正如“说点人事”开篇语所说的,我们已经对“我是谁”“我从哪里来”等重要问题有所作答。对于“人类走向何方”的问题,上一期也给出了答案。因地制宜,因时制宜,是人类演化过程中的主旋律。
本期是“说点人事”的最后一期,我们将继续讨论“人类走向何方”的问题——在主动改变环境后,人类如何再适应环境的变化,将决定“万物之尺度”的命运与未来。
从身体变化说起
近现代以来,由于科技的爆发式发展,人类的生活方式和营养条件也得到了极大改善,也使人类出现了相应的演化。 这在智齿、豆骨、前臂第三根动脉的变化上有所反映。
1.好消息:我们正在失去智齿
在过去的一百多年中,人类的食物进一步精化,对咀嚼的要求进一步降低, 智齿(第3臼齿,即离门齿最远的牙齿)的重要性也越来越低。 加上智齿在口腔最里面,难以清洁,常常和邻近臼齿一起,成为最容易长牙周炎和龋齿的地方。同时,人类在演化过程中,脸部变小,容纳智齿的空间也越来越小,成长时容易发生异位,影响旁边的臼齿发育。

智齿的生长往往会挤压到其他臼齿,造成牙疼,本图绿色箭头处即为智齿 图片来源:wikipedia
聪明的人类总是会想方法去掉多余的东西——由于以上所陈列的原因,越来越多的人减少或者不再长智齿。数据显示, 至少有一个智齿缺失的人数在人群中的比例,除在非洲比较低(5%)以外,北美已经达到19%,南美18%,中东28%,亚洲达30%。
这一变化,可能与 PAX9 基因DNA序列的变化有关。PAX9蛋白中第240位的氨基酸从丙氨酸变为脯氨酸(Ala240Pro), PAX9 基因启动子中位于-915的碱基(负号表示基因转录起始点前面的位置)从G变为C, 在失去智齿的人群中比例比较高,也许是造成智齿缺失的原因之一。
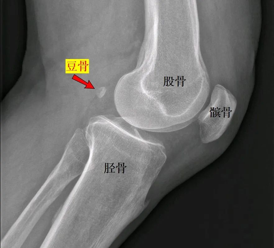
2.研究21676个膝盖发现,具有豆骨的人数在增加
除了与关节相连的骨头,还有一些不与关节相连的骨头,由筋腱骨化而来。它们大多很小,形状类似芝麻,所以叫做籽骨(sesamoid bones)。
籽骨通常埋在连接关节两边骨头的筋腱中,其功能被认为是使筋腱强壮耐磨,在受强力时不变形,减少摩擦力,而且增加筋腱与关节的距离,在使关节两边的骨头改变相对位置(例如从伸直到弯曲)时的力矩增加。 这就像斜拉桥的主梁要尽可能地高,使得拉索与桥面之间的角度尽可能地大,以产生更多垂直方向上的分力。
在人类身上,最大的籽骨就是我们所熟悉的膑骨,俗称膝盖骨。 它通过筋腱连接大腿上的股四头肌和小腿的胫骨,在腿伸直时发挥关键作用。其余的籽骨多分布于手掌和脚掌,例如食指和大脚趾第一趾骨端的下方都分别有两个籽骨。有些人的其他指头和趾头也有籽骨,但频率不一。

人类手掌上的籽骨 图片来源:wikipedia
此外,在膝盖后外方,有些人在腓肠肌(小腿肌)上端的筋腱内还埋有一个籽骨,叫做豆骨(fabella)。 近年来,具有豆骨的人数在增加。例如英国科学家分析了过去的100多年间人群中具有豆骨人的比例,共58篇研究报告,涵盖27个国家,21676个膝盖,发现在1918年时,具有豆骨的人比例只有11.2%,而在2018年这个比例就已经增加到39%。
韩国科学家的分析则发现,在1900年时,有豆骨的比例为7.64%,而到2000年已经增加到31%。而在同期,其他籽骨的发生率并没有变化,说明豆骨比例的增加是一个特有的现象。

豆骨的位置 图片来源:wikimedia,经作者修改
对这个现象的一种解释是,近年来, 由于营养状况的改善,人类的身高有比较大的增加。较高的身高和更大的体重,使得运动时膝关节附近筋腱受力增加,促使豆骨形成。
3.用手多了,所以要多一根动脉?
在人胎儿的发育过程中,有三根动脉给发育中的手掌供应血液。但是在妊娠的第8个星期,中间那根动脉消失,因此成人的前臂只有两根主要的动脉,即“尺动脉”和“桡动脉”。
但在过去的一百多年中,有越来越多的人中间那根动脉并不退化,而是一直保留,使这些人的前臂中“多”出一根动脉。拥有第三根动脉的人在1880年代只占10%,但是到20世纪末已经占到30%。 也许是人对手使用的要求越来越高,促使身体增加对手掌的血液供应。

