传统观点认为,儿童和青少年慢性腰痛最常见原因是 腰椎间盘突出症 (lumbar disc herniation, LDH)、 峡部裂 和 椎体后缘离断症 。
- 青少年腰椎间盘突出症
(adolescent or pediatric LDH)
青少年LDH相比成人LDH是少见的,发生率为0.5-6.8%。Wahren教授于1945年首次报告后,青少年LDH的报道逐渐增多并受到关注。


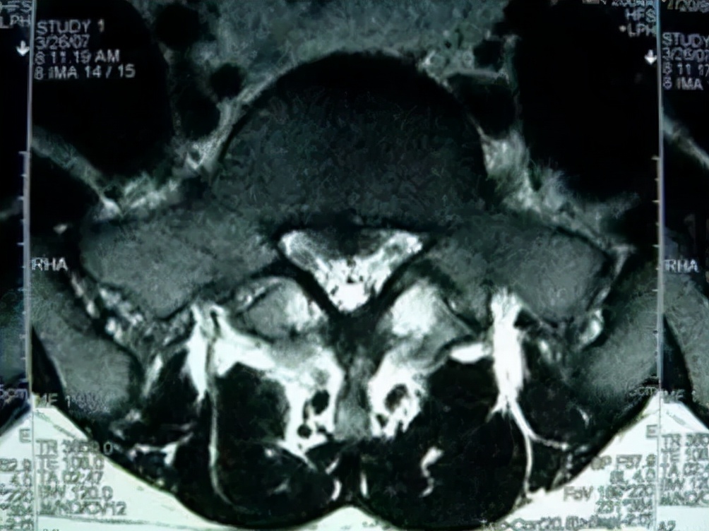
图:17岁男孩,因“腰痛伴右下肢放射痛6个月”就诊
MRI提示腰5-骶1椎间盘突出
青少年与成人LDH都可出现腰腿痛,但 青少年LDH症状通常较轻,神经功能损害(如感觉障碍、肌力下降等)较少见 ,而直腿抬高试验阳性率则可高达90%,而且常呈强阳性,多限于<30°范围。
与成人LDH相比, 青少年LDH患者出现腰椎畸形的比例较高,常见腰部僵硬、脊柱侧凸或旋转,常凸向患侧 ,这种畸形通常是由于疼痛而产生的代偿性脊柱侧凸。
对于以脊柱侧凸为首诊原因的青少年LDH,如果误诊误治会造成严重后果。 此外,腰椎关节突关节不对称的发生率也明显高于成人LDH。
青少年LDH通常仅累及1个节段,最常见于L4-5,少有伴随Modic改变。
青少年LDH以中央型多见,突出物较大,常包含部分骨性结构, 突出的髓核退变不明显,钙化、骨化少见。
青少年LDH的治疗首选保守治疗,当保守治疗无效方,可考虑手术治疗。 手术方式有内镜下椎间盘切除术、显微镜辅助下或通道下椎间盘切除术及传统小开窗手术,不建议融合手术。

图:16岁男孩,腰痛(VAS 2分)伴右下肢放射痛(VAS 6分)26个月,L5-S1椎间盘突出,保守治疗无效,椎间孔镜后症状缓解。

Spine脊柱
经典术式:显微镜下腰椎间盘突出摘除术 来源:NEJM #腰椎间盘突出
视频号
- 腰椎椎体后缘离断症
(posterior apophyseal ring separation, PARS)
多见于青少年,尤其 运动员 ,常合并腰椎间盘突出症及腰椎管狭窄症(LSS)。

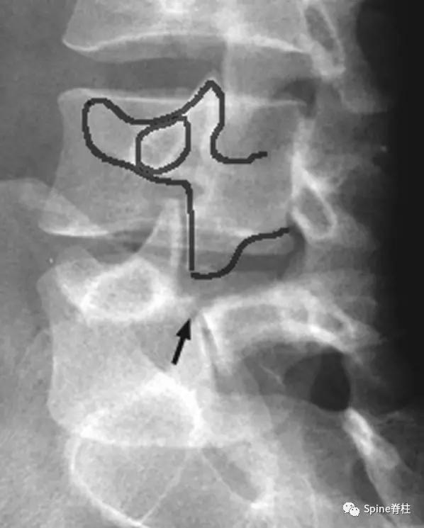
图:箭头所指为离断的椎体后缘
CT是诊断最有效的检查手段
- PARS的Takata分型:

