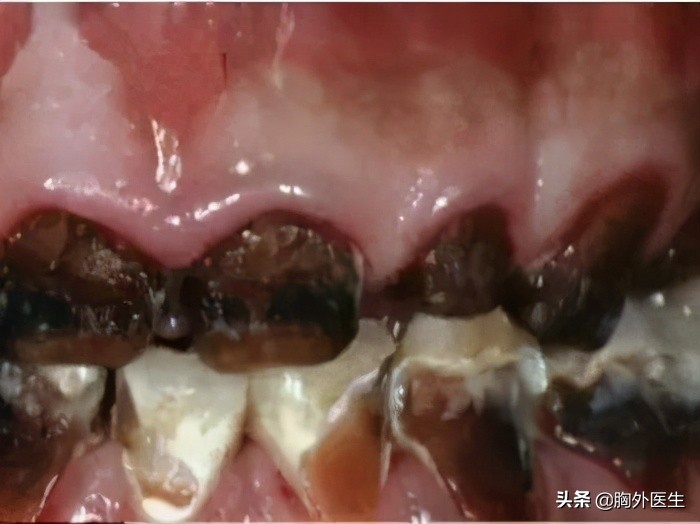
4、龋齿
碳酸饮料中的碳酸会腐蚀牙齿,如果不注意口腔卫生,容易出现蛀牙。

5、消化道疾病
碳酸饮料中的二氧化碳会刺激胃酸分泌,破坏胃黏膜,影响胃肠道吸收,造成胃肠功能紊乱、腹胀、溃疡等不适。
6、痛风
碳酸饮料里的果糖能够升高血尿酸水平,诱发痛风。

7、皮肤粗糙、长痘
长期摄入大量的糖分,却会导致我们皮肤粗糙或老化以及长痘。
既然碳酸饮料危害大,那么喝无糖饮料不就好了?
其实,无糖饮料不是真的不添加糖。我国《预包装食品营养标签管理规范》中明确规定:“无糖”是指每100g固体或100ml液体食品的含糖量不高于0.5g。无糖饮料是指不含蔗糖、葡萄糖、麦芽糖、果糖等。无糖饮料采用的是代糖,加入的是阿斯巴甜、甜蜜素、安赛蜜等之类的甜味剂。长期喝无糖饮料同样也会对身体产生不良影响。
作为一个普通人,我们没有必要像C罗那样苛刻。偶尔喝一下碳酸饮料也是可以的,但不能过量,应适可而止。
最后向C罗致敬,他为我们树立了健康的榜样!

原创不易,如果你喜欢我的文章,欢迎关注、转发、点赞。
关注我,学习最靠谱的科普。