手臂中保留第3根动脉 图片来源:参考文献1

人类中出现第3根动脉的频率随时间变化的趋势,预计到2100年,大多数人都将拥有这根动脉 图片来源:参考文献2
人类VS传染病,谁输谁赢?
科技的发展,不仅改善了人类的生活方式和营养条件,令人类的身体产生变化,同时也打开了“潘多拉魔盒”——人类对生物资源的利用更为频繁,人类聚居地之间的交流越来越频繁,各种不同类型的传染病也得以在人类社会中迅速流行,为了对抗这些传染病,人类也相应出现了不同的演化特征。
1.对抗疟疾,改变基因
先从人类的宿敌——蚊子说起。人类生产生活过程中对水的需要,给传播疾病的蚊子在人口密集处繁殖提供了很好的条件。蚊子携带的疟原虫引起的疟疾也因此有了可乘之机。疟疾的发生率在几千年前大量增加,其致死率非常高,尤其是针对5岁以下的儿童来说。

镰刀型细胞贫血症发病概率(b)与疟疾流行程度(c)的对比图,c图中,颜色越深,疟疾流行程度越高 图片来源:参考文献3
为对抗疟疾传播,一些人血红蛋白β-亚基的基因发生突变,一个A变成了G,使得蛋白中第6位的氨基酸从谷氨酸变成了缬氨酸。 这个改变使得β-亚基在血氧含量低时改变形状,同时使含血红蛋白的红血球从盘状变为镰刀状。 如果人的两份血红蛋白β-亚基的基因中都具有这个突变,就会发展出镰刀型细胞贫血症。变形的红血球容易破裂,引起溶血,还会堵塞毛细血管,引起严重症状甚至死亡。

左上小图为显微镜下的镰刀型红细胞(箭头所指)与正常红细胞。正常红细胞不易导致血管堵塞(左),而镰刀型红细胞则容易导致血管堵塞(右) 图片来源:wikipedia
但如果人体内仅有一份这个突变,另一份基因却是正常的,那么他们的症状通常较轻。 而且由于被感染的红血球更容易被免疫系统消灭,阻断疟原虫的繁殖周期,因而只携带一份突变基因的人对疟疾有抵抗力。
从概率上分析,人群中只携带一份突变基因的人(杂合子)远多于具有两份突变基因(纯合子)的人,这个突变总体上对人类与疟疾的斗争是有利的。 所以,尽管在疟疾严重的非洲等地镰刀型细胞贫血症发病率高、死亡率高,但却有更多的人因为是杂合子而从疟疾中幸存了下来。 这可以看成是人类由于生活方式改变后,对因此出现的传染病的一种适应方式,尽管是不完美的。
需要说明的是,这种适应也是动态变化的。比如,在美国,由于不存在地方性疟疾,非洲血统人群中镰刀型细胞贫血症的患病率(约 0.25%)低于西非人群(约 4.0%),并且正在下降。
2.对抗艾滋病的CCR5基因改变
大约在上世纪中叶,引起艾滋病的病毒从非洲中西部的灵长类动物(可能是黑猩猩)转移到人身上,引起全球流行的艾滋病。病毒主要感染免疫系统的细胞,例如CD4+ T细胞。病毒要感染免疫细胞时,必须先要与细胞表面的蛋白质CD4和CCR5结合,才能够进入细胞进行繁殖。

猴免疫缺陷病毒(SIV)的模型,有科学家认为这种病毒已经存在于猿猴体内至少32000年,并且在历史上多次感染过人类,但都没有引起流行,只有到了现在全球交流越来越密切,这些病毒才站稳脚跟,演化成了HIV 图片来源:wikipedia
为了对抗艾滋病的感染,在高加索人群中出现了CCR5基因的变异,在编码区域有一个32碱基对的缺失,导致CCR5蛋白中第175-185位的氨基酸缺失。而且由于32不是3的整倍数,在缺失区段后的三连码移位,为错误的氨基酸编码,而且移位后还提前出现转录终止信号,使得蛋白质分子变得更短,从原来的352个氨基酸变为215个氨基酸。
这个变短了的CCR5蛋白不再具有原来的生理功能,同时也使得免疫细胞不会容易受到艾滋病病毒的攻击。 两份CCR5基因都突变的(叫做“纯合子”)对艾滋病有高度的抵抗力,只有一份突变的(叫做“杂合子”)也对艾滋病有一定的抵抗力,病情发展较慢,体内病毒数也较低。目前来看,在北欧的白人中,携带CCR5基因突变种的比例已经高达9%左右,其中约1%为纯合子,但是在其他族群中还很少见。

