运动损伤知识科普宣传内容 (健康小知识运动损伤的常见症状)

世界杯正在卡塔尔如火如荼的进行,无数球迷为之欢呼,享受着这场足球盛宴。足球是全世界最火热的体育运动之一,不仅能够强身健体,还能增进团队友谊,但由于足球比赛拼抢激烈,一场球赛踢下来,容易发生各种运动损伤,所以它也是十分危险的体育项目。怀化市中医医院医学影像科今天就和大家聊一聊,足球赛场上那些常见的运动损伤及影像学表现。

① 脚踝损伤

运动损伤知识科普宣传内容,关于足球运动损伤调查问卷

(上图为右踝关节内、外踝骨折)

常见原因:在运动过程中受力不当诱发,当足踝的关节超过正常的活动范围内,它周围的结构就会受到牵拉,从而会出现一些撕裂伤,如外踝撕脱骨折。

② 膝关节损伤

运动损伤知识科普宣传内容,关于足球运动损伤调查问卷

(上图为右膝外侧半月板撕裂)

常见原因:足球运动中时常发生高频次的急停、冲刺、变向等,并且还会有膝关节的屈伸、外展等动作,这些动作都会增加对膝关节的负荷,从而引发膝关节损伤。主要损伤为半月板体部撕裂、半月板根部撕裂、侧副韧带及交叉韧带的扭伤或撕裂。

运动损伤知识科普宣传内容,关于足球运动损伤调查问卷

(上图为右膝前交叉韧带撕裂)

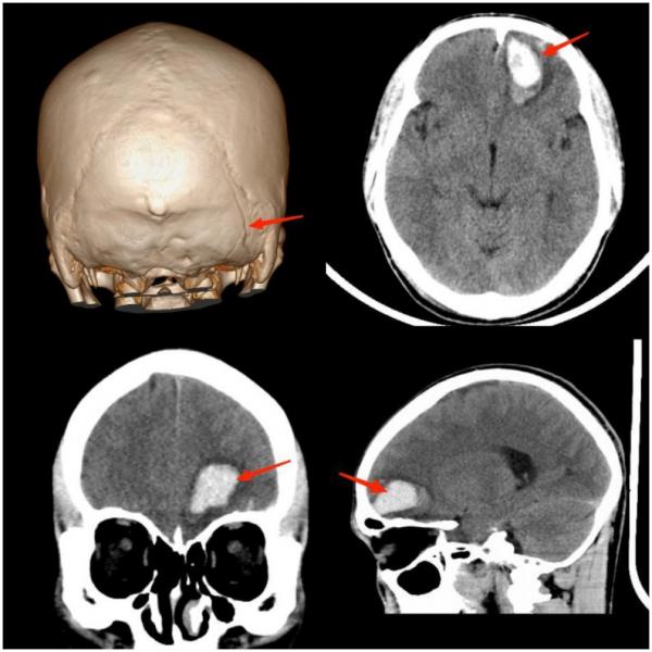
③ 颅面部损伤

运动损伤知识科普宣传内容,关于足球运动损伤调查问卷

(上图为鼻骨骨折)

运动损伤知识科普宣传内容,关于足球运动损伤调查问卷

(上图为颅骨骨折并颅内出血)

常见原因:多因球员在奋力争顶球时与对方球员的头或腿部相撞,或冲顶攻门时头撞到门柱而受伤,以颅面骨骨折及颅内出血多见。因此,常会看到两名球员为争抢头球时头部撞在一起倒地不起的画面。

④ 小腿损伤

运动损伤知识科普宣传内容,关于足球运动损伤调查问卷

(上图为左胫腓骨双骨折)

常见原因:比赛的时候由于紧张地争抢、快速地跑动与铲球,常常被对手的球鞋、膝关节以及小腿踢撞,引起小腿肌肉挫伤、皮下血肿、肌肉断裂以及骨的损伤(如胫腓骨骨折)等。

⑤肩部损伤

运动损伤知识科普宣传内容,关于足球运动损伤调查问卷

(上图为右肱骨粉碎性骨折伴肩关节脱位)

常见原因:比赛中球员大力射门,守门员奋力扑救,这种巨大外力易导致守门员肩部损伤,如肩关节脱位及骨折。

影像科医生在此也提醒大家,运动前要注意热身,运动时要佩戴合适的护具,不宜超负荷运动。运动损伤不是小事,如果发生此类情况,请及时就医,影像科的DR、CT及MR检查会快速明确诊断。

(张君晴)