图:A 型为分离部分含皮质骨,不伴椎体后方骨缺损(图A);B 型为分离部分较大,含皮质骨和松质骨,伴椎体后方较大骨缺损(图B);C 型为分离部分较小,含皮质骨和松质骨,伴椎体后方较小骨缺损(图C)。
由于对 腰椎椎体后缘离断症 (陈仲强)发生机理认识各异,有学者认为与青少年骺环未闭及运动创伤导致的椎体及骺环应力较大有关,也有学者认为是一种骨坏死,故命名尚未统一。
文献报道的其他命名有 后缘骨骺环损伤 (Posterior Apophyseal Ring injury)、 腰椎椎体后缘终板骨坏死症 (彭宝淦)、 腰椎后缘软骨结节 (Laredo)、 腰椎软骨板破裂症 (王全平、张成泉)等。
PARS 因与单纯 LDH 或 LSS 表现相似,临床易误诊或漏诊,并且 由于骨性致压因素的影响,PARS 患者的症状较单纯 LDH 严重 。对于经保守治疗无效,且存在神经根性症状或马尾神经损伤表现患者,应尽早手术治疗。

Pain疼痛 做知识的搬运工3篇原创内容
公众号
- 青少年腰椎峡部裂
(adolescent lumbar spondylolysis)
腰椎峡部裂为腰椎一侧或两侧椎弓上下关节突之间的峡部骨质缺损不连续。
在临床上很常见,特别是青少年,其起病隐匿,加之青少年腰痛的主诉往往被忽视,所以仅凭临床表现及体格检查做出诊断较为困难,容易漏诊。因此, 青少年慢性腰痛时,一定要想到排除腰椎峡部裂的存在。
好发于下腰椎 ,剧烈的反复过伸或旋转运动,会明显增加峡部裂的发生率 。 主流观点认为峡部裂是在峡部发育薄弱或异常的基础上受到应力作用而导致的峡部骨折、分离(应力性或疲劳性骨折)。
- 诊断峡部裂需要那些检查呢?
腰椎双斜位片是需要的,通常表现为“ 苏格兰狗脖子”断了(见下图) 。但对于一些隐匿的患者,腰椎双斜位片是看不出的,这时候需要行腰椎CT、MRI进一步明确诊断,少数部分需行核素骨扫描才能明确诊断。


图:箭头所指为苏格兰狗脖子断了
腰椎斜位片上苏格兰狗脖子=腰椎峡部


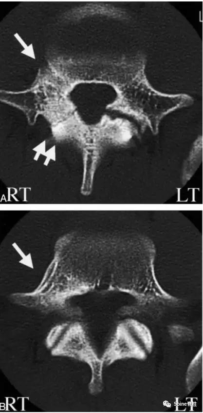
图:腰椎斜位片,图中黑色箭头所示为峡部裂

图:CT所示峡部裂(长箭头),可别认为是棘突骨折
- 峡部裂的Morita分型
- 早期峡部裂( early):可见峡部骨折线
- 进展期峡部裂 (progressive):骨折断端间隙增宽
- 终末期峡部裂 (terminal): 假关节形成

图:早期(a),进展期(b),终末期(c)
随后,Sairyo教授进一步CT研究,将Morita分型早期又分为 最早期 (very early): 骨折线模糊或不连续的骨折线和 晚早期 (late-early): 骨折线清晰明显。

图:腰5双侧峡部裂,右侧为 最早期 ,左侧为 晚早期
- 峡部裂的Kaneko分型:

图:Kaneko分型
a为 完全骨折 ,b为 不完全骨折
c为 骨折前期 :峡部皮质骨可见放射缺损区
- Hollenberg教授于2002年提出腰椎峡部裂的MRI分级:
- 0级:正常峡部,无水肿信号改变。
- 1级:因应力反应导致的骨髓水肿信号 , 但没有骨折线,表现为T1低信号和T2高信号。
- 2级:不完全骨折
- 3级:完全反应性骨折
- 4级:骨折不愈合 (fracture nonunion)

