点击右上角“关注”我噢~

最近刷新闻,发现很多外媒不约而同都在报道一件事,关注度很高。
原来,是美国疾病控制与预防中心(CDC)发布了一项最新的研究成果:
很多孩子过量使用了含氟牙膏,这将大大提高了他们日后患氟斑牙或氟牙症的风险。

美国疾病控制与预防中心对5157个3-15岁孩子的家庭进行了抽调。
养育者需要回答一系列问题,其中包含很多牙膏使用的问题,比如:
孩子每天刷几次牙?每次使用多少牙膏?
综合分析了这5000多个家庭的状况后发现,在所有3-6岁的孩子中,有40%的孩子日常刷牙时,过量使用了牙膏。
这些孩子,每次刷牙,都会在牙刷上挤满牙膏,有的时候甚至会因为挤出的牙膏太多,弄得满地都是。
美国疾病控制和预防中心(CDC)就曾建议:3-6岁的孩子,牙膏使用量应该只有“豌豆粒”大小,这才是最适宜的。

其实,过量使用牙膏这事不仅美国有,咱中国也不在少数。
我朋友就跟我吐槽过,奶奶给孩子刷牙的时候,总怕刷不干净,所以,每次都在娃的牙刷上把挤满牙膏……
老人的心虽说是好的,但做法着实欠妥。幸好朋友及时察觉苗头不对,不然,很有可能增加孩子日后得氟牙症的风险。
必须使用含氟牙膏吗?真的安全吗?
虽然,大家现在对使用含氟牙膏都有一定的共识,但还是有一些人,对“氟”会有些恐慌。
再加上网络上充斥着大量关于含氟牙膏的负面传言,比如,用含氟牙膏会导致癌症,更加剧了大家对含氟牙膏的焦虑情绪。
但,实际上,这些都是谣言。
美国疾病控制和预防中心(CDC)就曾表示过,目前没有任何科学证据表明,氟跟过敏、骨质疏松、心脏病、癌症、老年痴呆等疾病有直接关系。

相反,从上个世纪30年代到现在,包括世界卫生组织(WHO)、美国牙医学会(ADA)、美国医学会等125个组织,都表明了含氟牙膏的优越性和安全性。
作为人体必需的微量元素之一,氟主要蕴藏在我们的牙齿和骨骼中。
适量的氟利于预防龋齿,这也是为什么牙膏中会添加氟的主要原因:
首先,氟可以在牙釉质再矿化的过程中强化牙齿,帮助钙等矿物质沉积在牙齿中,利于加强牙釉质的强度;其次,氟可以控制口腔中的酸。一般来说,牙齿上的细菌会以糖为食,并会产生腐蚀表面的酸,但氟可以改善这种情况。
这么看来,氟可是咱口腔健康的大功臣,使用含氟牙膏是预防龋齿的重要手段。
千万不要再“谈氟色变”,冤枉了它呀。
但过量使用含氟牙膏就不好了
虽说含氟牙膏用起来好处多多,但,任何东西都是过犹不及的。
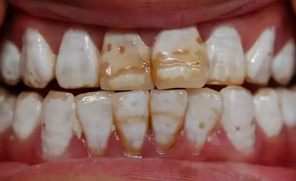
一项研究就发现,上个世纪50年代,12-15岁的孩子中,只有10%患有氟牙症。到了2004年,这个比例增长了4倍,有41%的孩子得了氟牙症。很多牙医认为,越来越多的孩子得氟牙症(氟斑牙),主要是因为长期过量使用、吞咽含氟牙膏导致的。

氟的主要作用,是参与人体内的钙和磷代谢,它可以在牙齿表面形成氟磷灰石保护层,提高牙齿的强度,同时增强牙釉质的抗酸能力。
但,氟元素过多时,会降低牙齿钙化酶的活性,导致牙齿无法正常钙化,色素在牙釉质上沉着,形成氟斑牙。

氟牙症,作为一种色素牙,正是慢性氟中毒早期在口腔的表现。
又因为氟主要损害的是牙釉质发育期的造釉细胞,所以,在孩子牙齿发育期过量使用、吞咽含氟牙膏,很容易导致氟牙症。
目前,很多学者认为,氟斑牙只是一种牙齿美观的问题。
但,实际上,世界卫生组织(WHO)根据氟斑牙的程度,进行了6级分类:正常、可疑、极轻、轻度、中度、重度。

