说到“ISIS”,很多人第一反应可能是“伊拉克和大叙利亚伊斯兰国”的缩写(Islamic State of Iraq and al Shams)。。

NO!NO!NO! 此“ISIS”非彼“ISIS”!
我们不讨论民族与宗教,在此仅仅只是介绍一个实用的肩关节评分工具。
Instability Severity Index Score (ISIS) 不稳定严重指数评分
我们知道,对于肩关节前向不稳修复手术而言,其最大并发症是再发不稳定。如何在术前判断这种再发不稳的趋势,对于指导我们手术有着重要的意义。
今天介绍的这个评分主要是评根据患者的年龄、运动水平、肩关节松弛度、关节盂及肱骨的骨缺损,来评估接受关节镜下Bankart修复手术的再复发风险。对于我们术前手术方式的选择具有指导作用。
评分表如下:

如上表所示,这个评分表共有4个方面,共6项风险因素,总分10分。我下面会做一一介绍。
1.年龄
这个评分的作者通过对比了各年龄段的人群复发情况,发现20岁作为一个分界年龄,小于或等于20岁的人群比大于20岁人群表现出了更大的复发趋势。
故在评分表中,我们可以看到,≤20岁的人群评分是2分,而>20岁的人群评分是0分.

2.运动水平
运动水平包括了参与运动的程度和运动类型。
参与运动的程度:对于从事竞技性运动的人群,比那些从事休闲运动或者不参加任何运动的人,有着更高的复发几率。

运动类型:接触性运动(比如篮球、足球等)以及强力的过顶活动(比如棒球的投球运动)会增加患者的复发风险。


如参与竞技性运动的人群,应被记为2分;
而运动类型以接触性运动和强力的过顶活动为主的人群应被记为1分。
3.肩关节松弛度
对于肩关节松弛度的评价分为对前方松弛的评价和对下方松弛的评价。
对前方松弛的评价主要评估患肩的外旋角度。
如外旋超过85°,则被认为是有更大的复发的风险。

而对下方松弛的评价主要是Gagey过度外展实验(Gagey hyperabduction test)。
这个实验主要评估盂肱下韧带的松弛程度。


如图所示,在做这个试验时,检查者应该用一只手按住肩胛骨,避免肩胛骨的移动,另一只手辅助患者被动外展,如两边的外展角度相差大于20°,则被认为是肩关节下方松弛。
根据结果,不论是肩关节前方松弛还是下方松弛,均应考虑为肩关节过度松弛,记为1分。
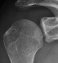
4.关节盂及肱骨的骨缺损
对于关节盂及肱骨的骨缺损是通过正位X线检查来评估的。
对肱骨骨缺损的评估:
需要在肩关节内旋位、中立位、外旋位时分别拍摄3张正位X线,来评估有无Hill-Sachs损伤。

内旋位

中立位

外旋位
对关节盂骨缺损的评估:
通过正位X线看关节盂下方是否存在撕脱性骨折或者是轮廓的丢失。

正常

关节盂下缘撕脱性骨折

关节盂下缘轮廓丢失
如在肩关节外旋位的正位X线上能看到Hill-Sachs损伤,则评分应为2分;
如果正位X线上能看到关节盂下缘的轮廓丢失,则同样应为2分。
总体评分
- 以6分作为风险评估的阈值
- 小于等于6分是可以接受的风险(复发风险10%),可选择关节镜下Bankart修复手术
- 得分大于6分是不可接受的风险(复发风险70%),应选择开放手术(如Laterjet)