出品:科普中国
制作:大阪大学 张昊 陆修远
监制:中国科学院计算机网络信息中心
炎热的夏季里,被蚊子叮咬可以说是家常便饭,痛痒之余,接踵而至的可能是更加险恶的后果。据统计,全世界17%的传染病病例都与伊蚊、疟蚊、库蚊这三种臭名昭著的蚊子有关。人类与蚊子间的血海深仇从史前时代绵延至今,蚊媒传染病仍然在频繁制造各种公共卫生浩劫。

(图片作者:James Gathany, Public Domain)
△白纹伊蚊,也叫亚洲虎蚊,是传播登革热、寨卡病毒的元凶之一
不过,在这场没有硝烟的战争中,人类已然看到了胜利的曙光,让蚊子断子绝孙不再是来自人类的"恶毒"诅咒,而是现代科学幻化乾坤的又一神迹。
7月初,一项由澳洲联邦科学产业研究所(CSIRO)主导的大规模实验,利用生物工程技术实现了对埃及伊蚊种群的高效扑杀。科学家们在昆士兰州北部的一处实验地区释放了两千万只经过不育处理的雄蚊,从而将该地埃及伊蚊的种群数量削减了80%。由于雄蚊并不叮咬动物及人类,释放雄蚊几乎不会造成任何生态问题。
在数千万只蚊子中准确高效地筛选出其中的雄性个体已经堪称神来之笔,更绝的是,上面提到的不育处理中竟然利用了一种名为沃尔巴克氏体的神奇细菌?!
它们到底是何方神圣?又如何令雄蚊"断子绝孙"?
这项研究背后的奥秘充满了诡谲狡诈与凶恶残忍,当小小细菌将自身的生存之道演化为在物种进化过程中上位的策略乃至哲学,无数寄主昆虫终将难逃被扭曲的宿命。
沃尔巴克氏体——神秘而残忍的寄生细菌
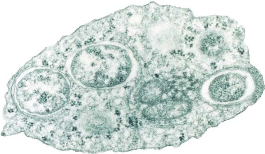
沃尔巴克氏体(Wolbachia)是一种寄生在细胞内的细菌,它的宿主主要为节肢动物(包括昆虫纲,蛛形纲,多足纲以及甲壳纲)和一些线虫,不会感染包括人类在内的脊椎动物。由于节肢动物分布广泛,种类庞杂,沃尔巴克氏体也被认为是世界上最常见的寄生微生物。
与其它寄生菌类似,沃尔巴克氏体同样靠寄主提供的养分生存繁殖。不少烈性细菌一旦侵入寄主细胞就会在短时间内大量扩散繁殖,直到造成寄主死亡。寄主一旦死去,寄生菌也就失去了安身立命的土壤,自然地消亡。

沃尔巴克氏体(图片作者:Scott O'Neill,Public Domain)
与之不同的是,沃尔巴克氏体既没有短期内让寄主毙命的本事,也没有迅速扩散增殖的能力——它绝大多数时候只能通过虫的繁殖过程进行母子之间的垂直传播,而不能在个体之间进行横向传播。同时,寄主感染沃尔巴克氏体后虽然会发生一系列异常,但是这些异常却很少危及寄主生命。
这样来看,沃尔巴克氏体的生存策略反而有聪明之处:母子垂直传播策略可以保证其在虫类群体中的稳定存在;不急于杀死寄主又能让其在单一个体中生存足够的时间,以便寻求更多的感染机会。
很多读者看到这里,不由得会对沃尔巴克氏体产生些许好感——这样温和的寄生细菌与人们对致病菌的固有印象确实大相径庭。不过,笔者要提醒大家的是,千万不要小看沃尔巴克氏体"千秋万代,一统江湖"的企图,它们的种种生存策略简直是极尽残忍诡谲之能事。
非我族类,其心必异——细胞质不相容(精卵不相容)
沃尔巴克氏体主要生活在寄主细胞质中,拥有丰富细胞质的卵子是最容易被其感染繁殖的场所。而在几乎没有细胞质的精子中,沃尔巴克氏体难以存活。但是,这绝不意味着被感染的雄性可以产生健康的精子——狡诈的沃尔巴克氏体会放出毒素污染被感染雄性的精子。
健康雌性的卵子会和这些"毒精子"产生细胞质不相容效应,无法正常受精发育。但同样被感染的雌性产生的卵子却自带解毒剂,能够发育成带菌后代。如此一来,健康雌性只能和健康雄性繁殖产下健康后代,被感染雌性却可以和所有雄性繁殖产下被感染后代,造成种群内被沃尔巴克氏体感染的个体比例迅速扩增。这样的策略被称为"细胞质不相容",也是最常见的一种策略。
本次由CSIRO主持的研究正是利用了被感染的雄性伊蚊在繁殖时会发生的细胞质不相容现象。大量被感染的雄蚊在与正常雌蚊交配后,无法产生后代,从而使伊蚊种群规模遭遇断崖式下跌,惨遭灭顶之灾。

