在做矫正牙齿的时候,不少牙友都会被告知要打骨钉。很多人一听到要在牙槽骨上打骨钉,秒怂。
但其实骨钉并没有你听起来/看起来那么恐怖。今天小爱就来和大家谈谈牙齿矫正骨钉的事情,为什么要打骨钉?什么时候打?矫正必须打骨钉吗?感兴趣的牙友们可以看一下哦。

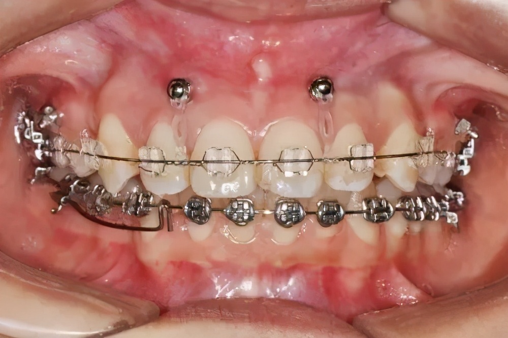
什么是骨钉?
骨钉顾名思义就是一个迷你小钉子,其外形和普通钉子很类似,在临床上被称为支抗钉或者种植钉,长度一般有12mm,直径是1.5mm。
矫正牙齿打骨钉有什么用?
打骨钉矫正的作用,用一句话总结就是,让“该动的牙齿动,不该动的牙齿不动”,具体原理是在牙槽骨中植入骨钉,让骨钉和颌骨骨钉在一起,用弹性材料将种植体与希望移动的牙齿连接起来,然后就能帮助医生的实现牙齿移动的位置和距离。
它的作用是供施力的固定源,协助挪动牙齿。在改善露龈笑、深咬、暴牙、臼齿过度萌出、齿列需后退等等情况,都有佳诊治作用,可得到传统矫正很难做到的功效。
其实,临床上最常应用的即为暴牙的案例;拥有了骨钉,持续帮助你把牙齿往后搬移,改善暴牙脸型。

牙齿矫正一般什么时候打骨钉?必须打吗?
牙齿矫正不一定人人都需要打骨钉,一般要不要打,需要医生根据实际的牙齿情况制定方案,进行方案分析时会详细告知是否要打骨钉,原因是什么。
据我了解到的,医生说一般正畸打骨钉主要有以下几种情况:
1、程度的内收前牙,关闭拔牙间隙,解决嘴突龅牙,改善侧貌;
2、前移后牙,嘴型比较好,有很大的缺牙间隙需要后牙向前移动;
3、压低前牙,解决笑起来露牙龈(露龈笑)的问题,牙齿深覆合或防止咬合加深;
4、压低后牙,个别伸长的后牙需要压低(对咬牙长期缺失,导致牙齿伸长)或是需要垂直向控制整体压低后牙;
5、直立个别牙齿;
6、矫正异位牙齿。

牙齿矫正到什么时候打骨钉这个是时间不一定,有的牙友矫治第一天就打骨钉了,而有的朋友是过了两个月、过了半年,八个月,总之时间不同。不过,通常都是在牙齿排列整齐后打骨钉收侧脸以及调整咬合。
正畸打骨钉疼吗?牙齿矫正拔骨钉疼不疼?
即使是迷你钉子,要打在骨钉上,该多疼呀,其实真的体验之后,发现在打麻药的时候疼了一下。这是很多人的第一想法。但打骨钉时完全没有感觉到疼痛, 不过拔骨钉后有些酸疼感,不过在忍受范围之内,大概一两天疼痛感就慢慢消退了。
还有人会问“打骨钉时会不会出血”?一般情况下是不会出血的。其实大家不要担心,因为我们口腔内膜的自愈能力还是非常强大的,拔骨钉之后,一般7-14天伤口就能自我痊愈,不会留下什么伤痕。

有些时候打骨钉也可以用别的方式代替,于具体能使用什么方法代替,需要专业的正畸医生根据你的情况进行判断,其实只要选择一个经验丰富的正畸医生,你会发现曾经你以为很困难的事情都变得很简单,你只需要在牙齿矫正过程中配合已经就OK了!