#全球约1/4的人群正遭受足踝伤痛#
#骨关节炎#
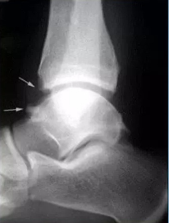
在多达60%的职业足球运动员中,可以发现胫骨以及距骨的骨赘。 这些骨赘并不总是引起症状,但是它们是前踝撞击的重要组成部分,而且常常可以作为前踝撞击的诊断依据。从简单的侧位X线片上可以看见胫骨前方的骨赘以及相应位置的距骨骨赘。关于这些骨赘的起源有多种假说。McMurray首先提出了一种假说,他认为这些骨赘的产生是由于关节囊和韧带在跖屈的时候被反复牵拉。根据他的假说,这些增生都是位于关节囊的附丽点。近年的一些文献也报道这些附丽点附近的增生位于距骨的外侧面。但是,另外一些文献则显示这些增生与踝关节前关节囊无关。骨赘被认为是在关节囊内产生的,在关节软骨的边缘发生骨赘增生过程。慢性的软骨边缘损伤导致软骨增生,瘢痕形成,最后形成这些骨赘。这种软骨边缘的损伤可能源自多种受伤类型。例如,在旋后性创伤中,软骨边缘的损伤来自受伤当时的胫骨与距骨的撞击,这可能导致骨赘增生,特别是这种创伤过程再次发生的时候。 强力的背伸以及多次反复的直接微小创伤也会导致软骨边缘的损伤。

距骨的骨赘最常见于中线的内侧,而胫骨的骨贅常见于中线的外侧,它们常常不会互相重叠。
伴随撞击综合征出现的疼痛一般认为不是骨赘本身引起的,而是骨赘之间的软组织撞击引起的,]这些胫距关节前方的软组织在踝关节背伸的时候互相挤压,称为“胡桃夹效应”。这会导致滑膜增生、滑膜下纤维组织形成以及炎性细胞浸润。

前内侧撞击并不是慢性踝关节疼痛的常见原因,但是前内侧骨赘引起的撞击和踝关节疼痛可见于文献。骨赘源自前内凹,位于前踝向内踝移行部分,距骨穹隆、距骨体以及距骨颈的内侧向前内移行部分。在浅层,这个凹被前内踝关节关节囊包裹。慢性不稳定会导致反复的内翻性创伤,从而导致前内的骨性增生。这种反复的创伤会导致内侧退行性变,形成瘢痕组织,最后成为骨赘。