草地趾恢复时间 (草地趾怎么康复)

“草地趾”其实是英文turf toe的意译,是第一跖趾关节扭伤的俗称。第一跖趾关节是足大拇趾远端第二个关节,即足大拇趾与脚掌相接的关节。第一跖趾关节扭伤俗称“草地趾”、“草皮趾”或“人工草皮趾”,是指第一跖趾关节过度背屈导致其关节囊复合体软组织受损(包括相关韧带、肌腱、关节囊、跖板等的损伤)。

草皮趾什么症状,草地趾怎么康复

第一跖趾关节扭伤之所以被称为“草地趾”,是因为这种运动损伤多发生于足球场、橄榄球场等铺有草皮的运动场,在这类运动中,第一跖趾关节常常会在身体惯性及外力的驱动下出现背屈过度并受伤(第一跖趾关节的背屈活动通常不超过100度)。尤其是近些年来此类运动在国内愈发普及,再加上人工草皮占有较大比例(人工草皮下方的硬度更高,更易引发脚趾扭伤),使“草地趾”的发生率大增。

草皮趾什么症状,草地趾怎么康复

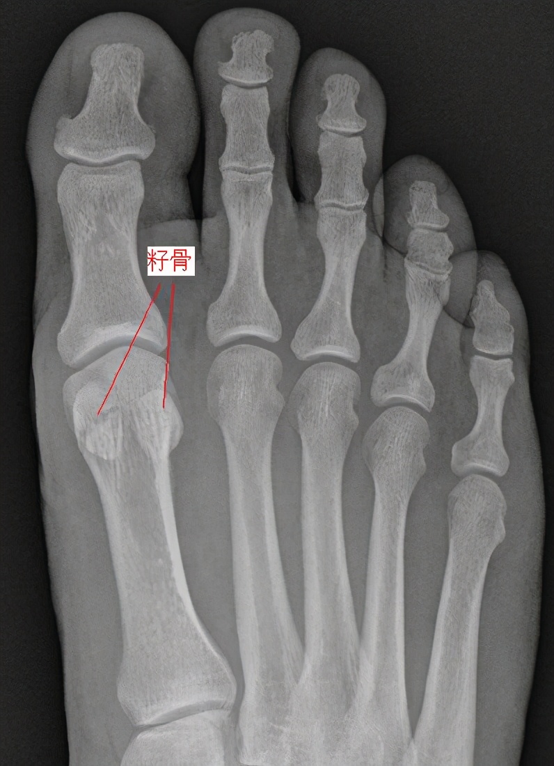
草地趾的主要症状是大拇指与脚掌相连部位附近的局部疼痛、肿胀、淤斑和肌紧张,在行走时出现疼痛步态(无意识地避免大拇趾负重)。可通过核磁共振等影像学方面的检查来确定关节囊附近的软组织损伤,并排除籽骨、关节面、跖骨、腱鞘等其他类型的病变和损伤。如果只是单纯的第一跖趾关节软组织扭伤(草地趾),则可在急性症状期采用休息、冰敷、加压包扎、抬高患肢的手段缓解疼痛和肿胀,当急性症状得控制后,可在保护装置(例如:行走靴、硬底鞋、拇趾人字绷带)的辅助下逐步恢复到日常活动和体育活动。但如果是其他疾病引发的症状,则要根据情况考虑实施不同的治疗方案。介于此,应将草地趾与下列症状相近的疾病进行区分。

草皮趾什么症状,草地趾怎么康复

1、拇趾骨折、脱位。可通过影像学证据加以排查(例如:通过X光线、骨扫描、CT、MRI等手段找到显著证据)。2、拇趾僵硬、跖趾关节炎。多与骨刺、骨赘、组织纤维化等慢性病变有关,一般都不是急性疾症;可通过影像学证据加以排查。3、籽骨损伤。压痛点更加集中于籽骨,范围更小。可通过影像学证据加以排查。4、籽骨疲劳骨折。压痛点更加集中于籽骨,范围更小;慢性疾症;可通过影像学证据加以排查。5、二分籽骨。籽骨因先天未融合而出现裂痕,影像学检查可见籽骨中间的低密度线(非骨折线);无压痛;双侧同时发生的概率较大。6、籽骨关节炎。压痛点更加集中于籽骨,范围更小;活动时疼痛加重;可通过影像学证据加以排查。

草皮趾什么症状,草地趾怎么康复

7、籽骨缺血性坏死。压痛点更加集中于籽骨,范围更小;影像学检查可见附近游离体。8、屈肌腱狭窄性腱鞘炎。可见“扳机现象”(屈伸拇趾时有弹响或顿挫);拇(足)长屈肌腱活动时疼痛,核磁检查可见腱鞘炎。9、痛风。可见跖趾关节的压痛、红斑,疼痛前无急性损伤经历,尿酸高,关节穿刺可见尿酸盐结晶。