图:孤立的峡部水肿信号,提示L5右侧峡部裂(1级)
16岁的足球运动员诉右腰部疼痛。A:右侧T1加权像可见腰5峡部和椎弓根呈低信号(箭头);B:右侧T2加权像可见腰5峡部、椎弓根和关节突呈高信号(箭头)。

图:T2水肿信号且峡部皮质不连续断裂
提示L3左侧峡部裂(2级)
17岁的篮球运动员诉腰痛。A:T1像,左侧腰3峡部呈不连续的低信号(箭头);B:T2像,左侧腰3椎弓根和峡部呈高信号(箭头)

图:峡部完全断裂,断端存在明显间隙,且T2像明显水肿信号,提示L5左侧峡部裂(3级)
16岁的足球运动员,诉腰痛,以左侧为重。A:T1像可见腰5左侧峡部完全断裂(箭头);B:T2像,腰5左侧峡部、椎弓根和关节突水肿信号(箭头)

图:峡部完全断裂,但无T2水肿信号
提示为左侧L5峡部裂(4级)
13岁运动员,左侧腰骶部疼痛。A:T1像,左侧腰5峡部完全断裂(箭头);B:T2像,左侧腰5峡部清晰可见,骨质无信号改变,峡部缺损处可见轻微的高信号,提示可能为肉芽组织或积液
众所周知,腰椎峡部裂终极治疗目标是断裂的峡部达到骨愈合。有学者认为,峡部裂分期越早,经过保守治疗愈合的可能性越大。
Morita教授对185例峡部裂患者(346个峡部断裂,39.6%为早期,29.5%为进展期和30.9%为终末期)研究发现,Morita分型中早期患者73.0% 经保守治疗后峡部断端出现愈合,进展期患者仅38.5%经保守治疗后愈合,而终末期患者经保守治疗后未见愈合病例。因此, 对于终末期峡部裂患者,已出现假关节,保守治疗是无效的,建议早期手术治疗 。
以上各种峡部裂分型,为指导治疗方案提供依据。 峡部裂的治疗贵在早期发现,早期干预,在未进展到终末假关节期前,早期给予保守治疗,可能会避免不必要的手术治疗 。一般,保守治疗的方法有休息、理疗、药物、限制运动、腰围、支具治疗等。

图:腰围。a:后伸受限,b:前屈不受限。

左图:13岁腰椎双侧峡部裂(进展期)
右图:经上述腰围治疗3个月复查CT可见断裂的峡部达到骨愈合
- 如何更早期诊断峡部裂呢?
因为有些青少年出现腰痛后行X、CT或MRI检查,如果峡部断裂不明显,很难早期明确诊断,早期开展有效的保守治疗。
- 椎弓根出现T2高信号改变

Sairyo教授研究发现磁共振上 椎弓根出现T2高信号改变 (High signal changes) 是青少年和儿童峡部裂的早期诊断征象 。同时,存在椎弓根高信号改变也是保守治疗后能达到骨性愈合的良好预测指标(也就是说存在T2椎弓根右高信号改变的峡部裂患者,其峡部裂经保守治疗愈合的可能性大)。

图:右上图为椎弓根高信号改变(+),右下图为(-)

右图提示椎弓根高信号改变(箭头)

右图提示双侧椎弓根高信号改变(箭头)

右图:右侧椎弓根高信号改变明显,左侧椎弓根轻微高信号
因此, Sairyo教授也提出,对于青少年腰痛患者行MRI检查时,在传统椎间盘层面的基础上(A-C线), 多加一个经椎弓根层面(D线) (影像科医生希望能看到) 。因为,A-C线椎间盘层面可很好看出青少年腰椎间盘突出和腰椎椎体后缘离断症,而D线经椎弓根层面可以早期诊断出腰椎峡部裂和腰椎椎弓根损伤。