起初,可能只是有一些白色斑点和线条,但严重的话,就会出现黄褐色斑点,甚至会出现牙齿缺损。
所以,氟斑牙不仅是影响美观的小事,也会一定程度上损害牙齿的使用。我们必须对它重视起来。
这样预防娃摄入过量氟
需要关注以下几个方面:
- 使用含氟牙膏的年龄
说到孩子从什么时候开始使用含氟牙膏,世界各国其实是有分歧的。
美国儿科学会和英国国民保障署认为,孩子从萌出第1颗牙开始,就要使用含氟牙膏。
澳大利亚牙科学会认为,1岁半是孩子是否使用含氟牙膏的分水岭,1岁半之前可以不用牙膏。
相比于上面3个国家,加拿大属于中立派,认为孩子3岁前是否使用牙膏,由患龋齿的风险高低决定。
而国家卫计委发布的《中国居民口腔健康指南——婴幼儿篇》,指出:
对于齿萌出后,可用纱布或软毛刷轻轻地为孩子擦洗口腔和牙齿。当多颗牙齿萌出后,家长可用指套刷或软毛刷为孩子每天刷牙2次,并确保清洁上下颌所有的牙面,特别是接近牙龈缘的部位。
可以看到,《指南》中并未明确提出,0-3岁的孩子要使用含氟牙膏。
但在《中国居民口腔健康指南——学前儿童篇》则明确指出,学龄前儿童(3-6岁)可使用含氟牙膏刷牙。
含氟牙膏具有肯定的预防龋病的作用。学龄前儿童一般都会漱口,并把口腔内的异物吐出,故可用儿童含氟牙膏刷牙,但每次用量为豌豆粒大小,并在家长或老师的监督指导下应用,以防误吞。
也有学者指出,各国对于含氟牙膏使用时间的分歧,很大程度上,跟该国饮用水中的氟化物含量有关。
人体中的氟主要来源于生活饮用水。
从我国 《生活饮用水卫生标准》(GB5749-2006)看,饮用水的含氟量是1mg/L,还不存在氟超标的问题。

还有研究对全国50个主要城市的饮用水进行了采样分析,发现中国城市供水的氟浓度普遍偏低:
7成的调查城市,供水氟浓度低于0.3mg/L9成的调查城市,供水氟浓度低于0.5mg/L
所以,可以向当地卫生防疫部门,咨询当地供水的氟浓度。
如果偏低,也可以从娃第一颗牙萌出开始,使用低含氟的牙膏(0-3岁含氟量控制在0.05%),利于预防龋齿。
- 注意儿童牙膏的含氟量
所谓选“对”含氟牙膏,主要是指含氟量要适宜。
根据我国2017年发布的最新牙膏国标,儿童牙膏的含氟量在0.05%-0.11%。
3岁以上的宝宝可以开始用含氟量在0.05%~0.11%的普通儿童牙膏;而3岁以下的宝宝,需将含氟量控制在0.05%以下。

比如,下面这支儿童牙膏的含氟量是0.05%,符合我们的新国标。

除了牙膏的含氟量以外,还有口味的问题。对于0-3岁的孩子,由于自身吞咽反应发育不完全,很容易误吞牙膏。
再加上儿童牙膏一般都是水果口味的,小宝宝刷牙时,会更喜欢把牙膏咽下去。因此,想要避免孩子吞咽牙膏,最好选择没有味道的(但好像为了让孩子接受刷牙,一般的牙膏都是甜甜的
)。
- 牙膏用量要适宜
选对了牙膏之后,要注意的就是用对含氟牙膏的剂量。
美国儿科学会建议,0-3岁的孩子,每次刷牙使用米粒大小的牙膏;3-6岁的孩子,使用豌豆大小的牙膏。

说了这么半天,避免孩子长期过量使用含氟牙膏,总结下来其实就这两大点:选对牙膏、挤对每次牙膏的量。
当然,在孩子7岁前,一定要坚持帮他刷牙(至少监督),千万不要偷懒!
最后,再把之前关于牙齿的文章,打包分享给大家,有需要的姐妹,记得及时复习下。
- 关于长牙、换牙、刷牙
很多妈妈不知道:宝宝长牙、换牙、刷牙还有这么多讲究!
- 关于龋齿
乳牙龋齿会危害孩子全身,伴其一生,我也刚刚才知道
- 关于牙齿变黄
明明早晚都刷牙,娃的牙齿为啥还发黄?
- 关于双排牙
10个孩子5个长出双排牙,都怪我们爱太多?
- 关于口呼吸
孩子的脸为什么会越长越丑?久等了,专业解答在这里!
参考资料:
1. http://www.berkeleywellness.com/healthy-community/environmental-health/article/fluoride-safe
2.https://www.livescience.com/36273-fluoride-toothpaste-recommendations.html
3.https://www.colgate.com/en-us/oral-health/basics/fluoride/is-fluoride-bad-0316
4.https://www.foxnews.com/health/young-kids-are-using-too-much-toothpaste-cdc-says
5.https://www.baikemy.com/disease/detail/2249/1
6.Dental Fluorosis in the U.S. 1950-2004, Michael Connett,July 2012
7.王滨槟. 《中国部分城市和地区居民饮用水氟含量与口腔健康相关性研究》博士论文
8.《生活饮用水卫生标准》(GB5749-2006)
9. 《中华人民共和国国家标准》(GB8372-2017)
10.《中国居民口腔健康指南》
我是川妈,曾经的女博士,现在的大学老师,飘过美国 、澳洲,目前坐标北京,知名母婴自媒体“mom看世界”的创始人。践行自然教育,追求自然养育,崇尚自然生活,期待更多的姐妹与我携手同行。来源:mom看世界(ID:xyzmom)