
最近在我们的问答中,有好几位同学都提到了踝内侧疼痛的问题,今天我们就来介绍一下,引起踝内侧疼痛的一个常见伤病——足副舟骨疼痛。

足副舟骨是发生在舟骨结节第二骨化中心的先天性变异。大约有10-15%的人会存在足副舟骨。

外观呈足内侧隆起,久站或行走较长时间后,感觉足内侧疼痛。
副舟骨损伤多见于青壮年男性,常见发生在足内翻崴脚扭伤后。此时胫骨后肌突然收缩或将在副舟骨上的附着点撕脱。
儿童如果存在平足,在骨化时副舟骨会向下向内侧移位。

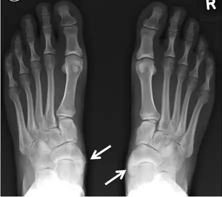
足副舟骨是人体最大的副骨,可分为3型。
一型不与舟骨相连,一般无症状。
二型副舟骨是舟骨的一部分,由结节部纤维软骨板分开。进一步分为2A和2B型。
三型二者有骨桥连接,形成角状舟骨。

副舟骨和扁平足之间有很大关系。
一方面,改变胫骨后肌的发力方式,使前足内收足弓降低。另一方面,当足内翻时会撞击内踝,为缓解疼痛患者会采取足外翻的姿势,进一步引起足弓降低。

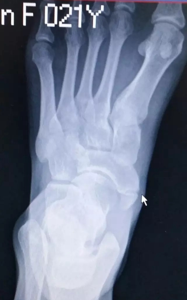
当发生足副舟骨疼痛时,首先要拍X光确诊,并确定分型。
没有撕脱位移可以保守治疗,使用足弓垫支撑足弓缓解症状。
发生撕脱位移可以膝下行石膏固定,症状严重的应该考虑手术治疗。
(本文图片来源网络)