最新研究
儿童和青少年慢性腰痛常见原因除了腰椎间盘突出、峡部裂和椎体后缘离断症外,还有 椎弓根裂 和 椎板裂, 后两者也属于应力性损伤。
有学者提出, 青少年椎体后柱损伤 (Posterior vertebral arch injury)应该分为三种:峡部裂、椎弓根裂和椎板裂,其中峡部裂是广为所知的,而后两种容易被忽视的青少年腰痛原因。
- 椎弓根裂 (pediculolysis)是指椎弓根的应力性骨折,常发生在单侧峡部裂的对侧椎弓上。表现为矢壮位MRI的椎弓根呈T1低信号和T2高信号(水肿信号),伴或不伴骨折线。
- 椎板裂 (laminolysis)是指椎板的应力性骨折,分为半椎板型和全椎板型。全椎板型可能为反复腰椎过伸运动引起的椎板应力性骨折。

最新发表在Spine的研究发现, 椎弓根裂是18岁以下常见的腰痛原因,发生率为12.7%,而峡部裂仅为8.7%。且椎弓根裂与腰椎前凸增加无关,常出现在13-17岁的腰痛患者,男性多于女性,常是孤立性出现的损伤(69.6%) 。

图:15岁腰痛男孩,左侧腰5椎弓根裂
A:T1左侧腰5椎弓根低信号(箭头);B:T2左侧腰5椎弓根高信号(箭头);C:T2轴位左侧腰5椎弓根骨折线明显,伴高信号区(箭头)。
- 椎板裂病例

图:17岁腰痛男孩,L5双侧峡部裂和右侧椎板裂
C:右侧椎板增厚,不连续

图:L5半椎板裂
17岁芭蕾舞者,腰痛7个月
CT示:左侧为椎板裂(箭头),右侧为峡部裂(箭头)

图:L5半椎板裂
15岁篮球运动员,严重腰痛,影响睡眠
CT示:左侧为椎板裂(箭头),右侧为峡部裂(箭头)



图:L5全椎板裂
15岁相扑运动员,严重腰痛,后伸明显加重
正侧位X线示椎板水平骨折线(白箭头)。MRI示T2椎板高信号,T1椎板低信号。



图:L4全椎板裂
16岁男孩,3年严重腰痛,后伸受限
其中L5椎体骶化
- 典型病例
2003年发表在 Am J Sports Med杂志(6.09分) 上的病例报道,很好的阐述了峡部裂和椎弓根裂的变化。描述一个17岁的棒球运动员,运动后腰痛1月余,随访的辅助检查提示相同椎体水平出现的3个连续性应力性骨折:第一次为左侧峡部,第二次为右侧椎弓根,第三次为右侧峡部。


图:起始CT提示L5左侧峡部裂(双箭头),起始CT检查后2个月复查可见出现右侧椎弓根裂(单箭头),4个月复查可见椎弓根裂愈合(单箭头)。

图:6个月复查可见右侧椎弓根裂已愈合(单箭头),但出现右侧峡部裂(双箭头)

图:术后情况
小 结
对于儿童和青少年慢性腰痛患者,尤其运动员,除了注意腰椎间盘突出、椎体后缘离断症和峡部裂外,也应注意下症状性椎弓根裂和椎板裂,避免不必要的误诊误治。青少年LDH症状轻、体征重,尤其注意以代偿性脊柱侧凸为首诊的患者;腰椎椎体后缘离断症常伴随LDH,因骨性压迫,如出现持续性神经损害症状,应早期手术治疗;腰椎峡部裂贵在早期诊断,对于青少年腰痛患者,要有意识性想到它,早期阶段的峡部裂经保守治疗可达到骨性愈合,避免后期不必要的手术;对于症状性椎弓根裂和椎板裂的治疗与峡部裂类似,早期诊断,早期进行保守治疗。
只有你了解它,面对疑难问题,你才会想到它
参考文献:
中华外科杂志,2018,56(7):551-555.
J Neurosurg Pediatr 23:251–258, 2019
中国骨与关节杂志,2019,8(2):132-136.
J Bone Joint Surg [Br] l995;77-B:620-5.
Spine 2002;27:181–186
Spine 2019;44:E1038–E1044
J Orthopaed Traumatol (2010) 11:189–19
J Orthopaed Traumatol (2012) 13:225–228
Am J Sports Med. 2003;31(4):606-10
声明:本文转载自微信公众号“ Pain疼痛”
知识产权归 李永超 所有