细胞质不相容策略
予取予求,唯女独尊——雄性致死
雄性致死策略更为深刻地体现了沃尔巴克氏体的阴损之处。在胚胎发育阶段,几乎所有的雄性寄主胚胎都会因为染毒而夭亡,从而失去与雌性争夺有限食物资源的可能;与此同时,雄性胚胎的死骸还可以为孵化出的雌性幼虫提供饵料。雄性致死现象在感染沃尔巴克氏体的双翅目、鳞翅目、鞘翅目、半翅目昆虫以及蛛形纲拟蝎目生物中均有发现。
日本科学家曾经报道过一个有趣的案例。琉球紫蛱蝶是一种在热带、亚热带地区分布甚广的蝴蝶,科学家们认为,该种蝴蝶感染沃尔巴克氏体已经有近百年历史。在这一百年间,部分地区的琉球紫蛱蝶种群饱受雄性致死现象的困扰,族群内部性别失衡严重。

雄性琉球紫蛱蝶(图片来源:维基百科,Public Domain)
近年来,科学家们发现琉球紫蝶种群内部出现了能够抵抗雄性致死的基因突变,并且这一突变以不可思议的速度在蝶群内部扩展,从而令绝大多数新生雄性个体都免于早夭的悲惨宿命。
然而,接下来科学家们却发现了另一个悲惨的事实——虽然沃尔巴克氏体的雄性致死策略失灵了,细胞质不相容策略又开始重新发挥作用了!
在此之前,细胞质不相容被雄性致死所掩盖,一旦后者失灵,前者立刻补刀。总而言之,沃尔巴克氏体牢牢把握着这场战争的主动权,坚持遵循重女轻男的策略,让自己在琉球紫蛱蝶种群中逐步蔓延。
这一案例似乎暗示雄性致死相较细胞质不相容策略更为高级,沃尔巴克氏体在昆虫种群中的蔓延很可能以雄性致死作为目标和发展方向。

雄性致死策略
颠倒黑白指鹿为马——强制雌性化
这种策略可以令携带沃尔巴克氏体的受精卵会无视基因型,全部发育为雌性。
软甲纲的潮虫遭到感染生下带菌幼虫后,雄性子代的性激素分泌受到沃尔巴克氏体抑制,直接发育为雌性。宽边黄粉蝶在染菌后,同样会出现雄性转变为雌性的现象。

受惊后缩成一团的潮虫(图片作者:Franco Folini,CC 3.0)
叶蝉科的叶蝉(Zyginidia pullula)则属于另外一种情形,受感染雌性产下的后代将无视基因型全部发育为雌性。然而,这些子代雌性中,却有一半个体有着发育不完全的雄性外生殖器官。