CCR5受体突变能够阻止艾滋病毒感染 图片来源:参考文献4
除以上所述之外,人类还有更多加速演化的特征。随着人类科技的进一步发展,生活方式的持续变革,也一定会有更多的基因突变会涌现出来,影响人类这一族群的命运与前途。
行文至此,我们已经对人类的演化之路做了简要的论述,在书写与叙述的过程中,我们对“走得再远,也不要忘记为何出发”有了更为深刻的体验。 人类的演化与繁衍,不是所谓“奇迹的堆叠”,更是“物竞天择,适者生存”在某种程度上的生动写照。 我们衷心地希望,对这一漫长历史进程的回顾,能够在澄清谬误、普及知识之余,为可能处于困顿不安的你提供些许前行的力量与勇气。
毕竟,每一个你,都来之不易。
参考文献:
1.Mike McRae, Human keep growing an extra artery in their arms and this is why. ScienceAlert, 2022, December 5.
2.Lucas T, Kumaratilake J, Henneberg M, Recently increased prevalence of the human median artery of the forearm: A microevolutionary change. Journal of Anatomy 2020, 237(4):623-631.
3.Piel F B, Patil A P, Howes R E, et al. Global distribution of the sickle cell gene and geographical confirmation of the malaria hypothesis[J]. Nature communications, 2010, 1(1): 1-7.
4.Juliana Herrera, This genetic mutation actualy leads to HIV
Immunity. Odyssay Health and Welness, 2016-10-17.
5.Horai S, Hayasaka K, Kondo R, et al, Recent African origin of modern humans revealed by complete sequences of hominoid mitochondrial DNAs. Proc Natl Acad Sci USA, 1995, 92:532-536.
6.Wei W, Ayub Q, Chen Y, et al, A calibrated human Y-chromosomal phylogeny based on resequencing. Genome Res. 2013,23(2): 388–395.
7.Batzer MA, Soneking M, Alegria-Hartman M, et al, African origin of human-specific polymorphic Alu insertions. Proc Natl Acad Sci USA, 1994, 91:12288-12292.
8.Okerblom1 J, Fletes W, Patel HH, Human-like Cmah inactivation in mice increases running endurance and decreases muscle fatigability: implications for human evolution. Proc R Soc B,2018, 285: 20181656.
9.Chabout J, Sarkar A, Patel SR, A Foxp2 Mutation Implicated in Human Speech Deficits Alters Sequencing of Ultrasonic Vocalizations in Adult Male Mice. Front Behav Neurosci. 2016, 10: 197.
10.Fisher SE, Human Genetics: The Evolving Story of FOXP2. Current Biology 2019, 29:R50–R70.
11.Xu S, Liu P, Chen Y et al, Foxp2 regulates anatomical features that may be relevant for vocal behaviors and bipedal locomotion。Proc Natl Acad Sci U S A. 2018, 115(35):8799-8804.
12.Lorenzo FR, Huff C, Myllymäki M et al, A genetic mechanism for Tibetan high-altitude adaptation. Nat Genet 2014, 46(9): 951–956.
13.Witt KE, Huerta-Sa´nchez E, Convergent evolution in human and domesticate adaptation to high-altitude environments. Phil Trans R Soc B 2019,374:20180235.
14.Soranzo N, Bufe B, Sabeti PC, Positive selection on a high-sensitivity allele of the human bitter-taste receptorTAS2R16. Current Biology, 2005, 15:1257–1265.
15.Prabhakarlams S, Noonan JP, Paabo S, et al, Accelerated Evolution of Conserved Noncoding Sequences in Humans. Science 2006,314(5800):786.
16.Pollard KS,Salama SR,Lambert N, et al, An RNA gene expressed during cortical development evolved rapidly in humans. Nature 2006, 443(7108):167-72.
17.Hevner RF, What Makes the Human Brain Human? Neuron 2020, 105:761-783.
18.Fiddes IT, Lodewijk GA, Mooring M, et al, Human-Specific NOTCH2NL Genes Affect Notch Signaling and Cortical Neurogenesis. Cell 2018, 173:1356–1369.
19.Dougherty ML, Nuttle X, Penn O,et al, The birth of a human-specific neural gene by incomplete duplication and gene fusion. Genome Biology 2017,18:49.
20.Tishkoff SA, Reed FA, Ranciaro A, et al, Convergent adaptation of human lactase persistence in Africa and Europe. Nat Genet 2007, 39(1): 31–40.
21.Peng Y, Cui CY, He YX et al, Down-Regulation of EPAS1 Transcription and Genetic Adaptation of Tibetans to High-Altitude Hypoxia. Mol Biol Evol 2017, 34(4):818–830.
22.Mao XW, Zhang HC, Qiao SY et al, The deep population history of northern East Asia from the Late Pleistocene to the Holocene. Cell,2021, 184(12):3256-3266.e13.
23.Berthaume MA, Federico, Bull AMJ, Fabella prevalence rate increases over 150 years, and rates of other sesamoid bones remain constant: a systematic review. J Anat 2019, 235:67—79.
24.Chirchir H, Kivell TL, Ruff CB, Recent origin of low trabecular bone density in modern humans., 2015,112(2): 366–371.
25.Laland KN, Odling-Smee J, Myles,How Culture Shaped the Human Genome: Bringing Genetics and the Human Sciences Together. Nat Rev Genet, 2010,11(2):137-48.
26. DeSilva JM, Traniello JFA, Claxton AG et al, When and why did human brains decrease in size? A new change-point analysis and insights from brain evolution in ants. Front Ecol Evol, 2021, 9:742639.
作者:朱钦士