叶蝉科的Graphocephala coccinea,图片作者:Bruce Marlin,CC3.0
这些本来是雄性的不完全雌性化个体几乎没有正常雌性具备的生育能力,更郁闷的是,作为雄性的生殖功能也已不复存在,只能茕茕孑立孤独终老。因此,部分学者也建议将这种情形归结为雄性致死……雄风不再等于死?!简直残酷至极。

强制雌性化策略
自力更生艰苦奋斗——孤雌生殖
沃尔巴克氏体只在一些可以单性生殖的物种中采用这种策略,比如黄峰和螨虫。正常黄蜂的未受精卵会发育成雄性(单倍体),受精卵发育成雌性(二倍体)。然而在沃尔巴克氏体的作用下,黄蜂的未受精卵在开始发育进行分裂的时候,两个单倍体细胞核会融合成一个二倍体细胞核,进而发育成雌性个体,从而将细菌继续传播下去。

某种黄蜂头部特写(图片作者:H. Zell,CC3.0)
在螨虫中的情形则稍有不同:在母体制造卵子的时候,沃尔巴克氏体会干扰减数分裂,形成二倍体的卵子,随后直接发育成雌性后代。

孤雌生殖策略
沃尔巴克氏菌——来自百年前基础研究的灭蚊利器
沃尔巴克氏体的花式杀虫手段早在60年代就引起了科学家的关注,一系列防控有害昆虫的应用场景也绘就好了蓝图。然而在当时的条件下,基础研究和工程应用的发展水平还不足以支撑这种野望。
如今,科学家们巧妙地利用了自然界中业已存在了数千万年的自然"设计",将人类智慧和现代科技融合于具体的应用场景。CSIRO的CEO对此发表评论称:"我们将与学术界和产业界共同合作,以科学作为*器武**来解开人类面临的难题。我们有信心(通过消灭蚊子)让澳大利亚成为地球上卫生状况最好的国度。"
沃尔巴克氏体如今能够为人所用,离不开1924年沃尔巴克先生(S. Burt Wolbach)日复一日捉虫子、找细菌的单调时光。也许当年沃老先生只是沉迷于奇妙的自然设计,不想人类今日竟然得益于此。这样的故事大概是"基础研究有什么用"这个问题的最好诠释。
最后,为大家奉上来自夏桨MM的原创小漫画——沃尔巴克氏体生存手册。

参考文献
1. http://science.sciencemag.org/content/292/5519/1093.full
2. http://www.sas.rochester.edu/bio/labs/WerrenLab/WerrenLab-WolbachiaBiology.html
3. http://www.sohu.com/a/122978014_119097
4. John H. Werren, Laura Baldo & Michael E. Clark, Wolbachia: master manipulators of invertebrate biology, Nature Reviews Microbiology, volume 6, pages 741–751 (2008)
5. https://www.technologyreview.com/s/608280/alphabet-has-built-a-robot-that-is-releasing-millions-of-sterile-mosquitoes-in-california/
6. https://jp.techcrunch.com/2017/07/15/20170714googles-life-sciences-unit-is-releasing-20-million-bacteria-infected-mosquitoes-in-fresno/
7. https://verily.com/projects/interventions/debug/
8. https://www.jstage.jst.go.jp/article/konchubiotec/83/3/83_3_243/_pdf/-char/ja
9. http://natgeo.nikkeibp.co.jp/nng/article/news/14/2220/
10. https://www.news-medical.net/news/20091228/20/Japanese.aspx
11. https://www.tohoku.ac.jp/japanese/newimg/pressimg/tohokuuniv-press20160803_01web.pdf
12. https://www.huffingtonpost.jp/nature-publishing-group/wolbachia-bacteria_b_15272806.html
13. https://www.natureasia.com/ja-jp/research/highlight/10716
14. https://www.natureasia.com/ja-jp/nature/highlights/83856
15.https://jp.techcrunch.com/2017/07/15/20170714googles-life-sciences-unit-is-releasing-20-million-bacteria-infected-mosquitoes-in-fresno/
(本文中标明来源的图片均已获得授权)
